Bienvenidos al blog de Séptima Dental. En este artículo, exploraremos diversos remedios caseros para aliviar la inflamación de encías o abscesos, un problema común de salud bucal. Muchas veces, los abscesos en dientes y encías están provocados por abscesos dentales.

¿Qué es un Absceso Dental?
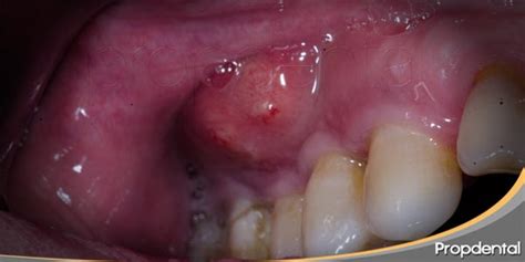
Un absceso es una infección bucodental que se manifiesta por la aparición de pequeñas bolsas de pus en diversas zonas del diente. Suelen ser muy molestos y, en ocasiones, pueden causar un dolor de dientes insoportable. Existen varios tipos de abscesos dentales:
- Abscesos endodónticos: Suelen aparecer en la punta de la raíz de un diente como resultado de la presencia de caries o por un traumatismo.
- Abscesos periodontales: Surgen en las encías como causa de alguna enfermedad periodontal.
- Abscesos combinados: Se presentan cuando el absceso afecta a la raíz dental y a la encía en un punto de intersección entre ambos.
- Abscesos periapicales: Basados en una concentración de pus en la punta del diente causada por una infección, a menudo originados por caries dentales no tratadas.
Para una buena higiene bucal, es necesario realizar un buen cuidado y una correcta limpieza de los dientes. En caso contrario, se corre el riesgo de la aparición de un absceso. Para ello, es necesario realizar un buen cepillado con un correcto cepillo de dientes y utilizar bien el hilo dental.
Rutina Anti Caries ¿Cómo se lava los dientes un dentista en casa?
Síntomas Comunes de un Absceso Dental
Cuando se tiene un absceso dental, no suele ser muy difícil de identificar, pues presenta una sintomatología muy concreta. Principalmente, el paciente percibe sus encías inflamadas, sensibilidad, hinchazón, movilidad en sus dientes y puede padecer fiebre. Dependiendo de qué tipo de absceso tengamos, se pueden presentar unos síntomas u otros:
- Abscesos endodónticos o periapicales: Suelen presentarse episodios agudos de dolor punzante, el típico dolor de muelas. Este dolor suele agudizarse cuando se está en posición de reposo o tumbado. Lleva también aparejada una extrema sensibilidad dental al calor o al frío.
- Abscesos periodontales: Puede verse el forúnculo infectado en las encías. Se nota además una cierta inflamación en la zona que lo rodea de las encías. A veces, se tiene mal sabor de boca y halitosis.
Remedios Caseros para Aliviar la Inflamación de Encías y Abscesos
Aunque su dentista es el único que puede tratar de manera conveniente estas dolencias, existen varias cosas que usted puede hacer para reducir y aliviar el dolor y las molestias que producen los abscesos en la boca. A continuación, se exponen una serie de remedios caseros para aliviar la inflamación de encías o abscesos. Recuerde que todos estos solo tienen como objeto el aliviar los síntomas, pero en ningún caso serán por sí solos suficientes para eliminar los abscesos.

