Sonrisas perfectas y radiantes a cualquier edad son el sueño de muchos. Los tratamientos de estética dental, antes exclusivos de famosos, ahora están al alcance de todos. Uno de los tratamientos más populares y efectivos son las carillas dentales. Estas finas láminas permiten corregir forma, tamaño, posición y color de los dientes, ofreciendo una solución estética integral.

¿Qué son las Carillas Dentales?
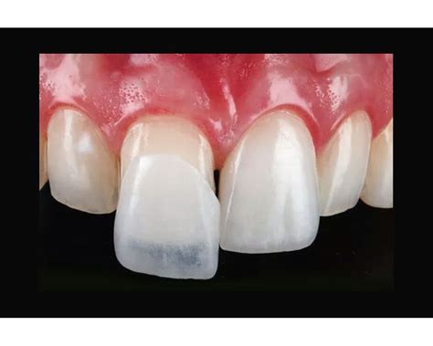
Las carillas dentales son láminas delgadas que se adhieren a la superficie frontal de los dientes para mejorar su apariencia estética. Este tratamiento es ideal para corregir imperfecciones como:
- Dientes desalineados
- Fracturas
- Manchas o decoloración
- Diastemas (separación entre dientes)
Este tratamiento ofrece resultados inmediatos y altamente estéticos, transformando la sonrisa de manera notable.
Tipos de Carillas Dentales
Existen dos tipos principales de carillas dentales, según el material empleado:
- Carillas de Porcelana: Conocidas por su durabilidad y apariencia natural, imitan el brillo y la translucidez del esmalte dental.
- Carillas de Composite: Una opción más económica que se aplica directamente sobre el diente, permitiendo realizar ajustes en la misma consulta.
La elección entre uno u otro tipo dependerá de las necesidades y expectativas del paciente, así como de las recomendaciones del odontólogo.

El Proceso Paso a Paso
Antes de colocar las carillas, es fundamental realizar un estudio y diagnóstico personalizado. Este proceso incluye:
- Primera Visita: Se lleva a cabo una evaluación exhaustiva de la salud bucodental del paciente, incluyendo un escaneo 3D de la anatomía de los dientes y encías.
- Diseño Digital: Se crea un diseño digital de las futuras carillas, mostrando una vista previa del resultado esperado.
- Preparación del Diente: En algunos casos, es necesario realizar un ligero desgaste del esmalte dental para asegurar una correcta adhesión de la carilla.
- Colocación de las Carillas: Las carillas se adhieren cuidadosamente a la superficie del diente utilizando un adhesivo dental especial.
- Ajustes Finales: Se realizan los ajustes necesarios para asegurar una mordida cómoda y una apariencia natural.
🚩 Carillas dentales: ¿Negocio o Salud?
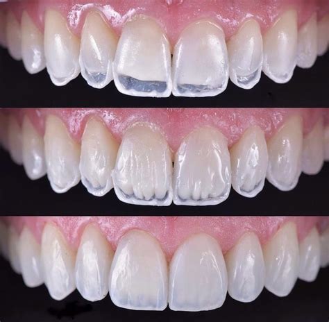
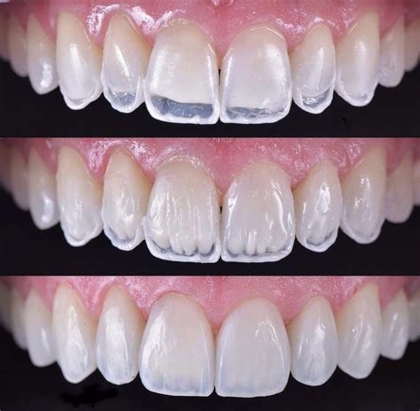
Casos Reales: Antes y Después
Para ilustrar el impacto de las carillas dentales, presentamos algunos casos reales de pacientes que han transformado su sonrisa gracias a este tratamiento:
Caso 1: Recuperación de Anatomía y Color
En este caso, se observa una notable recuperación de la anatomía dental. Los dientes han sido restaurados a su forma natural, y el color ha sido mejorado significativamente, logrando un tono más uniforme y brillante.

Caso 2: Tratamiento Combinado
Después de completar el tratamiento de ortodoncia con Invisalign, se da un paso más hacia la sonrisa perfecta, nivelando y armonizando la sonrisa con la colocación de carillas.

Caso 3: Rediseño de Anatomía y Color
Este paciente, que originalmente se colocó coronas a los 49 años en otro centro dental, decidió a los 64 años replantearse el cambio de las mismas. Los materiales actuales ofrecen una estética superior, gracias a su capacidad para reflejar la luz y sus transparencias más realistas.

Caso 4: Opacidad Total
En este caso, se utilizaron carillas para el sector anterior, mejorando la apariencia de los dientes visibles al sonreír. La paciente aportó multitud de fotos de sus dientes antes del traumatismo para poder explicar el resultado que deseaba, básicamente era conseguir recuperar la sonrisa de siempre.

Famosos y Carillas Dentales
Muchos famosos han recurrido a las carillas dentales para mejorar su sonrisa. Desde deportistas como Cristiano Ronaldo hasta artistas como Amaia Salamanca, las carillas han transformado sus sonrisas, dándoles mayor confianza y atractivo.
- Cristiano Ronaldo: Considerado uno de los mejores futbolistas, utilizó ortodoncia y carillas de porcelana para corregir la inclinación y opacidad de sus dientes.
- Amaia Salamanca: Esta actriz solucionó sus problemas de disparidad en los tamaños de sus piezas dentales utilizando carillas de porcelana.
- Daniel Radcliffe: Durante su trayectoria en la saga Harry Potter se le notaba la separación o diastema de sus dientes frontales, además de la disparidad de algunas piezas.

Cuidados Posteriores
Para asegurar la durabilidad de las carillas dentales, es importante seguir una serie de cuidados:
- Mantener una buena higiene bucal, cepillando los dientes después de cada comida.
- Utilizar hilo dental diariamente.
- Evitar el consumo excesivo de alimentos y bebidas que puedan manchar los dientes, como café, té y vino tinto.
- No fumar.
- Visitar al odontólogo regularmente para realizar revisiones y limpiezas profesionales.
Tabla comparativa de tipos de carillas
| Característica | Carillas de Porcelana | Carillas de Composite |
|---|---|---|
| Material | Porcelana | Resina compuesta |
| Durabilidad | Alta (10-15 años) | Media (5-7 años) |
| Estética | Excelente (apariencia natural) | Buena (menos translúcidas) |
| Costo | Más alto | Más bajo |
| Proceso | Requiere varias citas | Puede completarse en una cita |
Las carillas dentales son una excelente opción para transformar tu sonrisa y aumentar tu confianza. Con los cuidados adecuados y la elección del tipo de carilla que mejor se adapte a tus necesidades, podrás disfrutar de una sonrisa radiante y natural durante muchos años.