Muchos famosos recurren a las carillas dentales para perfeccionar su sonrisa. Estas soluciones estéticas avanzadas han ganado popularidad en los últimos años, transformando sonrisas y elevando la confianza de figuras públicas. Se trata de delgadas láminas diseñadas a medida, elaboradas de porcelana o resina compuesta, que se adhieren a la superficie frontal de los dientes. Este tratamiento es idóneo para quienes buscan mejorar la apariencia de sus dientes sin necesidad de procedimientos invasivos.

¿Qué son las Carillas Dentales?
Las carillas dentales son una terapia de estética dental transformadora que puede cambiar completamente tu sonrisa. Las carillas de porcelana crean un aspecto tan hermoso que muchas celebridades han optado por este tratamiento de última generación.
Entre las principales irregularidades que pueden ser tratadas con carillas dentales se encuentran las decoloraciones, el desgaste, las roturas, las malposiciones y otros defectos semejantes.
Tipos de Carillas Dentales
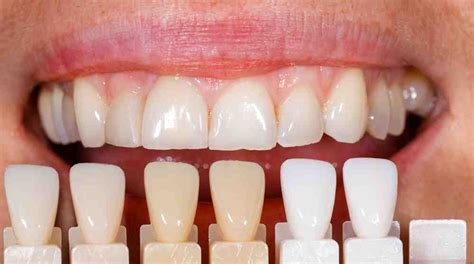
- Carillas de Porcelana: Ampliamente conocidas por su durabilidad y apariencia estética. Una de las razones principales para optar por las carillas de porcelana es su resistencia a las manchas. A diferencia de los dientes naturales, que pueden teñirse con café, vino o tabaco, las carillas de porcelana mantienen su blancura por años.
- Carillas de Composite: También conocidas como carillas de resina compuesta, son una alternativa más asequible y rápida en comparación con las carillas de porcelana. Un beneficio significativo de las carillas de composite es su facilidad de aplicación y la relativa rapidez del procedimiento. En una sola sesión, el odontólogo puede esculpir el material compuesto sobre los dientes, permitiendo correcciones inmediatas y ajustes en el momento.
Algunos famosos apuestan por carillas ultrafinas (como las Lumineers), que apenas requieren tallado dental.
Transformaciones Notables de Celebridades
Zac Efron: De Diastema a Sonrisa Perfecta
Zac Efron, conocido por su papel en la franquicia de Disney High School Musical, es un ejemplo emblemático de transformación dental entre las celebridades. Al comienzo de su carrera, una característica distintiva de Zac era un notable diastema interincisivo, una separación evidente entre sus incisivos frontales. Para aquellos que buscan corregir problemas similares, el tratamiento que Efron decidió seguir ofrece una guía útil.
Zac optó por el uso de carillas Lumineers, una solución moderna y menos invasiva dentro del campo de la odontología estética. El tratamiento de Zac Efron no sólo cerró la brecha entre sus dientes, sino que también armonizó el conjunto de su sonrisa. Las carillas de porcelana Lumineers se colocaron sobre sus dientes existentes, proporcionando una cobertura completa y uniforme.
Una parte importante del tratamiento es la preparación previa que se realiza. Para iniciar este procedimiento, el odontólogo primero crea un molde de la dentadura del paciente, permitiendo fabricar carillas personalizadas que se ajustan perfectamente a cada diente.
Los resultados del tratamiento dental de Zac Efron son notablemente evidentes. Hoy en día, Zac luce una sonrisa recta, blanca y atractiva, que ha armonizado su apariencia general. La desaparición del diastema ha contribuido no solo a su estética, sino también a su confianza frente a las cámaras.
La transformación de Zac Efron refleja el impacto significativo que pueden tener las carillas dentales en la apariencia de una persona. Este procedimiento no solo mejoró su aspecto físico, sino que también ha jugado un papel fundamental en su éxito continuo en la industria del entretenimiento.
Becky G: Alineación y Blanqueamiento para una Sonrisa Deslumbrante
La famosa cantante y modelo Becky G, conocida por éxitos como ‘Shower’, es uno de los ejemplos más notables de transformación dental mediante el uso de carillas. Inicialmente, Becky presentaba una sonrisa con dientes separados y ligeramente proyectados hacia afuera. El proceso de mejora de su sonrisa comenzó con un tratamiento de ortodoncia.
La ortodoncia se utilizó para alinear los dientes y corregir la mordida, esencial para crear una base estable sobre la que aplicar las carillas dentales. Una vez los dientes estuvieron en la posición adecuada, se procedió con la colocación de carillas de cerámica.
