La endodoncia es la rama de la odontología que se centra en el tratamiento en el interior del diente, el tejido pulpar y los conductos radiculares. La endodoncia es uno de los tratamientos más utilizados en consulta dado que la caries es una de las condiciones que más afectan a la población.
Dentro del instrumental de endodoncia, el instrumental manual sigue siendo una pieza fundamental en el tratamiento. Las limas son quizás la parte del instrumental de endodoncia más conocidas. Esta herramienta parte del instrumental de endodoncia es uno de los utensilios fundamentales en el procedimiento.
El instrumental de endodoncia equipado con motores rotatorios ha hecho evolucionar los tratamientos dentales. Las limas rotatorias son utilizadas con los motores de endodoncia, siendo mucho más rápidas y eficaces que hacerlo de manera manual. Entender cómo y cuándo se utiliza cada herramienta es clave para garantizar el éxito del tratamiento.
Es importante inspeccionar después de cada uso el instrumental para detectar daños, corrosiones o desgastes. Los instrumentos que lo requieran deberán ser lubricados regularmente para que funcionen correctamente. Se utiliza vapor a alta presión y temperatura para eliminar todos los contaminantes y microorganismos nocivos.
Introducción a la Instrumentación Mecánica
El objetivo de la instrumentación mecánica del conducto radicular es extirpar el tejido pulpar y eliminar los microorganismos y las virutas dentinarias para después dotar al sistema de conductos de una forma que permita su limpieza, desinfección y obturación completa. El conducto preparado debe abarcar el conducto original, conservar la constricción apical y acabar en un estrechamiento apical, además de presentar conicidad en sentido coronoapical.
El uso de instrumentos rotatorios fabricados con una aleación de níquel-titanio (NiTi) fue descrito por primera vez en 1988 y hoy se puede considerar un hito histórico para lograr los objetivos mencionados anteriormente. Los instrumentos de NiTi han pasado a convertirse en una parte integrante del programa docente en muchas universidades.
Los instrumentos de NiTi ofrecen indiscutiblemente una gran cantidad de ventajas frente a los instrumentos de acero inoxidable manuales. No obstante, la mayoría de autores recomiendan combinar instrumentos de acero inoxidable y de NiTi. Actualmente los instrumentos de acero inoxidable se aplican en endodoncia principalmente para explorar el sistema de conductos, para la conductometría electrónica y para establecer una vía de instrumentación.
A diferencia de los instrumentos manuales de acero inoxidable, los instrumentos de NiTi de los sistemas establecidos se utilizan siempre con una rotación de 360º. Hasta hoy todavía no se ha impuesto la aplicación de sistemas NiTi con un movimiento similar al de los instrumentos manuales (ascensional, movimiento antihorario parcial). Si bien con los primeros sistemas el concepto de la técnica crown-down se consideraba incuestionable, hoy día existen distintos conceptos que, entre otros, recomiendan una instrumentación de toda la longitud de trabajo desde el inicio (Lightspeed, Mtwo, BioRace etc.).
Sin embargo, analizados con más detenimiento, los primeros sistemas (ProFile, FlexMaster, ProTaper) no recomendaban aplicar exclusivamente la técnica «crown-down», sino llevar a cabo un procedimiento combinado. Después de alcanzar la longitud de trabajo completa se procedía al ensanchamiento apical con instrumentos de tamaño creciente.
Los endodoncistas utilizan a menudo sistemas distintos en la instrumentación, ya que no todos los casos se pueden resolver de forma satisfactoria con un solo sistema. Para salvar escalones en el sistema de conductos, instrumentar conductos de curvatura extrema y llegar a fragmentos o perforaciones muy profundos, en determinadas circunstancias puede resultar útil combinar sistemas de NiTi de corte activo y sistemas pasivos de conicidad muy diversa.
La elección de los instrumentos a utilizar se deberá regir por las características del caso y por las preferencias y capacidades del especialista. Para aplicar los distintos instrumentos NiTi de forma estructurada y combinada hay que conocer las diferencias fundamentales entre los sistemas.
Para poder aplicar los instrumentos eficazmente resulta de gran ayuda saber de antemano los puntos del conducto en los que el instrumento utilizado va a eliminar dentina y de qué forma. El presente artículo tiene por objetivo ayudar al lector a decidir correctamente qué sistema o sistemas utilizar en función de los casos que ha de tratar.

