Si tienes las piezas dentales superiores que sobresalen mucho, seguramente tienes un problema de maloclusión. Aquí te explicamos qué es la protrusión dental y cómo se corrige. De esta forma podrás resolver el problema y tener una sonrisa más bonita y funcional.

¿Qué es la protrusión dental?
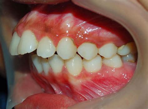
La protrusión dental también es llamada sonrisa de dientes de conejo. Es una afección muy común en niños, que consiste en que los incisivos superiores quedan muy por delante de los inferiores. Estos pueden ser más grandes que los demás dientes y a su vez estar apiñados.
Las personas que lo padecen en muchos casos tienen dificultades para cerrar por completo los labios, ya que los dientes tienen una gran inclinación hacia adelante o afuera. Esto, a su vez, genera como consecuencia que los dientes superiores no encajen correctamente con los inferiores.
También puede ocurrir que no solo los dientes superiores estén adelantados, sino también la mandíbula superior de la inferior. La protrusión suele ser consecuencia de una maloclusión tipo II, en la que el maxilar se desarrolla mucho más (se dice que está “protruido”) que la mandíbula.
Tipos de Sobremordida
- Sobremordida profunda o sobremordida vertical: Cuando se da este tipo de maloclusión es que los dientes de arriba cubren por completo a los de abajo. Cuando cubre más del 30% del diente inferior se considera que está dentro de este tipo de maloclusión que también se conoce como overbite.
- Sobremordida horizontal: Se considera que es un problema cuando la distancia en línea recta entre un diente de arriba y abajo en línea recta es mayor a 2mm. También se conoce como resalte u overjet.
Causas de la protrusión dental
La protrusión dental es muy común en niños. Esta puede generarse por distintas causas como:

- Succión del dedo: cuando los niños se chupan el dedo o hacen la acción de succionar con la boca constantemente, es posible que desarrolle algún problema de alineamiento dental como la protrusión.
- Por empujar los incisivos con la lengua: Muchas personas tienen el mal hábito de empujar los incisivos hacia afuera con la lengua. Esto hace que los dientes se desplacen y tomen una posición inadecuada.
- Succión labial: se interpone el labio inferior por la parte posterior de los incisivos superiores, como si te estuvieras mordiendo los labios.
- Factores genéticos: Muchas veces los hijos, al igual que los padres, presentan maloclusión tipo II o protrusión dental. Es una afección que se puede heredar.
- Malos hábitos durante la infancia.
Consecuencias que genera la protrusión dental
Tener los dientes de maxilar superior salidos y sufrir de maloclusión tipo II, puede generar múltiples problemas como:
- Afecta de la autoestima: debido a su apariencia afecta la confianza en sí mismo.
- Aparición de caries: Las personas con protrusión dental en ocasiones respiran por la boca, lo que aumenta la proliferación de bacterias y reseca el interior de la boca. Además, pueden sufrir de apiñamiento, lo que dificulta la higiene dental. Muchas caries y las encías inflamadas. Esto se debe a que la maloclusión dificulta la higiene y favorece la acumulación de placa bacteriana en los dientes y las zonas interproximales, facilitando la aparición de estas enfermedades.
- Problemas al masticar: la incomodidad al masticar se produce debido a que los dientes superiores e inferiores no encajan correctamente. Dificulta la masticación de los alimentos.
- Desarrollo de enfermedades periodontales: como lo mencionamos realizar respiración bucal y no poder cerrar la boca completamente aumenta la sequedad en la boca y, por lo tanto, existe una mayor cantidad de bacterias que pueden generar enfermedades en las encías.
- Mayor posibilidad de sufrir traumatismos dentales: muchas veces los que padecen de protrusión dental no pueden cerrar la boca por completo; por lo que, los incisivos superiores están más expuestos en caso de que recibas un golpe en la boca. La protuberancia de estos dientes hace que estén más expuestos a recibir algún golpe y fracturarse.
