Las pastas dentales a base de hidroxiapatita microcristalina (HAP) están emergiendo como una alternativa al fluoruro en el campo de la odontología. La hidroxiapatita es un compuesto mineral naturalmente presente en los dientes y los huesos, lo que la convierte en un agente remineralizante eficaz.

Estructura de la Hidroxiapatita
Beneficios de la Hidroxiapatita en la Remineralización Dental
La investigación señala que no solo ayuda a la remineralización de las lesiones de MIH, la hidroxiapatita también ha demostrado ser eficaz en la prevención y tratamiento de la caries dental. Varios estudios han encontrado que las pastas dentales de HAP pueden ayudar a remineralizar el esmalte dental desmineralizado y reducir la formación de caries. Ya que la hidroxiapatita, al disolverse en la superficie del diente, aumenta los iones de calcio y fosfato biodisponibles, lo que facilita la deposición de cristales y promueve la remineralización.
La remineralización es el proceso por el cual los minerales, principalmente el calcio y el fosfato, se reincorporan al esmalte dental. La fluorapatita, formada gracias al flúor, es menos soluble en ácido que la hidroxiapatita. Además de fortalecer los dientes, el flúor posee propiedades antimicrobianas que ayudan a controlar las bacterias en la boca.
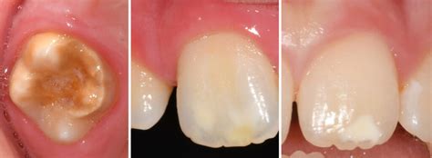
Estudio sobre la Remineralización de Lesiones de MIH
La MIH es un trastorno dental que se caracteriza por la hipomineralización del esmalte, lo que resulta en dientes sensibles y propensos a la caries. Esta condición puede tener un impacto significativo en la calidad de vida de los pacientes, especialmente en niños. En este estudio, se utilizaron bloques de esmalte con lesiones de MIH en treinta molares permanentes extraídos. Cada grupo se dividió en subgrupos, con algunos bloques grabados con un ácido fosfórico y otros sin grabar.
Según los autores, los resultados mostraron una ganancia significativa en la densidad mineral en ambos grupos. Sin embargo, el grupo tratado con la pasta dental de HAP demostró un porcentaje de remineralización mayor en comparación con el grupo tratado con la pasta dental fluorada. Los investigadores señalan que estos hallazgos respaldan la efectividad de las pastas dentales a base de HAP en la remineralización de las lesiones de MIH.

Hipomineralización incisivo molar (MIH)
El Flúor y su Importancia en la Salud Dental
El flúor es crucial para la salud dental debido a su capacidad para fortalecer el esmalte dental y prevenir la caries. Se trata de un mineral natural que se encuentra en diversas fuentes como el agua, el suelo y ciertos alimentos. En el ámbito dental, el flúor se utiliza principalmente en forma de fluoruro, que es un ion negativo (F-) capaz de combinarse con iones positivos para formar sales, como el fluoruro de sodio (NaF) y el fluoruro de estaño (SnF2).
El esmalte dental, compuesto principalmente de hidroxiapatita, es la capa más externa y dura de los dientes. El flúor interactúa con el esmalte al reemplazar los iones hidroxilo en la hidroxiapatita, formando fluorapatita, un compuesto más resistente a los ácidos producidos por las bacterias bucales.
Beneficios del Flúor Dental
- Fortalecimiento del esmalte dental: Al incorporarse en la estructura del esmalte, el flúor forma un compuesto más resistente conocido como fluorapatita.
- Inhibición de bacterias: El flúor posee propiedades antimicrobianas que ayudan a controlar las bacterias en la boca. El flúor inhibe la actividad metabólica de las bacterias productoras de ácido, como el Streptococcus mutans, reduciendo así la cantidad de ácido producido.
- Mantenimiento de la función masticatoria: Al prevenir la caries y fortalecer el esmalte, el flúor contribuye al mantenimiento de la función masticatoria. Dientes sanos y fuertes son esenciales para masticar adecuadamente los alimentos, lo que es crucial para la digestión y la nutrición general.