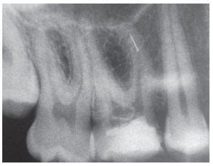
Diente 16 con instrumento de NiTi fracturado en el conducto mesiovestibular

Diente 16 una vez retirado el fragmento

Utilizando instrumentos manuales de acero inoxidable precurvados fue posible establecer una vía de instrumentación
Movimiento de los Instrumentos de NiTi Mecánicos
En la instrumentación mecanizada se suelen utilizar instrumentos de Niti en rotación continua de 360º con velocidades situadas entre las 150 y las 2.000 rpm. A diferencia de los instrumentos mecánicos más antiguos que realizaban movimientos lineales, movimientos recíprocos de un cuarto de vuelta, etc., hasta la introducción de los instrumentos de NiTi no ha sido posible respetar al máximo la geometría original del conducto con técnicas rotatorias.
La gran mayoría de estudios sobre instrumentación rotatoria certifica que con este tipo de instrumentación se logra conservar de forma óptima la anatomía original del conducto, con una rectificación mínima de éste. También los endodoncistas con poca práctica o experiencia pueden conservar de forma satisfactoria la anatomía del conducto.
Recuperando el concepto del movimiento en sentido horario y antihorario, se procede a instrumentar el conducto con un movimiento en sentido horario (4/10) y en sentido antihorario (2/10). No obstante, dado que en las primeras observaciones publicadas no se hace referencia a ningún grupo control, no es posible sacar conclusiones válidas en relación con la calidad de la instrumentación y con el éxito del tratamiento comparado con los sistemas tradicionales. Además el propio autor indica que la aplicación de un solo instrumento de NiTi se limita exclusivamente a conductos radiculares que no presenten una curvatura excesiva y que tengan un calibre que se corresponda con el tamaño ISO del instrumento.
Geometría de los Instrumentos Rotatorios
En la bibliografía se describen distintos sistemas de limas con ángulos de corte positivos, neutros o pasivos, conicidades constantes o ascendentes, ángulos de trabajo variables y otras características constructivas.
Ángulos de la geometría filo de corte
A continuación se definen brevemente tres tipos principales de ángulos que marcan las diferencias entre los distintos instrumentos de preparación. Con ayuda de la nomenclatura presentada se pueden clasificar los distintos parámetros de las limas.
- El ángulo de inclinación o de hélice («helical angle») es el formado por el eje del instrumento y la parte exterior de la arista cortante. Con una parte activa de una longitud determinada, cuanto mayor es el número de filos, mayor es el ángulo de inclinación (ángulo de la arista cortante).
- El ángulo de corte («cutting angle») es el ángulo formado por la superficie a instrumentar y la cara anterior de la cuña. El ángulo de corte y el ángulo de desprendimiento juntos forman un ángulo de 90º.
- El ángulo de desprendimiento («rake angle») es el ángulo formado por la cara anterior de la cuña y el plano perpendicular a la superficie del conducto a instrumentar. Por lo general con ángulos de desprendimiento positivos la fuerza de corte es menor que con ángulos negativos.
En relación con las limas de NiTi disponibles en el mercado se habla de ángulos de desprendimiento negativos, neutros o positivos. En un estudio realizado por el autor sobre distintas limas elegidas al azar (FlexMaster, K3, Profile, ProTaper, Ra-Ce) de conicidad variable sólo se hallaron ángulos de desprendimiento negativos que se situaron entre los -20° y los -50°. Un ángulo de desprendimiento negativo hace que el instrumento, en lugar de cortar, raspe la superficie.
Para eliminar una determinada cantidad de material con un movimiento de raspado es necesaria una fuerza mayor que la que se precisa cuando el ángulo de desprendimiento es positivo. Este aspecto también es importante en relación con la fuerza ejercida sobre el instrumento. La capacidad de corte de una lima afecta de forma decisiva a la cantidad de fuerza que hay que aplicar; las fuerzas axiales aumentan automáticamente con el diámetro de la lima.
Clínicamente esto se manifiesta por el hecho de que las limas con un diámetro mediano se fracturan más que las de menor tamaño. A partir de cierta área de sección, las limas vuelven a presentar una resistencia y rigidez suficientes para soportar los esfuerzos de torsión y de flexión de forma permanente y segura.