El tratamiento de Becky G no solo incluyó la ortodoncia y las carillas de cerámica, sino que también se llevó a cabo un blanqueamiento dental. Este paso fue crucial para asegurar que todos sus dientes tuvieran un color uniforme y brillante, mejorando así el resultado final.
A día de hoy, Becky G luce una sonrisa completamente transformada que realza su belleza natural. Gracias a las carillas dentales y un tratamiento ortodóntico adecuado, su imagen ha cambiado drásticamente, incrementando su confianza y presencia frente a las cámaras.
Cristiano Ronaldo: Un Proceso Integral hacia la Perfección Dental
Las 5 cirugías plásticas que se hizo Cristiano Ronaldo ¡Y tú ni cuenta te habías dado!
El futbolista portugués comenzó su camino hacia una sonrisa perfecta afrontando una agenesia congénita de uno de sus incisivos. Esta condición significaba que le faltaba uno de sus dientes incisivos permanentes, generando desplazamientos y desalineaciones.
Para corregir estos problemas, Ronaldo primero utilizó brackets para alinear su dentadura. Estos aparatos ortodóncicos tradicionales son conocidos por su efectividad en la corrección de maloclusiones y desalineaciones graves. Sin embargo, los brackets eran solo el inicio del proceso.
Una vez que sus dientes estuvieron correctamente alineados, y el espacio dejado por la agenesia fue adecuadamente gestionado, Ronaldo decidió optar por un tratamiento más discreto para finalizar su alineamiento dental. La ortodoncia invisible, como los alineadores transparentes, se convirtió en la siguiente fase.
Después de completar el tratamiento ortodóncico, Cristiano Ronaldo se enfrentó al desafío de mejorar el color de sus dientes, que presentaban manchas y un tono amarillento debido al desgaste y a la pigmentación natural. El proceso de blanqueamiento involucró la aplicación de agentes blanqueadores bajo la supervisión de un dentista especializado. Este tratamiento permitió a Ronaldo eliminar las manchas superficiales y profundas, logrando una sonrisa más blanca y radiante.
Para conseguir una solución duradera y estética, el futbolista optó por la colocación de carillas de porcelana. adhieren a la superficie frontal de los dientes, cubriendo cualquier imperfección y proporcionando una apariencia natural y brillante.
La elección de carillas de porcelana facilitó no solamente la cobertura de cualquier mancha residual sino que también permitió perfeccionar la forma y el tamaño de cada diente. Esta meticulosidad asegura una sonrisa totalmente armoniosa y balanceada.
Miley Cyrus: Ortodoncia y Lumineers para una Sonrisa Armoniosa
La cantante y actriz Miley Cyrus ha sido una figura pública desde joven, lo que ha puesto su evolución dental en el ojo de todos. Para abordar este problema, Miley decidió someterse a un tratamiento integral que incluía ortodoncia y la colocación de carillas Lumineers. El primer paso en el tratamiento fue la ortodoncia. Miley utilizó brackets para mover sus dientes a las posiciones correctas.
La ortodoncia no era suficiente por sí sola para alcanzar el resultado deseado. Tras completar el tratamiento ortodóntico, se hizo necesario recurrir a las carillas Lumineers para obtener la sonrisa perfecta.
Una vez finalizado el tratamiento ortodóntico, Miley Cyrus optó por las carillas Lumineers para finalizar su transformación dental. El proceso de colocación de las Lumineers fue meticuloso. Primero, se realizaron impresiones dentales detalladas para diseñar las carillas a medida. Después, las carillas se probaron para asegurar un ajuste perfecto y una apariencia natural.
El resultado de este tratamiento integral es una sonrisa visiblemente armoniosa y bien alineada. Las carillas Lumineers no solo mejoraron la estética dental de Miley, sino que también hicieron su sonrisa más funcional al eliminar el apiñamiento y corregir la mordida.
George Clooney: Protección y Restauración para una Sonrisa Duradera
Para combatir el desgaste dental severo causado por el bruxismo, George Clooney optó por un tratamiento multifacético que incluye el uso de una férula de descarga. El bruxismo es una afección que se caracteriza por el rechinamiento o apretamiento involuntario de los dientes, principalmente durante el sueño.
La férula de descarga es un dispositivo hecho a medida de material acrílico o plástico que se coloca sobre los dientes superiores o inferiores. Su principal función es distribuir las fuerzas de la mordida de manera uniforme, lo que protege los dientes del desgaste excesivo y reduce las tensiones en la mandíbula.
El tratamiento de Clooney comenzó con una evaluación exhaustiva realizada por su dentista. En la primera consulta, se tomó una impresión detallada de su boca para crear una férula personalizada. Una vez lista, la férula fue ajustada cuidadosamente para asegurar un encaje cómodo y efectivo.
