Si has llegado hasta aquí, posiblemente te estés preguntando qué es exactamente una corona de zirconio monolítico sobre diente y si es la mejor opción para tu caso. Como dentista, en mi experiencia, las coronas dentales de zirconia (zirconio) se han vuelto cada vez más populares por sus excelentes resultados. A lo largo de este artículo te explicaré, qué son estas fundas de zirconio, cuándo se utilizan, cuáles son sus ventajas e inconvenientes, cómo es el procedimiento de colocación, cuánto cuestan, cuánto duran y en qué se diferencian de otras coronas dentales. ¡Quiero ayudarte a resolver todas tus dudas de manera cercana y profesional!

¿Qué es una Corona Dental de Zirconio Monolítico?
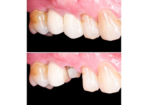
Una corona dental (comúnmente llamada funda) es una prótesis que cubre por completo un diente dañado, restaurando su forma, función y estética. En palabras sencillas, el zirconio monolítico es un bloque de cerámica de alta resistencia del color del diente que se talla mediante técnicas CAD/CAM para crear la corona a medida. A diferencia de otras coronas que combinan metal y porcelana, aquí toda la estructura es de zirconia pura.
¿En qué casos se recomienda usar una corona de zirconio?
Principalmente, cuando buscamos una restauración resistente y estética a largo plazo. Las coronas dentales de zirconia monolítica son muy versátiles y su uso se ha extendido muchísimo en los últimos años en casi todo tipo de rehabilitaciones orales. Siempre evalúo factores como la posición del diente, la mordida del paciente, sus expectativas estéticas y si tiene hábitos como rechinar dientes, ya que cada caso es único. Recomiendo usar una corona de zirconio en los siguientes casos:
- Dientes muy deteriorados o con grandes caries: tras limpiarlos y tratarlos (a veces con endodoncia), cubrimos el diente debilitado con una corona de zirconio para protegerlo.
- Reemplazar un diente perdido con implante: las coronas de zirconio se usan tanto sobre dientes naturales como sobre implantes dentales. De hecho, son una elección común para coronas sobre implante debido a su dureza y buena integración estética con la encía.
- Mejorar la sonrisa (estética): en dientes anteriores (los de adelante que se ven al sonreír) solemos buscar máxima naturalidad. El zirconio de nueva generación es bastante estético, por lo que puede utilizarse en fundas de zirconio frontales.

Ventajas de las Coronas de Zirconio Monolíticas
Las coronas de zirconio han ganado fama por sus numerosas ventajas. Personalmente, me encanta ver la cara de felicidad de mis pacientes cuando cubrimos un diente feo o dañado con una corona de zirconio monolítica y les devuelves la confianza al sonreír. Muchos me dicen que ni notan cuál diente es la corona porque se ve y se siente como uno natural.
- Estética natural (sonrisa bonita): El zirconio de hoy día tiene una translucidez similar a la de un diente real, especialmente en sus versiones de alta translucidez. Esto significa que la corona imita muy bien el color y brillo de tus dientes. No tiene ese aspecto opaco o “falso” de las coronas metálicas antiguas. De hecho, al no llevar metal, no aparece el borde oscuro en la encía con los años (ese borde gris que a veces se veía con las coronas de porcelana fundidas al metal cuando la encía se retraía).
- Resistencia y durabilidad: Esta es la gran ventaja estrella. El zirconio es extremadamente duro y resistente a la fractura. Soporta fuerzas de mordida intensas mejor que casi cualquier otra cerámica dental. Por eso lo usamos con confianza en muelas que trituran alimentos duros. Además, desgasta muy poco con el tiempo: las coronas de zirconio prácticamente no se astillan ni erosionan tras años de uso.
- Biocompatibilidad (material inocuo): El zirconio es un material cerámico y biocompatible, es decir, el cuerpo lo tolera de maravilla. No produce alergias ni reacciones tóxicas. Esto es importantísimo para pacientes sensibles o alérgicos a metales (algunas personas reaccionan al níquel u otros metales de coronas antiguas). Con una corona de zirconio, la encía suele verse saludable alrededor, sin irritación.