Conicidad de los instrumentos de preparación
Cuanto mayor es la amplitud y la conicidad con las que se instrumenta el conducto, mejor penetra en él la solución irrigadora. Si se realiza una preparación manual con un limado circunferencial se pueden obtener conicidades del 10% o mayores en el tercio coronal y también en el tercio medio del conducto.
Con la instrumentación rotatoria, en cambio, unas conicidades tan elevadas sólo se pueden lograr con unos pocos instrumentos; generalmente es necesario un movimiento determinado de la lima para conseguir una conicidad óptima del conducto. La mayoría de los sistemas disponibles actualmente presentan entre dos y cuatro conicidades distintas que no varían en toda la parte activa. El sistema ProTaper de conicidad progresiva (progressive taper, ProTaper) constituye una excepción, dado que presenta varias conicidades dentro del mismo instrumento.
Sin embargo, dado que cuanto mayor es la conicidad del instrumento, mayor es el diámetro del alma de éste y menor es la flexibilidad, una conicidad elevada va asociada a un determinado perfil de sección transversal. Las limas FlexMaster, por ejemplo, presentan unas caras externas convexas gracias a las que resisten los esfuerzos de torsión y de flexión incluso con conicidades reducidas (a partir del 2%).
Por otro lado, se han realizado modificaciones geométricas en los instrumentos con dos filos de corte (Mtwo) que han permitido mejorar su flexibilidad con respecto a los sistemas tradicionales de tres filos.
Número de filos y distancia entre éstos
El número de filos por tramo de la parte activa de un instrumento también es un factor importante para la eficacia de la instrumentación. En los instrumentos manuales, rotatorios, con acción de limado o con acción de raspado en función del tipo de lima, se han identificado distintos números de filos como ideales para la instrumentación.
Al igual que las limas de acero inoxidable, las limas NiTi se fabrican en su mayoría con una separación cada vez menor de los filos cortantes a medida que se acerca la punta y con un ángulo de inclinación creciente. Con este diseño se pretende lograr una remoción de material homogénea, dado que se mejora el centrado longitudinal del instrumento en la luz del conducto. También permite transmitir la fuerza al instrumento de forma uniforme.
Sin embargo, esta geometría impide una introducción rápida de la lima en el conducto. La distancia y la inclinación de los filos presentan características inversas a las de los tornillos convencionales para madera. En éstos el ángulo de inclinación va disminuyendo hacia la zona de la punta y el número de filos se va reduciendo.
El ángulo de inclinación de los filos influye también en el tamaño de las virutillas dentinarias y en su evacuación. Cuanto más agudo es el ángulo de inclinación, más se favorece la evacuación de partículas de la zona de corte.
Con todo, la sección transversal de la lima constituye un factor más determinante que el número de filos. Los instrumentos de sección triangular tienen una mayor capacidad de corte que las limas de sección cuadrada. Los fabricantes de instrumentos rotatorios también son conscientes de ello, dado que los sistemas disponibles en el mercado son en su mayoría de tres filos.
Instrumentos activos y pasivos
Desde hace algunos años la clasificación de las limas en instrumentos de NiTi activos, semiactivos y pasivos aflora en congresos sobre endodoncia nacionales e internacionales y de vez en cuando también en la bibliografía especializada. La clasificación se debe a Ben Johnson y se refiere a la capacidad de corte de un instrumento proporcionada por su geometría.
Se denominan pasivos los instrumentos que presentan una superficie de apoyo radial («radial land») (Profile, GT, Lightspeed). Los instrumentos activos disponen de una arista cortante sin apoyo radial. Por consiguiente poseen un ángulo de incidencia mucho más marcado y muestran una mayor capacidad de abrasión. A este grupo pertenecen, por ejemplo, los instrumentos FlexMaster, RaCe y ProTaper.
Todavía no se ha podido demostrar la suposición de que los instrumentos activos cortan la dentina correctamente gracias a un presunto ángulo de desprendimiento positivo. Parece bastante más probable que se produzca una abrasión por fricción eficaz. También los instrumentos pasivos logran una abrasión por fricción, pero son menos eficaces y por consiguiente eliminan menos cantidad de tejido.
Si la conicidad de las limas activas y pasivas es idéntica debe procurarse preparar los conductos levemente curvados con instrumentos activos y no recapitular la longitud de instrumentación alcanzada. Con los instrumentos pasivos también se pueden preparar conductos de curvatura extrema, que incluso en una recapitulación modifican muy poco la trayectoria original del conducto.