- Reducción de la pérdida ósea: El uso de flúor dental también está asociado con la reducción de la pérdida ósea alrededor de los dientes. Al proteger el esmalte y prevenir la caries, el flúor indirectamente contribuye a la salud de los tejidos de soporte de los dientes, como las encías y el hueso alveolar.
Tipos de Fluoruro Tópico
- Geles y barnices de flúor: Los geles y barnices de flúor los aplicamos comúnmente los odontólogos durante las visitas regulares al dentista. Estos productos contienen una alta concentración de flúor que se adhiere al esmalte dental, proporcionando una capa protectora que ayuda a remineralizar el esmalte y protegerlo contra los ácidos.
- Espumas de flúor: Las espumas de flúor son otra opción utilizada en los consultorios dentales. Aplicadas con bandejas moldeadas, estas espumas cubren completamente los dientes, asegurando que el flúor se distribuya uniformemente.
- Pasta dental con flúor: La pasta dental con flúor es uno de los productos más accesibles y efectivos para el cuidado diario de los dientes. Se recomienda utilizar una pasta dental que contenga al menos 1000 a 1500 ppm (partes por millón) de flúor para asegurar una protección adecuada contra la caries.
- Enjuagues bucales con flúor: Los enjuagues bucales que contienen flúor ofrecen una protección adicional al esmalte dental. Son especialmente útiles para personas con un alto riesgo de caries o que tienen ortodoncia, ya que pueden llegar a lugares donde el cepillo no alcanza.
- Suplementos de flúor: Los suplementos de flúor, que vienen en forma de tabletas, gotas o pastillas masticables, se prescriben comúnmente a niños que viven en áreas con bajo nivel de flúor en el agua. Es crucial seguir las indicaciones del odontólogo al administrar suplementos de flúor para evitar la sobredosificación, lo que podría conducir a la fluorosis dental.
El flúor dental es altamente eficaz en la prevención de caries, uno de los problemas dentales más comunes. Al promover la remineralización del esmalte dental, el flúor ayuda a reparar las primeras etapas de la caries antes de que se formen cavidades visibles. La capacidad del flúor para formar fluorapatita, una versión más robusta y resistente al ácido del esmalte, es una de sus mayores ventajas.
Compuestos de Flúor Comúnmente Utilizados
- Fluoruro de sodio (NaF): Es uno de los compuestos de flúor más comúnmente utilizados en productos dentales. Se encuentra en pastas dentales, enjuagues bucales y tratamientos profesionales en consultorios odontológicos. Este compuesto es conocido por su solubilidad en agua, lo que facilita su aplicación y absorción por el esmalte dental.
- Fluoruro de estaño (SnF2): Es un tipo de flúor que no solo previene las caries, sino que también tiene propiedades antimicrobianas significativas. Esto lo hace útil en la reducción de la placa bacteriana y la inflamación de las encías. Además, el SnF2 puede ayudar a reducir la sensibilidad dental y combatir el mal aliento. El fluoruro de estaño, aunque beneficioso para la salud bucal, puede causar manchas superficiales en los dientes. Estas manchas son generalmente cosméticas y no dañan la estructura dental, pero pueden ser estéticamente indeseables para algunos pacientes.
- Monofluorofosfato (MFP): Es una combinación de flúor y fosfato, utilizado principalmente en pastas dentales. El MFP es eficaz para fortalecer el esmalte dental y prevenir la caries. Su estructura química permite una liberación controlada de iones de flúor, proporcionando una protección prolongada.
Fluoración del Agua
La fluoración del agua es una estrategia pública de salud que consiste en ajustar los niveles de flúor en el suministro de agua potable para prevenir la caries dental a nivel comunitario. Este método ha demostrado ser altamente efectivo en la reducción de la incidencia de caries en la población general, especialmente en comunidades con acceso limitado a otros productos fluorados.
Aunque la fluoración del agua se ha demostrado eficaz en la reducción de caries a nivel comunitario, ha sido objeto de controversia. Algunos argumentan sobre la ética de medicar un suministro público de agua, mientras que otros expresan preocupaciones sobre posibles efectos secundarios a largo plazo.

Fluoración del agua comunitaria en los Estados Unidos
Riesgos Asociados al Uso de Flúor
Es importante tener en cuenta que las pastas dentales a base de hidroxiapatita no reemplazan por completo el uso del fluoruro. El fluoruro ha demostrado ser eficaz en la prevención de la caries dental y sigue siendo una opción importante en la salud bucal.