Además de utilizar la férula de descarga, Clooney también se sometió a otros procedimientos dentales para restaurar la estética y funcionalidad de su sonrisa. El desgaste dental había dejado sus dientes oscuros y con una apariencia envejecida.
Las carillas dentales son una solución estética y funcional para problemas de desgaste dental. En el caso de Clooney, las finas láminas de porcelana no solo restauraron la apariencia de sus dientes, sino que también proporcionaron una barrera protectora contra futuros daños.
Morgan Freeman: Rejuvenecimiento a Través de Implantes y Prótesis
Morgan Freeman rejuveneció su sonrisa con una reconstrucción oral completa. Para abordar los problemas dentales de Morgan Freeman, uno de los pasos más importantes fue la colocación de implantes dentales. La colocación de implantes es un procedimiento que requiere una planificación meticulosa.
La fase inicial del tratamiento consistió en la inserción de los implantes en el hueso maxilar. Estos implantes, generalmente de titanio, actúan como raíces artificiales alrededor de las cuales se construyen las nuevas piezas dentales.
Una vez que los implantes se integran correctamente, se procede a colocar las prótesis sobre ellos. En el caso de Morgan Freeman, se optó por una combinación de coronas y carillas. Estos tratamientos no solo devolvieron la funcionalidad completa a la boca de Freeman, sino que también transformaron su sonrisa.
Tom Cruise: Un Tratamiento Integral para una Sonrisa Icónica
Tom Cruise, uno de los actores más icónicos de Hollywood, es conocido por su brillante carrera en el cine. Sin embargo, a lo largo de sus primeras apariciones, mostró una sonrisa que no estaba a la altura de su estatus estelar. El actor decidió someterse a un tratamiento dental integral para corregir esos problemas y lograr la sonrisa perfecta que hoy en día luce con orgullo.
El primer paso del tratamiento consistió en la colocación de brackets que corrigieron la posición de sus dientes. Una vez completada la fase de ortodoncia, Cruise procedió con la colocación de carillas de porcelana. Las carillas de porcelana no solo le brindaron una mejora estética significativa, sino que también corrigieron el color de sus dientes, proporcionando una blancura constante y homogénea.
La corrección de las irregularidades dentales de Tom Cruise no solo mejoró su apariencia en pantalla, sino que también le dio una mayor seguridad personal. La simetría alcanzada en su sonrisa resultó en una armonía facial que se traduce en una estética mucho más agradable para el espectador.
La transformación dental de Tom Cruise sería difícil de imaginar sin el uso de carillas de porcelana y una ortodoncia de calidad.
Lindsay Lohan: Blanqueamiento y Carillas para una Sonrisa Renovada
Lindsay Lohan, la conocida actriz estadounidense, es otro ejemplo de cómo unas carillas bien colocadas pueden transformar radicalmente una sonrisa. Al principio de su carrera, Lohan mostraba una sonrisa que, aunque característica, marcaba de manera negativa su apariencia. Las manchas en los dientes de Lohan eran producto de diversos factores, incluyendo su estilo de vida y hábitos alimenticios. Este problema estético afectaba notablemente su confianza y presencia tanto en la pantalla como en eventos públicos.
El primer paso en la transformación de la sonrisa de Lohan fue un blanqueamiento dental profesional. Este procedimiento se realizó para eliminar las manchas superficiales y profundas que oscurecían sus dientes, devolviéndoles un tono más blanco y brillante.
Para abordar el problema del tamaño y dar uniformidad a su dentadura, Lohan decidió someterse a la colocación de carillas de porcelana. Las carillas de porcelana son altamente valoradas por su durabilidad y estética, proporcionando un resultado natural y duradero.
La combinación de ambos procedimientos tuvo un efecto transformador en la sonrisa de Lohan. Sus dientes, anteriormente manchados y pequeños, ahora lucen homogéneos en tamaño y con un color blanco deslumbrante. La sonrisa renovada de Lohan se ha convertido en uno de sus rasgos más destacados, complementando su estilo y presencia en la industria del entretenimiento.
Penélope Cruz: Pequeñas Correcciones, Gran Impacto
Penélope Cruz, la talentosa actriz española, ha experimentar mejoras significativas en su sonrisa a través del uso de carillas dentales. Aunque su caso no era de los más severos, presentaba pequeñas irregularidades que podían pasar desapercibidas para muchos, pero no para la pantalla grande. Inicialmente, Cruz tenía un ligero apiñamiento dental que hacía que algunos de sus dientes frontales no se vieran perfectamente alineados. Este pequeño problema podía afectar la percepción de su sonrisa, especialmente bajo las luces de los focos en eventos importantes y en sus múltiples apariciones cinematográficas.
