La endodoncia es un tratamiento dental que consiste en la remoción de la pulpa dental (nervio alojado en el diente), desinfección del diente y posterior sellado. El especialista en endodoncia tiene como objetivo eliminar la causa que provoca el estado patológico del diente.

Tras una endodoncia, muchas son las preguntas de cómo debería ser la reconstrucción del diente. ¿Quedará bien? ¿Será un tratamiento complejo o doloroso? ¿Qué se puede esperar? ¿Tendré más sensibilidad? En SJD Dentistas, entendemos las preocupaciones que pueden surgir alrededor de la reconstrucción de muela tras endodoncia. ¿Cómo será el proceso? ¿Será doloroso? ¿Cómo se verá mi diente después?
El proceso de reconstrucción dental tras una endodoncia
Una vez finalizada la endodoncia es necesario reconstruir la estructura dental destruida por la caries. El proceso de reconstrucción de una muela implica varios pasos para reparar y restaurar la parte dañada del diente. Desde la evaluación inicial hasta la colocación final de la restauración, cada paso es realizado con el máximo cuidado y precisión.
En SJD Dentistas, el proceso de reconstrucción de una muela tras una endodoncia se realiza con atención al detalle, asegurando la recuperación funcional del diente y estética. Todo tratamiento comienza con una evaluación del diente afectado y su entorno. Esta fase incluye un examen visual, el uso de radiografías y, en algunos casos, la toma de impresiones dentales.
Pasos clave en la reconstrucción dental
- Preparación del diente: El primer paso del tratamiento incluye la limpieza de cualquier caries residual, la eliminación de tejido dental dañado y la creación de una base sólida para la reconstrucción.
- Toma de impresiones: Para restauraciones como coronas, incrustaciones u onlays que requieren fabricación en laboratorio, se toman impresiones precisas del diente preparado.
- Fabricación de la restauración: Con las impresiones como guía, la restauración se fabrica en un laboratorio dental especializado.
- Ajuste y colocación: Una vez fabricada, la restauración se ajusta y se coloca sobre el diente. Este paso sirve para asegurar que la restauración encaja perfectamente, cumpla su funcionalidad y estética.
- Acabado y pulido: El último paso es el acabado y pulido de la restauración, asegurando que la superficie sea suave y que la restauración se integre con el resto de la dentadura.

Después de un tratamiento de endodoncia se debe restaurar la muela a su estado óptimo tanto funcional como estéticamente. En SJD Dentistas, empleamos técnicas de reconstrucción, seleccionando la más adecuada basándonos en el grado de daño y las necesidades de cada paciente.
Una corona dental cubre completamente el diente dañado, restaurando su forma, tamaño y función. Recuerda, la endodoncia salva tu diente de la extracción, pero es la reconstrucción dental la que restaura su forma, fuerza y estética.
Además, en SJD Dentistas, nos comprometemos a hacer que el tratamiento sea accesible, proporcionando opciones de pago y financiación. Si estás considerando la reconstrucción de muela tras una endodoncia o si tienes cualquier duda sobre el proceso, te invitamos a ponerte en contacto con nosotros o visitar nuestras clínicas dentales en Tenerife (San Cristóbal de La Laguna) y (Las Chafiras).
Si tienes Endodoncias, necesitas Corona en esos dientes. ¿Mito o realidad?
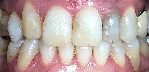
Posibles cambios de color tras una endodoncia
Muchos pacientes asocian la endodoncia con cambios estéticos negativos, especialmente el oscurecimiento del diente tratado. Esta preocupación no es infundada, ya que la apariencia de nuestros dientes juega un papel crucial en nuestra autoestima, la cual tiene un impacto directo sobre nuestra calidad de vida.
Contrario a la creencia popular, no todos los dientes se oscurecen después de una endodoncia. Para minimizar el riesgo de oscurecimiento del diente después de una endodoncia en Talavera de la Reina, es imprescindible asegurarnos de eliminar todo el tejido nervioso de la pieza dental así como realizar una adecuada asepsia y acción bactericida en la zona.
Por parte del paciente, es esencial seguir una buena higiene bucal y acudir a controles regulares con el dentista. Aunque el oscurecimiento del diente después de una endodoncia es posible, se trabaja para evitarlo y no es habitual que se produzca tomando todas las precauciones descritas anteriormente. Es importante discutir cualquier preocupación con tu dentista en Talavera de la Reina y seguir sus recomendaciones para el cuidado post-tratamiento.
¿A qué se deben los dientes oscuros?
La decoloración de los dientes o la alteración de su color puede tener su origen en diversas causas como la utilización de ciertos materiales en los empastes o los traumatismos (hemorragia o necrosis del tejido pulpar, calcificación…). Pero además, existe otra causa que puede producir el oscurecimiento dental: la endodoncia previa.

