Aunque cuando sonreímos sólo se nos ve la parte frontal de nuestros dientes, la parte anterior de nuestra cavidad es vital para nuestra salud bucodental. Nuestra boca es una cavidad en la que todo debe estar en armonía. Los dientes de las arcadas superior e inferior están apoyadas las unas con las otras de tal manera que favorecen la correcta función de la masticación. Por lo tanto, existe un equilibrio dinámico.
En caso de existir una pérdida de alguna de las piezas, es muy probable que la integridad estructural de la arcada se interrumpa causando, consecuentemente, un desequilibrio que no debe suceder. El puente dental es una solución odontológica utilizada para reemplazar uno o más dientes perdidos.

Un puente dental fijo es un tipo de prótesis dental que se apoya sobre los dientes sanos que el paciente aún conserva en su boca. Normalmente, las prótesis parciales fijas (como también se les denomina) sustituyen a dientes perdidos adyacentes: que se encontraban juntos en la boca del paciente.
¿Qué es un puente dental?
Un puente dental es una prótesis fija utilizada para reemplazar uno o varios dientes perdidos de forma contigua. Está formado por una serie de coronas dentales unidas entre sí, que imitan fielmente la forma y función de las piezas naturales. Al sustituir los dientes faltantes, esta prótesis ayuda a preservar la alineación correcta y la distribución equitativa de las fuerzas en la boca. Esta versatilidad lo convierte en una opción habitual en tratamientos de rehabilitación oral.
Cuando se coloca un puente, los dientes situados a ambos lados del espacio se cubren con coronas (fundas) a las que se fija un diente artificial (póntico). Cuando faltan varias piezas dentales, una de las soluciones más habituales para recuperar la estética y funcionalidad de la boca es el puente sobre implantes.
Los puentes dentales ofrecen numerosas ventajas a las personas que han perdido dientes como resultado de enfermedades dentales, fracturas o lesiones.
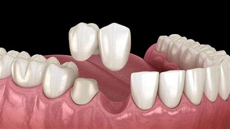
Partes de un puente dental fijo
Un puente dental fijo típico está compuesto por tres coronas dentales: dos llamadas pilares y una central conocida como póntico.
- Pilares: Son las coronas que se colocan sobre los dientes naturales del paciente (o sobre implantes dentales, según el caso).
- Póntico: Es la pieza artificial situada entre los pilares que reemplaza el diente perdido. Es el diente artificial que se sustenta en el diente pilar es el póntico.

Tipos de puentes dentales
Existen varios tipos de puentes dentales, y su elección dependerá de la ubicación del diente ausente, el estado de los dientes adyacentes y el tipo de rehabilitación que se requiera. Cada tipo de puente bucal tiene sus ventajas y limitaciones.
El PUENTE DENTAL: Tipos, materiales, ventajas e inconvenientes - Recupera tu sonrisa | Dentalk! ©
- Puente dental tradicional: Consiste en una o más prótesis dentales que se sujetan mediante coronas dentales a los dientes adyacentes a la pieza perdida. Este tipo de puente es el más popular y se puede colocar siempre que haya dientes naturales sanos en ambos lados del espacio que ha dejado la pieza perdida. Es el más utilizado en odontología restauradora.
- Puente dental voladizo: Los puentes voladizos son muy similares a los tradicionales, pero el bloque de prótesis dental se sostiene mediante una corona dental sobre un solo diente. Este tipo de puente se usa en caso de que solo haya dientes a un lado del hueco donde se coloca el puente. Este tipo de puente se apoya únicamente en un solo diente pilar.
- Puente dental Maryland: Los puentes Maryland se sujetan con una estructura de metal o porcelana adherida a la parte posterior de los dos dientes contiguos a la pieza que falta, sin tener que tallarlos. Este tipo de puente consiste en un marco de metal con uno o varios dientes de porcelana y alas para fijarlos a los dientes adyacentes.
- Puente fijo sobre implantes: Los puentes fijos sobre implantes son la opción idónea cuando faltan varias piezas dentales. En vez de sujetarse sobre dientes sanos, se atornillan a los implantes dentales. En la actualidad, solemos proponer los puentes dentales fijos sobre implantes a aquellos pacientes que sufren varias ausencias dentales y que quieren recuperar su función.
Las prótesis parciales fijas pueden ser clasificadas también, según el número de dientes a sustituir y la posición que tienen en la arcada. Este tipo de prótesis requiere de dos pilares distintos, uno por distal y otro por mesial en el espacio edéntulo.
La prótesis parcial fija convencional dentosoportada se coloca sobre dientes cuando existe una zona edéntula que incluye pocas piezas. La prótesis parcial fija implantosoportada es la más indicada en aquellos pacientes que no disponen del número de dientes pilares mínimos o bien, en caso de existir, éstos no ofrecen la fuerza necesaria para soportar una prótesis parcial fija convencional.
Tabla comparativa de tipos de puentes dentales:
| Tipo de Puente Dental | Descripción | Ventajas | Desventajas |
|---|---|---|---|
| Tradicional | Coronas en dientes adyacentes con póntico intermedio. | Popular, estético. | Requiere tallar dientes sanos. |
| Voladizo | Soporte en un solo diente adyacente. | Útil cuando solo hay un diente adyacente. | Menos estable, riesgo de daño al pilar. |
| Maryland | Estructura adherida a la parte posterior de los dientes adyacentes. | Mínimamente invasivo. | Menos resistente. |
| Sobre implantes | Atornillado a implantes dentales. | Mayor estabilidad, no daña dientes adyacentes. | Más costoso, requiere cirugía. |
¿Cómo se coloca un puente dental?
La colocación de un puente dental, ya sea sobre implantes dentales o dientes naturales, es un proceso clínico que requiere precisión y personalización. Aunque ambos casos comparten fases similares, cada uno tiene particularidades según el soporte elegido.

