Las carillas dentales son una solución estética popular para restaurar la apariencia de tu sonrisa. Están diseñadas para imitar la apariencia natural de tus dientes y pueden ser una excelente opción si buscas mejorar el tamaño, la forma o el color de tus dientes.

¿Qué son las Carillas Dentales y Para Qué Sirven?
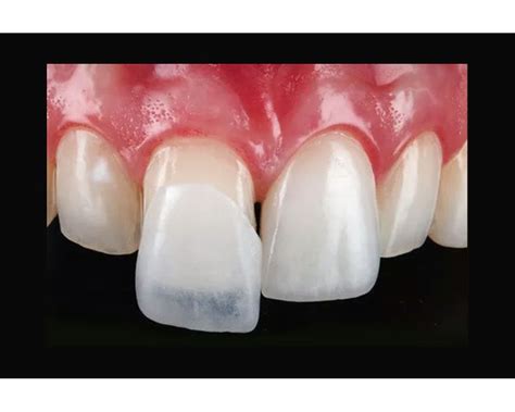
Las carillas dentales son finas láminas, generalmente de porcelana o resina compuesta, que se colocan sobre la superficie frontal de los dientes para mejorar su apariencia estética. Se fabrican a medida para adaptarse a cada paciente y se adhieren al esmalte del diente. Proporcionan una solución duradera y estética.
¿Cuándo es Recomendable Ponerse Carillas?
Algunos casos comunes en los que es recomendable el uso de carillas dentales son:
- Desgaste dental: Principalmente para dientes que han sufrido desgaste por bruxismo.
- Daño o roturas: Para restaurar la apariencia de dientes que están astillados, fracturados o tienen imperfecciones menores.
- Desalineación leve y pequeños espacios: Como alternativa a la ortodoncia en casos de desalineaciones leves o para cerrar pequeños huecos entre los dientes.
- Manchas o decoloración: Ideal para dientes que han cambiado de color o tienen manchas profundas y no responden bien a técnicas de blanqueamiento dental.
- Mejora estética general: Para aquellos que desean tener una sonrisa más uniforme y atractiva.
En todos estos casos, es fundamental la evaluación por parte de un profesional dental, quien podrá determinar si las carillas son la opción más adecuada según las necesidades y condiciones específicas del paciente.
Tipos de Carillas Dentales
Existen diferentes tipos de carillas, cada una diseñada para satisfacer necesidades estéticas específicas y adaptarse a diferentes condiciones dentales. Las más destacadas son:
Carillas de Porcelana
Esta tipología es la opción más popular debido a su aspecto natural y a su resistencia a las manchas. Aunque suelen tener un precio superior al de otras alternativas, destacan por su durabilidad y habilidad para corregir defectos como dientes astillados o desgastados. Este tipo de carillas dentales puede requerir múltiples visitas al dentista para su colocación, debido a que previamente es posible que haya que realizar un tallado de los dientes.
La vida útil de las carillas de porcelana es de entre 10 a 15 años.

Carillas de Resina Compuesta o Composite
Las carillas de composite son una opción efectiva y más económica que no compromete demasiado las piezas dentales. Están hechas de un material de resina compuesta que se adapta al color natural del diente. Son ideales para corregir pequeñas imperfecciones, como dientes ligeramente torcidos o manchados. A diferencia de las carillas de porcelana, las de composite pueden aplicarse en una sola visita al dentista, ofreciendo una solución más rápida y menos invasiva, aunque requieren más mantenimiento.
La vida útil de las carillas dentales de composite es de entre 5 a 7 años.
Carillas de Zirconio
Están fabricadas con óxido de zirconio, un material cerámico resistente y no poroso, que imita perfectamente el esmalte natural del diente y resiste la decoloración y las manchas. Son ideales para quienes buscan resultados óptimos sin comprometer la funcionalidad de la sonrisa.
La vida útil de las carillas de zirconio es de entre 10 y 15 años.
¿Cómo se Colocan las Carillas Dentales?
El proceso de colocación de las carillas comienza con una consulta inicial donde el dentista evalúa el caso del paciente. Si se considera apto, los siguientes pasos suelen ser:
- Preparación del diente: Para algunas carillas de porcelana esto puede incluir el tallado de una pequeña cantidad del diente para asegurar un ajuste adecuado.
