Las carillas son una solución estética muy eficaz para mejorar la forma, el color e incluso una alineación ligera de los dientes. En esta guía te explicamos paso a paso cómo es el proceso de colocación, desde la evaluación inicial hasta el resultado final, para que sepas qué esperar si estás pensando en recibir este tratamiento.

¿Qué son las carillas dentales?
Las carillas dentales son láminas delgadas, de porcelana o resina compuesta, que se adhieren a la parte frontal de tus dientes naturales. Además de reparar los defectos de forma y color en los dientes y de solucionar problemas de separación interdental, las carillas suponen la solución ideal para lucir una sonrisa sana y reluciente. Recuerda que nuestras carillas dentales permiten conservar la capa protectora natural de la pieza dental.
Tipos de carillas dentales: composite y porcelana
- Carillas dentales de composite: Se elaboran con una resina sintética similar a la que se usa para realizar empastes, indistinguible a simple vista de un diente natural.
- Carillas dentales de porcelana: Se realizan con cerámica.
Requisitos para ponerse carillas dentales
Antes de colocar carillas dentales, es importante hacer un estudio completo de la boca, donde se revisa el estado general de dientes y encías, y se detectan posibles problemas como caries o inflamación. Una vez aprobado el tratamiento, se diseña un plan personalizado, haciendo una prueba estética o mock-up para visualizar el resultado final antes de tocar sus dientes. También se elige el color, tamaño y forma de las carillas según la armonía facial del paciente. Esto permite adaptar el tratamiento y el material de las carillas a sus gustos y necesidades reales, que pueden ser de porcelana (disiliccato de litio, zirconio) o de composite.

Preparación del diente antes de poner las carillas
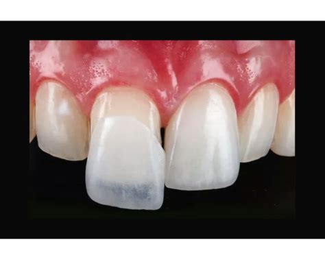
Cuando se usan carillas de porcelana, es necesario hacer un ligero tallado dental para que la carilla se ajuste correctamente. Este desgaste es mínimo y no duele, ya que se realiza solo en la parte frontal del diente. En algunos casos, como cuando se usan carillas de composite, no se requiere tallado, ya que se amoldan directamente sobre el diente. El tipo de preparación varía según el material y la situación de cada paciente.
Preparación y colocación de las carillas dentales
Llega el momento de la preparación y colocación de las carillas dentales. En algunos casos, es necesario realizar un ligero tallado de la superficie externa de los dientes para asegurar que las carillas se adhieran de manera segura y estén alineadas correctamente. En los casos en los que realizamos carillas sin tallado, no se necesita anestesia. Los efectos de la anestesia desaparecen rápidamente, lo que te permite volver a tu vida normal sin interrupciones.
¿Cómo se ponen las carillas dentales?
Las carillas dentales, hechas a medida en los mejores laboratorios de alta estética, se adhieren cuidadosamente a la superficie externa de tus dientes. La duración del tratamiento puede variar según la cantidad de carillas que se coloquen.
Prueba de las carillas y ajustes
Con las carillas de porcelana, se realiza una prueba previa sobre el diente para asegurarse de que la forma, el color y la adaptación son perfectos. Si algo no encaja, las piezas se envían de nuevo al laboratorio para hacer los ajustes necesarios. En el caso de las carillas de composite, los ajustes se hacen directamente sobre el diente, lo que permite un control más inmediato. En ambos casos, lo que se busca es un resultado armonioso y natural que encaje con la estética dental que se ha diseñado con el paciente.
Cementado y Adhesión de las Carillas
El cementado es un proceso fundamental para lograr una buena adhesión a la boca de las carillas dentales, las cuales son esenciales para conseguir una estética dental óptima. El cementado de las carillas dentales es un proceso fundamental para conseguir mejoras en la estética de la boca y considerar que el tratamiento ha sido todo un éxito. La adhesión de las carillas está directamente relacionada con el material que se emplee para la misma. En esta clase de carillas se emplean técnicas adhesivas en una única sesión para cimentar al diente. En este tipo de carillas se pueden emplear distintos cementos dentales para conseguir una buena adhesión por medio de unas láminas muy finas al diente.
