La ortodoncia es uno de los tratamientos dentales que más atención reciben a día de hoy. Si has llegado hasta aquí, probablemente te estés planteando: ¿Cómo saber si necesito brackets? A continuación, te ofrecemos una guía completa para ayudarte a determinar si la ortodoncia es adecuada para ti o para tus hijos.

¿Necesito Brackets?
El dentista suele recomendar los aparatos para mejorar el aspecto físico "orofacial" del paciente. Mediante el tratamiento de ortodoncia se corrigen problemas como dientes torcidos o apiñados, sobremordida, protusión, posición incorrecta de la mandíbula y trastornos de las articulaciones mandibulares.
10 Signos Reveladores para Saber Si Necesito Ortodoncia
Hemos elaborado un listado de 10 signos habituales que presentan los pacientes que necesitan brackets. Ten en cuenta que estas señales no aplican por igual a todos los pacientes ni en todos los casos.
- Dientes mal alineados: Es posible que los dientes no estén perfectamente alineados verticalmente, o como se conoce popularmente, que estén torcidos. Si los dientes están mal alineados es probable que se acumulen bacterias con mayor facilidad, incluso si el paciente se cepilla con regularidad.
- Diastemas (espaciado entre dientes): La diastema es un problema de exceso de separación entre dientes. Habitualmente se da en las paletas superiores.
- Pérdida de dientes: La pérdida repentina de dientes, una vez finalizado el proceso de las piezas de leche, indica que el paciente tiene otras patologías que están provocando la pérdida de los dientes.
- Piezas desgastadas: Las piezas dentales se desgastan con el paso del tiempo por el propio uso.
- Dolores en la articulación y músculos: Tanto los dolores de mandíbula como los dolores de cabeza indican que algo no funciona correctamente.
- Problemas al abrir o cerrar la boca: Si presentas algún problema para abrir o cerrar la boca al hablar o comer, te recomendamos que te pongas en contacto con un especialista.
- Disarmonía entre los huesos maxilares: La disarmonía, o alteraciones, de los huesos maxilares superior e inferior pueden producirse en cualquier paciente y a cualquier edad, desde la niñez hasta la edad adulta.
- Dientes apiñados: Se trata del caso opuesto a las diastemas. En este caso los dientes apenas cuentan con espacio entre ellos y se agolpan unos encima de otros. Si tus dientes están apiñados, esto quiere decir que están demasiado juntos. Para descubrirlo, intenta pasarte el hilo dental.
- Problemas de mordida: La mandíbula del ser humano ha evolucionado a lo largo del tiempo, derivando en la estructura que poseemos actualmente. Más allá de la teoría, es más complicado de lo que parece encontrar pacientes con una mordida perfecta. Muchos piensan que los brackets únicamente sirven para alienar los dientes, pero eso es solo uno de sus beneficios.
- Se te atasca comida en los dientes: Tener restos de comida habitualmente puede hacer que las bacterias se acumulen y se provoque gingivitis o caries. Si tienes los dientes separados. Esto es tan malo como tenerlos juntos y torcidos.
Prácticamente cualquiera de las 9 señales anteriores pueden desembocar en problemas de mordida.
Tipos de Mordida
- Submordida
- Sobremordida
- Mordida cruzada
- Mordida abierta
¿Cuándo es el Momento Adecuado para Poner Ortodoncia?
Las personas con problemas de ortodoncia pueden beneficiarse del tratamiento casi a cualquier edad. Sin embargo, dado que cualquier cambio en la apariencia puede ser traumático para un niño durante estos años tan delicados, los padres deben hablarlo detenidamente con sus hijos antes de proceder con los brackets. Y los brackets no son solo para niños. Son cada vez más los adultos que también llevan ortodoncia para corregir problemas menores y mejorar sus sonrisas.

