Todos deseamos una sonrisa brillante y blanca, pero con el tiempo y debido a varios factores, los dientes pueden volverse amarillos. Al mirar a una persona con los dientes blancos, sanos y bonitos, puede hacer que te preguntes “¿por qué tengo los dientes amarillos? ¿cómo hacer para tenerlos así de blancos?” Lo primero que nos gustaría aclarar es que tener los dientes amarillos no tiene por qué significar nada malo.
Las causas de dientes amarillos son muy diversas. En algunos casos, pueden ser evitables y en otros no. La mayoría de personas relacionan los dientes amarillos con los hábitos de higiene y proceden a lavarse los dientes con mucha efusividad y mucha frecuencia, sin conseguir los resultados deseados. En este sentido, cepillarte más y más fuerte no va ayudar a que se vuelvan más blancos.
Nuestra recomendación es que acudas a tu clínica dental de confianza para que determinen la causa que haya provocado que tus dientes se hayan vuelto amarillos.
¡LO QUE NADIE TE DICE 🚫 DEL BLANQUEAMIENTO DENTAL 💔! Deberías ver este vídeo 👀.
Causas Comunes de los Dientes Amarillos
Muchas son las posibles causas que pueden estar tras un oscurecimiento de los dientes, lo que comúnmente se conoce como “dientes amarillos”.

1. Higiene Dental Inadecuada
Una inadecuada higiene dental puede ser la causa de la acumulación de placa dental sobre los dientes siendo la causa de la aparición de dientes amarillos. Unida a la causa anterior, la falta de higiene bucal es uno de los mayores causantes de dientes amarillos. No cepillarse correctamente o no usar hilo dental puede hacer que se acumulen placa bacteriana y sarro alrededor de los dientes. Además, a diferencia de la placa bacteriana, el sarro no puede ser eliminado con el cepillado diario.
2. Consumo de Tabaco
Una de las causas más comunes de los dientes amarillos se debe a fumar tabaco. Al fumar la nicotina y el alquitrán entran en contacto directo con las piezas dentales lo que provoca manchas y decoloración en la parte visible de los dientes. Con el paso del tiempo los dientes se van oscureciendo debido al la nicotina y al alquitrán presente en el humo de los cigarrillos. Las manchas en los dientes amarillas y marrones que causa el consumo de tabaco extendido en el tiempo y no son fáciles de eliminar.
El tabaco contiene sustancias químicas que pueden causar decoloración en los dientes. La nicotina, el alquitrán y otras sustancias tóxicas se acumulan en la superficie de los dientes, provocando que estos se vayan volviendo más amarillos. Solo hay que fijarse en cómo queda el filtro de un cigarrillo tras consumirse, para comprobarlo. Fumar es malo per se.
Pero no solo se trata de manchas, el impacto negativo en las encías es importante también. El tejido gingival puede ser afectado ya que el tabaco dificulta el riego sanguíneo y da como resultado un efecto vasoconstrictor, esto deja a la persona predispuesta a sufrir periodontitis. La disminución de riego sanguíneo también provoca que algunas heridas simples en la boca no se cicatricen con normalidad, lo que predispone al paciente a sufrir infecciones.
“Fumar perjudica gravemente la salud y la de quienes lo rodean”, seguro que has oído esta frase en repetidas ocasiones. El tabaco es uno de los grandes enemigos de nuestra salud bucodental, daña las encías, la boca y salud en general. Existe una relación directa entre el tabaquismo y los problemas de salud bucodental.
3. Envejecimiento Natural
Durante la vida de las personas de forma natural se va produciendo un proceso de oscurecimiento natural de los dientes. Es común que a medida que envejecemos los dientes comiencen a oscurecerse. Con el tiempo y de forma natural, los dientes se van oscureciendo conforme pasa el tiempo. A medida que envejecemos, el esmalte dental tiende a desgastarse, revelando la dentina subyacente que tiene un tono más amarillento.
4. Factores Genéticos
La genética también influye en gran medida a la hora de tener o no unos dientes más o menos blanqueamos. El tono viene determinado por el color de la dentina. Las personas tenemos, de nacimiento, un componente genético que define nuestros dientes. La genética también puede desempeñar un papel en la tonalidad de los dientes.
5. Ingesta de Medicamentos
Hay ciertos medicamentos como algunos tipos de antibióticos (tetraciclina y la doxiciclina) que pueden ser causa de dientes amarillos si se emplean en niños con edad inferior a los 8 años. Algunos tratamientos tienen como consecuencia el deterioro del esmalte. Hay determinados medicamentos que pueden favorecer el desgaste del esmalte, la aparición de manchas y la alteración en el color de los dientes. Además, otro de los mejores ejemplos de oscurecimiento del esmalte debido a los medicamentos son las tetraciclinas. Las tetraciclinas, un tipo de antibiótico muy popular en la época de los 60 y 70 provocan oscurecimientos severos del esmalte, formado líneas horizontales en los dientes si se toman durante la infancia, cuando los dientes aún se están formando.
