La sensibilidad, la percepción de un diente más largo que otros o, incluso, que se mueve pueden ser señales de problemas como recesión gingival. Aunque ocurre con frecuencia, pocos saben por qué se produce la retracción de encías. En esta oportunidad, explicaremos qué la origina.

¿Qué significa retracción de encías?
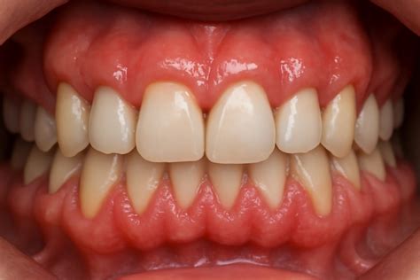
Cuando hablamos de encías retraídas nos referimos a que el tejido que rodea los dientes se desgasta o se desplaza hacia arriba. En consecuencia, deja expuesta la parte de la pieza que antes protegía la encía. Las encías se encargan de dar mayor soporte al diente, al mismo tiempo que protegen su raíz. Por este motivo, la recesión gingival o retracción de encías es una amenaza para la salud dental.
Al quedar expuesta la raíz del diente, este se vuelve más vulnerable y propenso a la aparición de caries. Asimismo, falla el soporte y el diente comienza a moverse. En un estado avanzado, la recesión puede provocar la pérdida de la pieza. Y si esto ocurre aparecen problemas aún más graves. Por ejemplo, dificultad para masticar los alimentos y -por consiguiente- para digerirlos; afecta el lenguaje, y provoca la pérdida del hueso.
Además de los inconvenientes funcionales, están los estéticos. Aunque es un problema común, muchas veces pasa desapercibido hasta que ya ha avanzado. Esto ocurre porque la recesión se produce de forma gradual, lo que provoca que no nos demos cuenta al principio.
Pero la retracción no siempre tiene remedio, por lo que es importante prevenirla y detenerla en las primeras etapas.
¿Por qué se produce la retracción de encías?
La higiene deficiente es la causa más común y evidente de los problemas dentales, incluyendo la recesión gingival. Sin embargo, hay muchas otras razones por las que puede ocurrir esta enfermedad. A continuación, explicamos con más detalle por qué se retraen las encías.
1. Falta de higiene oral
Las bacterias que tenemos en la boca producen placa dental cuando entran en contacto con los alimentos que consumimos. Si no la eliminamos se endurece, formando el sarro y este provoca enfermedades periodontales.
Lo que ocurre es que el sarro se puede formar en el espacio que está entre el diente y la encía. Si se trata a tiempo se puede eliminar mediante un curetaje. De lo contrario, la encía comenzará a retraerse. Lo que provoca la recesión de la encía en este caso es que la periodontitis afecta al hueso. En consecuencia ocurre la retracción, con la agravante de que no siempre será posible solucionar el problema.
2. Técnica de cepillado deficiente
Hay casos en los que el paciente tiene buena higiene, pero la técnica que aplica para cepillarse no es la mejor. Lo anterior se refiere a que es muy agresivo durante el cepillado, lo que poco a poco daña las encías. Aquí también hay que incluir el uso de cepillos con cerdas muy duras.
Una señal evidente de que estás usando una técnica inapropiada es el sangrado de las encías.
3. Hábitos inadecuados
En este apartado debemos mencionar el consumo de tabaco. Está demostrado que fumar no es bueno para la salud y puede provocar retracción de las encías, ya que el paciente es más vulnerable a las infecciones periodontales.
Otra de las causas de la retracción de encías es el hábito de rechinar los dientes, conocido como bruxismo.
4. Tratamientos dentales
Es posible que el paciente sufra de encías retraídas por ortodoncia, debido a que estos tratamientos alteran la posición de los dientes. No quiere decir que ocurra siempre, pero puede darse en casos puntuales.
5. Mal posicionamiento de los dientes
Si uno o más dientes no están bien alienados generan más presión. Como consecuencia hay un desgaste mayor y el riesgo de que se produzca retracción en la encía.
6. Traumatismos
Los golpes en la boca también pueden generar recesión debido al daño sobre los dientes y los tejidos que los rodean. Aquí se incluyen los traumatismos por accidentes o al practicar deportes.
En ese último caso es más fácil prevenirlos con el uso de protectores bucales.
