Para aquellos que buscan una opción para mejorar la estética y la función de dientes dañados, astillados, rotos o manchados, las coronas dentales se presentan como una solución efectiva, pero muchos dudan si pueden costear este tipo de tratamiento. Es por esta razón que, a continuación, explicamos cuál es el precio de una corona dental y por qué varía. Así tendrás toda la información que necesitas antes de tomar una decisión.
Una corona dental (también llamada funda dental o prótesis fija) es una cubierta con forma de diente que se coloca sobre una pieza dental dañada o debilitada, restaurando su forma, tamaño, función y apariencia. En otras palabras, actúa como un “casquete” que protege al diente natural, devolviéndole su fuerza para masticar y su estética.
En este artículo, detallamos el tipo de corona y su precio en diferentes aseguradoras. El precio de las coronas dentales de zirconio sobre diente en España es de 401€ de media en 2025. Esta cifra se ha obtenido del estudio llevado a cabo por Ferrus&Bratos tras estudiar cuánto cuestan las fundas de los dientes en los principales dentistas y seguros del país.
Incrustación vs Corona Dental ¿Cuál te conviene más? | (Cuando está indicada)
¿Qué son las coronas dentales?
Las coronas dentales son recubrimientos o fundas para los dientes que se utilizan para cubrir un diente roto, dañado o debilitado. Son cubiertas hechas a la medida, que ayudan a recuperar la forma, fuerza, tamaño y estética de los dientes afectados.
Se trata de un tipo de tratamiento que restaura los dientes de manera permanente devolviéndole a la dentadura su funcionalidad y apariencia. Esta alternativa es efectiva para que la dentadura vuelva a tener una función masticatoria óptima, así como la fuerza y la estética en dientes manchados, astillados o que han perdido su forma natural. Pueden ser una opción para un diente roto.
Un tratamiento dental con coronas estéticas se realiza para mejorar el aspecto de tu sonrisa. La corona tiene las condiciones de un diente natural en cuanto a su color, brillo, relieve, altura, anchura, alineación y contorno. También es un tratamiento dental funcional ya que se usa para reforzar el diente, devolviéndole su estructura para poder comer y masticar utilizando todos los dientes.
Se pueden hacer coronas en todos los dientes para restaurar su aspecto y resistencia.
¿Cuándo recomendamos poner una corona?
- Cuando un diente está muy debilitado o fracturado y corre riesgo de romperse más.
- Para proteger un diente que ha recibido una endodoncia (tratamiento de conducto).
- Para restaurar un diente con una caries muy extensa que no puede reconstruirse solo con un empaste (relleno).
- Como parte de un tratamiento de prótesis sobre implantes.
- Por estética dental: para cubrir dientes muy descoloridos, deformados o con malformaciones cuando otros tratamientos (como carillas dentales) no son viables.
En todos estos supuestos, la corona (funda) ayuda a salvar el diente o a reemplazarlo de forma fija, evitando tener que extraer la pieza o recurriendo a prótesis removibles.
Las coronas dentales, en cambio, se utilizan cuando los dientes aún están presentes, y cuando las resinas, amalgamas o empastes dentales ya no son suficientes.
Materiales Comunes Utilizados en Coronas Dentales
Años atrás, los principales materiales con los que se fabricaban las coronas dentales eran los metales, como oro, plata, cromo o acero inoxidable. Aunque son una opción resistente, por su apariencia y color ya no son tan utilizadas. Las coronas de porcelana o cerámica son las más populares, ya que ofrecen un aspecto similar a los dientes naturales y es un material biocompatible que, con los cuidados adecuados, resulta duradero.
Las de resina están elaboradas por resina compuesta, un material más económico, pero no tan resistente ni duradero como otras opciones. También existen las coronas de metal-porcelana. Estas son una combinación de una base de metal con una cobertura de porcelana, las cuales brindan una apariencia natural y gran durabilidad. Las coronas de zirconio, por su parte, son resistentes, biocompatibles y brindan una buena apariencia.

