¿Crees que todas esas personas famosas que ves en el cine y en la televisión tienen los dientes perfectos por genética? ¿Crees que siempre han tenido una sonrisa armónica y bonita sin hacer nada? No te engañes: la mayoría han necesitado algún tratamiento odontológico a lo largo de sus vidas. Si nunca has tenido una bonita sonrisa o, incluso, si lo era, pero ahora se está deteriorando, existen soluciones, como son los productos para blanquear y mejorar el aspecto de los dientes o los tratamientos de ortodoncia para corregir su alineación. Veamos qué tratamientos existen actualmente para conseguir unos dientes bien alineados.

¿Por Qué Tengo los Dientes Torcidos?
La mala posición de los dientes puede tener causas genéticas o ser causada por influencias externas.
- Causas genéticas: La genética juega un papel importante.
- Malos hábitos desde la infancia y en bebés: Desde las edades más tempranas, algunos hábitos pueden marcar la diferencia entre tener dientes rectos o torcidos. El uso del chupete más tiempo del recomendable o hábitos como la succión del dedo pulgar, pueden interferir en el desarrollo y el crecimiento de los maxilares,afectando en la erupción de los dientes. Esta succión del pulgar a largo plazo puede tener un impacto significativo, además de en los dientes, en el habla del niño. Uno de los elementos que más perjudican a este problema es el uso del chupete que puede afectar incluso a la erupción de los dientes de leche.
- Muelas del juicio: Sin embargo, las muelas del juicio también pueden ser responsables de que los dientes se muevan en la edad adulta.
- En adultos: En adultos, los dientes también pueden desalinearse, apiñarse o girarse por causas como la no reposición de una pieza de ha tenido que ser extraída o se ha perdido.
Estas son algunas de las causas que se suelen dar, pero puede ser por cualquier motivo.
Qué es la Ortodoncia Invisible y cuáles son sus beneficios | Dr. Eduardo Ramos
Consecuencias de Tener Dientes Torcidos y Problemas de Maloclusión en Adultos
Los dientes torcidos o desalineados pueden causar varios problemas:
- Higiene bucal afectada: La higiene bucal puede verse afectada por el apiñamiento dental, por ejemplo, ya que los espacios entre los dientes no se pueden limpiar fácilmente con hilo dental. Esto puede resultar en inflamación de las encías o caries en los dientes.
- Problemas de mordida: Una sobremordida en adultos puede hacer que sea difícil morder o masticar. Además, los incisivos no se lavan lo suficiente con saliva, lo que aumenta el riesgo de caries. La corrección de una sobremordida debe considerarse no solo en niños sino también en adultos.
- Alteración de la función masticatoria y del habla: Una mordida cruzada puede alterar la función de masticar y hasta hablar. Esto, debido a la carga unilateral, tanto en los dientes como en la mandíbula. Un tratamiento de mordida cruzada puede prevenir el desgaste y el dolor.
Tratamientos para Alinear los Dientes
Si no estás satisfecho con la forma de tus dientes, puedes corregirlos con un tratamiento de ortodoncia. Alinear los dientes es posible, incluso sin ortodoncia, dependiendo del caso. La ortodoncia ha evolucionado en los últimos tiempos existiendo la posibilidad de obtener unos dientes rectos sin necesidad de aparato en algunos casos. Para corregir la mala posición de los dientes hay varias opciones, pero todo dependerá del caso y de su complejidad. No todas las malas posiciones dentales pueden tratarse con el mismo tipo de tratamiento.
Opción 1: Ortodoncia con Brackets

Ya sean brackets metálicos convencionales, estéticos o de zafiro, este sistema permite una alineación perfecta gracias a la aplicación controlada de fuerzas sobre los dientes. Es un tratamiento seguro y muy eficaz, tanto en niños como en adultos. La duración suele oscilar entre los 8 y los 24 meses, siendo 18 meses la media habitual. A ello hay que añadir el uso posterior de retenedores para mantener los resultados.
Ventajas
- Alta eficacia en la mayoría de los casos.
- Resultados duraderos si se usa retenedor.
- No produce desgaste dental.
- Es la opción más económica en ortodoncia.
- Al ser un sistema fijo, depende más del ortodoncista que del paciente.
Inconvenientes
- Aunque económico dentro de la ortodoncia, sigue teniendo un coste elevado.
- Requiere una higiene bucal muy rigurosa.
- Puede producir caries si no se limpian bien los dientes.
- Posibles heridas por el roce de los aparatos.
- Sin retenedores, los resultados no se mantienen.
- Es el sistema menos estético, aunque cada vez más aceptado en adultos.
Opción 2: Ortodoncia con Alineadores Transparentes Invisalign®