- Libres de metal: Estas coronas no contienen metal en su interior. Por tanto, evitas dos inconvenientes clásicos de las coronas de metal-porcelana: 1) El borde metálico visible con la retracción de la encía (como ya mencioné, en zirconio eso no pasa, la base es del color diente), y 2) posibles sabores metálicos o corrientes galvánicas en boca que algunos pacientes sentían con prótesis metálicas. También te quitas el riesgo de corrosión del metal a largo plazo.
- Tallado conservador del diente: Para colocar una corona hay que tallar (rebajar) el diente original un poco, creando espacio para la funda. Con el zirconio, dado que es tan resistente, podemos hacer coronas más delgadas que las de porcelana convencional. Por tanto, en muchos casos no necesitamos desgastar tanto tu diente. Se conserva más estructura dentaria sana, lo cual siempre es una buena noticia (¡no queremos tocar más de lo necesario!).
- Resistente a manchas y olores: A diferencia de algunos materiales acrílicos o incluso ciertas porcelanas, la superficie del zirconio es muy lisa y poco porosa una vez pulida. Esto hace que sea menos propensa a acumular placa bacteriana y pigmentos. En la práctica, la corona de zirconio tiende a mantener su color blanco con el tiempo. No se tiñe fácilmente con café, té, vino tinto u otros alimentos con colorantes. Ni se oscurece con el tabaco. Esto implica también que es más fácil de limpiar y mantener sin mal olor, ya que las bacterias resbalan más en su superficie pulida.
- Compatibilidad con técnicas modernas (CAD/CAM): Las coronas de zirconio suelen fabricarse mediante tecnología digital CAD/CAM. Se escanea la boca, se diseña la corona por ordenador y luego se fresa en un bloque de zirconio. ¿Qué se gana? Precisión milimétrica en el ajuste (encajan perfecto) y posibilidad de hacer coronas en el día en clínicas que tengan fresadoras avanzadas. Aunque no todas las clínicas ofrecen coronas en 24h, cada vez más disponen de zirconio de sinterización rápida para entregarte la corona definitiva incluso el mismo día de la preparación. ¡Menos esperas con un provisional!
Carillas, Coronas o Resinas: ¿Cuál es la mejor opción para tu sonrisa?
Desventajas o Limitaciones de las Coronas de Zirconio
Ahora bien, ningún tratamiento es perfecto. Aunque soy un gran defensor del zirconio, también te hablaré con honestidad de sus posibles desventajas o limitaciones.
- Coste más elevado: El precio suele ser el principal inconveniente que mencionamos los dentistas al proponer zirconio. Estas coronas, por el material y la tecnología que implican, son más caras que otras alternativas (porcelana convencional, metal-porcelana, resina).
- Estética en casos muy exigentes: Sí, el zirconio es bastante estético, pero seamos precisos: las coronas de zirconio monolítico puras pueden ser ligeramente menos translúcidas que una corona 100% de porcelana fina. En dientes ultra delanteros o en personas con ojos de artista muy entrenados, a veces el zirconio (sobre todo de primera generación) podría verse un pelín más opaco.
- Dureza (¿desgasta otros dientes?): Al ser un material tan duro, existía la preocupación de que una corona de zirconio pudiera desgastar el diente contrario al morder (por fricción). La realidad es que, según estudios recientes, el zirconio bien pulido no daña más el esmalte opuesto que otras cerámicas, e incluso produce menos desgaste que la porcelana feldespática tradicional.
- Difícil de retirar o ajustar: Si en el futuro hubiera que retirar la corona (por ejemplo, porque hay que rehacerla o tratar el diente debajo), el zirconio al ser tan resistente es más difícil de cortar o perforar para el dentista. Se necesitan fresas especiales de diamante y más tiempo.
- No siempre es la opción ideal: Aunque para mí el zirconio es de lo mejor en coronas, reconozco que no todos los casos son candidatos. Hay situaciones donde puede convenir otro material.
