Hoy en día, la estética dental adquiere cada vez mayor importancia. Son muchas las personas que conviven con este “problema” en su día a día. Las manchas blancas en los dientes no solo afectan a la estética de tu sonrisa, también pueden ser un indicio de desequilibrio en la salud del esmalte. También pueden afectar nuestra autoestima y la apariencia de nuestra sonrisa.
Las manchas blancas en los dientes son zonas del esmalte con una alteración en su mineralización. Aunque pueden parecer inofensivas, a menudo están asociadas a problemas que conviene tratar a tiempo. Las manchas blancas en los dientes se producen por la pérdida de contenido mineral en el esmalte de nuestros dientes. Las manchas blancas son una una de las afecciones más comunes a la que nos enfrentamos como dentistas en nuestras clínicas dentales.

¿Qué son las manchas blancas en los dientes?
Las manchas blancas en los dientes son zonas del esmalte dental con pérdida de mineralización. Esto significa que el esmalte (la capa externa dura que protege el diente) ha perdido contenido mineral en ese punto, volviéndose más poroso. Al ser más poroso, refleja la luz de forma diferente y se ve de color blanco opaco o tiza, en contraste con el resto del diente. En la mayoría de casos, las manchas blancas no duelen ni causan un problema inmediato, pero pueden indicar un desequilibrio en el diente.
A veces son solo un tema estético, pero otras son una señal temprana de problema dental, como una caries incipiente. Las manchas blancas en los dientes, suelen ser una de las causas de consulta que nos hacen los pacientes en nuestras clínicas dentales. Tener manchas blancas en los dientes, no solo puede afectar estéticamente a la sonrisa, si no que puede afectar internamente a la estructura de la pieza y por ello, es importante determinar la causa de las manchas blancas en los dientes y descartar patologías asociadas.
Nota: No debemos confundir estas manchas blancas intrínsecas del esmalte con las manchas superficiales amarillas o marrones por café, té, tabaco u otros alimentos. Las manchas oscuras externas se eliminan con limpiezas profesionales o blanqueamientos convencionales. El color de las manchas es más claro que el tono normal de los dientes y crea un contraste evidente con el esmalte circundante. Estas manchas blancas pueden variar en tamaño y forma y pueden estar distribuidas de manera irregular.
Causas de las manchas blancas en los dientes
Desde mi experiencia, puedo decirte que no todas las manchas blancas son iguales. Sus causas varían, y podemos clasificar los tipos más comunes según su origen. Conocer el “porqué” de cada tipo nos ayuda a determinar el mejor tratamiento después.
- Desmineralización por higiene deficiente: Una de las causas más frecuentes de manchas blancas es la desmineralización del esmalte por acumulación de placa bacteriana. ¿Te suena eso de “caries incipiente” o lesión blanca? Es justamente esto: el inicio de una caries. Cuando no hay una higiene adecuada, las bacterias de la placa producen ácidos que roban minerales del esmalte, dejándolo débil y poroso.
- Ortodoncia: Los brackets en sí no causan manchas, pero llevar ortodoncia fija dificulta la limpieza. Si durante el tratamiento de ortodoncia no se cepilla bien alrededor de los brackets, la placa acumulada desmineraliza el esmalte bajo y alrededor de cada bracket. Al retirar la ortodoncia, aparecen esas marcas cuadradas blancas en la superficie del diente (lesiones de descalcificación). Es un recordatorio de que la higiene fue insuficiente en esas zonas.
- Fluorosis dental: Otra causa típica, sobre todo en niños o jóvenes, es la fluorosis dental. La fluorosis ocurre cuando hubo exceso de flúor durante la formación de los dientes definitivos, es decir, cuando eras niño/a. Las manchas por fluorosis suelen ser múltiples, difusas y simétricas. Aparecen como manchitas o vetas blancas opacas (en casos leves) en varios dientes, especialmente en los incisivos delanteros. En casos más severos de fluorosis, el esmalte puede tener áreas marrones y una superficie irregular, pero la mayoría de fluorosis que veo en consulta son leves, manifestándose sólo como zonas blancas. La fluorosis ocurre por ingerir demasiado flúor de pequeño: por ejemplo, tragar pasta de dientes fluorada frecuentemente, tomar suplementos de flúor sin necesitarlos, o vivir en zonas con agua potable excesivamente fluorada. El período crítico es antes de los 8 años de edad, aproximadamente, que es cuando se están formando los dientes permanentes bajo las encías.
