Si necesitas una corona dental para proteger o restaurar un diente, es normal que te surjan dudas sobre qué tipo de corona te conviene más y cuánto cuesta. En este artículo, te explicaremos los diferentes tipos de coronas dentales (fundas dentales) que existen y sus precios aproximados en España.

¿Qué son las coronas dentales?
Una corona dental (también llamada funda dental o prótesis fija) es una cubierta con forma de diente que se coloca sobre una pieza dental dañada o debilitada, restaurando su forma, tamaño, función y apariencia. En otras palabras, actúa como un “casquete” que protege al diente natural, devolviéndole su fuerza para masticar y su estética.
😀 ¿CUÁNDO SON NECESARIAS LAS CORONAS DENTALES? 😀 ¿Cuándo se utilizan las 𝐂𝐎𝐑𝐎𝐍𝐀𝐒 𝐃𝐄𝐍𝐓𝐀𝐋𝐄𝐒?
Un tratamiento dental con coronas estéticas se realiza para mejorar el aspecto de tu sonrisa. La corona tiene las condiciones de un diente natural en cuanto a su color, brillo, relieve, altura, anchura, alineación y contorno. También es un tratamiento dental funcional ya que se usa para reforzar el diente, devolviéndole su estructura para poder comer y masticar utilizando todos los dientes. Se pueden hacer coronas en todos los dientes para restaurar su aspecto y resistencia.
¿Cuándo recomendamos poner una corona?
- Cuando un diente está muy debilitado o fracturado y corre riesgo de romperse más.
- Para proteger un diente que ha recibido una endodoncia (tratamiento de conducto).
- Para restaurar un diente con una caries muy extensa que no puede reconstruirse solo con un empaste (relleno).
- Como parte de un tratamiento de prótesis sobre implantes.
- Por estética dental: para cubrir dientes muy descoloridos, deformados o con malformaciones cuando otros tratamientos (como carillas dentales) no son viables.
En todos estos supuestos, la corona (funda) ayuda a salvar el diente o a reemplazarlo de forma fija, evitando tener que extraer la pieza o recurriendo a prótesis removibles.
Tipos de Coronas Dentales
Existen diferentes tipos de coronas dentales en función del material con el que están fabricadas. Cada material ofrece distintas ventajas en cuanto a estética, durabilidad y precio. Como profesional, siempre evalúo el caso individual para recomendar el tipo de corona más adecuado.
Coronas de Porcelana
Las coronas de porcelana están hechas completamente de material cerámico (porcelana dental de alta calidad, como el disilicato de litio e.max). Son las coronas más estéticas, ya que imitan muy bien el color, el brillo y la translucidez de un diente natural. Por eso suelen emplearse en los dientes anteriores (incisivos y caninos) que se ven al sonreír.
Como desventaja, la porcelana pura es algo menos resistente a la fractura comparada con otros materiales más duros. No se recomienda usar solo porcelana en zonas de carga extrema (por ejemplo, en muelas muy comprometidas) porque podría llegar a fracturarse ante fuerzas masticatorias intensas.
Ejemplo: Un paciente joven con un incisivo oscuro por un golpe eligió una corona totalmente cerámica.
Coronas de Zirconio
La corona dental de zirconio es la opción más innovadora y eficiente. La corona de zirconio permite sustituir muy ventajosamente las aleaciones de metal y cerámica de porcelana. Son las mejores coronas dentales por estética. Más ligeras, menos voluminosas que las coronas de metal-porcelana. Se realizan de un material blanco, translúcido que permite realizar prótesis de aspecto aún más luminoso. Las coronas de alta estética sobre diente tienen entre sus ventajas que no se ven bordes grises en el caso que la encía se retraiga y limitan la adherencia de la placa dental.
Las coronas de zirconio están fabricadas con dióxido de zirconio, un material cerámico extra duro. Estas coronas se pueden usar tanto en dientes frontales como en muelas, ya que su resistencia a la fractura es de las más altas. De hecho, el zirconio ha reemplazado en muchos casos a las antiguas coronas totalmente metálicas, permitiendo tener fuerza y estética a la vez.

En mi experiencia, las coronas de zirconio son una excelente opción para molares o premolares que requieren mucha resistencia, o para pacientes que aprietan los dientes, ya que aguantan muy bien el desgaste. También las empleo en dientes anteriores cuando el paciente quiere la máxima durabilidad junto con estética.
Coronas Metal-Porcelana
Las coronas metal-porcelana (también llamadas de porcelana fundida sobre metal) han sido durante décadas las más utilizadas. Consisten en un núcleo interno metálico (una aleación de metales, por ejemplo cromo-cobalto o níquel) recubierto externamente por porcelana del color del diente. Son muy fuertes y duraderas. Toleran muy bien la presión de la mordida al masticar, por lo que resultan ideales para reemplazar dientes posteriores (muelas y premolares). Al estar detrás, la leve diferencia estética no se nota y se aprovecha su robustez.
El punto débil de las metal-porcelana está en la estética a largo plazo: con los años, si las encías se retraen un poco, puede asomarse una fina línea oscura del metal en la base de la encía, resultando algo antiestético en la sonrisa. Por eso, hoy en día en los dientes delanteros (sonrisa) preferimos evitar el metal subyacente, usando coronas totalmente cerámicas o de zirconio.
Coronas Metálicas
Las coronas metálicas están hechas enteramente de metal. Las coronas metálicas de acero u otros metales base se usan poco en adultos actualmente, porque su apariencia plateada u oscura no es estética. Antiguamente eran comunes por su extrema durabilidad - prácticamente no se fracturan nunca y pueden durar décadas - pero hoy se reservan sobre todo para dientes temporales (molares de leche) en niños o como provisionales. Su ventaja es el bajo precio del material y la resistencia. Sin embargo, visualmente son muy llamativas (color metálico) y pueden generar problemas estéticos y hasta leves sensibilidades galvánicas.
