La gingivitis es una enfermedad que afecta a la salud de tus encías. Esta enfermedad de las encías, es conocida por afectar a un gran número de personas en todo el mundo. A pesar de su prevalencia, existen muchas preguntas y malentendidos sobre si la gingivitis es contagiosa o no. En este artículo resolvemos todas vuestras dudas.
De la mano de la Sociedad Española de Periodoncia y Osteointegración (SEPA), desgranamos todo lo que necesitas saber sobre la gingivitis.
GINGIVITIS TRATAMIENTO y SÍNTOMAS - ENCIAS INFLAMADAS
Gingivitis contagiosa, ¿realmente existe?
A diferencia de las enfermedades contagiosas tradicionales que se pueden transmitir de una persona a otra, la gingivitis no se considera contagiosa en el sentido tradicional. No puede contagiarse de alguien que padece gingivitis a través del contacto cercano o el uso compartido de utensilios. Sin embargo, es esencial saber que las bacterias que contribuyen a la gingivitis pueden transmitirse entre personas en ciertas circunstancias.
Llamamos gingivitis a la enfermedad periodontal leve causada por bacterias. La falta de higiene oral provoca una acumulación de placa que finalmente deriva en infección. Pero, ¿la gingivitis se pega? Como cualquier otra patología bacteriana, la gingivitis puede llegar a contagiarse a través de la saliva.
Las enfermedades periodontales pueden causar problemas muy severos si no se solventan con rapidez. Los estudios sugieren que las bacterias causantes de la enfermedad periodontal pueden transmitirse a través de la saliva entre personas genéticamente susceptibles. Esto implica que cuando un familiar o pareja entra en contacto con la saliva contaminada, existe riesgo de contraer la enfermedad periodontal.
Al producirse un contacto directo por saliva entre miembros de una pareja o en familia, las bacterias pueden llegar a pasar de una boca a otra. Sin embargo, la otra persona debe ser especialmente sensible a este tipo de patógenos periodontales para llegar a desarrollar la enfermedad.
La gingivitis se pega en el caso de que se presenten unas condiciones bucodentales desfavorables debidas a una mala higiene oral o por otros problemas de salud como la diabetes, e incluso por una genética propensa a tener problemas de encías.
Está claro que el principal medio de transmisión de las bacterias de la boca es el beso. No obstante, no hace falta modificar los hábitos en pareja. Será suficiente con acudir a la consulta de un profesional de la salud dental de manera regular para llevar un control adecuado del estado de la boca.
Las bacterias presentes en la placa dental que causa la gingivitis pueden transferirse de una persona a otra a través de la saliva. Es por eso que, aunque no es contagiosa en el sentido común, existe una posibilidad mínima de que las bacterias pueden propagarse entre individuos.
La gingivitis o la periodontitis no son un obstáculo en las relaciones de pareja. En definitiva, la gingivitis se pega, pero el riesgo de contagio es muy reducido. Tanto si sufres cualquier tipo de enfermedad periodontal como si es tu pareja quien lo padece, nuestra recomendación es visitar a un profesional de la salud dental que haga un correcto seguimiento de la enfermedad.
¿Qué es la gingivitis?
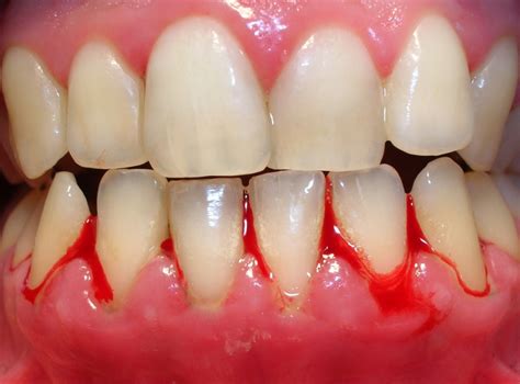
La gingivitis es una inflamación superficial de la encía sin que se produzca pérdida del soporte óseo y se caracteriza por hinchazón, sangrado (con el cepillado o espontáneo) y cambio de color de la propia encía, que tiende a ser más rojizo. Estos cambios suceden como consecuencia del aumento de vascularización en la zona, si bien no se producen siempre ni en todos los pacientes. Si no se trata a tiempo, la gingivitis puede empeorar y provocar la aparición de una periodontitis en personas con una mayor susceptibilidad a la enfermedad.
