La extracción de una muela del juicio es uno de los tratamientos que se realizan con mayor frecuencia en las clínicas dentales. Las muelas del juicio, también conocidas como terceros molares o cordales, son los dientes que ocupan las últimas posiciones de la dentadura, además de los que más tardan en erupcionar. En total, las personas tienen cuatro muelas del juicio: dos en la arcada superior y dos en la arcada inferior de la boca. Sin embargo, no todas las personas experimentan la erupción de las cuatro muelas del juicio.
Es importante conocer las distintas condiciones en que pueden darse las muelas del juicio, así como el procedimiento de extracción. A continuación, te explicamos todo sobre cuándo tiempo tardan en caer y cuándo quitar puntos de implante dental.
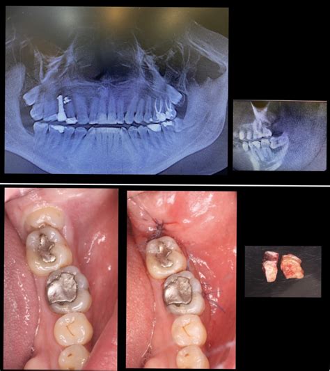
👉CUIDADOS despues de una EXTRACCION de muela 🙊 Secretos para que NO TE DUELA!!
¿Cuándo es recomendable extraer una muela del juicio?
Sin embargo, es habitual que surjan dudas acerca de en qué casos es recomendable extraer una muela del juicio. La extracción de las muelas del juicio es un procedimiento muy común en las clínicas dentales.
Por otra parte, es aconsejable realizar una extracción cuando los cordales puedan dañar otros dientes. Si estas han salido por completo y en una posición adecuada no es preciso hacerlo. Hay que considerar también que permitan mantener una higiene correcta.
Hay algunas señales que advierten sobre la necesidad de extraer las muelas del juicio. Por ejemplo, si aparecen quistes o tumores, dolor, caries, periodontitis o si han dañado los dientes vecinos.

Causas comunes para la extracción:
- Impactación: Dado que son las últimas piezas dentales en salir, es frecuente que las muelas del juicio no puedan erupcionar completamente debido a la falta de espacio en la boca. Además, en muchos casos, la muela del juicio se encuentra en una posición que dificulta su salida. En consecuencia, esta pieza dental se puede quedar “atrapada” dentro del hueso, bajo la encía.
- Caries: Debido a su ubicación en la parte posterior de la boca, las muelas del juicio pueden ser difíciles de limpiar adecuadamente, lo que las hace más susceptibles a sufrir caries. Además, su posición dificulta el acceso del dentista para realizar un empaste que elimine la caries.
- Infecciones recurrentes: Las muelas de juicio se pueden infectar debido a caries o a una pericoronaritis.
Procedimiento de Extracción de Muelas del Juicio
La técnica quirúrgica consiste en anestesiar, con anestésico local, la zona periférica de la pieza a extraer. Antes de planificar la cirugía, es fundamental realizar un estudio bucodental completo al paciente, el cual está basado en una serie de pruebas clínicas y radiográficas. Lo más habitual es administrar anestesia local. Sin embargo, cuando es necesario extraer más de dos muelas del juicio en la misma cirugía se puede administrar sedación o anestesia general. La intervención se lleva a cabo, por norma general, con anestesia local más sedación. En el caso de tratarse de una extracción múltiple (las 4 muelas del juicio a la vez) se podría efectuar con anestesia general.
La intervención es ambulatoria con una estancia hospitalaria de entre 1 y 2 horas. No deberá llevar ningún objeto metálico durante la operación: anillos, pulseras, pendientes, piercings, etc.
Tras la extracción, se revisa la zona comprobando que no queden restos de la pieza extraída ni espículas óseas que pudieran complicar el post-operatorio.
Tipos de Extracción:
- Extracción simple: Este es el tipo de extracción más sencillo.
- Extracción quirúrgica: Dentro de la extracción quirúrgica debemos distinguir dos situaciones: la muela que ha erupcionado de manera parcial y la que se encuentra totalmente incluida en la encía. En ambos casos, el cirujano deberá realizar una incisión en la encía para exponer el diente y el hueso. Si hay hueso cubriendo el diente, este será apartado cuidadosamente para llegar al diente.
Una vez extraído el diente, se limpia la zona cuidadosamente para eliminar cualquier fragmento o residuo que haya quedado. El cierre de la herida se llevará a cabo con puntos de sutura reabsorbibles o con sutura quirúrgica (esta se retira entre 5 y 8 días después de la intervención). Tras la extracción, se coloca una gasa en la zona intervenida para controlar el sangrado y contribuir a la formación del coágulo.