Corona de Zirconio
Existen diferentes tipos de coronas dentales en función del material con el que están fabricadas. Cada material ofrece distintas ventajas en cuanto a estética, durabilidad y precio.
Tipos de coronas dentales
- Coronas de porcelana: Están hechas completamente de material cerámico (porcelana dental de alta calidad, como el disilicato de litio e.max). Son las coronas más estéticas, ya que imitan muy bien el color, el brillo y la translucidez de un diente natural. Por eso suelen emplearse en los dientes anteriores (incisivos y caninos) que se ven al sonreír. Como desventaja, la porcelana pura es algo menos resistente a la fractura comparada con otros materiales más duros. No se recomienda usar solo porcelana en zonas de carga extrema (por ejemplo, en muelas muy comprometidas) porque podría llegar a fracturarse ante fuerzas masticatorias intensas.
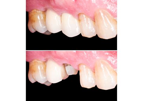
- Coronas de zirconio: Están fabricadas con dióxido de zirconio, un material cerámico extra duro. Estas coronas se pueden usar tanto en dientes frontales como en muelas, ya que su resistencia a la fractura es de las más altas. De hecho, el zirconio ha reemplazado en muchos casos a las antiguas coronas totalmente metálicas, permitiendo tener fuerza y estética a la vez. Las coronas de zirconio son una excelente opción para molares o premolares que requieren mucha resistencia, o para pacientes que aprietan los dientes, ya que aguantan muy bien el desgaste. También las empleo en dientes anteriores cuando el paciente quiere la máxima durabilidad junto con estética. La corona dental de zirconio es la opción más innovadora y eficiente. La corona de zirconio permite sustituir muy ventajosamente las aleaciones de metal y cerámica de porcelana. Son las mejores coronas dentales por estética. Más ligeras, menos voluminosas que las coronas de metal-porcelana. Se realizan de un material blanco, translúcido que permite realizar prótesis de aspecto aún más luminoso. Las coronas de alta estética sobre diente tienen entre sus ventajas que no se ven bordes grises en el caso que la encía se retraiga y limitan la adherencia de la placa dental.
- Coronas metal-porcelana: Consisten en un núcleo interno metálico (una aleación de metales, por ejemplo cromo-cobalto o níquel) recubierto externamente por porcelana del color del diente. Son muy fuertes y duraderas. Toleran muy bien la presión de la mordida al masticar, por lo que resultan ideales para reemplazar dientes posteriores (muelas y premolares). Al estar detrás, la leve diferencia estética no se nota y se aprovecha su robustez. El punto débil de las metal-porcelana está en la estética a largo plazo: con los años, si las encías se retraen un poco, puede asomarse una fina línea oscura del metal en la base de la encía, resultando algo antiestético en la sonrisa. Por eso, hoy en día en los dientes delanteros (sonrisa) preferimos evitar el metal subyacente, usando coronas totalmente cerámicas o de zirconio. Las desventajas de las coronas de metal podrían ser que en el caso de pacientes que tengan encías retraídas puede llegar a verse la parte de metálica de la corona, en estos casos no re recomienda.
- Coronas metálicas: Están hechas enteramente de metal. Las coronas metálicas de acero u otros metales base se usan poco en adultos actualmente, porque su apariencia plateada u oscura no es estética. Antiguamente eran comunes por su extrema durabilidad - prácticamente no se fracturan nunca y pueden durar décadas - pero hoy se reservan sobre todo para dientes temporales (molares de leche) en niños o como provisionales. Su ventaja es el bajo precio del material y la resistencia. Sin embargo, visualmente son muy llamativas (color metálico) y pueden generar problemas estéticos y hasta leves sensibilidades galvánicas. El oro es un material excelente en odontología: muy biocompatible, no provoca alergias, altamente resistente al desgaste y se adapta con precisión. Algunas personas aún solicitan coronas de oro en molares por su durabilidad y porque el oro sufre menos desgaste contra dientes opuestos. Sin embargo, son muy caras (debido al precio del oro) y estéticamente llamativas por su color dorado. Por eso, su uso es minoritario hoy en día. En resumen, una corona metálica simple puede ser la opción más barata y duradera, pero menos estética.