El flúor puede ayudar a reducir la sensibilidad dental al fortalecer el esmalte y bloquear los túbulos dentinarios expuestos.
Fluorosis Dental
La fluorosis dental es un efecto adverso que puede ocurrir cuando se consume flúor en exceso durante el desarrollo dental, generalmente en niños menores de ocho años. Se manifiesta como manchas blancas o decoloración en el esmalte dental.
Es fundamental diferenciar entre la cantidad de flúor que es necesaria para obtener beneficios preventivos contra la caries dental, la cantidad recomendada para una salud óptima y la cantidad que podría ser considerada tóxica. Estas cantidades se basan en las «Ingestas Dietéticas de Referencia» que proporcionan distintas organizaciones de salud.
El Flúor: Protege tus dientes, pero a un precio “Tóxico”
Ingestas Dietéticas de Referencia de Flúor
| Grupo de Edad | Ingesta Diaria Recomendada (mg/día) |
|---|---|
| Bebés: 0 a 6 meses | 0.01 |
| Niños: 1 a 3 años | 0.7 |
| Niños mayores y adolescentes: 9 a 13 años | 2.0 |
| Adultos: Hombres | 4.0 |
| Adultos: Mujeres | 3.0 |
El flúor puede ser tóxico si se consume en cantidades excesivas. La ingesta aguda puede llevar a síntomas graves, incluyendo dolor abdominal, diarrea, letargo y en casos extremos, puede ser fatal. La toxicidad crónica, por otro lado, puede resultar en fluorosis ósea y otros problemas óseos después de consumir agua con más de 4 mg/L de flúor durante muchos años.
Sin embargo, de acuerdo a estudios médicos, aunque el flúor es un compuesto natural, si se consume en cantidades mayores a las recomendadas, puede resultar dañino.
Recomendaciones según la edad:
- Niños menores de 3 años: Los niños pequeños deben comenzar a cepillarse apenas les sale el primer diente. Y la cantidad que deben utilizar es del tamaño de una grano de arroz. Además, los padres deben enseñar a sus hijos a no tragar pasta dental.
- Entre 3 y 6 años: En estas edades la cantidad de pasta recomendada es del tamaño de un guisante. Y deben cepillarse dos veces al día, al despertar o después de desayunar, y antes de acostarse. Es importante supervisar a los niños al momento de cepillarse para asegurarse de que utilicen la técnica correcta y que coloquen la cantidad de pasta adecuada.
El exceso de fluoruro puede afectar el desarrollo de los dientes permanentes cuando crecen. La exposición prolongada al flúor cuando el diente está en proceso de crecimiento, se llama fluorosis y provoca una alteración en el esmalte de los dientes, y se hace evidente cuando aparecen manchas o puntos en los dientes. La fluorosis puede provocar problemas estéticos, pero no tiene ningún impacto en la función de los dientes, y puede afectar a los niños hasta los 8 años de edad.
Controversias y Mitos
Otro mito común es que el flúor es un “veneno” y que su adición al agua potable es perjudicial para la salud general. Este mito se basa en estudios mal interpretados y en la toxicidad del flúor a niveles mucho más altos de lo que se utiliza en la salud bucodental. Como cualquier otro químico, todo se trata de usar las dosis correctas.
Tipos de Pasta de Dientes
Existen diversos tipos de pasta de dientes, cada uno diseñado para necesidades específicas:
- Pasta de dientes para niños: Vienen con saborizante para que a los más pequeños le agrade. Los sabores más comunes son fresa y naranja, esta se adapta a la necesidad del niño. Los más pequeños, menores de dos años, suelen tragar la mayoría o toda la pasta de dientes cuando se cepillan. Por eso, para ellos se recomienda que tengan entre 600 y 1000 ppm. En cuanto al uso de la pasta de dientes para niños lo mejor es medir la cantidad que se aplica en el cepillo. Para los menores de tres años la recomendación es el tamaño de un grano de arroz. De 3 a 6 años del tamaño de un guisante y asistirlos en el cepillado para que aprendan a escupir.