Instrumentación Mecánica con Limas GT
La tendencia actual a la hora de la biomecánica en Endodoncia es emplear sistemas rotatorios y limas de mayores conicidades para facilitar la limpieza y conformación de los conductos. En este artículo se pretende explicar la técnica de instrumentación mecánica que se emplea con las limas de níquel titanio GT, exponiendo básicamente su diseño y características, su forma de uso y las ventajas e inconvenientes respecto a otros sistemas.
A lo largo del tiempo se han diseñado infinidad de instrumentos y sistemas para mejorar la eficacia de la instrumentación en Endodoncia. El objetivo final de todos ellos ha sido el mismo: conseguir una correcta limpieza y conformación del conducto, deformando mínimamente la forma original del mismo.
Aunque los instrumentos manuales siguen siendo los más utilizados, los inconvenientes que presentan, sobre todo la falta de flexibilidad, la poca conicidad y la lentitud de trabajo, hacen que con el tiempo se estén abandonando paulatinamente, sustituyéndose por limas de niquel-titanio activadas mediante técnica rotatoria.
Incovenientes de las limas de conicidad ISO
La biomecánica con instrumentos de conicidades ISO (0.02) requiere un gran esfuerzo mecánico: muchas limas para conseguir una conformación adecuada, y muchos pasos con cada una de ellas. Como se verá mas adelante, este problema queda resuelto con las limas de gran conicidad GT.
No se debe olvidar otro problema que presentan los instrumentos de conicidad ISO y que es el incremento porcentual de diámetro en los diferentes tamaños de limas. Este incremento es variable entre dos limas consecutivas, y es mayor cuanto más pequeños sean los números de las limas.
El paso de una lima del #10 al #15 supone un aumento del 50%; el paso del #15 al #20 un aumento del 33%; del #20 al #25 un aumento del 25%, y así sucesivamente. Fácilmente se comprende que no es lógica esta discrepancia.
Diseño de las limas GT
Las limas GT (Greater Taper) reciben su nombre por poseer una conicidad mayor que los instrumentos ISO. Existen dos tipos de GT: manuales y rotatorias, todas fabricadas en níquel titanio. Las manuales tienen sección triangular y cortan en giro antihorario y las rotatorias sección en «triple-U», lo que les permite un corte no tan agresivo pero favoreciendo el arrastre de partículas, a la vez que se mantienen más centradas en el conducto. El corte se realiza en sentido horario. Ambas limas tienen la punta inactiva y están disponibles en las longitudes de 17, 21, 25 y 30 mm.
Se encuentran disponibles dos set de limas: el set estándar y el set de limas accesorias.
- Set de limas estándar: Está formado por tres limas de conicidades .06, .08 y .10, identificadas con dos anillos de color, blanco, amarillo y rojo, respectivamente. Las tres tienen un diámetro apical de 0,20 mm. El diámetro máximo de las estrías es de 1 mm; por lo tanto a mayor conicidad menor número de estrías.
- Set de limas accesorias: Está formado por tres limas, todas ellas de conicidad .12 e identificadas con muescas o aros doradas, a estilo de las fresas de Gates Glidden. El diámetro de la punta es diferente en cada una de ellas, siendo de 0,35 (un aro), 0,50 (dos aros) y 0,70 mm (tres aros). El diámetro máximo de las estrías es de 1,5 mm.
La razón de la existencia de estos dos set es la anatomía dentaria. El 95% de las raíces tiene un diámetro apical menor de 0,20 mm. Para todas estos casos, se empleará el set de limas estándar. Solamente para un pequeño porcentaje de conductos se requerirán las limas accesorias.
Diseño de las estrías
Es posiblemente la mejora más importante de estas limas. Las estrías están orientadas de diferente forma a lo largo de la longitud de la lima. En la zona de la punta, forman un ángulo más cerrado (45º, semejante a las limas K), y según se aproximan al mango, el ángulo se va haciendo más abierto (30º, asemejándose más a un ensanchador).
Este diseño consigue que, en la punta, la zona más peligrosa de la lima y del conducto radicular, haya un menor corte (menor agresividad) y menos posibilidades de fractura del instrumento. Por el contrario, en la zona más ancha del conducto trabaja la zona de la lima más agresiva, que aunque puede romperse más facilmente, es más fácil su retirada.

