La reconstrucción dental es un conjunto de procedimientos diseñados para restaurar la funcionalidad y la estética de los dientes dañados o debilitados. Este tratamiento odontológico se utiliza para reparar y restaurar dientes dañados, rotos o desgastados. La reconstrucción dental es clave para devolverle a tus dientes no solo su funcionalidad, sino también su apariencia natural. Por ello, hemos hecho una guía completa, donde descubrirás los diferentes procedimientos, tiempos de recuperación y cuidados necesarios para garantizar que tu tratamiento sea duradero.

¿Qué es la reconstrucción dental?
La reconstrucción dental es una especialidad dentro de la odontología que busca restaurar la forma, función y estética de los dientes dañados o deteriorados. La reconstrucción dental es un tratamiento conservador que tiene como objetivo recuperar el funcionamiento y la apariencia natural del diente, como pueden ser coronas, puentes, carillas u otros tipos de prótesis.
Dichas restauraciones se diseñan para que se ajusten perfectamente a la boca del paciente y se vean naturales. Estos tratamientos están dirigidos principalmente a pacientes con piezas dentales que han sido bastante dañadas, ya sea por algún golpe o enfermedad que haya afectado a las paredes del diente.
Este procedimiento se puede realizar en una o en varias piezas dentales, lo cual permite corregir problemas estéticos y funcionales que surgen debido al nivel de daño en el diente. La reconstrucción dental puede realizarse a través de diversas técnicas. Para saber cuál es la mejor según tu caso específico, es importante un diagnóstico previo.
¿Cuándo es necesaria una reconstrucción dental?
Un diente fracturado o muy desgastado puede llevarnos a complicaciones más avanzadas en cuanto a nuestra salud bucodental. El riesgo de infección y fractura irreversible es más elevado y los dolores pueden ser punzantes y muy intensos. Nuestro día a día con un diente fracturado no es para nada agradable. Un diente fracturado no es funcional.
Es importante tener en cuenta el estado general de salud bucal, las necesidades y expectativas del paciente, así como las recomendaciones del dentista.
Algunas de las causas más comunes que requieren una reconstrucción dental incluyen:
- Caries: Sin duda es el motivo más habitual de deterioro, y la razón más común por las que muchos pacientes requieren una reconstrucción.
- Traumatismo: Un golpe puede provocar la fractura visible de una pieza dental, lo cual requerirá un tratamiento de reconstrucción para recuperar su estética y funcionalidad. Si alguna vez has sufrido un traumatismo dental o una fractura dental, sabrás lo doloroso que puede ser. Además del dolor físico, puede tener un impacto en tu autoestima y en la calidad de tu vida en general. Afortunadamente, hay opciones para la reconstrucción dental que pueden devolverte una sonrisa saludable.
- Desgaste: El mismo provoca daños a la funcionalidad, por lo tanto, se recomienda una reconstrucción para que se pueda recuperar la correcta masticación.
- Endodoncia: En muchos casos, el especialista debe retirar una parte de la corona (parte externa visible del diente) para limpiar y desinfectar los conductos de la raíz.
PERNO METÁLICO vs. PERNO DE FIBRA DE VIDRIO: ¿Cuál es la mejor opción para tu sonrisa?
Tipos de fracturas dentales
Las fracturas dentales pueden clasificarse en diferentes tipos, según su gravedad y ubicación:
- Fractura incompleta: En este tipo de fractura, el diente está agrietado pero no se ha separado completamente en dos partes.
- Fractura dental completa: En una fractura dental completa, el diente se ha separado completamente en dos o más partes.
- Fractura dental complicada: En una fractura dental complicada, el diente se ha separado completamente y la pulpa dental (el tejido blando en el interior del diente que contiene los nervios y los vasos sanguíneos) está expuesta.
- Fractura radicular: Una fractura radicular ocurre cuando la raíz del diente se fractura.
- Fractura coronal-vertical: Una fractura coronal-vertical ocurre cuando la fractura se extiende desde la superficie masticatoria del diente hacia la raíz.
- Fractura cuspídea: Una fractura cuspídea ocurre cuando una de las cúspides del diente se fractura.