Las carillas utilizadas por Cruz ayudaron a alinear sus dientes frontales, dándole una apariencia más homogénea y uniforme. Otra mejora perceptible en su sonrisa fue el color. El procedimiento elegido para Cruz se realizó de manera meticulosa. Primordialmente, se llevó a cabo una evaluación detallada de sus dientes para determinar la mejor forma y tono para las carillas. A la hora de colocar las carillas, es esencial que el color se seleccione correctamente, para que coincida o mejore de forma natural la apariencia de los dientes adyacentes.
Penélope Cruz es un claro ejemplo de cómo pequeñas correcciones pueden tener un gran impacto. Aunque sus dientes presentaban solo una ligera irregularidad, esto era suficiente para desequilibrar su estética dental en ciertos ángulos o situaciones específicas. La elección de Penélope Cruz por las carillas dentales ilustra cómo incluso los menores detalles en el mundo del espectáculo se pueden optimizar.
David Bustamante: Un Diseño de Sonrisa Integral
David Bustamante, un cantante y actor español conocido por su destacada participación en la primera edición del programa «Operación Triunfo«, ha pasado por varias transformaciones estéticas a lo largo de su carrera. Una de las más notables ha sido la mejora de su sonrisa mediante el uso de carillas dentales. Al inicio de su carrera, su sonrisa mostraba ciertas imperfecciones que no estaban a la altura de su creciente fama. El cantante decidió someterse a un tratamiento dental integral para corregir estos problemas y lograr la sonrisa perfecta que hoy en día luce con orgullo.
El primer paso del tratamiento de David Bustamante consistió en una evaluación inicial y un diseño de sonrisa, donde el dentista especializado tomó en cuenta varios factores estéticos y funcionales. Posteriormente, se procedió a la preparación de sus dientes. En este paso, el dentista eliminó una pequeña cantidad de esmalte de la superficie frontal de los dientes de Bustamante. Esta preparación fue necesaria para asegurar que las carillas se adhieran correctamente y no se vean voluminosas o artificiales. Una vez que sus ...
Otros Famosos con Carillas Dentales
A continuación, se muestra una lista de algunos famosos que han mejorado su apariencia con carillas dentales:
- Nicolas Cage
- Jim Carrey
- Paula Etxebarria
- Patricia Conde
- Julián López
Tratamientos Adicionales Utilizados por Famosos
- Blanqueamiento dental
- Ortodoncia (brackets y ortodoncia invisible como Invisalign)
- Implantes dentales
La Importancia de la Salud Dental en la Infancia
Los problemas dentales en los niños pueden afectar no solo su salud bucal, sino también su bienestar general. Algunos de los problemas más comunes incluyen:
- Caries
- Maloclusión
- Gingivitis
- Malos hábitos orales
Para prevenir estos problemas, es esencial fomentar una buena higiene bucal desde una edad temprana.
Consejos para Mantener una Sonrisa Impecable
Como famoso, es crucial cuidar de tu salud dental para mantener una sonrisa impecable y radiante:
- Realiza una buena higiene bucal en casa.
- Visita regularmente a tu dentista.
- Evita malos hábitos que puedan dañar tus dientes.
- Adopta una alimentación saludable.
Tabla Resumen de Tratamientos Dentales en Famosos
| Famoso | Problema Inicial | Tratamiento | Resultado |
|---|---|---|---|
| Zac Efron | Diastema interincisivo | Carillas Lumineers | Sonrisa armoniosa y sin diastema |
| Becky G | Dientes separados y proyectados | Ortodoncia y carillas de cerámica | Sonrisa alineada y brillante |
| Cristiano Ronaldo | Agenesia congénita, dientes manchados | Ortodoncia, blanqueamiento y carillas de porcelana | Sonrisa perfecta y alineada |
| Miley Cyrus | Apiñamiento dental | Ortodoncia y carillas Lumineers | Sonrisa armoniosa y funcional |
| George Clooney | Desgaste dental por bruxismo | Férula de descarga y carillas dentales | Protección y restauración de la sonrisa |
| Morgan Freeman | Pérdida de dientes | Implantes y prótesis (coronas y carillas) | Rejuvenecimiento y funcionalidad completa |
| Tom Cruise | Dientes irregulares y manchados | Ortodoncia y carillas de porcelana | Sonrisa simétrica y blanca |
| Lindsay Lohan | Dientes manchados y pequeños | Blanqueamiento y carillas de porcelana | Sonrisa homogénea y brillante |
| Penélope Cruz | Apiñamiento leve | Carillas dentales | Sonrisa homogénea y uniforme |
| David Bustamante | Imperfecciones dentales | Diseño de sonrisa y carillas dentales | Sonrisa perfecta y alineada |