El sarro negro en los dientes es un problema dental común que puede afectar la salud bucal y la apariencia de la sonrisa. Es importante abordar este problema de manera efectiva para mantener una boca sana y una sonrisa radiante. A continuación, exploraremos qué es el sarro negro, sus causas, cómo eliminarlo y cómo prevenir su aparición.

¿Qué es el sarro negro?
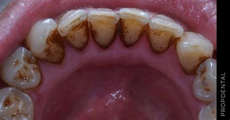
El sarro, también conocido como cálculo dental, es una acumulación endurecida de placa bacteriana que se adhiere a los dientes. Cuando la placa no se elimina adecuadamente mediante el cepillado y el uso del hilo dental, se mineraliza y se convierte en sarro. Este sarro puede aparecer en la línea de las encías, tanto por dentro como por fuera, y su color habitual es blanco o con tonos amarillentos.
El color del sarro varía dependiendo del lugar en donde se encuentre depositado y qué tan antiguo sea. El sarro negro está compuesto por los mismos elementos que el de tonalidades más claras, solo que este está expuesto a sustancias que fluyen entre las encías y los dientes como sangre, subproductos hemáticos y al líquido gingival crevicular.
Causas de las manchas negras en los dientes
Las manchas negras en los dientes no dejan de ser una señal de alerta. Visualmente pueden verse como líneas cercanas a la encía, puntitos negros en la superficie o zonas oscurecidas en alguna pieza dental. Estas pigmentaciones pueden tener diferentes causas, algunas son simples tinciones externas por nuestros hábitos, y otras pueden indicar afecciones internas del diente.
Aquí hay algunas causas comunes de la acumulación de sarro negro:
- Mala higiene dental: La falta de cepillado y uso del hilo dental permite que la placa se acumule y se endurezca, formando sarro.
- Tabaco: Fumar o masticar tabaco es una de las principales causas del sarro negro.
- Enfermedad de las encías: El sarro que se acumula en la línea de las encías puede causar gingivitis, una forma leve de enfermedad de las encías.
- Tabaco y bebidas que tiñen: El tabaquismo y el consumo habitual de ciertas bebidas oscuras son de las causas más comunes de manchas.
- Abuso de enjuagues: La clorhexidina es un componente común en los enjuagues bucales.
- Suplementos de hierro: Tanto en niños como en adultos, el hierro en forma líquida puede causar manchas oscuras en los dientes.
- Esmalte desgastado o dañado: El esmalte es una capa resistente compuesta por hidroxiapatita (fosfato de calcio cristalizado) que protege nuestros dientes.
- Caries: Precisamente la caries es una de las responsables que causa el deterioro del esmalte.
DIENTES con SARRO - CÓMO SE QUITA, previene y por qué se forma el sarro dental | Dentalk! ©
¿Mancha negra o caries?
Una pregunta frecuente es: “¿Cómo saber si esta mancha negra es una caries?”. La confusión es normal, porque a simple vista pueden ser parecidas. Aquí te damos algunas claves:
- Localización: Las manchas extrínsecas por café/tabaco suelen aparecer como velos o líneas en varios dientes. En cambio, una caries suele afectar un diente en particular.
- Textura: Si al pasar la uña la mancha no se quita pero la superficie se siente lisa, podría ser sarro muy adherido o mancha superficial. En una caries ya avanzada suele haber una cavidad rugosa o un pequeño hueco en el diente.
- Síntomas: Una mancha por pigmento generalmente no duele ni causa molestias. Una caries en cambio puede dar sensibilidad al tomar algo frío, caliente o dulce, dolor espontáneo o mal aliento persistente.
- Color: Aunque hablamos de “manchas negras”, las caries no siempre son negras intensas; algunas son marrones o blancas opacas. Sin embargo, cuando la lesión de caries avanza y pigmenta, sí puede verse oscura.
En cualquier caso, la confirmación la hará el dentista mediante examen clínico y, si es necesario, una radiografía.
Tratamientos para eliminar el sarro negro
Eliminar el sarro negro requiere una combinación de tratamientos profesionales y cuidados personales en el hogar.