- Fractura de la línea de esmalte: En una fractura de la línea de esmalte, la fractura se extiende solo a través del esmalte dental, la capa externa del diente.
- Fractura del esmalte y dentina: En una fractura del esmalte y dentina, la fractura se extiende a través del esmalte y la dentina, la capa más interna del diente.
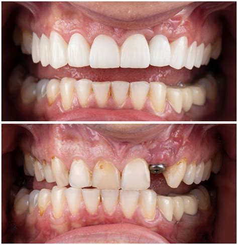
¿Cómo se realiza una reconstrucción dental?
El proceso para realizar una reconstrucción dental puede variar en función de distintos factores, entre los que destacan la severidad y el daño sufridos por el diente.
- Evaluación inicial: El primer paso es una evaluación exhaustiva de la boca del paciente para determinar el estado de los dientes y las encías. De ser necesario, el especialista realizará radiografías y otras pruebas para evaluar la extensión de los daños y planificar el tratamiento adecuado. Durante tu primera visita a Clínica Dental Vilabiosca, realizaremos una evaluación completa de tu boca.
- Preparación de los dientes: En muchos casos, es necesario preparar los dientes dañados para recibir restauraciones. Este proceso puede implicar la eliminación de parte del esmalte dental para garantizar un ajuste adecuado de las prótesis. Una vez acordado el plan de tratamiento, prepararemos el diente afectado.
- Colocación de las restauraciones: Una vez que los dientes están preparados, se procede a colocar las restauraciones dentales. Estas pueden ser coronas, puentes, carillas u otros tipos de prótesis. Dichas restauraciones se diseñan para que se ajusten perfectamente a la boca del paciente y se vean naturales. El paso final es la colocación de la reconstrucción dental.
- Reconstrucción dental con composite: Otra técnica común es la reconstrucción dental con composite, un material que se esculpe directamente sobre el diente dañado en capas.
Tipos de reconstrucción dental
Existen varios tipos de reconstrucción dental, cada uno adaptado a las necesidades específicas del paciente. Algunas de las técnicas comunes incluyen las incrustaciones dentales, las carillas dentales y los empastes dentales.
- Carillas dentales: Son unas láminas delgadas de porcelana o resina que se colocan en la parte frontal de los dientes para corregir imperfecciones estéticas, como manchas o fracturas. Este tratamiento es rápido y poco invasivo, y ofrece resultados naturales y duraderos.
- Composite (Resina): También es conocido como empaste, y se trata de una resina que se adhiere al diente con facilidad y respeta su forma original. Es adecuada para los casos de daños o fracturas leves, o cuando la estructura dental no está muy dañada.
- Coronas dentales: El mismo provoca daños a la funcionalidad, por lo tanto, se recomienda una reconstrucción para que se pueda recuperar la correcta masticación.
- Incrustaciones dentales: Se utilizan cuando el daño no es tan extenso, pero no es posible la restauración con resina. Consiste en fabricar una pieza a medida, y posteriormente insertarla en el diente para reconstruirlo.

Duración de una reconstrucción dental
La duración del procedimiento de reconstrucción dental puede variar dependiendo del tipo de tratamiento y la complejidad del caso. El tiempo varía dependiendo del tipo de tratamiento. La duración de una reconstrucción dental depende de varios factores, incluyendo el tipo de procedimiento, los materiales utilizados y el cuidado posterior.
A continuación, se detallan los tiempos aproximados para diferentes tipos de reconstrucciones:
- Reconstrucción simple: Los procedimientos sencillos, como los empastes dentales, suelen llevar entre 30 minutos y una hora.
- Reconstrucción dental compleja: Procedimientos más complejos, como la colocación de una corona o un puente, pueden requerir varias visitas al dentista. Por lo general, la colocación de una corona implica al menos dos citas y puede llevar entre 1 y 2 horas en cada sesión.
Materiales utilizados en la reconstrucción dental
Los materiales de alta calidad, como porcelana o zirconio, tienden a ofrecer una mayor durabilidad y una apariencia más natural, pero pueden requerir más tiempo de preparación.
¿Es dolorosa la reconstrucción dental?
