Las carillas dentales son una solución popular para restaurar la estética de tu sonrisa, diseñadas para imitar la apariencia natural de tus dientes. Si estás considerando esta opción, es crucial entender su durabilidad, tipos y cómo se colocan. Comprender su vida útil es clave para tomar una decisión informada antes de iniciar este tratamiento.

¿Qué Son las Carillas Dentales y Para Qué Sirven?
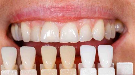
Las carillas dentales son finas láminas, generalmente de porcelana o resina compuesta, que se colocan sobre la superficie frontal de los dientes para mejorar su apariencia estética. Se fabrican a medida para adaptarse a cada paciente y se adhieren al esmalte del diente. Son una opción popular para quienes buscan hacer cambios superficiales en su sonrisa, como mejorar el tamaño, forma o color de sus dientes, ya que proporcionan una solución duradera y estética.
¿Cuándo es recomendable ponerse carillas?
Algunos casos comunes en los que es recomendable el uso de carillas dentales son:
- Desgaste dental: Principalmente para dientes que han sufrido desgaste por bruxismo.
- Daño o roturas: Para restaurar la apariencia de dientes que están astillados, fracturados o tienen imperfecciones menores.
- Desalineación leve y pequeños espacios: Como alternativa a la ortodoncia en casos de desalineaciones leves o para cerrar pequeños huecos entre los dientes.
- Manchas o decoloración: Ideal para dientes que han cambiado de color o tienen machas profundas y no responden bien a técnicas de blanqueamiento dental.
- Mejora estética general: Para aquellos que desean tener una sonrisa más uniforme y atractiva.
En todos estos casos, es fundamental la evaluación por parte de un profesional dental, quien podrá determinar si las carillas son la opción más adecuada según las necesidades y condiciones específicas del paciente.
Tipos de Carillas Dentales
Existen diferentes tipos de carillas, cada una diseñada para satisfacer necesidades estéticas específicas y adaptarse a diferentes condiciones dentales. Las más destacadas son:
Carillas de Porcelana
Esta tipología es la opción más popular debido a su aspecto natural y a su resistencia a las manchas. Aunque suelen tener un precio superior al de otras alternativas, destacan por su durabilidad y habilidad para corregir defectos como dientes astillados o desgastados. Este tipo de carillas dentales puede requerir múltiples visitas al dentista para su colocación, debido a que previamente es posible que haya que realizar un tallado de los dientes.
¿Cuánto duran? La vida útil de las carillas de porcelana es de entre 10 a 15 años.
Carillas de Resina Compuesta o Composite
Las carillas de composite son una opción efectiva y más económica que no compromete demasiado las piezas dentales. Están hechas de un material de resina compuesta que se adapta al color natural del diente. Son ideales para corregir pequeñas imperfecciones, como dientes ligeramente torcidos o manchados. A diferencia de las carillas de porcelana, las de composite pueden aplicarse en una sola visita al dentista, ofreciendo una solución más rápida y menos invasiva, aunque requieren más mantenimiento.
¿Cuánto duran? La vida útil de las carillas dentales de composite es de entre 5 a 7 años.
Carillas de Zirconio
Están fabricadas con óxido de zirconio, un material cerámico resistente y no poroso, que imita perfectamente el esmalte natural del diente y resiste la decoloración y las manchas. Son ideales para quienes buscan resultados óptimos sin comprometer la funcionalidad de la sonrisa.
¿Cuánto duran? La vida útil de las carillas de zirconio es de entre 10 y 15 años.
En línea con la duración de tus carillas dentales, antes de ponértelas, necesitas valorar qué tipo vas a elegir. Pues, si te importa su duración y el resultado estético, debes saber que las carillas de porcelana son distintas a las de composite. Siendo las de porcelana más duraderas, resistentes y con una apariencia más natural.
¿Conoces los TIPOS de CARILLAS DENTALES? ✨ El mejor tratamiento ESTÉTICO para tu sonrisa👄
Tabla Comparativa de Duración y Precio
| Tipo de Carilla | Vida Útil Estimada | Precio Aproximado por Diente |
|---|---|---|
| Porcelana | 10-15 años | 400 - 1.000€ |
| Composite | 5-7 años | 150 - 400€ |
| Zirconio | 10-15 años | 500 - 1.000€ |
¿Cómo se Colocan las Carillas Dentales?