Este tratamiento utiliza férulas removibles y transparentes que aplican presión progresiva sobre los dientes. Es discreto, cómodo y muy eficaz. La duración del tratamiento suele ser similar a la ortodoncia con brackets (entre 8 y 24 meses) y permite tratar prácticamente los mismos problemas de alineación. Si lo que buscas es colocar tus dientes sin brackets, la solución perfecta para ti es un tratamiento con alineadores transparentes. Muchas de las personas que nos visitan que ya han llevado brackets metálicos y estéticos, y que sus dientes se vuelven a montar por falta de uso de la retención, optan por volver a alinear y arreglarse los dientes sin brackets. Para nosotros se trata de un sistema ideal para tratar este tipo de casos. También es un tratamiento que se adecúa muy bien para cualquier otro paciente que quiera arreglarse los dientes sin brackets.
Son férulas con la forma de tus dientes, que se van cambiando cada 7 o 15 días, dependiendo de cada caso. El primer paso y el más importante es el diagnóstico y la planificación del caso. Se hace un estudio del paciente y se toma un escáner 3D intraoral para digitalizar la boca desde su situación de partida. Con la ayuda de una empresa externa y su software, como Invisalign, se planifican virtualmente los movimientos que queremos hacer con tus dientes. Los alineadores vienen en paquetes numerados: el 1, el 2, el 3, etcétera. Te irás cambiando los alineadores progresivamente en tu casa, según las indicaciones que te va realizando el doctor. Lo recomendable es utilizarlos 22 horas diarias. Son de quita y pon, por lo que se deben quitar para comer, pudiendo beber solo agua con ellos colocados.
Ventajas
- El sistema más estético (casi invisible).
- Muy cómodo y fácil de llevar.
- No provoca llagas ni heridas.
- Fácil de limpiar y compatible con una buena higiene.
- Se pueden retirar para comer y cepillarse.
- Alta efectividad si se usan al menos 22 horas al día.
- Otra de las ventajas de este tratamiento de ortodoncia es que no necesitas cambiar tus hábitos de higiene bucal. La experiencia también nos dice que con este tipo de tratamiento hay un menor número de urgencias provocadas por llagas en la boca. Estas suelen aparecer por el roce del alambre de los brackets.
Inconvenientes
- Deben retirarse para comer, lo que puede resultar incómodo.
- Es el sistema más caro.
- Su eficacia depende mucho de la constancia del paciente.
- El éxito del tratamiento con alineadores va a depender de los conocimientos que tenga el profesional que lo realice y de la experiencia que tenga trabajando con ellos. Las distintas marcas de alineadores generan certificados que entregan a los doctores, sin distinguir si son especialistas en ortodoncia o no.
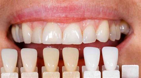
Opción 3: Carillas Dentales

Este es el único tratamiento que alinea visualmente los dientes sin necesidad de ortodoncia. Las carillas son láminas cerámicas que se colocan sobre los dientes naturales para corregir forma, tamaño, color y alineación leve. Son ideales para personas con dientes ligeramente desalineados, fracturados, oscuros o desiguales. En Avodent sabemos que con un tratamiento de ortodoncia vamos a mejorar, desde el color al alineamiento y en general toda tu línea de sonrisa.
Ventajas
- Permiten conseguir la estética deseada (blancos, naturales, simétricos).
- Se integran perfectamente si están bien hechas.
- Materiales cerámicos resistentes a manchas.
- Ofrecen resultados espectaculares en poco tiempo.
Inconvenientes
- No aptas para casos con desalineación moderada o severa.
- En muchos casos requieren tallado dental, irreversible.
- Precio superior al de la ortodoncia.
- Difícil reparación en caso de rotura.
- Requieren cuidados específicos al comer.
- No se recomiendan en casos de bruxismo.
- Necesitan mantenimiento e higiene meticulosa.
Otros Métodos para Enderezar los Dientes Sin Brackets
- Separadores o espaciadores: pequeños anillos de goma o metal que se colocan entre los dientes para mantenerlos separados. Normalmente los espaciadores dentales son un tratamiento previo a la ortodoncia.
- Expansores del arco transpalatino: dispositivos de ortodoncia interceptiva que ayudan a ensanchar el paladar. Se usan para solucionar casos de dientes impactados o de mordida cruzada.
- Posicionadores: los posicionadores dentales son fundas dentales con pequeñas modificaciones respecto a la dentadura original que, gracias a su material elástico, al colocarse sobre los dientes del paciente, pueden provocar pequeños movimientos dentales. Los posicionadores ajustan ligeramente el engranaje entre el maxilar superior e inferior y ayudan a enderezar los dientes sin brackets, pero no los alinean.
¿Cuánto Cuesta la Ortodoncia Sin Brackets?
Los precios de la ortodoncia invisible pueden variar en función de la dificultad del caso y otros factores, como la tecnología, el tiempo de tratamiento, el número de revisiones que se requieran o el tipo de clínica y su localización. Si te interesa cuánto cuesta la ortodoncia invisible sin brackets en España, podemos afirmar que el precio de los tratamientos con alineadores invisibles puede oscilar entre 2,000€ y 5,000€.
Consideraciones Adicionales
- Retenedores de espacio removibles o fijos para niños y niñas: Es un problema muy habitual sobre todo en los niños.
- Encías más sanas: En el caso de tener los dientes mal colocados tienden a recibir la fuerza de la mordida de forma incorrecta y esto puede sobrecargar las encías y los huesos que sujetan las piezas dentales.