Las ortodoncias, independientemente del tipo de tratamiento (brackets tradicionales, ortodoncia invisible), funcionan moviendo los dientes gradualmente hacia la posición deseada. Mover un diente no es una tarea sencilla, pero gracias a estos procedimientos es posible alinear la dentadura, corregir la mordida y obtener una sonrisa perfecta. El éxito de los resultados merece la espera.

El Proceso de Movimiento Dental con Ortodoncia
Los dientes están firmemente anclados a la mandíbula, por lo que moverlos es un proceso delicado que debe realizarse poco a poco, con fuerzas sutiles y graduales para evitar dañar las piezas dentales. Los tratamientos de ortodoncia ejercen una fuerza prolongada en el tiempo sobre los dientes afectados, obligándolos a cambiar de posición. El movimiento es lento pero constante, asegurando que las estructuras circundantes se adapten a las nuevas circunstancias.
Desplazar un diente implica un cambio sustancial en la boca. Para que se produzca este desplazamiento, el hueso alrededor del diente atraviesa un proceso de adaptación, reabsorción y remodelación:
- Fase de adaptación: Las fibras que unen el diente al hueso se estiran.
- Fase de reabsorción: Parte del hueso desaparece en la dirección del desplazamiento.
- Fase de remodelación: El hueco que deja el diente desplazado se rellena con nuevo hueso.
Al final del proceso, el diente desplazado queda perfectamente encajado en la posición planificada, con la suficiente firmeza para garantizar una masticación cómoda y segura.
Duración Promedio de un Tratamiento de Ortodoncia
A pesar de que cada persona es diferente, con sus tiempos únicos, la duración media de un tratamiento de ortodoncia puede variar de 6 meses a 2 años, dependiendo del caso y del tipo de ortodoncia aplicada. Como puedes ver, todo tiene un motivo, no es que los ortodoncistas quieran que lleves mucho tiempo la ortodoncia, sino que la propia naturaleza de nuestra biología, las características de cada caso y el tratamiento elegido influyen en gran medida en los tiempos que tarda la ortodoncia en dar resultado.
En una realidad en la que prima lo inmediato, los tratamientos de ortodoncia son considerados un proceso lento. Pero, ¿es realmente así? Mover un diente no es tarea sencilla y, sin embargo, gracias a estos procedimientos es posible alinear la dentadura, corregir la mordida y tener una sonrisa perfecta. El éxito de los resultados merece la espera.
ETAPAS / FASES del tratamiento de BRACKETS ¿Cuanto TIEMPO DURA la ORTODONCIA?
Factores que Influyen en el Tiempo de Tratamiento
En el movimiento y la rotación de los dientes durante un tratamiento con ortodoncia influyen varios factores:
- Edad del paciente: La ortodoncia en adultos exige consideraciones especiales ya que los dientes no se desplazan con tanta facilidad como en etapas anteriores.
- Condiciones periodontales: El estado óseo y radicular de la boca del paciente podría comprometer los resultados si no se realiza una valoración adecuada. La inflamación de los tejidos puede obligar a suspender el tratamiento hasta que la situación sea más favorable.
- Adhesión al tratamiento: En el caso de las ortodoncias removibles como la ortodoncia invisible, hará falta al menos un uso de 22 h al día para que el tratamiento dé buenos resultados. El compromiso del paciente es fundamental en el éxito de cualquier tratamiento con aparatos dentales.
- Aspectos biomecánicos: El movimiento dentario debe programarse conforme a las particularidades de la boca de cada paciente. Esto implica un ajuste de las fuerzas ortodóncicas de acuerdo a la carga que puede resistir el periodonto. La respuesta de los tejidos adultos es más lenta que la de los niños, por eso los tratamientos con ortodoncia suelen requerir de más tiempo a edades más avanzadas.
La Importancia de la Etapa Postratamiento
Una vez que el especialista decide la retirada de la ortodoncia hay que pensar en el largo plazo. Sin las pautas adecuadas los dientes volverán a desplazarse con el paso del tiempo. La contención en la posición correcta se puede obtener mediante el empleo de retenedores que proporcionen estabilidad y consolidación a la nueva morfología de la dentadura.

¿Por Qué el Efecto de la Ortodoncia es Lento?
Más que de lentitud habría que hablar de precisión, seguridad y comodidad. Mover un diente es un trabajo medido al milímetro. El espacio en la boca es limitado y cada pieza debe encajar a la perfección en el lugar correcto, por lo que hay que avanzar poco a poco. Es un proceso gradual en el que el tiempo siempre está del lado del paciente: si se forzara al diente a moverse con mayor rapidez no solo se podrían dañar las fibras nerviosas, el hueso alveolar y el ligamento periodontal, sino que el dolor del tratamiento ortodóncico resultaría insoportable.