6. Enfermedades y Tratamientos Médicos
Existen enfermedades que afectan a al esmalte dental afectando de este modo al color de los dientes. Tratamientos contra el cáncer tales como la quimioterapia o la radioterapia pueden ser causa también de dientes amarillos debido a una alteración en la cantidad de saliva producida.
7. Consumo de Alimentos y Bebidas con Pigmentos
Hay una gran cantidad de alimentos y bebidas que tienen mucha coloración y que pueden teñir progresivamente el esmalte dental. Además, los alimentos muy ácidos, como el limón, también pueden producir una alteración en el color de los dientes. Algunos alimentos y bebidas contienen pigmentos que se adhieren al esmalte dental y lo manchan. El café, el té, el vino tinto y las bebidas gaseosas oscuras son grandes culpables. El café es apreciado por muchos, pero sus pigmentos oscuros pueden dejar manchas en los dientes con el tiempo. La cafeína también puede contribuir a la deshidratación, lo que afecta negativamente al esmalte dental.
Aunque el vino tinto es peor que el blanco por su composición y color ambos amarillean los dientes. Su alto contenido en azúcares los convierte en un claro enemigo de los dientes en su caso además de mancharlos contribuye a generar caries. A su vez diversos estudios también han demostrado el peligro para el esmalte de las denominadas bebidas energéticas que consumen los deportistas y los jóvenes. Las variedades más dañinas son el té negro y el rojo. En este grupo encontramos los arándanos, las moras, las cerezas y verduras como la remolacha. En su caso, el problema reside en su potente pigmento que se adhiere a la pieza dental y es capaz de mancharla.
8. Golpes en los Dientes
Los golpes en los dientes también pueden dañar el esmalte y hacer que los dientes se vuelvan amarillos o grises.
Cómo Aclarar los Dientes Amarillos: Soluciones Profesionales
La solución para los dientes amarillo dependerá en gran medida de la causa que ha originado el proceso de amarilleamiento o oscurecimiento de los mismos. Si te preguntas cómo aclarar los dientes amarillos, lo primero que debes saber es que exiten métodos caseros para aplicar por tu cuenta y soluciones profesionales que se realizan en una clínica dental.

1. Limpieza Dental Profesional
La higiene bucodental profesional es el primer tratamiento recomendado para blanquear unos dientes amarillos. Lo primero que haremos será una limpieza dental profunda, con la tecnología Airflow. Esto se debe a que, mediante una limpieza, el higienista retira el sarro acumulado y elimina las manchas superficiales del esmalte, como las causadas por el café, el tabaco o el té. Una persona que fuma debe ser consciente del efecto negativo en su salud, sobre todo en la zona bucodental, por eso debería realizarse revisiones donde se incluyan limpiezas dentales frecuentes. Esta frecuencia deberá ser sugerida por el profesional ya que cada caso es diferente y la predisposición de contraer diferentes patologías asociadas es especial para cada paciente.
Estas limpiezas dentales profesionales emplean equipos de última generación que liberan a tus dientes de todo el sarro acumulado y cristalizado. Este tratamiento es rápido, indoloro y muy efectivo, ya que consigue muy buenos resultados en muy poco tiempo.
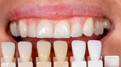
2. Blanqueamiento Dental
Después, aunque habremos mejorado el color, para blanquear dientes amarillos es fundamental un blanqueamiento dental profesional. Por lo general, el blanqueamiento dental es el tratamiento más utilizado para aclarar los dientes. Se considera uno de los más rápidos, ya que ofrece resultados visibles desde la primera o la segunda sesión. Puede ser blanqueamiento dental combinado, empezando por uno en clínica como el Blanqueamiento dental Philips Zoom. Combinado con uno ambulatorio en casa nos permite conseguir unos dientes blancos. De nuevo rejuvenecen la sonrisa y ponen una solución a los dientes amarillos y el paso del tiempo.
El blanqueamiento dental implica el uso de agentes blanqueadores, generalmente peróxido de hidrógeno o peróxido de carbamida. Estos compuestos liberan oxígeno, el cual penetra en el esmalte dental y la dentina, eliminando las manchas y decoloraciones. Es el sistema más eficaz del mercado y ofrece un efecto de blanqueamiento inmediato. Para conseguirlo, aplicamos unos agentes blanqueadores seguros para tus dientes.