En conclusión de esta sección, las desventajas de la corona de zirconio monolítica son relativas: el tema estético ha mejorado con nuevos materiales, el desgaste a dientes opuestos se mitiga con buen pulido, y el coste… bueno, sigue siendo más alto, pero la calidad también lo es.
Procedimiento de Colocación de una Corona de Zirconio
Muchas personas sienten curiosidad (o nervios) por saber qué les van a hacer exactamente al colocar una corona. Aquí te detallo el proceso:
- Primera evaluación y preparación: Primero examino el diente en cuestión con radiografías y evaluando su estructura. Si el diente está dañado pero vivo, posiblemente necesite una endodoncia (tratamiento de nervio) previa si está muy comprometido; si está sano, no hace falta. También si hay caries, se limpian.
- Tallado del diente: Con la muela adormecida, procedo a desgastar el diente alrededor para crear el espacio donde irá la corona. Recuerda que quitamos solo lo necesario gracias al zirconio (suelen ser ~1 mm alrededor del diente, quizá algo más en la parte de mordida). Doy forma de cono truncado al muñón para que la corona encaje encima. Este proceso puede sonar agresivo pero no duele por la anestesia; oirás el ruido de la fresa y notarás vibraciones, pero nada de dolor.
- Toma de impresiones: Ahora necesito copiar la forma exacta de tu diente tallado y tu mordida. El dentista utiliza pastas de silicona o alginato para tomar la impresión de la dentadura completa del paciente en ellas. Basándose en esta impresión, se fabrican las coronas o fundas, en las medidas adecuadas para cada diente. Se envían los recursos necesarios al laboratorio, principalmente, la impresión dental.
- Colocación de corona temporal: Es importante que no te vayas con el diente tallado expuesto, porque estaría sensible y feo. Así que preparo una corona provisional de plástico/acrílico y la fijo temporalmente al diente. Esta funda provisional protege el diente durante los días o semanas que tarda en estar lista la corona definitiva.
- Laboratorio dental (fabricación): Con las impresiones y especificaciones, el técnico de laboratorio o la máquina CAD/CAM fabrica tu corona de zirconio. Luego, estas coronas se tallarán, por medio de un proceso de fresado con tecnología CAD/CAM sobre un bloque de Zirconio. Finalmente, los últimos arreglos implican que se examine el acabado de la máquina de fresado y se pulan las mínimas imperfecciones de las coronas.
- Prueba y cementación: Cuando la corona definitiva está lista, vienes a la cita de colocación. Retiro la corona provisional (sale fácil, normalmente está pegada débilmente). Pruebo la corona de zirconio encima del diente tallado. Compruebo ajustes: que entre bien, que el contacto con los dientes vecinos sea el adecuado, que al morder no quede “alta” molestando. Si algo necesita ajuste, en este momento hacemos pequeñas correcciones. Una vez estoy satisfecho con cómo queda y a ti te gusta la sensación/mirada, procedemos a cementarla. Aplico un cemento dental especial dentro de la corona y la asiento sobre tu diente, retirando los excesos.
- Ajustes finales y recomendaciones: Reviso por última vez la mordida con un papel de articular (ese papelito de colores que muerdes para marcar puntos altos) y pulo cualquier área necesaria. Te doy instrucciones de cuidados (muy sencillas, similares a las de tus dientes naturales).

Todo el procedimiento, distribuido en dos visitas principales, suele transcurrir en una o dos semanas (tiempo típico de laboratorio) si no es inmediato. Durante ese tiempo llevas la provisional sin problemas. El proceso no duele (más allá de la molestia de la anestesia en la encía y alguna sensibilidad normal post-tallado una vez pasa el efecto, controlable con analgésicos suaves).
¿Cuánto Cuestan las Coronas de Zirconio en España?
Es normal que quieras saber cuánto deberías presupuestar para una corona de zirconio. En España, una corona de zirconio suele costar aproximadamente entre 300 y 600 euros por diente. En mi experiencia, la mayoría de pacientes entran dentro de este rango por corona de zirconio en clínicas privadas. Este rango depende de muchos factores (materiales, técnicas, ciudad, etc., que ahora detallaremos).
