¿Quieres una sonrisa perfecta? Descubre tus opciones en carillas y stripping dental aquí. Esta guía te proporcionará toda la información necesaria sobre los tipos de carillas dentales, el proceso de stripping dental y sus precios, para que tomes decisiones informadas y ajustadas a tu presupuesto y expectativas estéticas.
En muchas clínicas dentales, entienden que elegir un procedimiento de estética dental es una elección relevante. Por ello, han preparado esta guía detallada sobre los tipos de carillas dentales y sus precios, con el fin de ayudarte a decidir según tus necesidades estéticas y capacidad presupuestaria.

Stripping Dental: Limar los Dientes para Mejorar la Sonrisa
Como expertos en ortodoncia, a menudo encontramos casos en los que es necesario reducir el ancho de algunas piezas dentales para solucionar problemas de espacio. Para ello, existe una técnica conocida como stripping dental, que consiste en limar los dientes para igualarlos.
¿Qué es el Stripping Dental?
El stripping dental, también conocido como reducción interproximal del esmalte, es una técnica utilizada en ortodoncia. El stripping dental, comúnmente limar los dientes, tiene varias indicaciones en la ortodoncia. La más común es conseguir algunos milímetros en casos en los que no es posible alinear todos los dientes correctamente por falta de espacio.
Indicaciones del Stripping Dental
- Conseguir espacio para alinear los dientes.
- Mejorar la forma de algunos dientes (premolares muy redondos o incisivos muy triangulares).
- Armonizar los tamaños de los dientes superiores e inferiores para un correcto encaje.
Stripping Dental: Todo lo que Necesitas Saber | Técnica Paso a Paso
Por ejemplo, premolares muy redondos o incisivos muy triangulares que crean espacios negros entre el punto de contacto y la papila dental. En esos casos, al aplanar la anatomía del incisivo y hacerlo más rectangular, conseguimos que el punto de contacto se sitúe más a gingival de forma que la papila pueda rellenar el espacio negro. Para que los dientes encajen correctamente entre ellos, el tamaño de los dientes superiores debe de estar en proporción con los inferiores. Otro ejemplo de uso del stripping en ortodoncia es la armonización de los tamaños de los dientes.
Procedimientos para Limar los Dientes
Existen varios métodos para realizar el stripping dental:
- Tiras de limado manuales: Es el método más sencillo que existe. Se trata de unas tiras de limado las cuales se manipulan manualmente. Se utilizan en casos en los que solamente necesitamos romper el punto de contacto entre los dientes sin necesidad de conseguir mucha reducción.
- Limas rotatorias: El mecanismo de acción es el mismo que el de las tiras, pero en este caso, las limas están activadas mecánicamente con un contra-ángulo, lo que hace que la técnica sea más delicada.
- Fresas de alta velocidad: Son el método con el que más espacio se puede conseguir.
Ante casos con falta de espacio, el ortodoncista deberá valorar cuál es el mejor procedimiento para la ganancia de espacio. Ante una importante falta de espacio, seguramente no será suficiente con limar los dientes. Por tanto, no se puede considerar el stripping como mejor o peor método para la ganancia de espacio.
¿Es Doloroso Limar los Dientes?
El procedimiento de limar dientes para igualarlos es totalmente indoloro y no requiere de anestesia previa para llevarlo a cabo. La cantidad de material dentario que se reduce no suele superar los 0,5mm entre diente y diente, lo que hace que se limite solamente a esmalte. No obstante, la sensación mientras se está llevando a cabo puede ser algo incómoda. Tras la reducción, se aplicará un barniz de flúor que ayuda a la remineralización del esmalte.

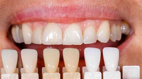
Carillas Dentales: Una Alternativa Estética
Cuando se trata de transformar una sonrisa, es fundamental identificar qué clase de carillas dentales están disponibles.