- Hipoplasia del esmalte: Hablamos de hipoplasia del esmalte cuando el esmalte no se formó correctamente desde un inicio. En este caso, la causa no es algo que le pasó al diente por fuera (placa o ácidos), sino algo que ocurrió durante la formación del diente dentro de la encía. Deficiencias nutricionales o vitamínicas en la infancia, enfermedades o fiebre alta en la niñez, enfermedad celíaca no diagnosticada, medicamentos o químicos durante la formación dental pueden provocar hipoplasia. Las manchas blancas por hipoplasia pueden presentarse en uno o varios dientes. La hipoplasia del esmalte no siempre produce manchas blancas brillantes; a veces el esmalte defectuoso es más bien amarillento o marrón claro. Lo importante de la hipoplasia es entender que ese trozo de diente nació “débil”, esmalte más fino o poroso, que puede predisponer a caries y sensibilidad.
- Traumatismos: Un golpe o traumatismo en un diente puede también causar una mancha blanca, aunque es un caso menos común. Por ejemplo, una caída fuerte cuando eras pequeño que lesionó un diente de leche puede dañar el germen del diente permanente que estaba debajo. El diente permanente, al salir años después, podría mostrar un defecto en el esmalte (llamado diente de Turner). A veces ese defecto se manifiesta como una mancha blanca opaca en la superficie del diente permanente afectado (otras veces puede ser amarillenta o marrón, dependiendo del grado de daño). Si recibes un golpe fuerte en un diente permanente (por ejemplo, en un accidente deportivo), pueden pasar dos cosas: que se dañe la pulpa (nervio) y entonces el diente se oscurezca (se pone grisáceo), o que la agresión provoque una pequeña descalcificación interna en el esmalte. En este segundo caso, a veces con el tiempo aparece una zona opaca blancuzca en el diente traumatizado.
- Celiaquía: La intolerancia digestiva al gluten puede provocar daños en el esmalte dental a consecuencia de la mala asimilación del calcio. Algunas personas celíacas que no hayan sido diagnosticadas aún pueden tener algunas manchas blancas. Las personas celíacas sin diagnosticar, sufren de manchas blancas en los dientes, por lo que es posible que ambas condiciones están relacionadas en algunos casos.
- Medicamentos: Ciertos medicamentos pueden causar manchas blancas en los dientes.
- Una dieta deficiente: A veces se produce un excesivo consumo alimentos con elevados niveles de ácidos y azúcares, o bajos en minerales como el fósforo, calcio o el magnesio. Ello puede originar la aparición de manchas blancas en los dientes.

Como ves, las manchas blancas tienen distintos orígenes: desde una caries incipiente por mala higiene, hasta haberse formado así por factores de la infancia (exceso de flúor, falta de minerales, enfermedades) o por situaciones puntuales como traumatismos. Identificar el tipo de mancha blanca es clave, ya que de ello depende cómo de urgente es el tratamiento y qué enfoque debemos darle.
Diagnóstico de las manchas blancas
Cuando un paciente llega a mi consulta preocupado por manchas blancas, lo primero que hago es un buen diagnóstico diferencial. Como dentista, debo determinar qué tipo de mancha blanca es, porque como acabamos de repasar, las causas son variadas. ¿Cómo las diagnostico?
- Historia clínica y examen visual: Te haré preguntas como: ¿Desde cuándo notaste la mancha? ¿Cambió de tamaño o color? ¿Tuviste aparatos de ortodoncia? ¿Cómo es tu dieta y tu higiene? ¿En tu infancia tomaste suplementos de flúor o tuviste alguna enfermedad importante? Toda esta información da pistas. Luego, con boca abierta y buena luz, observo el aspecto de la mancha: su forma, color, ubicación y si hay más dientes afectados.
