La ausencia de dientes, ya sea por extracción, enfermedad o accidente, puede tener un impacto significativo en la calidad de vida de una persona. No solo afecta la estética de la sonrisa, sino que también puede generar problemas funcionales y psicológicos.
Una persona con ausencias dentales no puede masticar bien los alimentos, viéndose obligada a limitarse a alimentos blandos, con la consiguiente incomodidad. Además, el deterioro de su función masticatoria la expone a todo un abanico de problemas digestivos y nutricionales.

Consecuencias Psicológicas de la Pérdida de Dientes
Hoy día, las consecuencias de la falta de dientes son sobre todo a nivel psicológico. Una sonrisa incompleta puede afectar la autoestima y la confianza en uno mismo, generando inseguridad al hablar y sonreír en público.
Implantes Dentales: Recupera Tu Sonrisa con Confianza 😁
Síndrome de Kelly
Cuando se pierden o dañan varias piezas dentales del maxilar superior y no se acude a la consulta del odontólogo para su reposición o restauración, puede producirse lo que se conoce como síndrome de Kelly. En este síndrome, se produce la reabsorción del maxilar superior causando una rotación de la mandíbula que siempre intenta mantener la posición en relación al maxilar superior.
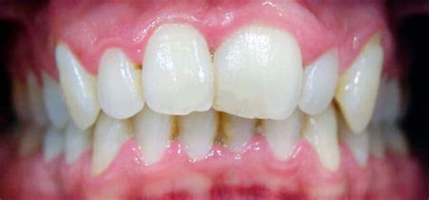
Microdoncia y Macrodoncia
Es importante conocer otro tipo de situaciones que, a priori, pueden confundirse con la microdoncia y la macrodoncia. Dado que los dientes presentan diferentes tamaños, la sonrisa resultante no es armónica ni está equilibrada. Generalmente, el origen de la microdoncia o la macrodoncia se relaciona directamente con factores hereditarios.

Así, es relativamente frecuente pensar que un niño padece de macrodoncia cuando, en realidad, se encuentra en la fase de la dentición mixta. Los dientes temporales tienen un tamaño menor en comparación con los definitivos, por lo que a simple vista se apreciará una diferencia de tamaño.
Otra métrica a tener en cuenta para saber si una sonrisa es objetivamente armónica es la nivelación. Esto se debe a que, como hemos adelantado, hay ciertos parámetros en cuanto a cómo debe ser una sonrisa armónica, pero cada persona tiene sus propias características.
Si crees que puedes tener una de estas anomalías en el tamaño de tus dientes, no lo dejes pasar más tiempo y ponte en manos de un especialista.
Tratamientos para las Ausencias Dentales
Las ausencias dentales solían tratarse con prótesis y puentes dentales removibles (las dentaduras postizas de toda la vida), pero estas soluciones tienen claras limitaciones. El mejor tratamiento para las ausencias son los implantes dentales.

Con un implante dental el paciente no notará en ningún momento una diferencia con un diente natural.
Otras causas de la pérdida de dientes
- Caries graves que no permiten salvar el diente con una endodoncia.