- Coronas de resina: Están hechas de resina acrílica o composite. Son coronas temporales que utilizamos de forma provisional mientras se fabrica la corona definitiva de mejor material. Sus ventajas son el precio muy bajo y la rapidez de fabricación (incluso se pueden hacer directamente en clínica). Sin embargo, no son muy resistentes ni duraderas: la resina puede fracturarse o desgastarse en pocos meses y con el tiempo tiende a decolorarse o mancharse. Siempre se coloca una corona de resina provisional tras tallar el diente, para protegerlo mientras el laboratorio hace la corona definitiva de porcelana, zirconio, etc.
Factores que Influyen en el Precio de una Corona Dental
Para comprender el precio de una corona dental, es importante saber los principales aspectos que están relacionados con este tipo de tratamiento.
- Tipo de material de la corona: El material de fabricación impacta de manera directa el precio de una corona dental. Las de metal suelen ser las más económicas, mientras que las de zirconio son las más costosas.
- Complejidad del procedimiento dental: El estado actual de la dentadura también afecta cuánto cuesta una corona dental. Si se requieren procedimientos adicionales, una reconstrucción dental o preparar el diente antes de colocar la funda, esto aumenta el precio.
- Ubicación geográfica de la clínica dental: En clínicas dentales ubicadas en las zonas urbanas los costes pueden ser mayores que en las zonas rurales. Esto se debe a que los alquileres pueden ser mayores así como los precios de los materiales y servicios.
- Experiencia y reputación del odontólogo: Contar con un profesional con experiencia, capacitado y con buena reputación puede incrementar el valor de los honorarios médicos.
- Costos adicionales: consultas, radiografías y seguimiento: Al realizarse un tratamiento para colocar una corona dental, también hay que considerar que el precio puede aumentar por el coste de la consulta con el especialista, las imágenes que puedan ser necesarias para el diagnóstico y diseño de la corona, y las revisiones luego de culminar el tratamiento.
Comparación de Precios Según el Material de la Corona
Todos los factores antes mencionados tienen un impacto en el precio de una corona dental, pero en general podemos decir que cada una puede costar en 90 y 500 euros, la elección dependerá de las necesidades y el presupuesto de cada paciente.
- Corona de metal: Una corona de metal puede variar entre 70 y 150 euros. Recuerda que aunque es una alternativa duradera y resistente, no es la más estética, ya que el material metálico resulta muy visible.
- Coronas de porcelana: Por su parte, las coronas de porcelana aportan resistencia y una apariencia natural, con un precio que puede variar entre 400 y 850 euros. Su resistencia las hace ideales para cubrir muelas.
- Coronas de zirconio: Las de zirconio personalizan y simulan la estética del diente real, haciéndolo parecer muy natural por lo que se recomiendan para los dientes frontales y puede costar desde 350 euros hasta 500. En nuestra clínica dental en Madrid el precio de una corona de zirconio de alta estética sobre diente es de 500€.
- Coronas de metal-porcelana: La combinación entre metal y porcelana ofrece resistencia y durabilidad, y su costo resulta menor que las de zirconio pero más elevado que otras opciones. El precio estimado oscila entre 360 y 450 euros.
- Coronas de resina compuesta: Las coronas de resina se utilizan preferiblemente como una opción temporal, ya que no ofrece la durabilidad y resistencia de otras opciones. Por ello su precio es mucho menor, ronda los 40 euros.

Tipos de Coronas Dentales
En nuestra clínica dental en Madrid el coste de una corona dental porcelana o corona cerámica sobre diente es de 290€.