- Antes de cementar, se prepara bien la superficie dental para asegurar una buena adhesión.
- Se utiliza un cemento a base de una resina especial y luz ultravioleta para fijar las carillas de forma segura.
- Con el composite, se aplica el material por capas directamente sobre el diente y también se endurece con luz.
Para conocer bien cómo cementar carillas de porcelana, en primer lugar debemos llevar a cabo una buena preparación de las mismas. Una vez se tenga la carilla con el adhesivo, para prevenir la incidencia de la luz, se puede introducir en un espacio sometido a un filtro de luz. En primer momento, es esencial hacer el aislamiento absoluto del diente con el dique de goma. A continuación, eliminamos los excesos y quitamos el hilo retractor para mejorar la visibilidad y el acceso del área subgingival.

El cemento dental definitivo es fundamental para la fijación permanente de carillas, puentes y coronas dentales. Estos materiales ofrecen una unión fuerte y duradera con las estructuras dentales, asegurando la estabilidad y funcionalidad de las restauraciones. Una vez que la carilla está adherida al diente, el odontólogo elimina cualquier exceso de cemento y realiza los ajustes necesarios en la mordida.
Pulido final y revisión de los resultados
Una vez colocadas, se hace un pulido para perfeccionar el acabado y conseguir un aspecto natural. También se comprueba la mordida y se hacen los ajustes necesarios para evitar molestias. Por último, se programa una cita de seguimiento para revisar el resultado. En esta última parte, se comprueba que el diseño de sonrisa que se había planificado para que se corresponda con el diseño planificado.
Cómo cuidar las carillas dentales
Las carillas dentales no requieren cuidados complicados, pero sí constancia. Es importante mantener una buena higiene dental con un cepillado suave, hilo dental y visitas regulares al dentista. Además, se debe evitar morder objetos duros o abrir cosas con los dientes para no dañar las carillas. Si sabes que tienes bruxismo, se recomienda el uso de férula de descarga oclusal. Si mantienes limpia tu férula dental y la usas el tiempo que recomiende tu dentista, tus carillas pueden mantenerse en perfecto estado durante muchos años.
Cuidados que se deben tener con las Carillas Dentales
¿Qué hacer si se despega una carilla dental?
Es tentador tratar de volver a pegar la carilla dental en su lugar por cuenta propia, pero esto puede empeorar la situación y causar daño adicional a tu diente natural. Si la carilla se ha desprendido completamente, asegúrate de guardarla en un lugar seguro y limpio. Tan pronto como notes que una carilla dental se ha despegado, debes llamar a tu dentista para programar una cita lo antes posible.
Mientras esperas tu cita con el dentista, trata de evitar comer alimentos duros o pegajosos que puedan causar daño adicional a tu diente natural o a la carilla desprendida. Continúa cepillando tus dientes y usando hilo dental de manera regular para mantener una buena higiene oral. Si te preocupa que el diente debajo de la carilla desprendida pueda dañarse, puedes optar por una dieta blanda mientras esperas tu cita con el dentista. Una vez que veas a tu dentista, comenta las opciones disponibles para reparar o reemplazar la carilla dental desprendida.
Si se trata de una de las carillas de alguno de los incisivos centrales, al ser las piezas dentales más visibles, el inconveniente estriba en que se deberán hacer de nuevo las dos carillas de sendos incisivos, ya que de lo contrario sería muy complicado conseguir que quedasen exactamente iguales.
¿Por qué se caen o se dañan las carillas?
Por lo general, las carillas se construyen para durar mucho tiempo. No obstante, existe la posibilidad que las carillas se caigan o se dañen. Se debe acudir a nuestra clínica dental para arreglarlas de inmediato.