La gingivitis es una forma temprana de enfermedad periodontal, es decir, un problema que afecta las encías y los tejidos que sostienen los dientes. Se caracteriza por la inflamación de las encías, que ocurre cuando la placa bacteriana -una película pegajosa de bacterias- se acumula en los dientes y encías.
Aunque es reversible, supone el inicio de la enfermedad periodontal, por lo que, de no tratarse, puede dar lugar a patologías más graves. La gingivitis es una afección bucal que cursa con inflamación de las encías.
Reconocer sus síntomas en etapas tempranas es clave para evitar que avance hacia problemas más serios.
Un problema fundamental común a las enfermedades periodontales es que no se asocian con síntomas claros ni especialmente molestos. En concreto, la gingivitis no tiende, generalmente, a causar dolor o malestar intenso, por lo que muchas personas desarrollan esta enfermedad a menudo sin darse cuenta. Su síntoma más común es el sangrado de las encías (aunque en personas fumadoras este síntoma suele ser poco evidente).
Signos y síntomas de la gingivitis:
- Encía enrojecida con sangrado o inflamación.
- Pus en las encías.
- Mal sabor de boca o mal aliento.
- Dientes “más largos” (tocan antes al cerrar la boca) o dientes “flojos” (se mueven o se desplazan).
- Espacios entre los dientes.
- Hipersensibilidad al frío.
- Sangrado, inflamación y enrojecimiento de las encías.

¿Qué causa la gingivitis?
Las bacterias son las responsables de la gran mayoría de problemas de las encías. La acumulación de bacterias bajo la encía, organizadas en forma de placa bacteriana conduce a la inflamación de los tejidos adyacentes. Siempre que haya placa bacteriana, habrá algún grado de gingivitis. Si las encías sangran al cepillar los dientes (y están muy brillantes y rojas) puede significar que las bacterias ya han infectado la zona.
La causa directa de la gingivitis es la acumulación de placa bacteriana en los dientes y encías. Higiene bucal deficiente y acumulación de placa bacteriana: Los malos hábitos de higiene bucal pueden conllevar una limpieza deficiente. De esta forma, la placa bacteriana puede acumularse en los dientes.
Factores de riesgo
La prevalencia y gravedad de las enfermedades periodentales aumentan con la edad y la acumulación de otros factores de riesgo, como por ejemplo:
- Tabaquismo.
- Estrés.
- Cambios hormonales.
- La presencia de enfermedades sistémicas como la diabetes mal controlada o la obesidad.
¿A quién afecta?
Se estima que ocho de cada diez personas de 35 años o más sufren de algún tipo de patología de las encías. De ellas, la gingivitis es la más frecuente, mientras que un 30-38% de los adultos padece periodontitis.
Colectivos especialmente sensibles:
- Niños: en ellos es prácticamente universal (alcanza cifras del 70% en niños de 7 años y se eleva hasta el 90% en niños de 10 años). Sin embargo, estos trastornos de las encías no suelen adquirir un perfil grave. En sus revisiones orales rutinarias se deben explorar también las encías y, en caso de detectar cualquier problema, por leve que sea, comenzar el tratamiento.
- Mujeres: los cambios hormonales a lo largo de la vida de la mujer inciden de modo importante en su salud oral.
- Pubertad: en esta etapa, pueden desarrollarse signos marcados de inflamación en las encías sin un aumento claro en los niveles de placa bacteriana. Se denomina “gingivitis puberal” y está asociada a los incrementos de las hormonas sexuales (estrógenos y progesterona) que se dan en las niñas alrededor de los 12 años. Estos cambios hormonales producen un incremento de la circulación sanguínea en las encías, lo que favorece una respuesta inflamatoria exagerada a la acción de las bacterias, siendo habitual el sangrado.
- Etapa fértil: una de las consecuencias del síndrome premenstrual puede ser el sangrado de las encías, que desaparece justo cuando llega la menstruación.
- Embarazo: se conoce como “gingivitis gestacional” la que se sufre específicamente durante este periodo de la vida. Y es que los cambios hormonales pueden provocar alteraciones en los vasos sanguíneos de las encías similares a los que ocurren en la pubertad. Suele desaparecer habitualmente tras el parto. Si se tiene inflamación gingival antes de embarazo, la frecuencia de aparición es muy alta. Por otro lado, la toma de anticonceptivos también causa síntomas parecidos a los de la gingivitis gestacional.