¿Cuándo Empezarás a Notar los Resultados de la Ortodoncia?
La pregunta más frecuente de los pacientes que se someten a un tratamiento de ortodoncia es “¿cuánto va a durar?”. Aunque, por norma general, los tratamientos tradicionales tienen una duración de entre 18 y 24 meses, que se reduce en el caso de la ortodoncia invisible, es una información orientativa. Las particularidades de cada caso, el tipo de ortodoncias empleadas y el compromiso del paciente pueden hacer que el tratamiento se reduzca a unos cuantos meses o que se prolongue más allá de los dos años. Lo más recomendable es pensar en resultados, no en tiempo: la ortodoncia se retirará en el momento en el que tus dientes estén perfectos. Eso es lo importante.
En los casos menos exigentes, los efectos de una ortodoncia con brackets empiezan a ser visibles a partir del tercer mes. Por su parte, la avanzada tecnología que se emplea en la ortodoncia invisible permite hacer simulaciones de la evolución paso a paso hasta el final del tratamiento, de manera que el paciente puede ver los resultados antes incluso de iniciar el proceso.
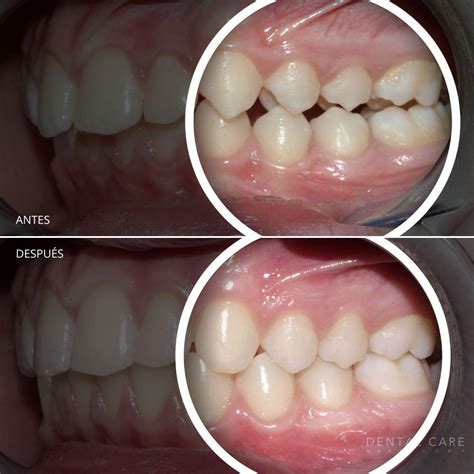
Ortodoncia con Extracciones: Un Caso Específico
En ocasiones para conseguir un buen resultado, es necesario proceder a la extracción de alguno de los premolares, antes de empezar con el tratamiento de ortodoncia. En este caso se decidió extraer dos premolares superiores para conseguir: un alineamiento correcto, llevar los incisivos superiores a su posición correcta ya que estaban al comienzo muy adelantados y centrar la línea media superior hacia la derecha del paciente y que ésta coincidiese con la línea inferior.
Siempre que realizamos extracciones intentamos que el perfil mejore o si está correcto que no se modifique. En todos los casos el espacio de las extracciones queda completamente cerrado y no se vuelve a abrir con el paso de los años.
La ortodoncia con extracciones no solo mejora la estética dental sino también la funcionalidad. Al eliminar dientes, se crea espacio para que los demás se alineen correctamente, lo que facilita una mejor mordida y reduce el riesgo de problemas dentales futuros. Además, al alinear los dientes correctamente, se mejora la higiene bucal ya que es más fácil limpiar entre los dientes, reduciendo así el riesgo de caries y enfermedades de las encías.
Una vez finalizado el tratamiento conseguimos los objetivos marcados: sin riesgo de que vuelvan a abrirse con el tiempo, corrección de la protrusión de los dientes superiores, alineamiento correcto de los dientes superiores y corrección de la línea media y mejora de la sonrisa.
Retenedores: La Clave para Mantener los Resultados
Los retenedores en ortodoncia son la parte culminante de tu tratamiento de ortodoncia ya que, de no ser así, tus dientes volverían a desordenarse. Su función es la de acabar de fijar el diente al hueso en la posición que han quedado después de una ortodoncia. Es importante decir que si no se usa de manera adecuada el retenedor dental, no habrá servido de nada que el paciente haya llevado ortodoncia.
Tipos de Retenedores Dentales
- Retenedor Fijo: Compuesto por un alambre colocado en la parte interna de los dientes.
- Retenedor Removible: Formado por una base plástica reforzada con un alambre.
- Retenedor Invisible: Fabricado con un plástico muy resistente y estético.
Se recomienda llevar la retención el máximo de horas posible los 6 primeros meses, y después usarlos mientras duermes mínimo dos años. No olvides acudir a tus citas de revisión una vez finalices tu tratamiento, tanto con el ortodoncista como el odontólogo general.
| Factor | Influencia en el Tiempo de Tratamiento |
|---|---|
| Edad del paciente | Adultos suelen requerir más tiempo. |
| Condiciones periodontales | Enfermedades periodontales pueden alargar el tratamiento. |
| Adhesión al tratamiento | Uso constante de ortodoncia removible acorta el tiempo. |
| Complejidad del caso | Apiñamiento severo o maloclusiones complejas requieren más tiempo. |
| Tipo de ortodoncia | Ortodoncia invisible puede ser más rápida en algunos casos. |