El proceso de colocación de las carillas comienza con una consulta inicial donde el dentista evalúa el caso del paciente. Si se considera apto, los siguientes pasos suelen ser:
- Preparación del diente: Para algunas carillas de porcelana esto puede incluir el tallado de una pequeña cantidad del diente para asegurar un ajuste adecuado.
- Escaneo intraoral 3D o toma de impresiones: Este escáner realiza una captura detallada y rápida de los dientes del paciente, creando un modelo exacto que se envía a un laboratorio para la fabricación de las carillas.
- Aplicación: Una vez que las carillas están listas, se adhieren a los dientes utilizando un adhesivo especial y se tratan con luz para solidificar el pegamento.

Carillas Dentales: Ventajas y Desventajas
Las ventajas de las carillas dentales son numerosas para aquellos que desean mejorar su sonrisa. Algunas son:
- Mejora significativa en la apariencia de los dientes.
- Las carillas, especialmente las de porcelana y zirconio, destacan por su resistencia a las manchas y durabilidad, requiriendo poco mantenimiento más allá de una buena higiene bucal.
- Tratamiento de estética dental poco invasivo: su colocación es realmente sencilla y generalmente indolora.
Sin embargo, también existen algunas desventajas:
- Precio relativamente alto, especialmente para las de porcelana y zirconio.
- Proceso irreversible en algunos casos de carillas de porcelana que requieren tallado previo de los dientes.
- No son una solución para problemas dentales más complejos como dientes muy desalineados o problemas de maloclusión.
Higiene y Cuidados para Prolongar la Duración de las Carillas
Dado que las carillas son casi como tus propios dientes, su durabilidad depende de muchos factores. Las carillas son como tus propios dientes. Por esta razón, las personas que tienen buenos hábitos de higiene bucal y utilizan herramientas como hilo dental y enjuague bucal para complementar su cepillado pueden ayudar a mantener sus dientes y encías sanos.
Para alargar la vida útil de tus carillas, es crucial:
- Cepilla bien los dientes y de forma regular.
- Mantener unos buenos hábitos de higiene oral.
- Visitar regularmente a tu dentista.
- Llevar un estilo de vida saludable.
- Las revisiones periódicas son de sobra conocidas y las carillas no son una excepción.
- En Ferrus & Bratos aconsejamos realizar entre uno y dos mantenimientos al año, dependiendo de cada paciente y el tipo de carilla.
- Evitar apretar los dientes, ya que esto puede provocar astillamientos y fracturas en las carillas.
- Evitar alimentos duros o pegajosos que puedan dañar o despegar las carillas, como cáscaras o huesos.
- Evitar el consumo de tabaco y azúcar, que pueden provocar decoloración y afectar la estética dental.
- Evitar el uso de pastas y enjuagues con colorantes, ya que pueden afectar el color y el brillo de las carillas con el tiempo.
- Evitar morder objetos duros o las uñas, ya que esto puede dañar tanto las carillas como los dientes naturales.
- Realizar revisiones y mantenimientos regulares con el dentista, esenciales para el cuidado y la prolongación de la vida útil de las carillas dentales.
Si aprietas o rechinas tus dientes, tus carillas podrían desgastarse antes. Pero no te preocupes. En estos casos, hacemos una férula de descarga que podrás utilizar por las noches para evitar que aprietes tus dientes.
Alternativas a las Carillas Dentales
Dependiendo del resultado que estemos buscando, o el tratamiento que necesitemos, existen algunas alternativas a las carillas:
- Empaste dental: Útil para corregir imperfecciones. Es menos invasivo y más económico que las carillas.
- Coronas dentales: Cubren el diente entero y se utilizan en casos de caries severas o daño considerable.
- Blanqueamiento dental: Puede ser una solución efectiva para mejorar el color de los dientes sin intervenciones invasivas.
- Tratamientos de ortodoncia: Incluye ortodoncia invisible o brackets para corregir casos estéticos más complejos, como apiñamientos dentales.