En este artículo, exploraremos en detalle qué son las carillas dentales de composite, para qué sirven, los diferentes tipos disponibles, los cuidados necesarios, los precios y las ventajas y desventajas de esta opción estética. Además, te contaremos cómo se realiza el procedimiento paso a paso y cómo mantenerlas en perfecto estado.
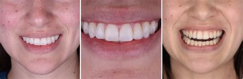
La sonrisa es una de las primeras cosas que notamos cuando conocemos a alguien. Una transformación espectacular gracias a las carillas de resina compuesta, y lo mejor de todo es que el cambio se completó en una sola sesión. En este artículo explicaremos cómo funcionan estas carillas, los beneficios que ofrecen y por qué son una opción ideal para mejorar la estética de la sonrisa de manera rápida y efectiva.

¿Qué son las carillas de composite o resina?
Las carillas de composite, también conocidas como carillas de resina, son finas láminas hechas de una mezcla de resinas acrílicas y partículas de relleno de cerámica. A diferencia de otros tipos de carillas, las carillas de composite se colocan directamente sobre el diente, de manera poco invasiva.
La resina dental, también conocida como resina compuesta o composite dental, es un material sintético utilizado para restaurar dientes dañados y mejorar su apariencia. Como dentista, me gusta explicarlo así a mis pacientes: la resina es una especie de plastilina dental especial. Está formada por una matriz de resina plástica mezclada con partículas inorgánicas de vidrio o cuarzo. Al combinar estos componentes logramos un material lo suficientemente duro y resistente como para masticar con normalidad, y con una apariencia muy similar al diente natural.
¿Para qué sirven las carillas de composite?
Las carillas de composite sirven como una solución estética para cubrir pequeñas imperfecciones dentales, como dientes desgastados, dientes ligeramente torcidos o para cerrar pequeños diastemas. También se utilizan para mejorar la apariencia de dientes manchados o dientes con leve apiñamiento.
La resina dental tiene múltiples usos en odontología restauradora y estética gracias a su capacidad de adherirse al diente y mimetizarse con él.
Casos en los que se utiliza la resina dental:
- Empastes de caries (obturaciones): Si tienes una caries dental, quitaré la parte dañada del diente y rellenaré la cavidad con resina compuesta. De este modo se detiene el avance de la caries y se recupera la forma del diente.
- Reconstrucciones dentales: Cuando un diente ha perdido un fragmento grande por una fractura o tras una endodoncia (tratamiento de nervio), la resina nos permite reconstruir la parte faltante. Devuelve la forma y función del diente de manera directa en la misma cita.
- Estética dental (carillas y retoques): Podemos usarla a modo de carilla directa para cambiar la forma, tamaño o color de un diente. ¿Tienes un diente delantero astillado, separado (diastema) o con una mancha? Con resina puedo rellenar el borde roto, cerrar el espacio entre dientes o cubrir esa manchita alterando el color, todo en una sola sesión y sin tallar mucho el diente.
- Selladores de fosas y fisuras: En odontopediatría y prevención, utilizamos resinas fluidas como selladores. Se colocan en los surcos profundos de las muelas sanas de niños (y adultos con riesgo de caries) para evitar que allí se acumulen bacterias.
- Reparaciones de prótesis o retenedores: a veces, si una prótesis dental (dentadura o “placa”) sufre una pequeña fractura, podemos utilizar resina para repararla provisionalmente. Del mismo modo, en tratamientos de ortodoncia usamos resina para pegar pequeños accesorios o reparar retenedores.

Tipos de carillas de resina
Existen distintos tipos de carillas de resina según su composición y propiedades. A continuación veremos las más comunes:
- Carillas de resinas compuestas condensables: Estas carillas se caracterizan por su consistencia densa y fácil manipulación. Son ideales para esculpir detalles precisos y ofrecen una resistencia duradera, pero los resultados estéticos no son los mejores, por lo que no se recomienda su uso en piezas dentales anteriores.
- Carillas de resinas compuestas híbridas: Las carillas de resinas compuestas híbridas combinan características de diferentes tipos de resinas, ofreciendo una mezcla equilibrada de resistencia y estética gracias a su composición química, formada por partículas macros y micros. Son versátiles y adecuadas para una variedad de casos estéticos.
- Carillas de resina fluida: Las carillas de resina fluida se presentan en estado líquido, y por tanto, más maleables. Las carillas de resina fluida están formadas por composite de micropartículas. Estas carillas, más fluidas en su composición, son ideales para correcciones más sutiles y para pacientes que buscan una solución menos invasiva, aunque son más frágiles que las carillas de resina de otros tipos.
- Carillas de resinas compuestas microhíbridas: Con partículas de relleno más pequeñas, este tipo de carillas de composite ofrece una apariencia más natural y se adaptan mejor a la translucidez de los dientes naturales. Son una de las últimas novedades en la odontología restaurativa y son resistentes y fáciles de pulir, características difíciles de encontrar en un mismo material.