Las carillas dentales se pueden caer o dañar por distintos motivos:
- Muchos años de uso
- Adhesivo de baja calidad
- Enfermedad oral
- Bruxismo
- Pobre cuidado oral
Sin embargo, estas piezas, aunque son bastante resistentes al paso del tiempo, pueden sufrir algún daño que las deteriore o las rompa. Hay varias causas para que las carillas se rompan y se caigan o se dañen, entre las cuales destacamos:
- Antigüedad: La razón principal es la edad de las carillas. Las carillas de porcelana deben durar al menos diez años, aunque muchas personas afirman que sus carillas duran más tiempo. A medida que pasa el tiempo, las carillas se desprenden lentamente de los dientes a medida que la unión adhesiva se debilita con el tiempo. Esto hace que las carillas se aflojen y se caigan. Otros factores que pueden influir en el ajuste de las carillas son: la edad, el hueso y la línea de la mandíbula de cada paciente.
- Adhesivo: La segunda razón más común es la calidad del adhesivo. Es normal que la carilla se caiga o se suelte una vez que use un adhesivo de mala calidad. Otra opción es que la técnica aplica por el odontólogo no era adecuada. En cualquiera de los dos, es un problema del dentista y no de las carillas.
- Caries dental: Los problemas dentales es otra razón común relacionado con la caída de las carillas. La caries ocurre debido a las opciones de estilo de vida. Asimismo, algunos medicamentos producen efectos dañinos a los dientes.
- Rechinar los dientes (Bruxismo): Muchas personas tienen el hábito de apretar o rechinar los dientes. El rechinamiento dental está asociado con razones físicas o psicológicas. Las carillas no pueden soportar la presión en el borde interior y pueden astillarse, romperse o dañarse por culpa del bruxismo.
- Falta de atención adecuada: La razón más común por la que las carillas se caen o se rompen es la negligencia y el desprecio por ellas. Las carillas son dispositivos delicados que requieren cuidado. Los factores como un mal trato por parte del paciente, masticar alimentos duros o rechinar los dientes juegan un papel importante en la durabilidad del tratamiento.
- Bruxismo: El rechinar, crujir o apretar los dientes puede ocurrir durante el día o mientras duerme.
- Contusión: Ciertos accidentes, caídas graves o prácticas deportivas pueden provocar la ruptura de la carilla.
- Morder alimentos duros: Los alimentos y los materiales muy duros pueden dañar las carillas.
- Trauma Oclusal.
¿Se puede reparar una carilla dental?
Las carillas dentales se pueden arreglar dependiendo de cada caso. Asimismo, el odontólogo es el único profesional adecuado para reparar una carilla dental.
El arreglo de la carilla dependerá del grado de lesión que ésta haya sufrido. Sin embargo, si la grieta es más profunda o completa, en la mayoría de los casos la mejor solución es reemplazar y aplicar una nueva carilla. También se puede dar el caso de que cuando se rompen algunos lados de los dientes frontales, el dentista decida reponer ambos para que el resultado entre ambos lados sea igual en forma y color.
Puede pensar en cómo se puede resolver el problema, una vez que sepa por qué sus carillas se han caído o roto.
Cuidado de las carillas
El tiempo causa un natural desgaste en la carilla dental. Es normal que las carillas se desprendan y se caigan después de llevarlas más de 10 años.
Lo mejor es guardar las carillas caídas o dañadas (caso se caigan) en una pequeña caja envuelta en un material suave. Luego acuda de inmediato a la clínica dental para una revisión.
Una vez en la clínica dental, el dentista observa la carilla y decide si está en condiciones de volver a su lugar o si se necesitan carillas nuevas. El resultado del análisis indica si el odontólogo toma una decisión u otra. Las carillas que siguen en buen estado y encajan bien se limpian y se vuelven a unir a los dientes. Este tipo de reparación puede durar años.
Es importante mantener un estilo de vida sano para prevenir una caries dental. La caries dental es perjudicial para las carillas y para la salud en general.
Si las carillas de cerámica se colocan correctamente y se siguen los cuidados necesarios, pueden durar entre 10 y 15 años. Para prolongar su duración, es importante seguir las recomendaciones del especialista.
Consejos para el cuidado de las carillas dentales
- Evita los alimentos duros o pegajosos: De esta manera no corres el riesgo de que se rompa o despegue la carilla.
- Evita hábitos que impliquen morder: morder la punta o capuchón de un bolígrafo, morderse las patillas de las gafas, morderse las uñas, etc.