- Pasta de dientes blanqueadora: Tienen abrasivos con cierto grosor para eliminar las manchas en la superficie de los dientes. Estas ayudan a conseguir un efecto blanqueador. Son ideales para las personas que tienen dientes amarillentos. Esto puede ser producto del envejecimiento o por el consumo de café, tabaco o vino, entre otros alimentos.
- Pasta para dientes sensibles: Contienen potasio y/o clorhexidina. Estos y otros componentes ayudan a bloquear los nervios que hacen que tus dientes sean sensibles al calor o frío. Son un gran alivio, pero puede tomar entre 3 y 4 semanas para empezar a ver los resultados. También ayudan a fortalecer el esmalte dental. Se recomienda su uso para personas con enfermedades como gingivitis y también ayudan a la prevención de este tipo de enfermedades.
- Pasta de dientes antimanchas: Son un dentífrico pirofosfato, inhibe la formación de sarro. Así como la acumulación de placa, reduce los efectos tóxicos de las bacterias y la posibilidad de tener gingivitis.
- Pasta de dientes a base de hierbas: Estas son hechas con extractos naturales y otros ingredientes como aceite de jengibre, extractos de algas marinas, propóleos, entre otros. Estas generalmente no tienen efectos clínicos comprobados.
- Pastas anticaries: Son aquellas que tienen mayor concentración de flúor. Sirven para la remineralización de la caries, fortaleciendo el esmalte dental. También llamadas pastas con flúor, ayudan a proteger contra el desgaste de los dientes, caries, comidas y bebidas dañinas. Las pastas de dientes que tienen más flúor son recomendadas para personas que tienen esmalte sensible.
- Pasta de dientes para fumadores: Su función es tratar de eliminar las manchas que se producen en los dientes a consecuencia de este mal hábito. La pasta de dientes para fumadores tiene un mayor contenido de abrasivos que las pastas comunes, para que puedan eliminar las manchas oscuras que produce el tabaco.
¿Cómo Elegir la Pasta de Dientes Adecuada?
La recomendación general es que elijas una pasta de dientes con al menos 1000 partes por millón de flúor (ppm). Lo demás son cuestiones de preferencias personales. La cantidad de flúor es clave porque ayuda a fortalecer el esmalte dental. También podrás escoger dependiendo del sabor que prefieras. Aunque para los adultos esto no es tan importante, para los niños sí puede serlo. Por eso hay más opciones para los pequeños.
Al momento de escoger la pasta dental adecuada para ti también debes considerar aspectos como la edad; ya que, no es igual el tipo necesita un adulto a las que requiere un niño. Por ejemplo, para un niño la pasta dental debe contener cantidades de flúor menores a las de un adulto, porque existe mayor probabilidad de que se la trague y esto no es bueno para la salud.
¿Cuál es la mejor marca de pasta de dientes?
Aunque la mejor pasta dental será la que se adapte a tus necesidades específicas y requerimientos dentales. De acuerdo a los datos obtenidos en estudios realizados por la Organización de Comunidades y Usuarios (OCU) se determinó que las siguientes son las mejores pasta de dientes:
- Dentalyss (Carrefour) Expert +10 In 1
- Licor Del Polo Acción 3
- Colgate Triple Action
- Signal Protección Anticaries
- Binaca Fresh Mint-Triple Protection
- Colgate Total Original
- Elmex Anti-Caries
- Oral-B/Az 2 / Protection Professional Pro Expert, Protection Profesional
- Sensodyne Acción Completa
- Parodontax Extra Fresh Complete Protection
¿Cuál es la pasta de dientes con más flúor?
La pasta dental con más flúor es la Colgate® Duraphat® 5000 ppm Flúor Crema Dental, solo está disponible por prescripción médica. Legalmente en la Unión Europea las pastas dentales pueden tener máximo 1.500 ppm. Aunque las que se venden por prescripción pueden tener hasta 5.000 ppm.
En resumen, el flúor sigue siendo una herramienta esencial en la prevención de la caries dental y es respaldado por la evidencia científica como un componente seguro y efectivo en la salud bucodental. A pesar de las controversias y mitos, los beneficios de su uso adecuado son bien reconocidos en la comunidad médica y dental.