Si estás buscando información sobre las coronas dentales, especialmente las de zirconio, es probable que tu dentista te las haya recomendado o simplemente tengas curiosidad sobre sus costos y beneficios. Como odontólogo, te explicaré todo lo que necesitas saber desde mi experiencia profesional.
Implante, Pilar y Corona | Oral-B
¿Qué es una Corona Dental de Zirconio?
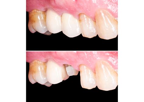
Una corona dental de zirconio es una "fundita" hecha a medida para cubrir completamente un diente dañado o restaurarlo. Cuando un diente natural está muy debilitado (por caries extensa, fracturas, desgaste, etc.), lo tallamos ligeramente y lo cubrimos con una corona que imita la forma y color del diente original. En el caso de las coronas de zirconio, el material utilizado es el óxido de zirconio, una cerámica muy resistente y de color blanco translúcido.
En otras palabras, la corona de zirconio actúa como un casco protector que envuelve todo el diente, devolviéndole su función (masticar sin molestias) y su estética (volver a lucir como un diente sano). A veces también escucharás que la llaman “funda dental de zirconio” - es exactamente lo mismo, solo otro modo de referirse a la corona.

¿Cuándo se Recomienda una Corona de Zirconio?
- Diente muy dañado o roto: Si un diente se ha fracturado de forma importante o tiene una caries tan grande que un simple empaste no sería suficiente, una corona de zirconio puede salvarlo. Por ejemplo, tras una endodoncia (tratamiento de conducto para remover el nervio) es habitual colocar una corona para proteger el diente debilitado - en este caso, podemos elegir zirconio para lograr resistencia y buena estética.
- Mejorar la estética de un diente: Cuando un diente está muy decolorado, desgastado o con una forma anómala, y no se puede arreglar solo con empastes estéticos o carillas, cubrirlo con una corona de zirconio le devuelve un aspecto natural. Las coronas de zirconio son translúcidas y se pueden ajustar en color, por lo que resultan ideales en dientes frontales que requieren alta estética.
- Rehabilitar un diente con un implante: Si perdiste una pieza dental y te han colocado un implante dental (un tornillo de titanio en el hueso), la parte visible que va atornillada encima del implante también suele ser una corona. Hoy en día, es muy frecuente usar coronas de zirconio sobre implantes para conseguir un resultado fuerte y estético. En mi experiencia, combinar un implante con una corona de zirconio proporciona un resultado casi indistinguible de un diente natural vecino.
En resumen, recomiendo una corona de zirconio cuando busco durabilidad y estética a la vez.
Ventajas y Desventajas de las Coronas de Zirconio
Como odontólogo, he trabajado con distintos tipos de materiales para coronas a lo largo de los años. Aquí te presento las ventajas y desventajas del zirconio:
Ventajas
- Estética muy natural: El zirconio es un material blanco y translúcido que imita muy bien al esmalte dental. La corona de zirconio refleja la luz de forma similar a un diente real, logrando que pase desapercibida. En personas exigentes con la estética, esta es una gran ventaja.
- Alta resistencia y durabilidad: Una corona de zirconio es extremadamente resistente a la fractura y al desgaste. Puede soportar la fuerza de la masticación diaria incluso en las muelas (dientes posteriores) que reciben más presión. Por eso, combinan lo mejor de dos mundos: son tan fuertes como las coronas metálicas tradicionales pero tan estéticas como las de porcelana.
- Biocompatibilidad: El zirconio es un material biocompatible, lo que significa que es bien tolerado por el organismo. No es metal en el sentido tradicional (es una cerámica especial), por lo que no provoca alergias ni reacciones adversas en personas sensibles a metales.
- Versatilidad de uso: Podemos utilizar coronas de zirconio en casi cualquier situación: desde restaurar un premolar o molar muy destruido, hasta reemplazar un incisivo central en la zona estética, o sobre un implante dental. En todos estos casos, el zirconio cumple con la función y la apariencia requerida.
Desventajas
- Precio más elevado: El principal “pero” de las coronas de zirconio suele ser su costo, que es mayor en comparación con otros materiales más convencionales. El zirconio en sí mismo y el proceso de fabricación (mecanizado por CAD/CAM, etc.) encarecen el producto final. Por eso, algunos pacientes dudan debido al precio.
- Requiere equipamiento y técnica especializada: Desde el punto de vista profesional, trabajar con zirconio implica contar con laboratorios o sistemas de fresado modernos y técnicos protésicos especializados. Para ti como paciente esto no es un “contra” directo, pero sí significa que debes buscar una clínica de confianza que tenga experiencia colocando coronas de zirconio.
- Ligeramente menos translúcida que la porcelana pura: Aunque las coronas de zirconio actuales tienen muy buena estética, te seré sincero: las coronas 100% de porcelana (por ejemplo, de disilicato de litio tipo e.max) pueden ofrecer un nivel de translucidez incluso más natural en ciertos casos, especialmente en dientes delanteros muy exigentes. La diferencia es sutil, un ojo no entrenado ni lo nota, pero yo como dentista lo menciono. Sin embargo, esas coronas de porcelana pura son más frágiles; por eso muchas veces preferimos el zirconio, sacrificando un poquito de translucidez a cambio de mucha más resistencia.
En general, las ventajas del zirconio superan con creces sus desventajas cuando se indica apropiadamente. Por eso suelo recomendarlo mucho.
