Aunque un aparato puede ayudar a realinear la dentadura y embellecer la sonrisa, mucha gente quiere que se lo quiten lo antes posible. La ortodoncia es uno de los tratamientos más demandados en las clínicas dentales, permitiendo a las personas conseguir una sonrisa perfecta tanto a nivel estético como funcional.

¿Cuándo Se Pueden Quitar Los Brackets?
El momento adecuado para retirar los brackets es determinado por el ortodoncista tras una evaluación exhaustiva. La duración total de un tratamiento de ortodoncia con brackets metálicos puede ser de 6 a 30 meses, en función de la complejidad del caso a tratar.
Antes de retirar los aparatos, el ortodoncista debe asegurarse de que el tratamiento se ha completado correctamente. Para ello, analizará:
- El estado general de los dientes
- La alineación dental
- La oclusión
- La separación de los dientes
- La estética de la sonrisa
Aprende Como QUITAR el 𝗗𝗢𝗟𝗢𝗥 cuando te ponen BRACKETS (+ CURAR las llagas EN LA BOCA por ortodoncia)
Sin embargo, en algunos casos, una vez llegada la hora de la consulta, tu especialista puede darse cuenta de que aún no es el momento adecuado para retirar los aparatos, ya sea porque los dientes se han movido de manera inesperada entre las dos consultas, o porque no han hecho los movimientos esperados. Si ese es tu caso, no te asustes, seguirá faltando muy poco tiempo para que puedas retirar los aparatos.
Consideraciones Especiales: Comuniones y Eventos Importantes
Muchos padres se preguntan si es posible quitar los brackets a sus hijos temporalmente para eventos especiales como la Primera Comunión. La buena noticia es que, en muchos casos, esto es posible. Clínicas como Ortodoncia Borja permiten retirar los brackets unos días antes del evento, siempre y cuando se planifique con antelación.
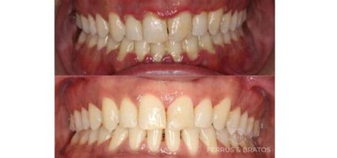
Es importante quitar los brackets con un cierto tiempo de antelación, idealmente al menos 7 días antes del evento, para permitir que las encías se desinflamen. Un niño de 8 o 9 años no tiene la habilidad de un adulto para cepillarse bien la boca y las encías se resienten.

Encías inflamadas después de quitar los brackets (izquierda) vs. encías sanas después de 10 días (derecha)
El Proceso Para Quitar Los Brackets
El proceso de remoción de los brackets es generalmente rápido y sencillo, y no debería causar dolor. Aquí están los pasos típicos:
- El ortodoncista retira las gomas elásticas y el arco de metal.
- Utiliza unos alicates médicos especiales para quitar cada bracket.
- Raspa la superficie del diente con una fresa dental para eliminar el exceso de pegamento.
- Pule la superficie del diente para eliminar las manchas.
- Toma fotos de los dientes para compararlos con las fotos del inicio del tratamiento.
Se tarda aproximadamente una hora u hora y media en retirar completamente los aparatos. Es importante tener en cuenta que algunos aparatos son más frágiles, como en el caso de los cerámicos. Es posible que se rompan al retirarse con las pinzas. No te asustes, estos sonidos, que pueden resultar desagradables, son completamente normales.
Preguntas Frecuentes Sobre La Remoción De Brackets
- ¿Cuánto tiempo llevará quitarme el aparato? Aproximadamente una hora.
- ¿Me avisarán de antemano de que me van a quitar el aparato? Probablemente. Seguramente el ortodoncista te habrá informado en tu última sesión de ajuste que prevé que estés listo para quitarte el aparato en la próxima cita.
- ¿Dolerá? No. Sentirás una leve presión cuando te quiten el aparato, pero no debería dolerte. No obstante, el nuevo retenedor podría causar algo de dolor.
- ¿Qué aspecto tendrán mis dientes? El aspecto de tus dientes dependerá totalmente de lo bien que te los hayas lavado mientras llevabas aparato. Si te los has lavado bien, probablemente queden perfectos pero, si tu higiene ha sido deficiente, podrían presentar sarro amarillo y marcas denominadas «manchas blancas».
Cuidados Post-Tratamiento: Retenedores e Higiene Bucal
Una vez retirados los brackets, el tratamiento de ortodoncia no termina ahí. Los dientes se mueven durante toda la vida, por lo que es importante llevar retenedores después del tratamiento para mantenerlos alineados y evitar que vuelvan a su posición inicial. Los retenedores se utilizan al finalizar cualquier tratamiento de ortodoncia, tanto si has llevado brackets metálicos, cerámicos o linguales, como si has llevado alineadores invisibles.
Tipos de Retenedores
Existen dos tipos de retenedores, según las preferencias del paciente y del ortodoncista:
- Retenedor fijo: Se trata de un alambre metálico que se coloca en la parte posterior de los dientes, en las arcadas superior e inferior. El ortodoncista los aplica en cuanto se retiran los aparatos.
- Retenedor removible: Se trata de un aparato similar a los alineadores invisibles. En general, se utiliza día y noche durante el primer mes después de la ortodoncia, y luego sólo durante la noche.

Retenedor fijo (izquierda) y retenedor removible (derecha)
Higiene Dental
Ahora que tus dientes están perfectamente alineados, ¡es importante que los cuides para mantener tu boca sana! Los dentistas recomiendan cepillarse los dientes al menos dos veces al día. Utilizar hilo dental y enjuague bucal para combatir la placa. Visitar regularmente a tu dentista para comprobar el estado de tus dientes y realizar un raspado una o dos veces al año, según tus necesidades.
¿Qué Hacer Para Acelerar El Proceso?
Si estás deseando que te quiten la ortodoncia, aquí hay algunos consejos para realizar el tratamiento a tiempo o finalizarlo antes de lo previsto:
- Sigue al pie de la letra las recomendaciones de tu ortodoncista.
- No muerdas directamente alimentos duros que puedan dañar tus aparatos. Haz bocados pequeños ya cortados para hacer menos esfuerzo con los dientes.
- Consume alimentos más blandos.
- Evita los alimentos pegajosos como los caramelos o los chicles.
- Usa los accesorios prescritos por tu especialista correctamente, durante los tiempos recomendados, ni más ni menos.
- Practica una buena higiene dental: cepíllate los dientes, usa hilo dental y enjuague bucal.
Alternativas: Alineadores Invisibles
Para aquellos que buscan una opción más cómoda y estética, los alineadores invisibles son una excelente alternativa. Estos alineadores te permiten mantener tu estilo de vida y comer cualquier tipo de alimento sin preocuparte de dañar el aparato. También podrás mantener una mejor higiene dental a lo largo de tu tratamiento, cepillándote los dientes correctamente sin que los brackets impidan el acceso a ciertas zonas de tu dentadura. Además, podrás apreciar los resultados a medida que va avanzando el tratamiento, al ver tus dientes sin brackets cada día.