7. Perforaciones en la boca
Los piercings en los labios y la lengua pueden afectar la encía debido al roce. Ese contacto provoca el desgaste de los tejidos y con el tiempo ocasiona la retracción.
8. Factores biológicos
Algunas personas son más propensas a la retracción de encías por predisposición genética. Hay factores hereditarios pueden hacer que tengan encías débiles.
Si este factor se combina con alguna otra causa que mencionamos en la lista, las posibilidades de que ocurra una recesión son muy altas.
9. Enfermedad de las encías
La causa más frecuente de la recesión gingival es la enfermedad de las encías que, a su vez, se relaciona con una higiene inadecuada. En su forma más leve está la gingivitis y si esta no se trata a tiempo da lugar a problemas más serios.
Los síntomas de la gingivitis son inflamación en las encías, dolor al momento de cepillarse, formación de bolsas de pus en el borde del tejido. También es posible que haya sangrado al cepillar o usar hilo dental, sensibilidad y mal aliento.
Si la enfermedad no se ataca a tiempo puede provocar la retracción de la encía y que se aflojen los dientes. Pero si hay un tratamiento oportuno, en sus primeras fases, es posible revertir los efectos.
En cambio, si se pasan por alto los síntomas y no se atiende, la acumulación de bacterias entre los dientes y las encías crece y puede provocar una infección. Los tratamientos en las fases avanzadas de la enfermedad son más complejos y pueden requerir, incluso, cirugía.
10. Otras enfermedades
Aparte de las causas anteriores hay otras patologías que hacen que la persona sea más propensa a sufrir este problema. Por ejemplo, quienes sufren de diabetes o VIH/SIDA tienen más tendencia a sufrir de enfermedades periodontales.
Síntomas y señales de alerta
Los síntomas de la retracción de encías son:
- Sensibilidad dental y dolor: Puedes sentir dolor o incomodidad cerca de la línea de las encías. Además, sensibilidad al calor, frío e incluso dulces. También sensibilidad a cepillarse y usar hilo dental, y durante las limpiezas dentales profesionales.
- Sangrado frecuente de encías: Puedes también notar sangrado en las encías cuando te cepillas o usas hilo dental.
- Exposición radicular y cambios estéticos: Los dientes se ven más largos de lo usual y se pueden formar espacios entre los dientes. Esto podría comprometer la salud de tus dientes y encías. También puede quedar expuesta la raíz, lo que puede causar mucha sensibilidad y dolor. Incluso, podrías notar cambios en cómo se ven tus dientes cuando encajan al morder.
Todos estos síntomas pueden hacer que las actividades diarias, como comer, hablar y cepillarse, causen cierta incomodidad. Por eso es importante acudir a tu dentista lo más pronto posible.
Consecuencias de la retracción de encías
Las consecuencias de no tratar la retracción de las encías a tiempo incluyen:
- Riesgo de caries en la raíz: La raíz que queda expuesta debido a la recesión de las encías es más vulnerable a las caries.
- Movilidad dental y pérdida de piezas: Si se deja sin tratar, la recesión dental puede llevar a otras condiciones orales serias, como pérdida de hueso, movilidad de los dientes e incluso pérdida de piezas.
- Problemas estéticos y de autoestima: En algunas instancias, la persona puede perder varios dientes, el dentista tiene que sacarlos antes de que se caigan y esto puede causar problemas estéticos y de autoestima en el paciente. Para solucionar esto, la mejor opción serían los implantes dentales.
Por eso, si notas algunos de los síntomas de recesión dental, lo mejor es que pidas una cita con nuestros dentistas.
¿Se pueden recuperar las encías retraídas?
La retracción de las encías genera sensibilidad dental porque deja la raíz expuesta. Y con el tiempo puede provocar la pérdida de la pieza. Por ello, una pregunta frecuente es cómo recuperar las encías. Sin embargo, esto no es tan sencillo. Una vez que se produce la recesión, el tejido de las encías no vuelve a crecer.
Además, si hay pérdida del hueso a causa de la periodontitis, este tampoco se recupera de forma natural. Por tanto, los tratamientos para encías retraídas se enfocan en aliviar los efectos que esta pueda tener. Es decir, detener el avance de la recesión.
Con la intervención de un especialista es posible recuperar la apariencia previa. Pero esto puede significar tener que colocar injertos de tejido y hueso.

¿Qué hacer para reducir la retracción de encías?