Si buscas transformar tu sonrisa, las carillas dentales pueden ser una excelente opción. Son láminas finas que se adhieren a la superficie externa del diente, mejorando su estética al cubrir dientes desgastados, corregir separaciones, decoloraciones, grietas o roturas.
Tipos de Carillas Dentales
Existen varios tipos de carillas dentales, clasificadas según el material utilizado:
Carillas de Resina o Composite
Se aplican directamente en la clínica dental en una sola sesión. Son más económicas, pero menos duraderas y pueden mancharse con el tiempo. Destaca que son fáciles de restaurar si se rompen o fracturan, lo que significa que el dentista puede hacerlo en el consultorio sin necesidad de enviarlas a un laboratorio. Entre los inconvenientes, destaca que con el tiempo, el color y brillo de las carillas de composite pueden ir perdiéndose.
Carillas de Porcelana o Cerámica
Ofrecen una apariencia más natural y duradera, y no se manchan fácilmente. Las carillas de porcelana ultrafinas son las de mayor calidad y ofrecen la mejor apariencia estética. Por otro lado, las carillas de porcelana de zirconio son fundas dentales más gruesas que brindan una gran resistencia. Sin embargo, su uso solo está indicado en casos específicos y debe ser evaluado por un dentista profesional. Finalmente, las carillas de porcelana de disilicato de litio son construidas con una combinación de cerámica y vidrio, lo que garantiza una vida útil tres veces mayor que otros materiales similares.
¿Qué Tipo de Carilla es la Mejor?
La elección depende de tu salud bucal y tus expectativas. En Ferrus & Bratos te orientamos con claridad y profesionalismo para que elijas con seguridad. No hay una única "mejor" alternativa, sino la que mejor se adapte a tu situación particular.
Ventajas e Inconvenientes de las Carillas de Porcelana y Composite
A continuación, se detallan los beneficios e inconvenientes de cada tipo de carilla dental:
- Carillas de Porcelana:
- Ventajas: Mayor duración (hasta 15 años), no pierden color ni se tiñen.
- Inconvenientes: Mayor inversión inicial.
- Carillas de Composite:
- Ventajas: Colocación en una sola sesión, costo reducido.
- Inconvenientes: Menor duración (máximo 5 años), requieren mantenimiento y pulido, más susceptibles a manchas.
Precios de las Carillas Dentales
El costo de las carillas dentales varía según el material y la clínica dental. Aquí te damos una idea general:
| Tipo de Carilla | Precio Aproximado por Unidad |
|---|---|
| Composite | 100€ - 250€ |
| Porcelana | 420€ - 1200€ |
En algunas clínicas, se ofrecen precios razonables y competitivos para adaptarse a las necesidades de cada paciente. Sin embargo, es importante tener en cuenta que el coste está relacionado con la calidad del tratamiento y que se deben realizar consultas con el dentista para elegir la carilla adecuada y recibir una evaluación del precio, suele variar entre 420€ y 750€ cada carilla.
El presupuesto total dependerá del número de carillas requeridas (normalmente entre 8 y 10 por arcada) y del material elegido.
Consideraciones Adicionales
- ¿Las carillas dañan los dientes? Hoy en día, gracias a los avances en odontología estética, las carillas dentales no dañan los dientes.
- ¿Es necesario tallar el diente? La necesidad de realizar el tallado depende de la posición y el color del diente. Si ambos aspectos son adecuados, no será necesario hacerlo.
- ¿Se pueden blanquear las carillas? No, las carillas dentales no se pueden blanquear. Por ello, antes de colocarse una carilla es necesario asegurarse de que el color es el adecuado.
Contraindicaciones de las Carillas Dentales
En algunos casos, las carillas dentales pueden estar contraindicadas:
- Malposiciones dentales severas.
- Problemas de mordida (clase II, clase III, mordida cruzada).
- Bruxismo (aunque en algunos casos se pueden tratar).
- Mala higiene bucodental.
Si aun crees que las carillas están contraindicadas o pueden resultar un problema para ti, lo más adecuado es que acudas a un dentista especializado en Estética Dental avanzada.