Diseño de las GT
Sistemática de trabajo
En el 95% de los conductos se podrá instrumentar solamente con las tres limas básicas del set estándar. La secuencia de trabajo es la siguiente:
- Fase inicial: El objetivo de esta fase es:
- eliminar la mayor cantidad de tejido pulpar del conducto para evitar el «bloqueo» que podría ocurrir al acercarnos progresivamente a ápice
- determinar la longitud de trabajo
- permeabilizar el foramen apical (patency apical)
- Fase de crown down: El objetivo de esta fase es llegar al forámen apical pero siempre después de haber limpiado y conformado los dos tercios coronales del conducto. Esta parte de la biomecánica se realiza con las tres limas básicas GT. Se comenzará por la de conicidad .10 introduciéndola varias veces hasta el lugar en que se note una resistencia. A continuación se trabajará con la de conicidad .08 hasta el punto de resistencia, que estará a una mayor longitud. Finalmente, se usará la GT de menor conicidad, .06 que puede llegar ya a la longitud de trabajo. Si esto no ocurriera, se debe recapitular alternativamente con las dos limas anteriores. Sólo ocasionalmente, en conductos muy finos y curvos, puede ser necesario el uso de una lima Profile de conicidad .04. Puede ocurrir el supuesto contrario, que se trate de un conducto más ancho que incluso nos permita llegar al foramen apical con la lima de conicidad .10. En estos casos la biomecánica es realmente sencilla. Por supuesto toda esta fase debe hacerse con abundante irrigación de hipoclorito.
- Fase de recapitulación: Los dos objetivos más importantes de esta fase son:
- comprobar el patency apical (con la lima K del número 15)
- comprobar que se mantiene el diámetro apical.
El 5% de raíces que tienen un mayor diámetro apical se instrumentarán de la forma descrita pero utilizando las limas de conicidad .12 que poseen una punta más gruesa.
Como ayuda inicial puede servir la siguiente tabla, que indica cuál debe ser la lima GT que llegue a la longitud de trabajo dependiendo de la anatomía del conducto radicular.

Tabla de ayuda inicial
Ventajas de la instrumentación con limas GT
Son muchas las ventajas que proporciona la instrumentación con limas GT:
- Produce una conformación del conducto más correcta, respetando su configuración inicial, sin ensanchar el foramen apical más allá del diámetro que inicialmente tiene el mismo.
- Favorece una mejor capacidad de limpieza del hipoclorito, ya que la mayor conicidad facilita su penetración.
- Permite un mayor control del extremo apical del conducto con los instrumentos, al eliminar todo obstáculo del conducto en su parte más coronal.
- No se necesita un ensanchamiento adicional arbitrario con fresas Gates Glidden.
- Permite fácilmente la obturación del conducto radicular con cualquier técnica, aunque está indicado fundamentalmente para obturación con gutapercha caliente.
- Consigue un stop apical largo («resistencia lineal»), es decir, a lo largo de los últimos milímetros del conducto; el stop que crean las limas K es en un solo punto («resistencia puntual»).
- La capacidad de corte de las estrías permite la realización de retratamientos de conductos al eliminar con facilidad la gutapercha existente.
Incovenientes de las limas GT
Uno de los inconvenientes que se señalan es que no resuelven el problema del tiempo. Es un error pensar que con cualquier sistema rotatorio va a disminuir el tiempo de trabajo. La inexperiencia y sobre todo el stress de una posible fractura hace que los tiempos sean muy parejos. Pero esto es algo que no debe importarnos siempre y cuando consigamos mejores resultados.
El gran miedo que producen las limas GT, y en general cualquier sistema de instrumentación rotatoria, es el de la fractura de instrumentos. Como es sabido, la resistencia a la torsión del níquel titanio es menor que la del acero, por lo que en principio las posibilidades de rotura son mayores.
Este inconveniente, obliga a cualquier profesional que desee usarlo, a realizar un entrenamiento previo in vitro. A mayor experiencia menos fracturas. Es importante tener la precaución de sustituir cada lima después de haberlas utilizado en cuatro conductos aproximadamente; aunque sólo se podrán usar una vez en conductos que presenten una curvatura exagerada. Siguiendo estas normas, es posible que reducir el porcentaje de fracturas, incluso eliminarlo.

Fractura de instrumentos
Para complementar esta información, te sugiero ver el siguiente video:
Técnica Crown Down, Instrumentación Endodoncia
tags: #crown #down #endodoncia