- Todo tratamiento con puentes dentales comienza con una evaluación completa del estado bucal del paciente. Primero, tu dentista tomará una serie de radiografías y una impresión de tu boca con una masilla de alginato. Un escáner intraoral facilita imágenes detalladas en 3D de la boca. En Clínica Ferrus&Bratos te ofrecemos una primera consulta gratuita, donde evaluamos tu caso y diseñamos un presupuesto a medida, sin compromiso.
- Después, el dentista prepara los dientes a cada lado del hueco para insertar las coronas y toma una impresión de toda la zona. Después, procederá al tallado de los dientes naturales que el paciente aún conserva alrededor del “hueco” causado por sus dientes perdidos. De esta manera se proporciona el espacio suficiente y una mejor superficie de agarre para el puente que se coloca sobre ellos.
- Después, coloca un puente provisional de plástico o metal. Durante el proceso de cicatrización (especialmente tras la colocación de implantes), el paciente puede llevar un puente dental provisional. No olvides que las prótesis dentales se confeccionan en laboratorios dentales aparte de las clínicas, y que son necesarios unos días hasta que tu puente esté listo para colocarse en tu boca.
Cuidados de un puente dental
Si mantienes hábitos de higiene bucal adecuados y vas al dentista con regularidad, un puente dental fijo puede durar aproximadamente 10 años. Hay estudios que estiman una duración estimada de 5 a 10 años para puentes sobre dientes naturales. En condiciones óptimas, y con una correcta colocación por parte de un profesional especializado, un puente puede llegar a durar toda la vida.
Consejos esenciales para su cuidado:
- Sea cual sea el tipo de puente dental que tengas, parte de su eficacia depende de que los dientes adyacentes estén sanos, lo cual se consigue con una rutina de higiene bucal regular que incluya cepillarse los dientes dos veces al día y usar hilo dental a diario.
- Usa un cepillo de cerdas suaves o un cepillo interdental para limpiar bien alrededor del puente y elige un hilo dental diseñado también para tal fin.
Ventajas de un puente dental
Además de las ventajas más obvias, como la recuperación de la función masticatoria y el reestablecimiento de la estética de su sonrisa, Un puente dental evita diversos riesgos para la salud bucodental del paciente. Cuando hay ausencias dientes en la boca del paciente, las piezas que rodean al hueco vacío tienden a girar o moverse para ocuparlo con el paso del tiempo.
Las prótesis parciales fijas ofrecen una gran resistencia y durabilidad, y mantienen muy bien su aspecto con el paso del tiempo. Cuando se realiza un estudio inicial exhaustivo y se emplean tecnologías avanzadas para confeccionar la prótesis, el puente dental no se nota. Además, no solo destaca por su apariencia.
Desventajas de un puente dental
Su principal inconveniente es que hay que tallar dientes sanos, por lo que es un tratamiento mucho más invasivo que los implantes dentales. Ante la ausencia de un diente, recomendaremos mucho antes colocar un implante que un puente anclado a dos dientes sanos, ya que deberíamos prepararlos para la colocación del puente, debilitándolos y yendo en contra de nuestro principio de mínima invasión y conservación dental. El principal inconveniente del puente dental fijo anclado a dos dientes naturales es que para encajarlo es necesario tallar las piezas que hacen de pilares, por lo que resulta un tratamiento más invasivo que los implantes dentales.
En términos generales, un puente dental sobre implantes es más caro que uno cimentado sobre dientes naturales.