Hay pacientes cuyas características dentales o patologías bucales no responden bien al blanqueamiento dental. Contamos con distintos tipos de blanqueamiento efectivos y adaptados a diferentes necesidades.
Existen diferentes tipos de blanqueamiento dental:
- Blanqueamiento en clínica: Se realiza en la consulta del dentista y ofrece resultados rápidos.
- Blanqueamiento ambulatorio: Se realiza en el domicilio del paciente con férulas y gel blanqueador proporcionados por el dentista. Se considera el tipo de blanqueamiento más cómodo, ya que puede ser realizado íntegramente en el domicilio del paciente. Para realizar este tratamiento, el dentista entrega un kit blanqueador basado en unas férulas a medida y un gel.
- Blanqueamiento combinado: Combina el tratamiento en clínica con el ambulatorio para obtener resultados más duraderos. Es la opción más completa y recomendada para conseguir unos resultados visibles y duraderos. Cuando se recurre a este procedimiento, primero se hace el tratamiento en clínica y luego se continúa en casa con las férulas.
¿Cuánto duran los efectos del blanqueamiento dental? En nuestro caso, la duración es de hasta 3 años si se siguen las pautas adecuadas.
3. Carillas Dentales
Carillas dentales: En último caso si mediante blanqueamiento dental no hemos conseguido un reducción de la tonalidad de los dientes siempre se puede recurrir al empleo de carillas dentales. Las carillas dentales son otro de los tratamientos que recomendamos para blanquear unos dientes amarillos. Los tratamientos de carillas dentales son una solución estética diseñadas para mejorar la apariencia de los dientes, las carillas son láminas delgadas de material dental que se adhieren a la parte frontal de los dientes, creando una transformación notable en la sonrisa.

Las carillas son unas finas láminas de composite o porcelana que se adhieren al diente y tienen como objetivo mejorar su aspecto. Las carillas están, por tanto, indicadas para aclarar el color de los dientes, pero también para las personas que buscan una solución para otros aspectos. Dado que se recurre a las carillas ante tinciones severas, antes de colocarlas es necesario haber realizado un blanqueamiento previo. Esto se debe a que las carillas, para que sean estéticas y no se noten, deben ser muy finas.
Este tratamiento es duradero, indoloro y mínimamente invasivo, ya que permiten al paciente tener una sonrisa perfecta, uniforme y blanca. Además, la tecnología actual nos permite hacer simulaciones por ordenador para visualizar como quedaría el tratamiento antes de realizarlo.
Cómo Evitar que los Dientes se Pongan Amarillos
La prevención es clave para mantener los dientes blancos y sanos.
- Mantén una higiene bucal adecuada: Cepillándote los dientes al menos dos veces al día con un dentífrico profesional y utilizando hilo dental diariamente para eliminar la placa entre los dientes y en la línea de las encías.
- Visita a tu dentista regularmente: Las limpiezas profesionales y revisiones ayudan a prevenir y detectar problemas antes de que se agraven. Esta limpieza va mucho más allá de la que se puede hacer en casa.
- Disminuye el consumo de alimentos y bebidas que manchan los dientes: Reduce la ingesta de café, té, vino tinto y otras bebidas y alimentos que pueden manchar el esmalte dental.
- Evita fumar: El tabaco es uno de los principales causantes de los dientes amarillos.
| Causa | Solución | Prevención |
|---|---|---|
| Mala higiene bucal | Limpieza dental profesional | Cepillado regular, uso de hilo dental |
| Consumo de tabaco | Blanqueamiento dental, carillas | Dejar de fumar |
| Envejecimiento | Blanqueamiento dental, carillas | Higiene bucal, visitas al dentista |
| Alimentos y bebidas con pigmentos | Blanqueamiento dental | Moderar el consumo |
Ahora que ya sabes por qué se amarillean los dientes y cómo puedes devolverles su color natural, ¿por qué no dar el paso? Tu sonrisa es una parte esencial de tu identidad, y unos dientes blancos y brillantes contribuyen significativamente a esa imagen saludable. No dejes que los dientes amarillos afecten tu confianza.
Si vas a realizarte un tratamiento de blanqueamiento dental en Sevilla y quieres un sistema eficaz, indoloro, duradero y seguro para tus dientes, te invitamos a pedir cita en nuestra clínica. En BordonClinic contamos con especialistas en estética dental que podrán asesorarte del mejor tratamiento en tu caso. Si estás buscando una clínica dental en Sevilla de confianza, podemos ayudarte a recuperar la estética de tu sonrisa.