Alineadores dentales ⚔️ Brackets en ADULTOS. ¿Cuál es el mejor? | Medicina Clara.
Brackets: Ya No Es Solo Cosa de Niños
Mucha gente piensa que la ortodoncia es un rito de paso para los adolescentes, pero cada vez más adultos aprovechan esta oportunidad para mejorar su aspecto y su salud bucal. Los dientes se pueden mover y enderezar a cualquier edad, y los beneficios van más allá de la estética. Unos dientes torcidos o apiñados o una mordida desalineada pueden dificultar la limpieza de los dientes, aumentando el riesgo de caries y enfermedades de las encías. Además, una mordida desalineada puede interferir en el habla e incluso provocar problemas de mandíbula.
Dado que los huesos faciales de un adulto ya no crecen, un mismo tratamiento puede llevar más tiempo en los adultos que en los niños. Además, la ortodoncia puede no ser suficiente para corregir ciertos tipos de problemas bucodentales en adultos. Para lograr el efecto deseado, pueden ser necesarios otros tipos de aparatos o procedimientos de ortodoncia.
¿Qué Tipo de Brackets Voy a Llevar?
Tu dentista sabrá qué aparato es el más indicado para tu problema concreto, pero muchas veces el paciente puede elegir. Por lo general, hay tres tipos de aparatos de ortodoncia. El tipo más habitual son los brackets, metálicos o de plástico, que se pegan a los dientes y son mucho menos visibles. El tipo de aparato "lingual" consiste en brackets que se adhieren a la parte posterior de los dientes, ocultos a la vista. Los de tipo tradicional cubren la mayor parte de los dientes con bandas metálicas. Todos ellos utilizan alambres para mover los dientes a la posición deseada.
Sea cual sea tu edad, puedes elegir aparatos de ortodoncia más o menos discretos. Si quieres que tus brackets sean poco visibles, pregunta a tu dentista sobre la posibilidad de colocarlos en la parte de atrás del diente, en lugar de en la parte de delante. O, si los brackets se colocan en la parte delantera de cada diente, puedes optar por versiones transparentes o del color del diente. Pero también puedes utilizar tus brackets para destacar entre la multitud. Puedes elegir brackets con los colores de tu colegio y los hay con diferentes formas, como corazones o balones de fútbol.
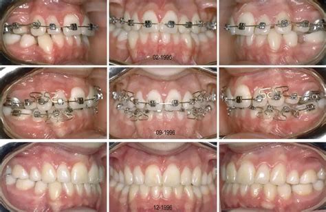
¿Cuánto Tiempo Tendré Que Llevarlos?
Eso depende del plan de tratamiento. Por lo general, cuanto más complicado sea el problema de espaciado o de mordida, y cuanto mayor sea la edad, más largo será el período de tratamiento. La mayoría de los pacientes tendrán que llevarlos entre 18 y 30 meses, seguido por el uso de un retenedor durante unos meses o hasta dos años para fijar y alinear los tejidos que rodean los dientes corregidos. Algunos pacientes podrían tener que llevar el retenedor de forma permanente para evitar que la mordida vuelva al estado original.
¿Será Incómodo el Tratamiento?
Los alambres de interconexión se tensan en cada visita al dentista, ejerciendo una leve presión sobre los brackets o bandas para desplazar los dientes o los maxilares, gradualmente hasta la posición deseada. Tus dientes y mandíbulas podrían estar ligeramente doloridos después de cada visita, pero las molestias duran poco. Recuerda también que puede ser necesario extraer algunas piezas dentales para hacer sitio a los dientes que se desplazan con los brackets y para una correcta alineación de los maxilares.
¿Cuál Es El Coste de La Ortodoncia?
Hoy en día, es posible costearse una ortodoncia sin arruinarse. Pero es importante cuidar los brackets para sacar el máximo partido a tu inversión. Su coste varía en función de la extensión del trabajo necesario, pero el total puede oscilar entre unos 219 £ (en el NHS local) y más de 5.000 £. Consulta también con tu entidad de prestaciones sanitarias la posibilidad de utilizar el dinero de una cuenta de gastos flexibles o de un plan de ahorro sanitario para compensar cualquier diferencia de coste que no cubra el seguro.
Seguir una rutina de cuidado bucal constante, tal y como te ha recomendado tu dentista, te ayudará a mantener tus dientes y encías sanos y a conservar tus aparatos en buen estado, a la vez que reducirá el riesgo de que se produzcan gastos adicionales por culpa de brackets o alambres dañados o rotos. La limpieza de los dientes te llevará más tiempo, pero merece la pena el esfuerzo. Recuerda que puedes limpiar tus dientes con brackets de forma más eficaz si utilizas productos especializados.
¿Quién Se Encargará de Mi Tratamiento de Ortodoncia?
Tu dentista es el responsable de coordinar el tratamiento dental, que podría abarcar cualquier plan de tratamiento de ortodoncia, incluyendo el diagnóstico, los exámenes y algunos procedimientos de ortodoncia. El tratamiento de ortodoncia es una solución estética y sanitaria que consiste en la alineación de los dientes para evitar problemas que pueden sufrir las piezas dentales al estar mal alineadas.
Proceso de Diagnóstico y Planificación del Tratamiento
Una vez tomados los registros, el ortodoncista ya puede empezar a realizar el estudio del caso. Con ellos y con los modelos de estudio, (o en su defecto un TAC) valoramos la oclusión. Montar los modelos de escayola sobre un articulador semiajustable ya que con frecuencia nos encontramos que, debido a la mala posición de los dientes, la mandíbula se desplaza hacia un lado a la hora de cerrar. Esto puede provocar problemas en la articulación temporomandibular como los molestos “chasquidos”.
Realización de una tomografía computerizada dental de haz cónico, con la que podemos ver en 3 dimensiones tus maxilares. Normalmente la realizamos cuando tenemos dudas en el diagnóstico o necesitamos ver la viabilidad del plan de tratamiento que queremos realizar. Una vez hecho todo lo mencionado anteriormente podemos diagnosticar con seguridad el problema de nuestro paciente y hacer el plan de tratamiento correcto.

Consideraciones Adicionales
- No hay límite de edad para tener brackets: Se cree que los únicos que pueden usarlo son los adolescentes, pero las nuevas técnicas permiten alinear los dientes y corregir la mordida en los adultos.
- Si tienes dolor de mandíbula constante: Si te das cuenta de que necesitas ortodoncia, lo que debes hacer es tener una cita con tu dentista para que te recomienden como especialistas que son.
El mantenimiento de los brackets es mucho más sencillo de lo que piensas. El uso de brackets está muy extendido entre la población, ya que solucionan numerosos problemas para los pacientes.
Consúltanos, nos encontramos en Vigo, en la calle Rúa de García Barbón, 114.