- Carillas con resinas nanotecnológicas: Este último tipo de carillas de resina utilizan una nanotecnología para partículas de relleno extremadamente pequeñas, lo que mejora la estética y la durabilidad de las carillas, siendo muy resistentes y con una apariencia excelente.
No todas las resinas son iguales; existen diferentes tipos de resina compuesta que el odontólogo elige según el caso. Yo evaluaré el tamaño de tu cavidad, la diente que vamos a tratar y el objetivo (si es más estético o más funcional) y con eso seleccionaré la resina compuesta adecuada para que el resultado sea óptimo. En pocas palabras, todas son resinas, pero las hay más refinadas para estética, más resistentes para muelas, etc.
Carillas de Resina y Porcelana: Pros, Contras y Mi Experiencia.
¿Cómo se ponen las carillas de resina o composite?
El tratamiento se realiza siguiendo unos pasos sencillos y efectivos:
- Consulta inicial: evaluación.
- Colocación: las carillas de composite se modelan directamente sobre el diente o los dientes del paciente. Para colocarlas, se deben aislar el resto de dientes para evitar contaminaciones.
- Ajustes y pulido: acabado suave y brillante.
Así de fácil es como se ponen las carillas de composite.
Colocar una resina dental suele ser rápido y prácticamente indoloro.
- Preparación del diente: Primero, examino la zona y aplico anestesia local si es necesario. Luego, con la fresa (la “pulidora” o torno dental) elimino la caries o el tejido dañado del diente. Limpio muy bien la cavidad resultante, dejándola libre de bacterias y detritos.
- Adhesión (grabado y bonding): Aíslo el diente (con rollitos de algodón o dique de goma) para mantenerlo seco. Aplico un gel ácido suave en el esmalte por unos segundos y enjuago; esto abre microporos en la superficie. Luego coloco un adhesivo dental líquido que penetra en esos microporos y, al fotopolimerizarlo con la luz, queda como una “capita pegajosa” unida al diente. Este adhesivo es el que permitirá que la resina se agarre fuertemente.
- Colocación y moldeado de la resina: Ahora sí, tomo la resina compuesta del tono adecuado y la voy colocando en la cavidad del diente. Su consistencia inicial es como de masilla manejable. La moldeo con cuidado con instrumentos finos, reconstruyendo la forma original del diente. Si la restauración es grande, coloco la resina en capas incrementales, endureciendo cada capa con la luz antes de añadir la siguiente; así evitamos contracción excesiva y logramos una adaptación perfecta.
- Fotopolimerización (endurecimiento): Durante el moldeado, uso la luz ultravioleta (lampara de fotocurado) varias veces. Esta luz azul especial endurece la resina en unos 20-40 segundos por capa. La magia ocurre gracias a unos fotoiniciadores en el composite que reaccionan con la luz y hacen que el material pase de blando a rígido. Tras aplicar la última capa y darle forma, aplico la luz final para asegurar que toda la resina quede bien dura y adherida.
- Acabado y pulido: Por último, retiro cualquier exceso de material y procedo a pulir la superficie de la resina. Paso por varias fresas y discos de pulido de grano fino hasta dejarla suave y brillante, como el esmalte natural. Verifico la mordida con un papel especial: le pido que muerdas y movimientos, para checar que no quedó alta ni incómoda. Si hace falta, ajusto con cuidado.
Cómo cuidar y limpiar las carillas de composite
Para mantener las carillas de resina en buen estado, es fundamental seguir una buena higiene bucodental. Estos consejos ayudan a prolongar su vida útil:
- Higiene oral rigurosa: cepillado regular, uso de hilo dental y enjuague bucal son esenciales para mantener la salud oral y la durabilidad de las carillas.
- Evitar alimentos que puedan teñir los dientes: vino, el café o el té...
- Evitar malos hábitos: fumar.
- Revisiones periódicas de mantenimiento.
- Evitar hacer fuerza con los dientes.
Carillas de composite: ventajas y desventajas
Las carillas de composite presentan más beneficios que inconvenientes, pero queremos comentar tanto las ventajas como las desventajas para que puedas tomar una decisión informada. A continuación presentaremos las ventajas y desventajas de las carillas de composite.
Ventajas de las carillas de composite
- Aspecto natural: el composite es un material que se mimetiza muy bien con el color original del diente.
- Proceso poco invasivo: no requieren tallado del diente.
- Reparación fácil: pueden repararse fácilmente sin tener que reemplazar todo.
- Tratamiento en una sola sesión.
- Reversibilidad del tratamiento.
- Precio: las carillas de composite suelen tener un precio más asequible que los otros tipos de carillas como las de porcelana.
Carillas de composite: inconvenientes
Los problemas con las carillas de composite serían dos:
- Menor durabilidad en comparación con otras opciones.