Tratamientos profesionales
- Limpieza dental profesional: La forma más efectiva de eliminar el sarro negro es mediante una limpieza dental profesional realizada por un dentista o higienista dental.
- Raspado y alisado radicular: En casos de sarro subgingival (debajo de la línea de las encías), se puede requerir un raspado y alisado radicular.
Cuidado personal en el hogar
- Cepillado adecuado: Cepíllate los dientes al menos dos veces al día con una pasta dental fluorada.
- Dieta balanceada: Limita el consumo de alimentos y bebidas azucaradas y pigmentadas.
Otros tratamientos profesionales
- Empaste dental (obturación): El tratamiento estándar es realizar un empaste dental (obturación). Consiste en limpiar cuidadosamente la zona cariada - eliminando la parte del diente infectada por bacterias - y luego rellenarla con un material de resina compuesto del color del diente.
- Blanqueamiento dental profesional: Cuando los dientes presentan manchas generalizadas o un tono amarillento/marrón oscuro debido a hábitos, un blanqueamiento dental profesional puede ser la solución ideal.
- Carillas dentales: Las carillas son finas láminas de porcelana o composite que se pegan en la cara visible del diente para mejorar su apariencia.
- Endodoncia: Si el diente se ha oscurecido por dentro, primero hay que realizar una endodoncia (tratamiento de conducto) para eliminar el nervio muerto y limpiar el interior del diente.

Remedios caseros para prevenir el sarro
No hagas caso a los remedios caseros que explican cómo quitar manchas negras de los dientes con sustancias varias como el bicarbonato o la sal con jugo de limón porque pueden dañar tu esmalte de manera irreversible. Sin embargo, sí hay algunas soluciones para deshacerte de la placa antes de que se endurezca.
- Frotar los dientes con la pulpa de una fresa también ayuda a eliminar la placa.
- Haz una infusión de ajenjo de montaña y utilízala para cepillarte y enjuagarte la boca.
- Para eliminar las bacterias que producen la placa mezcla 3 gotas de aceite esencial de romero con una cucharada de agua.
- Frota las encías y dientes con el gel de la planta de aloe vera.
Estos remedios te ayudarán a mantener los dientes libres de placa.
Prevención del sarro negro
La prevención es clave para evitar la acumulación de sarro negro.
- Visitas regulares al dentista: Programa limpiezas dentales profesionales y exámenes al menos dos veces al año.
- Higiene oral estricta diaria: Cepíllate los dientes al menos dos veces al día usando una buena técnica. No olvides limpiar entre dientes con hilo dental o cepillos interdentales.
- Limpieza dental profesional periódica: Agenda una limpieza con tu dentista cada 6-12 meses. Esa “puesta a punto” eliminará pigmentos antes de que se oscurezcan más y mantendrá tu sonrisa brillante.
- Modera o evita los agentes que manchan: Reduce el consumo de tabaco y limita bebidas muy pigmentadas.
- Cuidado con los enjuagues y medicamentos: Los colutorios de clorhexidina solo úsalos el tiempo indicado por el dentista (usualmente 1-2 semanas, no meses).
- Dieta equilibrada y protectora: Llevar una dieta baja en azúcares ayuda a prevenir caries.
Alimentos que ayudan a quitar el sarro dental
Hay muchas formas caseras de prevenir la aparición de sarro, desde el uso de bicarbonato hasta tomar ciertos alimentos. Una manera natural es utilizando una mezcla casera que combina restos de cáscara de plátano, jugo de limón y tu pasta de dientes habitual. Esta combinación aprovecha las propiedades únicas de cada ingrediente para complementar la higiene bucal diaria.
Todos estos ingredientes se mezclan bien en un recipiente limpio hasta obtener una consistencia homogénea. Luego, esta mezcla se utiliza como una pasta de dientes normal. Después de cepillarte, enjuaga bien la boca con agua para eliminar cualquier residuo. Puede usarse como un complemento a la rutina de higiene bucal, una o dos veces por semana.