- Menopausia: con el descenso de los estrógenos y progesterona en la mujer durante esta etapa se producen alteraciones significativas en los tejidos de la boca, con una menor secreción y cambios en la composición bioquímica de la saliva, así como desórdenes en la flora bucal.

¿Qué consecuencias puede tener la gingivitis?
Si no se trata, la gingivitis evoluciona hacia una periodontitis, que puede terminar causando pérdida de dientes, con los consiguientes problemas de estética, masticación, habla o autoestima, afectando claramente a la calidad de vida.
Si la gingivitis no se trata a tiempo, la inflamación y la acumulación de placa no se detienen. La periodontitis es una enfermedad en la que la inflamación ya no afecta solo las encías superficiales, sino que se extiende hacia los tejidos más profundos y el hueso que sostiene los dientes.
Recientes estudios confirman también que la infección de las encías tiene un impacto sistémico en el ser humano, afectando a otras partes del cuerpo situadas fuera de la cavidad oral. En el caso de la gingivitis, se ha demostrado que las bacterias que se introducen debajo de las encías pueden, en algunos casos, viajar desde la encía hasta al torrente sanguíneo, produciendo una inflamación sistémica que favorece, por ejemplo, la formación de trombos en las arterias. Por tanto, las infecciones de las encías son un claro factor de riesgo para padecer patologías cardiovasculares.
También se ha demostrado que una mala salud de las encías puede provocar mal control de la glucemia en personas con diabetes, puede adelantar el parto en casos de embarazo, elevar el riesgo de aparición de enfermedades respiratorias o de exacerbaciones de algunas de ellas o, incluso, aumentar las posibilidades de sufrir un infarto de miocardio o cerebral u otro evento cardiovascular.
¿Cómo se diagnostica?
Una simple visita al dentista será suficiente para detectar la presencia de niveles inadecuados de placa bacteriana e inflamación gingival. La Sociedad Española de Periodoncia (SEPA) cuenta en la web www.cuidatusencias.es con un autotest de salud gingival que, en tan solo un par de minutos, puede servir para que el ciudadano pueda intuir si padece este problema.
Tras el diagnóstico, es imprescindible la evaluación individual del riesgo de desarrollar enfermedades más avanzadas, potenciar la educación del paciente (favoreciendo la motivación adecuada para éste que introduzca cambios del comportamiento), y por último, reforzar las instrucciones de higiene oral.
¿Cuál es su tratamiento?
En el caso de la gingivitis, es necesaria la eliminación de la placa dental y el cálculo dental (también llamado “sarro”). Este tratamiento, denominado profilaxis profesional (o “limpieza de boca”), lo realizan los profesionales odontológicos. Además, es fundamental explicar cómo se deben cepillar los dientes y encías para mantenerlos limpios, y que no vuelva a aparecer dicho trastorno.
En el dentista se realizarán limpiezas dentales profesionales e incluso tratamientos periodontales preventivos mínimamente invasivos y sin dolor para evitar que la enfermedad se desarrolle. Después de la limpieza, mantener una buena higiene oral en casa es fundamental.
Debemos tener en cuenta que las diferentes enfermedades periodontales exigen un tratamiento distinto e individualizado. En general, el tratamiento de las enfermedades periodontales tiene tres objetivos diferentes:
- Eliminar o reducir las bacterias productoras de la enfermedad.
- Suprimir, reducir o modificar los factores que hacen que los pacientes sean más susceptibles a ésta, como son el tabaco o ciertas alteraciones dentarias como las malposiciones.
- Crear las condiciones adecuadas para que la enfermedad se pueda mantener controlada a largo plazo.
¿Se puede prevenir?
Sí, de forma muy sencilla. La combinación de una higiene dental diaria adecuada - cepillarse los dientes durante unos 2 minutos, al menos 2 veces al día, y con visitas periódicas de revisión y mantenimiento en la clínica dental al menos 2 veces al año - junto con tratamientos regulares para la eliminación de las bacterias que se depositan en la cavidad oral y el adecuado asesoramiento periodontal. Todas estas medidas son imprescindibles en la prevención de la gingivitis, y ayudan a que ésta no progrese si ya ha aparecido.