- Secado del diente: Un truco diagnóstico es secar el diente con aire durante unos segundos. Cuando el esmalte pierde humedad momentáneamente, las lesiones desmineralizadas se ven más blancas y opacas. Si al secar la mancha “resalta” mucho más, es indicativo de que esa zona está porosa (lesión incipiente de caries). Las manchas de fluorosis e hipoplasia también se ven más opacas en seco, pero estas suelen ser evidentes incluso con el diente húmedo.
- Palpación/probing suave: Paso la sonda exploradora suavemente sobre la superficie. Si la mancha blanca está áspera o rugosa al tacto, es señal de desmineralización activa (caries incipiente). Si está lisa, podría ser una mancha de fluorosis o una hipoplasia ya consolidada. ¡Ojo! Nunca raspo fuerte una mancha blanca, porque si es caries incipiente no quiero fracturar ese esmalte debilitado.
- Radiografías (si es necesario): Las radiografías dentales no siempre muestran las manchas blancas, pero pueden ayudar. Por ejemplo, si sospecho que bajo una mancha blanca de caries incipiente ya hay caries avanzada, una radiografía de aleta (bite-wing) puede revelar si hay cavitación interna o lesión entre dientes no visible externamente.
- Diferenciar mancha extrínseca vs intrínseca: Aunque las manchas blancas suelen ser intrínsecas del esmalte, a veces el paciente confunde placa bacteriana o sarro blanco con manchas del diente. Durante el examen, verifico si la supuesta «mancha» en realidad es placa dental acumulada (que a veces luce blanquecina o amarillenta mate). Si al limpiar con la sonda se desprende, era placa o sarro, no una mancha del esmalte.
El diagnóstico lo hacemos combinando observación, historial y pruebas clínicas. Una vez identificada la causa, clasificamos también la severidad. Esta valoración nos orienta en el siguiente paso: el plan de tratamiento.
Tratamientos para eliminar las manchas blancas en los dientes
Llegamos al punto clave: ¿Cómo se pueden quitar o disimular las manchas blancas? La buena noticia es que hoy en día contamos con múltiples tratamientos según la causa y la intensidad de la mancha. En Clínica Dental Letamendia utilizamos distintos métodos, dependiendo del origen y la severidad de las manchas.

En cualquiera de los casos, podemos ayudarte a eliminar estas manchas blancas en los dientes. Ven a nuestra clínica dental y estudiaremos tu caso para ponerle una solución segura y duradera.
A continuación destacamos los diferentes tratamientos que dan lugar a estas decoloraciones dentales.
- Remineralización con flúor u otros productos: Si la mancha blanca es por desmineralización incipiente (inicio de caries), el primer paso es devolver minerales al esmalte. Podemos aplicar barnices de flúor de alta concentración sobre el área blanca para que el esmalte vuelva a fortalecerse. También existen pastas con calcio y fosfato (como las que contienen CPP-ACP) que ayudan a remineralizar. Este tratamiento es conservador y funciona en lesiones muy iniciales. Requiere constancia (aplicaciones repetidas, mejorar higiene y dieta) y revisiones para controlar que la mancha no progrese.
- Microabrasión dental: Esta técnica estética es genial cuando tenemos manchas blancas superficiales en el esmalte (típico en fluorosis leve o alguna hipoplasia localizada). Consiste en pulir una capa muy fina del esmalte superficial para literalmente “desbastar” la mancha. Se usa una mezcla abrasiva especial con ácido suave y piedra pómez para lijar controladamente el esmalte manchado. Es un procedimiento indoloro (no hace falta anestesia generalmente) y minimamente invasivo. Después de unas cuantas aplicaciones, la mancha blanca se atenúa o desaparece porque hemos eliminado esa capa porosa opaca. La microabrasión va seguida de un pulido y fluoruración del esmalte. Importante: solo funciona en manchas poco profundas. Si las manchas son superficiales y se puede llevar a cabo una técnica de microabrasión para eliminar la mancha e infiltración posterior con resina transparente.