- Alteración en la forma de la cara o boca: Tener los dientes inclinados hacia afuera da una apariencia poco estética, haciendo que la zona del labio superior se vea proyectada hacia adelante y la del mentón muy retraída. Aspecto poco estético.
- Apiñamiento. Tener una forma anormal de la mandíbula favorece que los dientes se apiñen sobre todo en el sector anterior, que es el más visible.
- Dientes desgastados. Al no morder bien se tiende a forzar continuamente la mandíbula sin necesidad, lo que se conoce como bruxismo. Esto hace que con el paso del tiempo los dientes se vayan desgastando e incluso se pueda llegar a perder la pieza. Provoca un mayor desgaste de las piezas dentales.
- Dificultades para pronunciar ciertas palabras.
- Problemas respiratorios
Diagnóstico de la protrusión dental
Si notas que tienes los dientes salidos puede ser una señal de protrusión dental. No obstante, quien está capacitado para dar un diagnóstico certero es el dentista.
Evaluación clínica
Acudir a las consultas regulares es la manera en la que se obtendrá un diagnóstico. El dentista hará una evaluación física para determinar con exactitud el problema; es decir, si son los dientes que no han salido en la posición correcta o si hay alguna malformación en los huesos.
La valoración temprana permitirá aplicar el tratamiento adecuado a tiempo. Antes de los 12 años, los huesos están en desarrollo, por lo que se puede intervenir la mandíbula para corregir la protrusión dental. En consecuencia, se evita tener que someterse a un tratamiento más invasivo en el futuro. Para solucionar este problema sin necesidad de cirugía es necesario llevar a los niños a su primera revisión cuando se les mueven los primeros diente, alrededor de los 6 años. Esto permitirá detectar problemas de maloclusión y tratarlos con ortodoncia interceptiva.
Estudios de imagen
En ciertas ocasiones, un simple examen visual no proporciona suficiente información para diagnosticar el origen de una protrusión dental. De manera que el dentista puede requerir estudios de imagenología para obtener una visión detallada de la estructura ósea y dental.
A partir de estos estudios se puede ver con mayor claridad si hay anomalías en el desarrollo de los maxilares. También revelan si hay dientes impactados y apiñamiento dental. Con esta información, se formula el tratamiento adecuado para corregir la protrusión.
Opciones de tratamiento para la protrusión dental
La protrusión dental es una afección que se corrige mediante tratamiento de ortodoncia, cirugía ortognática, o una combinación de ambos, de preferencia a una edad temprana.
Tratamientos ortodónticos
La ortodoncia permite tratar la inclinación hacia adelante que poseen los dientes en estos casos. Los dispositivos más utilizados para corregir la posición de los dientes de un paciente con protrusión son:
- Brackets metálicos: es el tratamiento de ortodoncia tradicional para mejorar la posición de los dientes.
- Brackets estéticos: están hechos de materiales como cerámica, porcelana, por lo que son menos visibles que los metálicos y también más cómodos. Hay adultos que prefieren llevar brackets, pero no suelen elegirlos metálicos, si no de cerámica o zafiro. Otros se decantan por los brackets linguales, que se colocan en la cara interna del diente y tampoco se ven, pero es uno de los tratamientos de ortodoncia más caros.
- Alineadores invisibles o invisaling: es una alternativa moderna, mucho más discreta que los brackets. Los adultos suelen decantarse por tratamientos más estéticos como la ortodoncia invisible, una serie de alineadores transparentes que se cambian cada 15 días. Su gran ventaja es que nadie nota que se llevan puestos y puedes seguir el tratamiento cómodamente desde casa. A partir de los 12 años la opción más aconsejable para corregir los dientes de conejo es la ortodoncia invisible Invisalign, famosa por la comodidad con que se lleva, por lo rápido que se aprecian los resultados y por ser tan discreta que casi no se nota.