A continuación, se presenta una tabla con los precios aproximados de cada tipo de corona:
| Tipo de Corona | Material | Precio Aproximado |
|---|---|---|
| Metal | Aleaciones de metal | 70 - 150 € |
| Porcelana | Cerámica de alta calidad | 400 - 850 € |
| Zirconio | Dióxido de zirconio | 350 - 500 € |
| Metal-Porcelana | Metal con recubrimiento de porcelana | 360 - 450 € |
| Resina Compuesta | Resina acrílica o composite | 40 € |
Nota: Estos precios son orientativos por unidad (por cada corona sobre un diente natural). Pueden variar según la clínica y la ubicación geográfica, pero reflejan los rangos habituales en España en 2024-2025. Tratamientos previos: Si el diente requiere una reconstrucción, una endodoncia (desvitalizar el nervio) o cirugía de implante antes de colocar la corona, estos procedimientos se cobran aparte del precio de la corona. Por ejemplo, una corona sobre implante suele ser más cara porque implica el coste del implante en sí, el pilar (abutment) y la cirugía de colocación del implante.
Tipo de clínica o seguro dental: En clínicas de alto prestigio o especialistas muy experimentados, el precio puede ser algo mayor (aunque a cambio ofrecen gran calidad y garantías). Por otro lado, algunas aseguradoras dentales o franquicias ofrecen coronas a precios más reducidos para sus socios. Por ejemplo, según un estudio de 2025, el precio medio de una corona de zirconio en clínicas privadas de Madrid era 401 € y en seguros dentales oscila entre 330€ y 372€. Como ves, la diferencia de precio entre una corona básica y una de gama alta puede ser importante. No obstante, elegir bien el material de la corona es vital: una corona de calidad te durará muchos años más, evitando retratamientos. Mi consejo profesional es priorizar la calidad y la biocompatibilidad del material en la medida de tu presupuesto.
¿Cómo se Coloca una Corona Dental?
El procedimiento para colocar una corona dental suele requerir dos visitas al dentista (salvo que se utilice tecnología CAD/CAM para hacer la corona en el día).
- Preparación del diente: En la primera cita, se anestesia localmente la zona (para que no sientas nada durante el tratamiento). El dentista talla el diente reduciendo su tamaño alrededor, de modo que haya espacio suficiente para alojar la corona encima. Si había caries o empastes antiguos, se eliminan. Quedará un “pilar” de diente sano preparado para ser cubierto.
- Impresiones o escaneo: Se toma el registro de la forma del diente preparado y de la mordida. Esto puede hacerse con una impresión de silicona o mediante un escáner intraoral 3D, dependiendo de la clínica.
- Colocación de corona provisional: Antes de terminar la primera visita, normalmente te colocamos una corona provisional de resina sobre el diente tallado. Esta funda temporal protege el diente y te permite hacer vida normal (masticar con cuidado) durante el intervalo.
- Cementado de la corona definitiva: En la segunda visita (una vez la corona final está lista), se retira la provisional y se prueba la corona definitiva. El dentista comprueba que el ajuste, el contacto con los dientes vecinos y la oclusión (mordida) sean perfectos. Si todo es correcto y estéticamente te ves bien, se fija la corona permanente con un cemento dental especial. Este adhesivo asegura la corona firmemente al diente tallado. Finalmente, se limpian los excesos de cemento y ¡listo!
En la mayoría de los casos, poner una corona es un procedimiento indoloro porque se realiza con anestesia. Tras el cementado, puedes notar el diente un poco «extraño» o con leve sensibilidad al frío los primeros días, pero esto desaparece rápido. Es importante que la corona no quede alta ni incómoda; si sientes que “chocas” prematuramente al morder, avisa a tu dentista para que la ajuste ligeramente.
Algunas clínicas con sistemas CAD/CAM pueden hacer todo en una sola visita: escanean el diente tallado y fresan la corona en el momento, eliminando la necesidad de provisionales.
¿Cuánto Duran las Coronas Dentales?
Una corona dental, una vez colocada, se comporta como un diente más en tu boca. En términos generales, la vida útil de una corona bien hecha es de 10 a 15 años de media, pudiendo durar incluso 20 años o más con buenos cuidados. Hay casos documentados de coronas que siguen en boca después de 25-30 años, especialmente las de oro o las de porcelana/zirconio en pacientes muy cuidadosos.
¿Cómo cuidar tus coronas dentales para que duren más?