- Hay algunos dentistas que no usan el agente adhesivo correcto para unir las carillas a tus dientes. Por este motivo se caen. Se recomienda pedir una segunda opinión para asegurar que estás en buenas manos.
- El dentista indica que los dientes con caries perjudican la salud de las carillas. Es normal que el adhesivo se afloje y las carillas se caigan cuando los dientes tienen caries.
- Hay que vigilar el consumo de ciertos medicamentos que pueden propiciar la caries. Se recomienda hablar con el odontólogo sobre cualquier medicamento que vayas a tomar. Es importante conocer los efectos secundarios antes de empezar el tratamiento.
- Los pacientes con bulimia tienen un alto riesgo de fracaso con este tipo de tratamiento dental. Esto ocurre porque los lados de los dientes han perdido la cubierta exterior del esmalte y han expuesto la dentina. La mejor opción es optar por coronas de porcelana. Esto protege la parte posterior de los dientes donde el esmalte se ha eliminado por completo y ha expuesto la dentina.
- Las personas que sufren de bruxismo deben usar un protector bucal para proteger los dientes. La férula dental ayuda a evitar que las carillas se estresen y se astillen.
- La regla más importante que deben aplicar los pacientes con carillas es la siguiente: cuidarlas a diario. Se recomienda evitar masticar dulces azucarados y alimentos duros. Las carillas no aguantan tanta presión.
- El dentista concluye que nunca debes intentar volver a pegar las carillas caídas por tu cuenta. El adhesivo que se utiliza para unir las carillas a los dientes es un tipo especial de adhesivo dental. Se recomienda acudir a la clínica dental de inmediato si las carillas han caído o están dañadas.
- El dentista recomienda unos buenos hábitos de higiene bucal. Asimismo, debes realizar una revisión de los dientes y una limpieza dental cada 6 meses. Estos hábitos ayudan a mantener los dientes limpios y a prevenir las enfermedades dentales.
¿Cuánto se tarda en poner carillas dentales?
El tiempo total depende del tipo de carilla que se elija. Las carillas de composite pueden colocarse en una sola cita, ya que se aplican directamente en la clínica. En cambio, las de porcelana suelen requerir entre dos y tres visitas, en un plazo de 1 a 3 semanas, porque se fabrican en laboratorio.
Ventajas de las carillas dentales
- Corrigen defectos.
- Tratamiento rápido, en pocas sesiones se obtienen beneficios.
- Aspecto natural.
- Son duraderas. Las carillas pueden permanecer mucho tiempo adheridas al diente si se cuidan.
- Pueden retirarse o restaurase.
- Los dientes no se dañan. Las carillas se pegan a los dientes mediante una resina que no daña el esmalte.
- No duelen. Colocar una carilla dental no es un tratamiento doloroso.
- Precios para todos los bolsillos.
- Mejoran la autoestima. Corregir los defectos dentales nos permite sonreír o hablar sin sentirnos incómodos. Conseguimos una sonrisa 10.
¿Estás pensando en ponerte carillas?
Colocar carillas dentales es un proceso cuidadoso que requiere diagnóstico, planificación y experiencia. Tanto si eliges carillas de porcelana como de composite, lo más importante es que el tratamiento se adapte a ti y a lo que buscas mejorar de tu sonrisa. Si estás valorando este tipo de tratamiento, en nuestra clínica dental te ayudamos a encontrar la mejor opción para ti, siempre con un enfoque personalizado y resultados naturales.
Todos queremos conseguir una sonrisa perfecta, como la que vemos a los actores o personajes famosos. Las carillas de cerámica son pequeñas láminas de porcelana, que se hacen a medida, y que se pegan sobre las piezas dentales.
La colocación de las carillas es un procedimiento odontológico minucioso que se realiza en varias etapas para garantizar un ajuste perfecto y una adhesión duradera. Antes de la adhesión, el diente debe estar limpio y preparado para recibir la carilla. Antes de la colocación definitiva, se prueban las carillas temporales o definitivas para comprobar el color, la forma y la alineación.
Consigue una sonrisa radiante y sana.