- Infiltración con resina (ICON): Un avance relativamente reciente es la infiltración de lesiones blancas con resina fluida. Se trata de aplicar un producto de resina muy líquida sobre la mancha blanca (previamente preparamos el esmalte con un gel ácido para abrir sus poros) y dejar que la resina penetre en el esmalte poroso. Luego la resina se endurece con luz. ¿Qué logramos? “Camuflar” la mancha blanca y fortalecer esa zona. La resina infiltrada tiene un índice de refracción de la luz similar al esmalte sano, por eso la mancha deja de notarse; además, sella los poros deteniendo la caries incipiente si la había. Esta técnica (conocida por el nombre comercial ICON) es fantástica para manchas de caries incipiente post-ortodoncia, por ejemplo. En una sola sesión, sin taladrar, podemos mejorar mucho la apariencia. No todas las manchas son candidatas (debe haber suficiente espesor de esmalte poroso), pero cuando funciona, ¡es casi mágico! Una técnica mínimamente invasiva que infiltra una resina especial en la mancha para igualar el tono del esmalte. La infiltración de caries es considerada un tratamiento no invasivo. Preparamos el diente a nivel del esmalte con un gel de HCL específicamente concebido para dicho tratamiento e Infiltramos el sistema de poros, estabilizando y sellando con una resina fotopolimerizable. De esta manera detenemos incluso la evolución de una posible caries, respetando, además, el tejido sano y evitando perforaciones. Los dientes tratados con este procedimiento recuperan un esmalte saludable y natural.
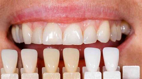
- Blanqueamiento dental profesional: Si las manchas blancas son generalizadas o muy leves, a veces un blanqueamiento dental convencional ayuda a unificar el color. ¿Por qué? Porque aclara el resto del diente acercándolo al tono de la mancha blanca, con lo cual disminuye el contraste. Ojo, durante el proceso de blanqueamiento, inicialmente las manchas blancas pueden verse más (porque se blanquean más rápido que el esmalte alrededor). Esto es normal y suele homogeneizarse al final del tratamiento. El blanqueamiento lo recomendamos sobretodo en casos de fluorosis leve difusa. No elimina la mancha, pero la hace mucho menos visible al aclarar todo el fondo del diente. El blanqueamiento dental es otro método popular para eliminar manchas blancas. Consiste en aplicar un agente blanqueador en los dientes para igualar el tono del esmalte. El blanqueamiento dental es el tratamiento estético adecuado para las manchas leves y superficiales. Después de realizar una higiene dental por tu dentista, actuamos sobre el esmalte dental aplicando geles con base generalmente de peróxido de hidrógeno yo carbamida. Lo realizamos con el uso férulas a la medida del paciente.
- Carillas dentales o reconstrucciones con resina: Esta es la solución definitiva para manchas blancas muy resistentes o extensas.
- Carillas de porcelana: finas láminas de cerámica que se pegan en la cara visible del diente, tapando por completo las manchas. Requieren desgastar mínimamente el diente y tomar moldes. La porcelana imita a la perfección el esmalte y no se mancha con el tiempo. Es una opción excelente si las manchas son amplias o si, además, el paciente desea mejorar la forma y color de sus dientes en general. Las carillas dentales son unas láminas finas que se adhieren al diente para mejorar su aspecto. Las carillas dentales es el recurso para aquellas manchas más extendidas y profundas que no tienen solución con el resto de los tratamientos antes mencionados. Son finas láminas generalmente de disilicato de litio, porcelana, incluso de resina. Quedan adheridas a la superficie más visible del diente (cara vestibular). Están indicadas para casos en los que las manchas ocupan casi la totalidad de la cara frontal del diente y la pérdida de su color natural en muy pronunciada. Carillas Biomiméticas 𝘛𝘰𝘱 𝘚𝘮𝘪𝘭𝘦®️ son la mejor elección para quienes buscan la excelencia en naturalidad.