- Higiene oral escrupulosa: Cepilla tus dientes (y coronas) al menos 2-3 veces al día con una pasta fluorada, llegando hasta la unión de la corona con la encía. Usa hilo dental o cepillos interdentales diariamente para limpiar los bordes de la corona donde puede acumularse placa.
- Evita hábitos perjudiciales: No uses tus dientes (con corona o sin ella) para abrir envases, morder objetos duros (huesos, hielo, cáscaras) o cortar cosas que no sean comida. Tampoco mastiques alimentos extremadamente duros en el lado de una corona nueva.
- Visitas periódicas al dentista: Programa revisiones e higienes dentales profesionales al menos una vez al año. En la limpieza profesional eliminaremos el sarro acumulado alrededor de tus coronas y dientes (lo que previene la gingivitis y la periodontitis). En las revisiones, el odontólogo controlará el estado de la corona, de la encía y del diente soporte. Si detectamos a tiempo un pequeño problema (como filtración marginal o una caries incipiente en el diente bajo la corona), podremos solucionarlo antes de que comprometa la corona.
Siguiendo estos consejos, tus coronas se mantendrán en perfecto estado por muchos años. En caso de que notes algo fuera de lo común - por ejemplo, sensibilidad persistente, movilidad en la corona, inflamación en la encía circundante o mal olor - acude a consulta.
Las coronas no se manchan fácilmente con café, té o tabaco (especialmente las de porcelana y zirconio, que son muy lisas). Mantendrán su color en el tiempo mejor que un diente natural.
Corona Dental vs. Carilla Dental
A muchos pacientes les surge la duda entre coronas dentales y carillas dentales.
- La corona dental (funda) cubre todo el contorno del diente (360 grados). Requiere tallar el diente por todos sus lados y la corona actúa como un casquete que aporta estructura y protección.
- La carilla dental es una lámina fina de porcelana o composite que solo cubre la cara frontal del diente. Se usa principalmente con fines estéticos, por ejemplo para camuflar el color, forma o posición levemente irregular de un diente anterior.
Si el diente está sano y solo buscas mejorar su apariencia (color, forma leve), probablemente con carillas logres el objetivo de forma más conservadora. Pero si el diente está muy restaurado o debilitado, una carilla no sería suficiente (podría despegarse o el diente podría fracturarse por detrás); en ese caso necesitas una corona que lo recubra completamente y le devuelva la resistencia.
Ambos tratamientos pueden lograr una sonrisa hermosa, pero la decisión corona vs. carilla depende del estado del diente. Tu odontólogo evaluará si el diente tiene soporte suficiente para una carilla o si es más seguro colocar una funda.
Existe el término “funda dental”, que es sinónimo de corona.
Corona Dental vs. Implante Dental
Esta comparación en realidad es un poco engañosa, porque corona e implante no son tratamientos excluyentes, sino complementarios. Un implante dental es un tornillo de titanio que sustituye la raíz de un diente perdido, y sobre él siempre se coloca una corona (artificial) como parte visible.
La verdadera disyuntiva se da cuando tenemos un diente propio dañado: ¿es mejor intentar salvarlo con una corona o extraerlo y poner un implante? Si el diente es recuperable, aunque esté muy dañado, solemos preferir conservar el diente natural y protegerlo con una corona. Nada supera a tu propio diente en cuanto a la integración con tu organismo (tiene ligamento periodontal, mantiene el hueso alrededor, etc.). Mientras el radicular esté sano (no tenga fracturas radiculares ni enfermedad periodontal severa), se intenta salvar con endodoncia, perno, corona, etc.
Si el diente no es viable (por ejemplo, raíz fracturada irreparable, caries muy profunda bajo encía, o infección que no puede solucionarse), entonces la extracción seguida de un implante es lo indicado. El implante osteointegrará en el hueso y luego colocaremos una corona sobre implante que reemplace al diente.
Si tienes el diente, primero evaluamos salvarlo con una corona; si ya no hay diente (o hubo que extraerlo), la corona irá sobre un implante. Desde el punto de vista del paciente, una vez terminado el tratamiento, funcional y estéticamente una corona sobre diente natural y una corona sobre implante se ven igual.