- Empleo de analgésicos:
En cualquier farmacia, podemos encontrar algunos analgésicos antiinflamatorios de uso común que no necesitan de receta médica para su compra, como el ibuprofeno, el paracetamol y la aspirina. Los analgésicos son efectivos para ambos tipos de abscesos.
Aunque nos puede sacar de un apuro en un momento, si estamos sufriendo una crísis fuerte con dolores agudos, es recomendable no abusar de ellos y consultar siempre con su médico lo antes posible. Este le dirá cual es la dosis más adecuada para usted.
- Sesiones de acupuntura/acupresión:
La acupresión y la acupuntura pueden aliviar el dolor de las encías o de los abscesos dentales. Los ensayos clínicos muestran que estos remedios para el dolor de dientes reducen el dolor de muelas y la inflamación, pues entumece la zona afectada de manera similar a como lo haría un analgésico.
- Aplicarse bolsitas de infusiones:
Varias infusiones como la manzanilla y la menta tienen propiedades calmantes y antibacterianas. Aplicarse las bolsitas humedecidas en la zona afectada durante un tiempo pueden mitigar el dolor. Entre los remedios caseros para abcesos en dientes y encías, pueden emplearse tanto para los abscesos endodónticos como para los periodontales.
- Utilizar clavo de olor:
El clavo de olor viene del árbol del clavo. Posee eugenol, un componente que tiene virtudes antibacterianas y sirve para reducir molestias y aliviar la zona inflamada. Se crea una pasta a base de esta flor y agua, que posteriomente ha de aplicarse sobre la zona en cuestión. Este proceso debe repetirse 3 veces al día durante 15 minutos.
- Tomar gel de benzocaína:
El gel de benzocaína se usa como un anestésico tópico para aliviar rápidamente el dolor de dientes y encías. El gel de benzocaína al 20% adormece la zona afectada temporalmente. Las marcas de benzocaína de venta libre más comunes son Orajel y Anbesol. Nunca emplee este gel en niños pequeños.
- Aceites esenciales:
Algunos aceites y esencias, cómo el aceite de clavo, puede ofrecer un cierto alivio a corto plazo para el dolor de las encías y los abscesos dentales. Los ensayos clínicos demuestran que el aceite de clavo puede ser tan efectivo como la benzocaína para el alivio del dolor de muelas. Los aceites esenciales se han utilizado durante siglos por sus propiedades medicinales. Los aceites esenciales se elaboran a partir de plantas que se destilan con agua o vapor o se prensan en frío para extraer el aceite de las hojas y los tallos de la planta.
Para utilizar los aceites esenciales para aliviar el dolor y promover la curación, debe mantenerlos siempre en un lugar fresco, lejos de cosas como las especias o los alimentos. Ponga un par de gotas del aceite esencial en una bola de algodón o en un bastoncillo de algodón y utilícelo para aplicar el aceite a su diente. Las esencias y aceites más comunes que se aplican para esta dolencia son el de clavo, de menta, de orégano y de tomillo. Para aplicarse deben diluirse en una aceite base al 50% y aplicarse en la zona inflamada con un algodón o bastoncillo por unos 5 minutos. Luego espere unos 10-15 minutos y a continuación enjuáguese la boca con agua.
- Compresas frías:
Uno de los mejores remedios caseros para abcesos en dientes y encías puede ser usar una compresa mojada en una taza de agua tibia, colocada en la parte exterior de la cara, puede ayudar a aliviar la inflamación e hinchazón causada por un absceso dental. Sosténgala en el área del dolor durante 20 minutos al menos en cada ocasión. Asegúrese de usar un paño como barrera entre su piel y la compresa para evitar la irritación de la piel.
- Almohada de cuña:
El dolor de los abscesos dentales tiende a empeorar al acostarse. Es lo que se conoce como dolor posicional. Dormir en una almohada de cuña para elevar la cabeza puede reducir el dolor que se siente y de esta forma permitir que podamos dormir mejor.
- Enjuagues bucales con agua salada:
Los enjuagues bucales con agua salada pueden aliviar el dolor asociado a los abscesos en las encías. El agua salada al aplicarse en enjuagues bucales, tiene propiedades antiinflamatorias y curativas sobre las heridas.
Para hacer el enjuague llene un vaso con agua tibia y añádale una cucharada de sal rosa del Himalaya. A continuación, proceda a enjuagarse la boca con la disolución. Haga esto 4 o 5 veces al día.
- Enjuagues con bicarbonato sódico:
El bicarbonato de sodio tiene propiedades antibacterianas y puede aliviar el dolor de las encías causado por un absceso Además ayudará a mantener un Ph en su boca más alcalino, lo que combate la acidez provocada por la presencia de placa bacteriana.
Enjuagarse la boca con una solución de bicarbonato de sodio y agua tibia ayudará a reducir la cantidad de placa en la boca y ayudará a aliviar el dolor. Para un enjuague efectivo, disuelva el bicarbonato en agua tibia, en una proporción de 1 a 1. A continuación, añada sal rosa del Himalaya y remueva la mezcla. Enjuáguese la boca con esta solución de 3 a 5 veces al día.
¿Cuándo Debemos Acudir a Nuestro Dentista?
Tras conocer los remedios caseros para la inflamación de encías o abscesos, debemos hacer hincapié en que estos son considerados emergencias dentales. De hecho, el 63% de las estancias hospitalarias por problemas dentales se deben a abscesos de encías o dientes.
Si experimenta alguno de los siguientes síntomas descritos, debe acudir de inmediato a su clínica de confianza para que le hagan una revisión y un diagnóstico adecuado:
- Dolor intenso y persistente.
- Fiebre.
- Hinchazón significativa en la cara o el cuello.
- Dificultad para respirar o tragar.
Recuerde que solo un profesional de la odontología puede ayudarle a eliminar la infección con el tratamiento más conveniente para usted y recetarle lo más adecuado, por ejemplo, antibiótico.

Este artículo proporciona información general y no debe sustituir el consejo médico profesional. Consulte siempre a su dentista para obtener un diagnóstico y tratamiento adecuados.