BRACKETS para 𝗗𝗜𝗘𝗡𝗧𝗘𝗦 𝗦𝗨𝗣𝗘𝗥𝗜𝗢𝗥𝗘𝗦 𝗔𝗗𝗘𝗟𝗔𝗡𝗧𝗔𝗗𝗢𝗦 ✅ 𝗖𝗟𝗔𝗦𝗘 𝟮 Ortodoncia TRATAMIENTO (SI, TIENE SOLUCIÓN👌)
Antes de determinar el tratamiento, el dentista debe evaluar la complejidad del caso, así como la edad del paciente y el origen de la protrusión. De esta forma ofrecerá el tratamiento que se adapte mejor a su condición y necesidades.
La ortodoncia permite corregir la inclinación hacia adelante que tienen los incisivos superiores y regresarlos a su posición normal. En caso de que el paciente, además del mal posicionamiento de los dientes, posea una maloclusión tipo II, que afecta la forma o posición del maxilar, el dentista propondrá una solución mediante avance o retracción mandibular, dependiendo del caso.
Tratamientos ortopédicos en niños
Cuando un niño presenta protrusión dental, lo ideal es corregirla cuando están en el pico de crecimiento. Esto es aproximadamente a los 12 años de edad y se hace mediante ortodoncia interceptiva, como los expansores palatinos. Esto con el fin de evitar problemas mayores cuando sea adolescente o adulto. Los dientes de los niños se mueven con mayor facilidad que lo de los adultos, por eso su corrección dura poco tiempo.
Esta ortodoncia es un aparato removible que no sirven para colocar el diente, pero sí para cambiar la forma de los huesos maxilares. El ortodoncista determinará cuántas horas se debe llevar al día, dependerá de la gravedad de cada caso. Una de ellas es que cuenta con unos indicadores para controlar si el paciente lleva puestos los alianeadores el tiempo suficiente (22 horas al día) o está siendo descuidado. Si no se usan los alineadores durante al menos 22h al día, el tratamiento es inefectivo.

Si el paciente padece de protrusión dental debido a malos hábitos como chuparse el dedo o empujar los dientes con la lengua, debe tratarse mediante logopedia. El especialista se encargará de tratar, prevenir y detectar trastornos que afectan la comunicación y deglución.
Cirugía ortognática en casos severos
Si la protrusión dental se origina en la posición inadecuada de los huesos de la mandíbula y se trata de un paciente adulto, entonces se debe recurrir a la cirugía ortognática. Por lo general, esta se combina con ortodoncia. Una vez se pasa la etapa de crecimiento los huesos maxilares son inamovibles, la forma que tienen no se puede modificar a no ser que el paciente se someta a un tratamiento de cirugía ortognática para corregirlo. Los que solo se someten a un tratamiento de ortodoncia y no modifican su hueso, tendrán los dientes colocados pero su problema de mordida proseguirá.
¿En cuánto tiempo se corrige la protrusión dental?
El tiempo del tratamiento de protrusión dental depende de muchos factores, como la gravedad y complejidad del caso, el tipo de aparato de ortodoncia que usen y el cumplimiento de las citas de control y de ajuste del aparato.
El tiempo de duración promedio para corregir la protrusión dental es entre 7 y 12 meses. Pero si es un caso complejo, corregir el problema puede tardar hasta 24 meses y requerir cirugía.
Es importante mencionar que para mantener los dientes en su posición después de un tratamiento de ortodoncia debes usar retenedores bucales por lo menos durante 6 meses.
Prevención de la protrusión Dental
Intervención temprana en hábitos infantiles
Es posible prevenir la protrusión dental si se abordan desde temprano los hábitos dañinos. Por ejemplo, eliminar el chupete antes de los tres años de edad. Si el hábito persiste, es necesario buscar estrategias para ayudar al niño a dejarlo. Lo mismo aplica para los pequeños que se chupan el pulgar.
Asimismo, si el niño empuja los dientes con la lengua, puede ser necesaria la intervención de un profesional para que deje de hacerlo. Se puede recurrir a un terapeuta del habla o un ortodoncista para corregirlo. En caso de que el niño respire por la boca, hay que identificar y tratar la causa subyacente.
Evaluaciones dentales regulares
Es importante visitar al dentista con regularidad. De esta manera se pueden aplicar los tratamientos a tiempo para guiar el crecimiento de la mandíbula y los dientes.