Es importante saber que no siempre hay solución para la retracción de encías, pero si se detecta a tiempo -en la mayoría de los casos- se puede aplicar un tratamiento para recesión gingival. Las soluciones que se aplican en el dentista dependen de cada caso y el avance de la enfermedad:
- Curetaje o limpieza profunda para eliminar el sarro que provoca la gingivitis. Con este procedimiento se busca evitar que avance la recesión gingival. Primero se realiza la limpieza y luego se hace un alisado radicular. El propósito del alisado es que las encías se fijen de nuevo a las piezas dentales. Es posible que ambos tratamientos se hagan en consultas diferentes.
- Barnices o lacas fluoradas para reducir la sensibilidad. La retracción de las encías es una de las causas principales de la sensibilidad dental. Aplicar flúor ayuda a fortalecer el esmalte y, por tanto, reducir la sensibilidad.
- Restauración de la encía con resina compuesta. Esta técnica evita tener que recurrir a la cirugía, ya que lo que se hace es utilizar la resina para cubrir la parte del diente que ha quedado al descubierto. Se puede hacer imitando el color de la raíz o del diente.
- Colocar un injerto de tejido en el lugar que se ha visto afectado. El injerto de la encía se puede tomar del paladar o de las encías de alrededor.
- Ortodoncia para corregir la alineación de los dientes. Esto se hace, ya que la maloclusión es una de las causas que puede provocar la retracción de las encías.
- Usar protectores nocturnos para los dientes. En este caso lo que se busca es reducir el efecto que produce el bruxismo.
Otros remedios para curar la retracción de encías
Hay remedios caseros que se recomiendan para mantener las encías sanas. Funcionan más como métodos preventivos que para curar la retracción. Ten en cuenta que las encías no vuelven a crecer, por lo que el dentista es quien recomendará el tratamiento adecuado.
Algunos de estos remedios naturales, sin embargo, tienen propiedades antiinflamatorias, anticoagulantes, antisépticas y antimicrobianas que ayudan a prevenir las enfermedades en las encías. Entre ellos podemos mencionar el aceite de coco y el de limón, aloe vera, hojas de menta, salvia, aceite de clavo de olor, entre otros.
¿Cómo prevenir la retracción de encías?
Estas son algunas medidas a tomar para prevenir esta enfermedad:
- Adoptar una técnica de cepillado correcta. Lo que incluye, cepillarse los dientes dos veces al día con pasta de diente con flúor y utilizar un cepillo de dientes suave.
- Debes utilizar hilo dental diariamente para eliminar los restos de comida y placa entre tus dientes.
- Completa el cepillado con un enjuague bucal antimicrobiano para tener un aliento más fresco y matar las bacterias.
- Debes realizarte un tratamiento de ortodoncia para corregir la posición de los dientes, si es el caso.
- Visitar el dentista al menos una vez al año para mantener dientes y encías sanos. Además, sigue sus recomendaciones todo el año.
- Evita fumar, ya que hacerlo incrementa el riesgo de enfermedades en las encías y otros problemas orales.
- Si tienes bruxismo, utiliza un protector bucal en las noches, así minimizas la recesión de las encías.
En general, la mejor manera de prevenir o evitar el avance de este problema es acudir al dentista. Este será quien determine cuál es el tratamiento adecuado.
Así se solucionan las encías retraídas (recesión gingival)
Hiperplasia gingival
La hiperplasia gingival es un trastorno bucal que se caracteriza por un crecimiento excesivo del tejido gingival, es decir, de las encías. En condiciones normales, las encías tienen un aspecto rosado y se adhieren de manera firme alrededor de los dientes. Esta enfermedad puede afectar a personas de todas las edades y puede presentarse tanto en un área específica de la boca como en toda la cavidad oral.
Es importante destacar que la hiperplasia gingival no solo afecta la estética de la sonrisa, sino que también puede ocasionar molestias y complicaciones en la salud bucal. Algunos de los síntomas más comunes incluyen encías inflamadas, enrojecidas, sensibles y propensas a sangrar, así como la aparición de bolsas de tejido gingival excesivo alrededor de los dientes.
La hiperplasia gingival puede ser causada por diferentes factores, y comprender las causas subyacentes es crucial para un tratamiento efectivo.
Causas de la hiperplasia gingival
- Cambios hormonales: Los cambios hormonales, especialmente durante la pubertad, el embarazo o la menopausia, pueden influir en el desarrollo de la hiperplasia gingival.