- Escaneo intraoral 3D o toma de impresiones: Este escáner realiza una captura detallada y rápida de los dientes del paciente, creando un modelo exacto que se envía a un laboratorio para la fabricación de las carillas.
- Aplicación: Una vez que las carillas están listas, se adhieren a los dientes utilizando un adhesivo especial y se tratan con luz para solidificar el pegamento.
Carillas Dentales: Ventajas y Desventajas
Ventajas
- Mejora significativa en la apariencia de los dientes.
- Las carillas, especialmente las de porcelana y zirconio, destacan por su resistencia a las manchas y durabilidad, requiriendo poco mantenimiento más allá de una buena higiene bucal.
- Tratamiento de estética dental poco invasivo: su colocación es realmente sencilla y generalmente indolora.
Desventajas
- Precio relativamente alto, especialmente para las de porcelana y zirconio.
- Proceso irreversible en algunos casos de carillas de porcelana que requieren tallado previo de los dientes.
- No son una solución para problemas dentales más complejos como dientes muy desalineados o problemas de maloclusión.
Carillas Dentales Vs Diseño de Sonrisa | Lo que tienes que saber antes de decidir
¿Cuánto Cuestan las Carillas Dentales?
Los precios de las carillas dentales dependen principalmente del material del que están hechas, el caso específico del paciente o la clínica dental. Algunos valores de referencia, teniendo en cuenta el precio de una carilla por diente, son:
- Carillas de porcelana: 400 - 1.000€
- Carillas composite: 150 - 400€
- Carillas zirconio: 500 - 1.000€
Es importante tener en cuenta que el seguro dental no suele cubrir el coste de las carillas dentales.
En 2025, el precio de las carillas dentales varía entre 250 y 900 € por unidad, según el material (composite o porcelana), la clínica, y el diseño personalizado. Un juego de carillas de porcelana puede oscilar entre 300 y 1.200 euros por diente, mientras que las carillas de composite suelen ser más económicas, costando entre 200 y 600 euros por diente.
La variabilidad en los precios de las carillas se debe a la demanda del mercado, la calidad de los materiales y la tecnología utilizada.
Alternativas a las Carillas Dentales
Dependiendo del resultado que estemos buscando, o el tratamiento que necesitemos, existen algunas alternativas a las carillas:
- Empaste dental: Útil para corregir imperfecciones. Es menos invasivo y más económico que las carillas.
- Coronas dentales: Cubren el diente entero y se utilizan en casos de caries severas o daño considerable.
- Blanqueamiento dental: Puede ser una solución efectiva para mejorar el color de los dientes sin intervenciones invasivas.
- Tratamientos de ortodoncia: Incluye ortodoncia invisible o brackets para corregir casos estéticos más complejos, como apiñamientos dentales.
Factores que Influyen en el Precio de las Carillas Dentales
A la hora de determinar el precio de las carillas dentales, hay varios elementos que van a influir en que el precio suba o baje. No todo depende solo del material; también influyen cuestiones como la cantidad de carillas necesarias o el tipo de tratamiento.
El precio de las carillas dentales no solo depende del material, sino también de factores como la localización de la clínica, la experiencia y renombre del dentista, y la complejidad del caso del paciente.
Muchos pacientes acuden a consulta con dudas legítimas sobre cuál es la opción más adecuada para su caso: estética, precio, resistencia, tiempo de tratamiento, etc. La elección depende de tus expectativas, tu presupuesto y tu estilo de vida. Si priorizas la durabilidad y el acabado natural, las carillas de porcelana son la mejor opción. En cualquier caso, el asesoramiento de un profesional es clave.
¿Las Carillas Dentales son una Inversión a Largo Plazo?
Invertir en carillas dentales puede ser una decisión significativa, pero muchos pacientes encuentran que los beneficios estéticos y de confianza en sí mismos justifican el gasto. Aunque el costo puede ser considerable, los beneficios estéticos y la mejora en la autoestima pueden valer la inversión.
Recuerda que tener una sonrisa bonita y natural no es solo cuestión de estética, también y más importante aún, de confianza personal.
Tabla de Precios Estimados de Carillas Dentales
| Tipo de Carilla | Duración Estimada | Precio por Diente (EUR) |
|---|---|---|
| Porcelana | 10-15 años | 400 - 1.200 |
| Composite | 5-7 años | 150 - 600 |
| Zirconio | 10-15 años | 500 - 1.000 |
