¿Vas a pasar por un proceso de regeneración de encías o tienes complicaciones? Este artículo te ofrece una guía sobre cómo identificar si tu encía está cicatrizando bien después de una cirugía o extracción dental. Es fundamental conocer los síntomas normales y las señales de alerta para asegurar una recuperación exitosa y evitar complicaciones.

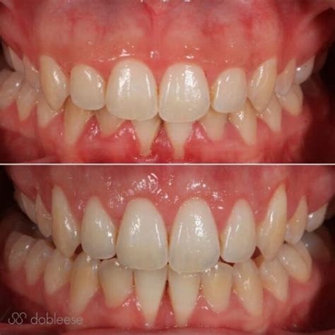
Injerto de encías: Antes y después
Importancia de la cicatrización adecuada
La cicatrización adecuada de las encías es crucial para mantener una buena salud bucal. Este proceso puede verse afectado por diferentes factores y es importante conocer cómo evoluciona para evitar problemas mayores.
¿Qué ocurre tras una extracción dental?
Después de extraer una muela, el cuerpo inicia inmediatamente el proceso de curación. Se forma un coágulo de sangre en el sitio de la extracción, que es esencial para la cicatrización.
Cuando se extrae un diente, un coágulo de sangre se forma naturalmente sobre el área donde el diente se sentó previamente.
Etapas de evolución de un injerto de encía
Si te has sometido a un injerto de encía, es útil conocer las etapas de recuperación:
- Cirugía: La primera fase es la operación en sí misma. Es mínimamente invasiva y se realiza bajo anestesia local, por lo que el paciente no va a sentir ninguna molestia. Además, se lleva a cabo de una forma rápida y, tras la intervención, el especialista te explicará cómo debes cuidar la zona en las siguientes semanas.
- Primeros días: En el injerto de encía, a los 5 -7 días podemos apreciar que la recuperación avanza a buen ritmo. Antes de llegar a ese momento, es normal sentir un poco de inflamación en la zona tratada y algo de molestia, pues la herida del paladar es la primera que cicatriza.
- Recuperación tras un injerto de encía: La cicatrización del injerto de encía tarda unos 3 meses. Pero lo habitual es que las molestias más importantes desaparezcan tras cinco o siete días, y que luego comience a formarse una nueva encía a partir del injerto.
Primeros días tras la cirugía
Es normal sentir un poco de inflamación en la zona tratada y algo de molestia, pues la herida del paladar es la primera que cicatriza.
A partir del día siguiente de la intervención, hay que procurar que la higiene de la boca sea correcta, cepillando las partes donde no se ha realizado la cirugía, pues la herida no puede cepillarse, aproximadamente, durante un mes aprox.
Así, se realizan limpiezas de la herida cada semana en la clínica, aplicando spry o gel de clorhexidina durante 15 días.
Por otro lado, es habitual que aparezcan molestias al hablar, al comer e, incluso, al lavarse los dientes. Por ello, hay que ser especialmente cuidadosos.
Síntomas de una cicatrización normal
Al igual que sucede con algunas heridas de nuestro cuerpo, un buen proceso de cicatrización se caracteriza principalmente por contar con un dolor moderado.
- Formación de una capa blanca: Una de las señales de que está cicatrizando es la aparición de una capa blanca en la zona de la extracción. Esta capa está formada por fibrina, una proteína que crea redes tridimensionales, que además atrapan plaquetas activadas y glóbulos rojos.
- Disminución de la inflamación: En las primeras 24 a 48 horas, es común que la zona esté inflamada y sensible. A medida que pasan los días, deberías notar una disminución en la inflamación y un alivio gradual del dolor, tras la extracción muela del juicio.
- Remodelación: Esta última fase puede durar varias semanas o meses.
En las primeras fases de la cicatrización se forma una capa blanca que se en la parte donde fue sacada una muela, que se llama fibrina y que con el tiempo se transforma en tu encía.
Normalmente, la encías tarda un par de semanas en formarse y a cerrar el orificio de la extracción.
Cuidados postoperatorios esenciales
Para asegurar una correcta cicatrización, es fundamental seguir las indicaciones del especialista:
- Higiene bucal: Recuerda que las zonas de las extracciones, para que cicatricen rápida y correctamente, se deberán mantener lo más higiénicas posible, para ello cepíllalas bien con un cepillo dental suave o quirúrgica tras cada comida. Sí, debes cepillar la zona de la extracción con un cepillo dental quirúrgico después de cada comida ya que la higiene, es decir, el cepillado, es clave para una correcta cicatrización.
- Enjuague bucal: Se aplica solo si el especialista lo recomienda. En la mayoría de los casos, se puede recomendar un colutorio a base de clorhexidina.
- Dieta blanda: Hasta que el injerto cicatrice, hay que evitar comer alimentos que sean duros y puedan arrastrar el injerto. Se aconseja tomar alimentos blandos y fáciles de masticar. Preferentemente, que no estén ni muy fríos ni muy calientes.
- Aplicar hielo: Si en los primeros días aparece hinchazón, se pueden reducir las molestias colocando un poco de hielo en la zona. Sin exceder de cinco o 10 minutos en cada aplicación.
- No fumar: El tabaco puede retrasar el proceso de cicatrización, por lo que se recomienda no fumar en la primera semana tras la intervención. No es aconsejable recurrir a los vapeadores, ya que contienen sustancias tóxicas.