- Carillas de composite o resina: en vez de porcelana de laboratorio, utilizamos resinas compuestas aplicadas directamente en clínica para recubrir la zona blanca. Es como hacer un “empaste estético” sobre la mancha. Primero aislamos o removemos ligeramente la superficie manchada (si es superficial) y luego aplicamos capas de composite del color del diente, puliendo para que quede liso y brillante. Las carillas de composite logran un muy buen resultado estético, aunque con los años pueden pigmentarse un poco y quizás requieran pulidos o retoques. Otra de las alternativas en casos en los que las manchas sean un poco más profundas es realizar una restauración con composite. Para pacientes con pocas manchas por hipoplasia es recomendable la aplicación de resina compuesta o composite. Con este material se rellena la caries y el esmalte faltante.
- Empaste u obturación: si la mancha blanca era en realidad una caries incipiente que avanzó y ya hay un pequeño agujero, entonces el tratamiento es limpiar la caries y rellenarla con composite (un empaste blanco). En ese caso eliminamos tanto la mancha como la caries.
En casos complejos, incluso podemos combinar técnicas. Por ejemplo, en fluorosis severa a veces realizamos primero microabrasión para quitar el manchado superficial, luego un blanqueamiento para aclarar tonos, y finalmente carillas en los dientes que aún quedaron con diferencias.

Tabla resumen de tratamientos
| Tratamiento | Descripción | Indicaciones |
|---|---|---|
| Remineralización con flúor | Aplicación de flúor para fortalecer el esmalte. | Manchas por desmineralización incipiente. |
| Microabrasión dental | Pulido de la capa superficial del esmalte. | Manchas superficiales en esmalte (fluorosis leve, hipoplasia). |
| Infiltración con resina (ICON) | Aplicación de resina líquida en el esmalte poroso. | Manchas de caries incipiente post-ortodoncia. |
| Blanqueamiento dental | Aclarado del tono general del diente. | Manchas generalizadas o fluorosis leve difusa. |
| Carillas dentales | Láminas de porcelana o resina que cubren la superficie del diente. | Manchas resistentes o extensas, mejora estética general. |
| Empaste u obturación | Limpieza y relleno de caries con composite. | Manchas por caries avanzada con agujero. |
Hemos de tener en cuenta que los defectos estéticos en los dientes, ya sean por manchas blancas o de otro tipo, pueden afectar al paciente emocionalmente. Contribuir en mejorar las vidas de los pacientes que confían en nuestro equipo de profesionales, es un valor que va más allá del tratamiento estético dental en sí.
Manchas Blancas en los Dientes l Fluorosis Dental y otras causas y soluciones
Prevención de las manchas blancas
Sabiendo el origen y las causas del problema, conviene prevenirlo antes de que ocurra.
- Mejora la limpieza bucodental diaria: cepíllate los dientes después de cada comida y usa el hilo dental antes de acostarte. Una correcta higiene dental es básica. Hay que cepillarse los dientes todos los días tras cada comida, así como hacer uso frecuente del hilo dental.
- Sigue una dieta equilibrada: opta por una alimentación variada y nutritiva. Ten en cuenta que los alimentos que más dañan el esmalte son los azúcares y los ácidos. Ello puede originar la aparición de manchas blancas en los dientes. A veces se produce un excesivo consumo alimentos con elevados niveles de ácidos y azúcares, o bajos en minerales como el fósforo, calcio o el magnesio.
- Usa una pasta de dientes adecuada: Para que el cepillado de dientes sea más efectivo a la hora de prevenir la erosión del esmalte dental, y por consecuencia, la posible aparición de manchas blancas en los dientes, es importante usar una pasta de dientes adecuada a cada edad (sobretodo en niños) y evitar cepillar con agresividad tus dientes. Para prevenir la erosión del esmalte dental y la posible aparición de manchas blancas en los dientes, es importante utilizar pasta de dientes adecuada a la edad.

Es muy importante mantener una correcta higiene dental, con cepillados tras cada comida.