- Posible desgaste con el tiempo.
| Ventajas | Desventajas |
|---|---|
| Aspecto natural | Menor durabilidad |
| Proceso poco invasivo | Posible desgaste |
| Reparación fácil | |
| Tratamiento en una sesión | |
| Reversibilidad | |
| Precio asequible |
Si bien la resina tiene muchísimos pros, también es justo que conozcas sus limitaciones o inconvenientes en comparación a otras opciones.
- Menor durabilidad que algunos materiales: Aunque bien cuidada puede durar muchos años, la resina no es tan duradera como, por ejemplo, una amalgama metálica o una incrustación cerámica. Estudios (y mi experiencia clínica) muestran que los empastes de composite suelen necesitar reemplazo o retoques cada 5 a 10 años en promedio. En cambio, una amalgama bien hecha a veces supera los 15 años. Esto se debe a que la resina puede desgastarse o microfiltrarse con el tiempo, especialmente en empastes muy grandes.
- Sensibilidad o dolor posoperatorio leve: Un empaste de resina correctamente colocado no debería doler. Sin embargo, a veces el diente puede quedar algo sensible los primeros días, especialmente si la cavidad era profunda (cercana al nervio). También, si la resina no se ajusta bien a la mordida y queda “alta”, puede provocar molestia hasta que se pula adecuadamente. La buena noticia es que estas molestias suelen ser temporales y manejables con un ajuste o con desensibilizantes. En casos contados donde la caries era muy profunda, podría requerir un tratamiento adicional (ej: una endodoncia) si el dolor persiste.
- Posible pigmentación con el tiempo: La resina compuesta puede mancharse superficialmente debido a alimentos y hábitos. Por ejemplo, si consumes mucho café, té, vino tinto, curry o si fumas, es posible que la resina vaya oscureciéndose o amarilleando ligeramente con los años. No es que se pudra ni nada, simplemente absorbe pigmentos en su superficie. La solución es sencilla: en tus limpiezas dentales de rutina, se puede pulir la resina y recuperar su tono original en gran medida.
- Técnica sensible a la humedad: Para que la resina se adhiera bien, el campo debe estar limpio y seco durante el procedimiento. La presencia de saliva o humedad puede interferir y hacer que el empaste falle (se despegue o se filtre) al cabo de poco tiempo. Por eso, en procedimientos con resina utilizamos aislamiento (campo de goma o dispositivos) para mantener el diente seco. En casos de cavidades bajo la encía o en pacientes con mucha saliva, colocar resina es más complejo.
- No indicado para cavidades extremadamente grandes: Cuando falta gran parte del diente (por caries gigantes o fracturas muy extensas), la resina tiene sus límites. Si pretendemos reconstruir con composite una estructura mayor a cierto tamaño, el riesgo de fractura o desajuste aumenta. En estos casos, suelo recomendar alternativas más resistentes como incrustaciones de cerámica o coronas completas, que ofrecen mejor estabilidad a largo plazo. La regla que manejo es: si la destrucción abarca más de 2/3 del diente, probablemente una resina directa no sea la opción ideal, porque podría romperse al morder fuerte.
- Riesgo de caries recurrente por contracción marginal: Al polimerizar (endurecer) bajo la luz, la resina sufre una ligera contracción. Si no se manipula correctamente, pueden quedar microranuras en la unión entre resina y diente, por donde con el tiempo ingresen bacterias y se forme caries debajo del empaste (caries recurrente). Para evitarlo, los dentistas colocamos la resina en capas pequeñas y usamos técnicas adhesivas cuidadosas. Aún así, estadísticamente, la caries secundaria es una de las causas de reemplazo de resinas con los años. Esto no debería preocuparte si mantienes tus revisiones: en cada control verifico que no haya oscurecimientos en los bordes de la resina que indiquen filtración.
- Posible alergia (muy poco frecuente): En casos excepcionales, algunas personas pueden presentar reacción alérgica a componentes de la resina dental. Los síntomas suelen ser irritación en la mucosa, enrojecimiento, hinchazón o picor en la zona de contacto. Honestamente, en más de una década nunca he visto una alergia a composite en mis pacientes, pero está documentado que existe. Si alguien sospecha alergia (por ejemplo, notan molestias atípicas tras un empaste nuevo), lo indicado es acudir al dentista: podemos evaluar y en caso necesario reemplazar la resina por otro material hipoalergénico. Insisto, es rarísimo, pero debo mencionarlo por completitud.
¿Cuánto duran las carillas de composite?
La duración de las carillas de composite varía, pero en condiciones adecuadas y con los cuidados requeridos, pueden durar de 5 a 10 años. Hay que tener en cuenta que esta duración puede variar en función del cuidado y mantenimiento que se haga de las carillas de composite.
Carillas de composite: precio
El precio de las carillas de composite o de resina, como hemos adelantado en la lista de ventajas, es más reducido que el de otro tipo de carillas. Sin embargo, la suma total del tratamiento dependerá de varios factores. Aproximadamente sería carillas de resina: el precio en España puede oscilar entre los 150 € y los 400 € por diente.