Las coronas de zirconio, también conocidas como coronas de circonio, representan un método altamente efectivo para restaurar la estética dental. Además de mejorar la apariencia de tu sonrisa, estas coronas ofrecen una mayor resistencia al diente, especialmente si ha perdido parte de su estructura. En casos de ausencia dental, también pueden servir como reemplazo, permitiendo al paciente recuperar la funcionalidad de su mandíbula y prevenir problemas como la pérdida de hueso.
Pero, ¿qué son exactamente las coronas dentales? Una corona es una funda que se coloca sobre el diente, o sobre implantes en caso de que el paciente se haya sometido a esta cirugía. A efectos prácticos, la corona actúa como un diente natural, tanto en su apariencia estética como en su resistencia.

¿Cuándo se Recomienda una Corona de Zirconio?
Las coronas de zirconio son una excelente opción en diversas situaciones:
- Pérdida de un diente: Por motivos de salud, es aconsejable recuperar la pieza dental para evitar problemas de maloclusión.
- Deterioro de la pieza dental: Cuando el diente natural ha experimentado un gran desgaste, una corona puede restaurar su funcionalidad y apariencia.
- Mejorar la estética dental: Las coronas de Zirconio son ideales para corregir imperfecciones y mejorar la estética dental. Si se tienen dientes manchados, desgastados, mal posicionados o con formas irregulares, las coronas de Zirconio pueden recrear la apariencia natural de los dientes.
Las coronas pueden sustituir cualquier diente, aunque su visibilidad varía según la ubicación. El dentista recomendará la mejor opción según las necesidades estéticas del paciente.
¿De qué Están Hechas las Coronas de Zirconio?
Las coronas de Zirconio están fabricadas principalmente de Zirconio, un material cerámico blanco de alta calidad. El uso del zirconio en Odontología es relativamente reciente. Este material de color blanco confiere un resultado muy natural y, al no tener una parte metálica, permite el paso de la luz. Este tipo de fundas dentales son las más estéticas que existen actualmente en el mercado. Al estar hechas 100% de zirconio, siempre permanecerán del color del diente que se haya elegido.
También conocidas como fundas sin metal, la principal ventaja de estas coronas es el material. El zirconio ha permitido aumentar la resistencia de la funda hasta igualarse a las de metal-porcelana, pero con el color, forma y translucidez de un diente natural. El paciente no aprecia diferencias estéticas y funcionales con respecto a sus piezas dentales, por lo que la corona se comporta como un diente más dentro de la boca. Gracias a su solidez, la persona es capaz de masticar con toda normalidad.