- Factores genéticos: La predisposición genética también puede desempeñar un papel en el desarrollo de la hiperplasia gingival.
Síntomas de la hiperplasia gingival
- Crecimiento excesivo del tejido gingival: Uno de los síntomas más evidentes de la hiperplasia gingival es el crecimiento excesivo del tejido de las encías.
- Enrojecimiento e inflamación: Las encías afectadas por la hiperplasia gingival suelen presentar enrojecimiento e inflamación.
- Sangrado gingival: Otra señal común de la hiperplasia gingival es el sangrado de las encías.
- Sensibilidad y molestias: La hiperplasia gingival puede causar sensibilidad y molestias en las encías.

Tratamientos para la hiperplasia gingival
- Terapia periodontal no quirúrgica: En los casos iniciales de hiperplasia gingival, podemos recomendar una terapia periodontal no quirúrgica como primera línea de tratamiento.
- Cirugía periodontal: En situaciones más avanzadas de hiperplasia gingival, puede ser necesario realizar una cirugía periodontal.
- Corrección estética: Además de abordar los aspectos funcionales de la hiperplasia gingival, entendemos la importancia de la estética dental.
Brackets y encías inflamadas
Casi siempre que hablamos de tratamientos con ortodoncia os recordamos que es clave tener una boca sana antes de iniciarlo. Pero, una vez iniciado ,es igual o más importante mantener una exhaustiva higiene oral para evitar que aumente el riesgo de padecer alguna enfermedad periodontal, sobre todo en lo relativo a la relación existente entre los Brackets y la presencia de encías inflamadas.
Los aparatos de ortodoncia, especialmente los aparatos fijos multibrackets, cubren una gran parte de la superficie de los dientes. En este punto es necesario recordar que el sangrado de las encías en un signo característico de la inflamación.
La inflamación de las encías está motivada por la acumulación persistente de placa bacteriana, que se forma en los dientes tras cada comida y. Desde Cuida tus encías te recomendamos una higiene diaria en el hogar, así como la visita periódica a tu periodoncista. Este profesional sanitario es quien se encarga de velar por la salud de tus encías.
Si la pregunta que te planteas a ti mismo consiste en si es normal que me sangren las encías por los brackets, la respuesta más corta y sencilla es No. Las encías Sanas NUNCA sangran, si la encía te sangra al cepillarse, comer, tocarla… algo no va bien.
Normalmente el Sangrado Gingival es la característica más típica de la inflamación del tejido de la encía. La inflamación de las encías es causada por el acúmulo persistente de placa bacteriana.
En condiciones normales, el movimiento dentario Ortodóncico es inocuo y no daña los dientes, pero está demostrado que el movimiento dentario en presencia de problemas de encías puede acentuar la destrucción del resto de tejidos que soportan al diente y por tanto desencadenar problemas más importantes.
La encía inflamada por brackets es solo uno de los síntomas que nos advierte de la acumulación de placa bacteriana y su eliminación incompleta. Así podemos afirmar que no es normal que sangren las encías con brackets como no es normal que se produzca un crecimiento y agrandamiento inusual en ellas. Es la llamada Hiperplasia.
El no eliminar la placa diariamente conlleva inflamación de las encías, con sangrado, agrandamiento y dolor, que en su conjunto conocemos como gingivitis. Esta condición se manifiesta por la hinchazón, el enrojecimiento y el sangrado espontáneo o al cepillarse los dientes, o algunas molestias al comer.
Si te preguntas, pues, por qué se te hincha la encía con los brackets, debes saber que en ningún momento, estos signos y este proceso, será provocado por un daño de los aparatos al mover los dientes o por la presión que ejercen los aparatos sobre los dientes, aunque cuando se agrandan las encías pueda dar la sensación de que los aparatos se “clavan” en los tejidos.
Cepilla los dientes diariamente al levantarte, después de cada comida y a la noche antes de dormir. Esta técnica es la más sencilla y efectiva para mantener la higiene de la salud bucodental, intensificando estas medidas si somos portadores de Ortodoncia Fija o retenedores fijos, y acudiendo regularmente a realizar una limpieza profesional que pueda eliminar el sarro, que es la placa ya calcificada, de las zonas más difíciles o inaccesibles.
tags: #crecimiento #de #encias #por #ortodoncia