Tipos de Suturas Utilizadas en Cirugía Oral
Los dentista tenemos en cuenta una serie de características y supuestos a la hora de escoger una sutura u otra y su elección siempre será personalizada, es decir, teniendo en cuenta las características de cada paciente. La colocación o no de sutura o de puntos dependerá del tipo de tratamiento a realizar en la cavidad oral y siempre será el dentista o cirujano oral quien determinará su colocación. La principal función de los puntos en implantes dentales es la de permitir y favorecer a la unión de los bordes de los tejidos de manera atraumática. Los puntos de sutura podrán ayudar a la cicatrización de las mucosas orales tras la realización de una cirugía oral o de una extracción dental.
Existen diversos tipos de suturas, cada una con características específicas:
- Suturas reabsorbibles: Se emplean para aproximar los bordes de la herida hasta que una superficie cicatrizada permite que se sostengan por sí solos. Los materiales de fabricación de las suturas re-absorbibles pueden ser de origen orgánico o sintético y dependerá de esto mismo su tiempo de absorción. Es decir, el tiempo en que caigan o se degraden/absorban los puntos de sutura colocados.
- Suturas de seda: Se caracterizan por su facilidad de manipulación o manejo, admitiendo la torsión y trenzado. Este tipo de suturas también es muy utilizado en la consulta dental en tratamientos quirúrgicos.
- Suturas de nylon: Este tipo de sutura es sintético y no re-.absorbible, es decir, los puntos de esta sutura se deberán retirar en la consulta dental días posteriores al tratamiento quirúrgico. Existen suturas de nylon de monofilamento o de multifilamento trenzado. Este tipo de suturas tiene una gran elasticidad y resistencia a la tracción.
- Suturas de polipropileno: No se adhieren a los tejidos, por lo que su remoción o extracción es sencilla. Estas están indicadas en supuestos en los que se necesita una mínima reacción tisular y en el caso de infecciones.
- Suturas de supramid: Fabricadas a partir de un hilo multifilar de poliamida. Ello permite que la sutura sea igual de flexible y fácil de anudar que una sutura multifilar. Este tipo de sutura aporta una mayor suavidad en el paso por los tejidos mucosos blandos y asimismo, permite una mayor y óptima manejabilidad y bio-compatibilidad. Un punto a tener en cuenta también es que las suturas tipo supramid retienen muy poca placa bacteriana (la zona tratada quirúrgicamente estará de por sí más limpia).
- Suturas de PTFE: Son un tipo de suturas monofilamento no re-absorbibles fabricadas a base de politetrafluoroetileno extruido. Esta sutura PTFE presenta una leve porosidad que le proporciona una alta resistencia a la tracción y la dota de cierta elasticidad. Al igual que las anteriores suturas, este tipo se emplea frecuentemente en cirugías periodontales o de periodoncia, en cirugías dentales e incluso en cirugías cardio-vasculares.
- Suturas Trofilorc o PDVF: Son monofilares de polivinildifluoretileno que destacan porque presentan una elevada fuerza de tensión, lo cual permite utilizar menores diámetros. Asimismo este tipo de sutura presenta una gran flexibilidad lo que la hace más fácil de utilizar y más segura de anudar (presenta muy poca memoria plástica).
Tipos de suturas continuas:
- Sutura continua: Esta es muy útil en incisiones largas, ya que solo se efectúa un nudo inicial y una final. Estos nudos podrán estar entrecruzados o no, es decir, ser simples.
- Puntos simples: Consiste en realizar una serie de puntos independientes entre sí, fijados cada uno de ellos con un nudo a una distancia aproximada entre sí de unos 0.5 cm. Este tipo de sutura es el más habitual.
¿Cuándo se quitan los puntos de sutura?
El tiempo que tardan en caer los puntos de sutura varía según el tipo de sutura utilizada:
- Suturas reabsorbibles: Este tipo de sutura puede desprenderse a partir de los 15 días de haber sido colocada.
- Suturas no reabsorbibles: Se retiran en la consulta dental entre 5 y 8 días después de la intervención.
Cuidados Postoperatorios
Los puntos de sutura ayudarán a que una incisión o herida en la cavidad oral cierre correcta y completamente pero para ello también, será capital, seguir una serie de pautas que deberás llevar a término desde el momento de finalizar tu cirugía oral o extracción dental.
Los odontólogos recomiendan hacer una exodoncia de las muelas del juicio antes de que estas provoquen algún problema. El tiempo de recuperación puede durar desde unos días hasta un par de semanas. Sin embargo, se puede alargar en caso de que ocurra alguna complicación, como una infección.
Valoramos tu casoRellena este formulario y nos pondremos en contacto contigo lo antes posible.Elige clínica:* Elige horario: Acepto condiciones legales Responsable: DentiSalut, SLP Finalidad: recabar datos para poder elaborar un presupuesto, informarles de nuestros servicios y productos de nuestra empresa. Legislación: Ley Orgánica 15/1999, de 13 de diciembre, de Protección de Datos de carácter personal. Destinatarios: sus datos serán incluidos en un fichero informático y no serán cedidos bajo ningún concepto sin su expresa autorización.