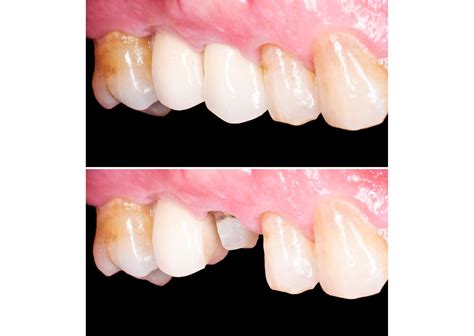
Diseño de Sonrisa a utilizando Coronas en Zirconio
Ventajas de las Coronas de Zirconio
Las coronas de Zirconio ofrecen numerosos beneficios tanto desde el punto de vista estético como funcional. Están diseñadas para ser altamente resistentes a la rotura y su color, forma y translucidez las hacen prácticamente indistinguibles de los dientes naturales. Estas son algunas de sus ventajas principales:
- Estética Natural: Una de las principales ventajas de las coronas de Zirconio es su extraordinaria capacidad para mimetizarse con los dientes naturales. Gracias a la translucidez y el color blanco del Zirconio, estas coronas se integran perfectamente en la sonrisa, resultando prácticamente indistinguibles de los dientes naturales. En cuanto a la estética, el zirconio destaca por su color y translucidez, muy similares al diente natural.
- Resistencia y Durabilidad: Las coronas de circonio destacan por su excepcional resistencia y durabilidad. Debido a su composición de cerámica blanca de circonio, estas coronas son capaces de soportar las fuerzas masticatorias sin sufrir daños ni fracturas. Aunque presentan un aspecto delicado y fino, el zirconio es un material extremadamente resistente.
- Biocompatibilidad: Las coronas de zirconio monolítico ofrecen una alta biocompatibilidad, lo que significa que se integran de forma óptima con los tejidos de la boca y reducen el riesgo de inflamación o reacciones adversas. A diferencia de las coronas de metal-cerámica o porcelana tradicional, la corona zirconio no contiene metales, lo que reduce el riesgo de alergias y rechazos. Esta característica lo convierte en una opción muy segura para pacientes con sensibilidad dental o alergias a ciertos metales.
- Resistencia a las Manchas: Las coronas de zirconio son resistentes a las manchas, lo que significa que mantienen su aspecto blanco y brillante durante más tiempo que otros materiales, como la porcelana.
Además, el continuo contacto entre el metal y la encía puede provocar que la zona periodontal se oscurezca en algunos casos. Sin embargo, este supuesto no llega a suceder con las coronas dentales de zirconio.
Proceso de Colocación de una Corona de Zirconio Monolítico
Las coronas de zirconio monolítico se fabrican utilizando sistemas de escaneo y fresado CAD/CAM. El proceso de colocación de una corona de zirconio no es generalmente doloroso. Se realiza bajo anestesia local, por lo que no deberías sentir dolor durante el procedimiento.
- Evaluación y diagnóstico: El odontólogo realiza una revisión completa para valorar el estado del diente a restaurar. Se pueden tomar radiografías para comprobar la estructura interna y descartar infecciones o daños más profundos.
- Preparación del diente: Se reduce ligeramente el tamaño del diente natural para crear el espacio necesario para la corona. Las coronas de zirconio monolítico requieren una mínima eliminación de la estructura dental sana.
- Toma de impresiones: Se realiza un escaneado digital (o en algunos casos una impresión tradicional) de la pieza dental ya preparada. Dado que las coronas de zirconio se confeccionan de manera personalizada, el primer paso consiste en tomar impresiones (medidas) de la boca del paciente. Adicionalmente, estas impresiones se utilizan para fabricar la corona provisional que llevará el paciente antes de que coloquemos la definitiva.
- Fabricación de la corona: El laboratorio dental fabrica la corona de zirconio monolítico a medida, siguiendo las especificaciones del escaneo. El laboratorio dental recibe las impresiones y confecciona la corona a medida del paciente, de acuerdo a los requerimientos fijados por el odontólogo (tamaño, forma, color…).
- Prueba y ajuste: Una vez lista la corona, se realiza una prueba para comprobar que encaja perfectamente, tanto en forma como en color. Una opción es que el odontólogo realice una impresión de la dentadura del paciente, y con ella poder un molde de su dentadura.
- Cementado definitivo: Cuando todo está correcto, se fija la corona al diente mediante un cemento dental especial. El paciente vuelve a acudir a la clínica dental para que el dentista le retire la corona provisional y fije la definitiva. La corona de zirconio puede colocarse cementada o atornillada, en función de si va sobre un diente o un implante. Una vez que la corona de Zirconio está lista, se retira la corona provisional y se procede con la colocación de la corona permanente.
Cuidados para una Corona de Zirconio
A pesar de sus múltiples ventajas, no hay que olvidar tener cuidado con las coronas dentales de zirconio ni de cualquier otro material. Los cuidados para una corona de zirconio son similares a los de tus dientes naturales. Es importante mantener una buena higiene bucal, cepillando tus dientes al menos dos veces al día y usando hilo dental diariamente. Las fundas no pueden tener caries, pero sí el diente natural que la soporta. Por ello, es importante el uso del hilo dental para eliminar todos los restos de comida que hayan podido quedar entre los dientes. Este tipo de patologías afecta a la raíz del diente en los casos más avanzados, que es, en última instancia, la parte sobre la que se sostiene la corona. No hay por qué tener ningún problema con la funda dental si el paciente visita regularmente a su dentista y sigue correctamente sus instrucciones.

Duración de las Coronas de Zirconio
Las coronas de zirconio son extremadamente duraderas y pueden durar de 10 a 15 años o más con el cuidado adecuado. Las coronas de zirconio pueden durar hasta diez años. Sin embargo, hay que tener en cuenta que la duración de las coronas está estrechamente ligada a las costumbres y cuidados que siga el paciente. Por ejemplo, algunos de los hábitos que acortan la duración de las coronas de zirconio son: una higiene bucodental insuficiente, usar los dientes para abrir envases o botellas, la falta de revisiones con el dentista, etc.
En general, podemos decir que las coronas de zirconio ofrecen una calidad superior a las de porcelana. Sin embargo, la decisión final a la hora de colocar una u otra dependerá de diferentes factores. De todas formas, si tienes dudas sobre si es mejor una corona de porcelana o una de zirconio, puedes pedir recomendación a nuestros dentistas.
¿Se pueden comer alimentos duros con coronas de zirconio?
Sí, puedes comer alimentos duros con coronas de zirconio.