Quiero destacar que este precio suele incluir todo el proceso de la corona: prepararla, tomar medidas, la fabricación en laboratorio y la cementación final, incluso la corona provisional de resina que se coloca mientras se hace la definitiva.
¿Por qué esa horquilla de 300 a 600 €? ¿De dónde sale la diferencia?
- Complejidad del caso y tratamientos previos: Antes de colocar la corona, a veces el diente requiere otros procedimientos. Si el diente está muy destruido, puede que necesite una reconstrucción con perno o un refuerzo interno; si el nervio está dañado, habrá que hacer una endodoncia previa; si directamente no hay diente y vamos a colocar un implante, eso es un procedimiento aparte. Cada paso adicional (cirugías, endodoncia, postes, etc.) tiene su coste independiente de la corona en sí.
- Material exacto y tecnología utilizada: Dentro de las coronas de zirconio, existen variaciones. Puede ser zirconio monolítico (tallado de un bloque sólido, muy resistente) o zirconio con recubrimiento de porcelana encima (para dar un extra de estética en frontales). También hay distintas marcas y calidades de zirconio dental. Esto puede hacer variar un poco el precio de laboratorio. Asimismo, si la clínica cuenta con tecnología CAD/CAM para diseñar y fresar la corona en el día, puede repercutir en el coste (aunque a veces se compensa porque ahorras visitas).
- Ubicación geográfica y prestigio de la clínica: El precio de los tratamientos odontológicos puede cambiar según la ciudad o región. En grandes ciudades como Madrid o Barcelona, los honorarios suelen ser un poco más altos que en localidades pequeñas, debido a costes operativos mayores. También influye el prestigio y experiencia del profesional o la clínica: un especialista muy reconocido o una clínica de mucha trayectoria a veces tienen tarifas algo más elevadas (aunque a cambio ofrecen gran calidad, tecnología puntera y garantías).
- Seguros dentales o convenios: Algunos seguros dentales en España cubren parcialmente el coste de las coronas o tienen tarifas especiales concertadas con clínicas asociadas.
En conclusión, el precio de tu corona de zirconio dependerá de tu caso particular. Mi consejo es que acudas a una consulta (muchas veces la primera cita valorativa es gratuita o de bajo costo) y pidas un presupuesto personalizado. Así verás exactamente qué incluye, si necesitas tratamientos adicionales, y podrás valorar calidad/precio.
Coronas de Zirconio vs. Otros Tipos de Coronas
En el mercado existen diferentes tipos de coronas según su material de fabricación. Cada una tiene sus indicaciones, ventajas y rangos de precio.
| Tipo de Corona | Ventajas | Desventajas | Precio Aproximado (€) |
|---|---|---|---|
| Metal-Porcelana | Muy resistente, algo más económica | Puede comprometer la estética, borde gris en la encía | 250 - 450 |
| Porcelana Pura | Mejor estética posible, translucidez natural | Más frágil, no ideal para muelas | 350 - 650 |
| Metálica | Sumamente duradera, desgasta menos el diente opuesto | Estética nula | 100 - 1000+ (dependiendo del metal) |
| Resina o Acrílica | Costo muy bajo, fabricación rápida | Poca resistencia, se desgasta y pigmenta | 30 - 50 (provisional) |
| Zirconio | Equilibrio entre estética y resistencia, biocompatible | Costo más elevado | 300 - 600 |
Como ves, la corona de zirconio se sitúa entre las opciones más modernas y balanceadas: ofrece mejor estética que la metal-porcelana y casi igual de buena que la porcelana pura, con una resistencia superior a la porcelana y cercana a la del metal. Es un poco más cara que la metal-porcelana, sí, pero bastante más accesible que una corona de oro puro (y mucho más bonita). Por estas razones, muchos dentistas (incluyéndome) consideramos que el zirconio es la mejor elección calidad-precio para coronas actualmente en la mayoría de casos.