Las coronas de oro merecen mención aparte. El oro es un material excelente en odontología: muy biocompatible, no provoca alergias, altamente resistente al desgaste y se adapta con precisión. Algunas personas aún solicitan coronas de oro en molares por su durabilidad y porque el oro sufre menos desgaste contra dientes opuestos. Sin embargo, son muy caras (debido al precio del oro) y estéticamente llamativas por su color dorado. Por eso, su uso es minoritario hoy en día.
Coronas de Resina
Las coronas de resina están hechas de resina acrílica o composite. Son coronas temporales que utilizamos de forma provisional mientras se fabrica la corona definitiva de mejor material. Sus ventajas son el precio muy bajo y la rapidez de fabricación (incluso se pueden hacer directamente en clínica). Sin embargo, no son muy resistentes ni duraderas: la resina puede fracturarse o desgastarse en pocos meses y con el tiempo tiende a decolorarse o mancharse.
En mi práctica, siempre coloco una corona de resina provisional tras tallar el diente, para protegerlo mientras el laboratorio hace la corona definitiva de porcelana, zirconio, etc.
Precios Aproximados de las Coronas Dentales en España
El precio de una corona dental puede variar ampliamente según varios factores. Principalmente depende del material del que esté hecha, pero también influyen la técnica empleada, la ciudad y clínica donde te atiendas, y la complejidad de tu caso. Por ejemplo, coronas realizadas con materiales avanzados suelen ser más caras, y en grandes ciudades los honorarios pueden ser algo mayores.
En nuestra clínica dental en Madrid el coste de una corona dental porcelana o corona cerámica sobre diente es de 290€. El precio de una corona de zirconio de alta estética sobre diente es de 500€ en nuestra clínica.
A continuación, se muestra una tabla con los precios orientativos por unidad (por cada corona sobre un diente natural). Estos precios pueden variar según la clínica y la ubicación geográfica, pero reflejan los rangos habituales en España en 2024-2025:
| Tipo de Corona | Material | Precio Aproximado (€) |
|---|---|---|
| Porcelana | Cerámica de alta calidad (disilicato de litio e.max) | 350 - 700 |
| Zirconio | Dióxido de Zirconio | 300 - 600 |
| Metal-Porcelana | Núcleo metálico recubierto de porcelana | 250 - 450 |
| Metálica | Metal (acero, cromo-cobalto) | 100 - 150 |
| Oro | Oro o aleación alta en oro | 700 - 1000+ |
| Resina | Resina acrílica o composite | 30 - 50 |
Consideraciones adicionales:
- Tratamientos previos: Si el diente requiere una reconstrucción, una endodoncia (desvitalizar el nervio) o cirugía de implante antes de colocar la corona, estos procedimientos se cobran aparte del precio de la corona.
- Tipo de clínica o seguro dental: En clínicas de alto prestigio o especialistas muy experimentados, el precio puede ser algo mayor. Algunas aseguradoras dentales o franquicias ofrecen coronas a precios más reducidos para sus socios.
Mi consejo profesional es priorizar la calidad y la biocompatibilidad del material en la medida de tu presupuesto. Elegir bien el material de la corona es vital: una corona de calidad te durará muchos años más, evitando retratamientos.
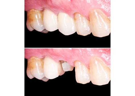
¿Cómo se Coloca una Corona Dental?
El procedimiento para colocar una corona dental suele requerir dos visitas al dentista (salvo que se utilice tecnología CAD/CAM para hacer la corona en el día).
- Preparación del diente: En la primera cita, se anestesia localmente la zona. El dentista talla el diente reduciendo su tamaño alrededor, de modo que haya espacio suficiente para alojar la corona encima. Si había caries o empastes antiguos, se eliminan.
- Impresiones o escaneo: Se toma el registro de la forma del diente preparado y de la mordida. Esto puede hacerse con una impresión de silicona o mediante un escáner intraoral 3D.
- Colocación de corona provisional: Normalmente te colocamos una corona provisional de resina sobre el diente tallado. Esta funda temporal protege el diente y te permite hacer vida normal durante el intervalo.
- Cementado de la corona definitiva: En la segunda visita, se retira la provisional y se prueba la corona definitiva. El dentista comprueba que el ajuste, el contacto con los dientes vecinos y la oclusión (mordida) sean perfectos. Si todo es correcto y estéticamente te ves bien, se fija la corona permanente con un cemento dental especial.
En la mayoría de los casos, poner una corona es un procedimiento indoloro porque se realiza con anestesia. Tras el cementado, puedes notar el diente un poco «extraño» o con leve sensibilidad al frío los primeros días, pero esto desaparece rápido.
Duración y Cuidado de las Coronas Dentales
En términos generales, la vida útil de una corona bien hecha es de 10 a 15 años de media, pudiendo durar incluso 20 años o más con buenos cuidados.
¿Cómo cuidar tus coronas dentales para que duren más?
- Higiene oral escrupulosa: Cepilla tus dientes (y coronas) al menos 2-3 veces al día con una pasta fluorada. Usa hilo dental o cepillos interdentales diariamente para limpiar los bordes de la corona.
- Evita hábitos perjudiciales: No uses tus dientes (con corona o sin ella) para abrir envases, morder objetos duros o cortar cosas que no sean comida.
- Visitas periódicas al dentista: Programa revisiones e higienes dentales profesionales al menos una vez al año.
Siguiendo estos consejos, tus coronas se mantendrán en perfecto estado por muchos años.