Precio de las Coronas de Zirconio en España
Es normal que quieras saber cuánto deberías presupuestar para una corona de zirconio. En España, una corona de zirconio suele costar aproximadamente entre 300 y 600 euros por diente. En mi experiencia, la mayoría de pacientes entran dentro de este rango por corona de zirconio en clínicas privadas. Este rango depende de muchos factores (materiales, técnicas, ciudad, etc., que ahora detallaremos).
Quiero destacar que este precio suele incluir todo el proceso de la corona: prepararla, tomar medidas, la fabricación en laboratorio y la cementación final, incluso la corona provisional de resina que se coloca mientras se hace la definitiva.
¿Por qué esa Horquilla de Precios?
- Complejidad del caso y tratamientos previos: Antes de colocar la corona, a veces el diente requiere otros procedimientos. Si el diente está muy destruido, puede que necesite una reconstrucción con perno o un refuerzo interno; si el nervio está dañado, habrá que hacer una endodoncia previa; si directamente no hay diente y vamos a colocar un implante, eso es un procedimiento aparte. Cada paso adicional (cirugías, endodoncia, postes, etc.) tiene su coste independiente de la corona en sí.
- Material exacto y tecnología utilizada: Dentro de las coronas de zirconio, existen variaciones. Puede ser zirconio monolítico (tallado de un bloque sólido, muy resistente) o zirconio con recubrimiento de porcelana encima (para dar un extra de estética en frontales). También hay distintas marcas y calidades de zirconio dental. Esto puede hacer variar un poco el precio de laboratorio. Asimismo, si la clínica cuenta con tecnología CAD/CAM para diseñar y fresar la corona en el día, puede repercutir en el coste (aunque a veces se compensa porque ahorras visitas).
- Ubicación geográfica y prestigio de la clínica: El precio de los tratamientos odontológicos puede cambiar según la ciudad o región. En grandes ciudades como Madrid o Barcelona, los honorarios suelen ser un poco más altos que en localidades pequeñas, debido a costes operativos mayores. También influye el prestigio y experiencia del profesional o la clínica: un especialista muy reconocido o una clínica de mucha trayectoria a veces tienen tarifas algo más elevadas (aunque a cambio ofrecen gran calidad, tecnología puntera y garantías).
- Seguros dentales o convenios: ¿Tienes un seguro dental privado? Esto puede marcar la diferencia en el precio final que pagues. Algunos seguros dentales en España cubren parcialmente el coste de las coronas o tienen tarifas especiales concertadas con clínicas asociadas.
- Número de piezas a tratar y promociones: A veces, las clínicas ofrecen algún descuento si necesitas varias coronas de golpe, o paquetes cerrados si formas parte de algún plan dental. No es que el precio por unidad baje drásticamente, pero es posible obtener facilidades de pago.
Mi consejo es que acudas a una consulta (muchas veces la primera cita valorativa es gratuita o de bajo costo) y pidas un presupuesto personalizado. Así verás exactamente qué incluye, si necesitas tratamientos adicionales, y podrás valorar calidad/precio.
Tipos de Coronas Dentales y sus Precios
En el mercado existen diferentes tipos de coronas según su material de fabricación. Cada una tiene sus indicaciones, ventajas y rangos de precio.
| Tipo de Corona | Material | Ventajas | Desventajas | Precio Aproximado (€) |
|---|---|---|---|---|
| Metal-Porcelana | Metal (cromo-níquel, paladio, etc.) recubierto de porcelana | Muy resistentes, más económicas que las de zirconio | El metal puede comprometer la estética en la zona frontal | 250 - 450 |
| Porcelana Pura | Cerámica tradicional o disilicato de litio (E.max) | Mejor estética posible, imita perfectamente el esmalte | Más frágiles, no se suelen poner en muelas | 400 - 850 |
| Metálica | Metales no preciosos (acero, cromo-cobalto) o metal precioso (oro) | Sumamente duradera, aguanta décadas | Estética nula (dorada o plateada) | 100-150 (metal básico), 700-1000+ (oro) |
| Resina o Acrílica | Resina compuesta o acrílico | Costo muy bajo, se fabrica rápidamente | Poco resistente, se desgasta o fractura en pocos meses | 30-50 (provisional) |
| Zirconio | Dióxido de Zirconio | Alta resistencia, durabilidad y estética | Precio más elevado | 300-600 |
Nota: Los precios son orientativos y pueden variar según la clínica y la ubicación geográfica.
Proceso de Colocación de una Corona de Zirconio
Colocar una corona suele requerir dos visitas principales a la clínica (a veces tres, dependiendo de ajustes, o una sola si la clínica dispone de sistemas de coronas en el día).
Primera Visita - Preparación del Diente
- Asegurarnos de que el diente esté limpio de caries o infecciones. Si necesitaba una endodoncia, se hace antes o durante esta fase.
- Te aplico anestesia local en la zona (¡tranquilo, no sentirás dolor durante el procedimiento!) y procedo a tallar el diente. Tallar significa reducir un poco su tamaño y darle forma cilíndrica, eliminando la parte dañada, para hacer espacio a la corona.
- Tomo mucha precisión en este paso: el objetivo es dejar un “muñón” de diente de cierta forma, sobre el cual encajará la futura corona de zirconio como un guante.

Como ves, la corona de zirconio se sitúa entre las opciones más modernas y balanceadas: ofrece mejor estética que la metal-porcelana y casi igual de buena que la porcelana pura, con una resistencia superior a la porcelana y cercana a la del metal. Es un poco más cara que la metal-porcelana, sí, pero bastante más accesible que una corona de oro puro (y mucho más bonita). Por estas razones, muchos dentistas (incluyéndome) consideramos que el zirconio es la mejor elección calidad-precio para coronas actualmente en la mayoría de casos.