Consejos para evitar la gingivitis y que no sea contagiosa:
- Cepíllese adecuadamente: Cepille sus dientes al menos dos veces al día con un cepillo de dientes de cerdas suaves y pasta dental con flúor. Para un cepillado adecuado, recomendamos cepillar los dientes después de cada comida durante al menos 2 minutos. La nueva pasta Parodontax Pasta Encías con Ácido Hialurónico está especialmente indicada para personas que presentan problemas de encías como sensibilidad o sangrado.
- Use hilo dental: Limpie entre sus dientes y a lo largo de la línea de las encías con hilo dental diariamente para eliminar la placa que el cepillado no puede alcanzar.
- Realice enjuagues bucales: Utilice enjuagues bucales recomendados por su dentista para reducir la cantidad de bacterias en la boca. El colutorio debe ser complementario en nuestra rutina de higiene bucal y no debe sustituir a la pasta.
- Visite a tu dentista regularmente: Programe revisiones dentales periódicas para chequeos y limpiezas profesionales que ayuden a mantener sus encías saludables.
- Adopte una dieta equilibrada: Consuma alimentos saludables y limite la ingesta de azúcares y alimentos procesados que pueden contribuir a la placa dental.

La clave para prevenir la gingivitis es mantener una buena higiene bucal y buscar atención dental regular. Con estos cuidados, puede mantener sus encías sanas y su sonrisa radiante.
Claves generales para evitar y/o controlar la aparición de gingivitis
- Para toda la vida: La prevención de las enfermedades periodontales es un compromiso de por vida; la eliminación mecánica de la placa bacteriana debe ser diaria y debe acompañarse con otras medidas encaminadas a evitar riesgos adicionales para la salud bucodental.
- Lávate los dientes a menudo: Sigue unos mínimos hábitos de cepillado dental y de encías: hazlo durante unos 2 minutos, al menos 2 veces al día. Sobre todo, no olvides el cepillado antes de acostarte.
- Hazlo con el cepillo adecuado: Los cepillos recargables eléctricos son algo más eficaces en la reducción de placa e inflamación gingival que los cepillos manuales. No obstante, no hay evidencia suficiente para recomendar el uso un cepillo sobre otro y esto dependerá de las necesidades y destreza de los pacientes.
- Sigue una técnica correcta: Asegúrate de seguir una correcta técnica de cepillado dental y durante el tiempo adecuado. Cepilla cada cuarto de la boca unos 30 segundos. El cepillado dental 2-3 veces al día durante 2 minutos puede ser eficaz en la prevención primaria de la gingivitis y periodontitis en grupos de bajo riesgo; los pacientes de alto riesgo y la prevención secundaria requieren mucho más tiempo.
- No descuides el espacio entre dientes: La higiene interdental diaria es esencial para mantener la salud gingival. Los cepillos interdentales son el método más eficaz para aquellos espacios en los que se pueda pasar sin ejercer un trauma. Sin embargo, ten precaución en su uso en espacios interdentales estrechos; en estos casos, mejor usa hilo dental.
- Los enjuagues, el mejor refuerzo: Refuerza la higiene bucodental con algún colutorio o enjuague bucal, ya que ofrecen grandes beneficios en el manejo de la gingivitis y la prevención de la acumulación de placa. Sin embargo, ten en cuenta el coste, los problemas medioambientales y los efectos secundarios de estos productos, así como la necesidad de tomar medidas adicionales según tu caso.
- Cuídate más si eres mujer o padeces diabetes: Una mala salud de las encías puede provocar un escaso control de la glucemia en personas con diabetes e incluso puede adelantar el parto en casos de embarazo. De hecho, los cambios hormonales a lo largo de la vida de la mujer (pubertad, menopausia, síndrome premenstrual o embarazo) inciden de modo importante en su salud oral. Además, los niños son un colectivo especialmente sensible a este problema, aunque sin llegar a convertirse en un trastorno grave.
- Evita la automedicación: No recurras a productos de salud oral sin contar antes con el diagnóstico correcto y asesoramiento por parte de un profesional.
- Las revisiones son imprescindibles: Acude a tu dentista o periodoncista al menos una vez al año para que controle la situación de tus encías y dientes. Los receptores tienen que ser genéticamente susceptibles, según aseguran estudios recientes. Y es que la gingivitis y la periodontitis pueden llegar a ser una de las principales causas de caída de dientes en la etapa adulta. La mejor forma de combatirlo es la prevención y la higiene.
tags: #como #se #transmite #la #gingivitis