La alteración en el color de un diente que ha sido sometido a una endodoncia puede ser debida a la intrusión en el tejido dental de sangre o restos de tejido pulpar tras una necrosis, o simplemente, por la inclusión de restos de materiales empleados en la operación.
Sin embargo, no es habitual que suceda, pues los especialistas toman las precauciones oportunas para que el diente mantenga su coloración natural y la operación sea llevada a cabo con éxito.
Soluciones para dientes oscurecidos tras la endodoncia
Ante esta situación y antes de solucionar el problema, es necesario ir al dentista para descartar una posible endodoncia no realizada adecuadamente. Descartada la presencia de patologías y/o lesiones tras la realización de una radiografía, se procederá a poner en marcha el tratamiento para blanquear el diente afectado o para implementar una carilla o corona, según cada caso particular.
- Blanqueamiento interno o intracameral dental: Es la solución más adecuada para tratar el oscurecimiento de dientes producido tras la realización de una endodoncia. El dentista será el encargado de aconsejar el mejor tratamiento en cada caso particular, dependiendo de la tonalidad de la dentadura del paciente para que el resultado sea lo más natural posible y no se note.
Cuidados post-endodoncia
Durante la intervención y en las horas posteriores, mientras dura el efecto de la anestesia, es improbable que tengas dolor. Sin embargo, en los días posteriores a la extirpación de la pulpa es normal sentir algo de dolor, ya que las estructuras anatómicas adyacentes (hueso, ligamento periodontal, vasos sanguíneos y nervios) sufren una inflamación local como consecuencia de las maniobras que realiza el endodoncista.
Hay que tener en cuenta que la percepción del dolor después de una endodoncia no es igual para todos los pacientes. El nivel de inflamación es mayor o menor en función de muchos factores, entre ellos la edad del paciente, la condición de salud previa, la duración del tratamiento de endodoncia o la existencia de complicaciones durante el mismo.
El dolor tras la endodoncia suele remitir al cabo de varios días, entre 3 y 7, sin necesidad de tomar medicación. Si es necesario, se prescriben antiinflamatorios y analgésicos para controlar el dolor y la inflamación postoperatoria inmediata. Si, a pesar de haber tomado la medicación, el dolor persiste después de 5-7 días, debes llamar a la clínica dental y concertar una cita.
La importancia de la reconstrucción final
La reconstrucción definitiva de la pieza dental afectada devolverá el aspecto normal a la misma y además se recuperará la funcionalidad de forma total. Esta parte final del tratamiento consiste en colocar una corona o funda para proteger esa pieza de que sufra una fractura.
Es muy raro que un buen profesional no se moleste porque un paciente esté interesado en ver el resultado final de su tratamiento. Una vez que esté terminada la endodoncia no dudéis en pedirle al endodoncista que os enseñe la radiografía final de control para poder valorar la terminación de la misma.
Tabla resumen de cuidados y reconstrucción:
| Aspecto | Descripción |
|---|---|
| Dolor post-endodoncia | Normalmente remite en 3-7 días; se controla con analgésicos y antiinflamatorios. |
| Oscurecimiento del diente | Posible, pero se minimiza con técnicas adecuadas y buena higiene. |
| Reconstrucción | Esencial para restaurar la funcionalidad y estética; puede incluir coronas, incrustaciones o carillas. |
| Seguimiento | Revisiones dentales periódicas para asegurar la salud y estabilidad del diente tratado. |