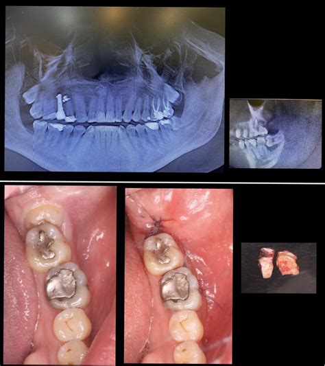
Cuidados postoperatorios tras la extracción de muelas del juicio
Complicaciones y señales de alerta
Aunque la mayoría de las extracciones dentales cicatrizan sin problemas, es importante estar atento a posibles complicaciones.
- Alveolitis seca: En los casos en el cual hay mucho dolor y que empieza normalmente a las 24 horas después de la intervención quirúrgica, puede deberse a una infección conocida como alveolitis seca y deberás consultar lo antes posible con tu dentista.
- Infección: La fiebre es un signo de infección.
- Necrosis del tejido: La complicación más importante que puede darse es que el tejido se necrose por falta de vascularización. Es decir, no recibir el suficiente riego sanguíneo.
Si notas signos de alarma, como fiebre, mal olor en la boca, pus o un dolor que empeora con el tiempo, es posible que se trate de una infección o alveolitis seca. En estos casos, acude a tu dentista de inmediato para una evaluación y tratamiento.
¿Qué hacer ante una alveolitis seca?
Si sospechas que tienes alveolitis seca, es crucial consultar a tu dentista. Una vez valorado en consulta, el dentista deberá de evaluar la zona, y ver si existe coágulo o no en la zona de la extracción, posteriormente limpiará la zona con suero y clorhexidina al 0,2%.
Medicamentos y su impacto en la cicatrización
Algunos medicamentos pueden afectar al proceso de curación de la boca que sigue a una exodoncia.
Para aliviar el dolor ocasionado por la cirugía y evitar infecciones, se receta una medicación a base de antibióticos y analgésicos.
La importancia de las revisiones dentales
Para garantizar que todo va bien en la evolución de un injerto de encía, prioriza el cuidado bucal después de la intervención y sigue cuidando la salud de tu boca después. Además, acude a todas las revisiones con tu dentista para asegurarse que la evolución es la adecuada.

La importancia de las revisiones dentales
Unas encías sanas son la clave para que nuestra salud bucal esté en las mejores condiciones, así como su estética.