Recomendaciones Generales:
- Compresión con gasa: Tras realizar la extracción dental o una cirugía oral, en la consulta, tu dentista o cirujano oral colocará en la zona de la extracción una gasa para realices una fuerte compresión. Esta compresión se deberá realizar por una hora aproximadamente aunque lleves sutura. Si tras ello aún presentas sangrado, deberás repetir la compresión con una nueva gasa estéril mordiéndola fuertemente en la zona tratada por unos 30-45 minutos más. La compresión se realizará hasta que el sangrado o la hemorragia cese por completo, es decir, hasta que se forme el coagulo.
- Evitar enjuagues y escupir: Escupir o enjuagar durante las primeras 24 horas tras realizar una extracción dental favorecerá a la expulsión del coágulo o a su mal-formación y no permitirá la primera fase de la cicatrización. Además puede afectar a la tensión de los puntos de sutura.
- Dieta blanda y fría: Durante las primeras 24 horas después de realizar una extracción dental o una cirugía oral todo lo que comas y bebas deberás ser frío o a temperatura ambiente.
- Higiene bucal: Así pues, a las 24 horas de realizar una extracción dental deberás cepillar tus dientes y encías con normalidad y la zona tratada con sumo cuidado. Tras el cepillado del área quirúrgicamente tratada podrás enjuagar muy suavemente con agua y sal o suero y aplicar un gel o utilizar un colutorio que te indique tu dentista.
- Medicación: Siempre, siempre deberás seguir las indicaciones prescritas por tu dentista o cirujano oral y ante cualquier duda deberás consultar con este. Una correcta pauta de medicación ayudará a controlar los procesos inflamatorio e infeccioso de presentarse. Nunca te auto-mediques.
Otros consejos importantes:
- Dolor: Es normal experimentar cierto grado de dolor o molestias después del procedimiento.
- Inflamación: En función de la envergadura de la cirugía, la hinchazón también puede ser habitual tras la extracción de las muelas del juicio. La inflamación, hinchazón y molestias en la zona intervenida persistirán alrededor de 3 a 5 días.
- Sangrado: También es posible presentar un ligero sangrado durante las primeras horas posteriores a la cirugía. Para reducir el sangrado, es aconsejable colocar una gasa en la herida y morderla suavemente (para realizar compresión).
- Deportes de contacto y/o impacto: Si practicas este tipo de deportes (fútbol, boxeo…) pregunta al cirujano cuándo puedes retomar la actividad.
- Evita el cigarro y el alcohol: Por otra parte, evita el cigarro y el alcohol, ya que esto retrasa la recuperación. El dentista indicará analgésicos para tratar el dolor y el antibiótico que puedes consumir en caso de que haya infección.
Recuerda que te hemos facilitado una serie de pautas generales. Sin embargo, dichos consejos pueden variar en función del número de muelas del juicio que se hayan extraído, su grado de erupción y su posición.
Preguntas Frecuentes
- ¿Qué hago si un punto se ha abierto? Sigue las indicaciones de tu dentista/cirujano oral y si tienes dudas consulta con este.
- ¿Es normal el dolor y la inflamación después de la cirugía? La inflamación así como el dolor o las molestias tras una extracción dental o un tratamiento quirúrgico pueden acontecer desde el momento de finalizar el tratamiento quirúrgico y aumentar en los tres días posteriores o 72 horas. Si el dolor es excesivo, consulta a tu dentista.
- ¿Qué debo hacer si los puntos no se caen después de 15 días? De tratarse de unos puntos de sutura re-absorbible ello puede ser normal (que aún no hayan caído). Este tipo de sutura puede desprenderse a partir de los 15 días de haber sido colocada.
- ¿Es normal que no me hayan puesto puntos después de la extracción? No siempre tras realizar una extracción dental será precisa la colocación de sutura o de puntos de sutura, por lo tanto tu extracción puede estar perfectamente bien.
Duración del Procedimiento y Recuperación
La duración del procedimiento es de entre 20 y 40 minutos. La inflamación, hinchazón y molestias en la zona intervenida persistirán alrededor de 3 a 5 días.
Después de cuatro días es probable que ya puedas volver a tus actividades regulares, pero debes evitar esfuerzos que puedan lastimar el coágulo; por ejemplo, los ejercicios fuertes. La hinchazón debería desaparecer a los tres días. Puedes ayudarte aplicando compresas frías en la zona. Esto también contribuirá a que desaparezcan los hematomas y reduzca el dolor. Hay pacientes en los que la inflamación puede durar más tiempo.
Complicaciones Potenciales
Aunque la extracción de las muelas del juicio es un procedimiento muy frecuente, el proceso conlleva algunos riesgos potenciales, como hemorragias, hinchazón o hematomas, dolor o entumecimiento de los dientes, la mandíbula o los nervios, y alveolitis seca. En algunos casos, las extracciones de muelas del juicio pueden provocar complicaciones como infecciones, retraso en la cicatrización, problemas de sinusitis y mala alineación de la mandíbula.