Una preocupación común es si la reconstrucción dental es dolorosa. El dolor durante la reconstrucción dental depende del tipo de tratamiento que se realice y del umbral de dolor de cada paciente. En general, podemos decir que la reconstrucción dental es un tratamiento que no duele. En segundo lugar, porque es un procedimiento relativamente sencillo y mínimamente invasivo.
Gracias a los avances en la odontología moderna, la mayoría de los procedimientos son indoloros o causan molestias mínimas. El procedimiento de reconstrucción dental se realiza con anestesia local, por lo que el paciente no debe sentir dolor durante el procedimiento. En cambio, los tratamientos más invasivos, como los tratamientos de conducto radicular o los implantes dentales, pueden causar algo más de dolor o molestia durante el proceso de recuperación.
Cuidados posteriores a una reconstrucción dental
Es fundamental seguir las indicaciones del dentista después de una reconstrucción dental. Después de la reconstrucción dental, es importante seguir las instrucciones del dentista para el cuidado postoperatorio. Esto puede incluir evitar alimentos duros o pegajosos, mantener una buena higiene oral y asistir a visitas de seguimiento programadas.
Mantener en buen estado una reconstrucción dental depende en gran medida de los cuidados que se le brinden:
- Mantén una buena higiene bucal diaria: Cepilla tus dientes al menos dos veces al día y utiliza hilo dental para evitar la acumulación de placa alrededor de la reconstrucción.
- Evita alimentos duros o pegajosos: Alimentos como caramelos, frutos secos o hielo pueden causar fracturas o dañar las reconstrucciones.
Frecuencia de revisiones dentales
Las revisiones dentales regulares, al menos dos veces al año, permiten al dentista monitorear el estado de las reconstrucciones y actuar rápidamente si surge algún problema.
¿Cuánto duran las reconstrucciones dentales?
Con el tiempo, una reconstrucción dental puede desgastarse, agrietarse o causar molestias. Sin embargo, resulta complejo ofrecer una duración estimada de antemano.
La durabilidad depende del material utilizado y los cuidados del paciente. Con una buena higiene oral y revisiones periódicas, una reconstrucción dental puede durar más de 10 años sin problemas.
Durabilidad de las coronas dentales: Las coronas dentales pueden durar entre 10 y 15 años, o incluso más con los cuidados adecuados.
¿Puedo comer normalmente después de una reconstrucción dental?
Sí, una vez que la reconstrucción esté completamente asentada, podrás comer normalmente. Después de la reconstrucción dental, es posible que se recomiende evitar alimentos duros o pegajosos durante un tiempo para permitir que los materiales de reconstrucción se asienten completamente.
Precio de una reconstrucción dental
El precio de una reconstrucción dental puede variar dependiendo del tipo de tratamiento y la complejidad del caso. En Clínica Dental Vilabiosca, ofrecemos opciones de financiación y planes de pago para hacer que tu tratamiento sea accesible.
Reconstrucción Dental con Composite: Una Solución Estética y Funcional
La reconstrucción con composite es especialmente popular por su versatilidad, durabilidad y capacidad de imitar la apariencia natural del esmalte dental. Gracias a los avances en tecnología y materiales, hoy en día es posible realizar restauraciones estéticas de alta precisión que no solo devuelven la salud al diente, sino también su belleza original.
El composite dental es un material termoplástico fabricado con partículas de sílice u otros minerales finamente molidos y una matriz orgánica. Este material puede ser moldeado fácilmente durante el tratamiento y endurecido mediante luz ultravioleta (polimerización). Su color se puede ajustar para coincidir exactamente con el tono del diente, garantizando una restauración completamente discreta y natural.
Este tipo de reconstrucción es ideal para casos donde el daño no es demasiado profundo, ya que si la pérdida de estructura es significativa, podría requerirse una solución más robusta como una corona dental. Sin embargo, para muchos pacientes, el composite ofrece una excelente alternativa funcional y estética.
Ventajas de la Reconstrucción con Composite
Una de las principales ventajas de la reconstrucción con composite es su capacidad para adaptarse a múltiples situaciones clínicas. Esta técnica no requiere tallar grandes cantidades de estructura dental, lo que la convierte en una opción muy conservadora. Esto significa que, al finalizar el tratamiento, el diente mantiene gran parte de su estructura original, lo cual es fundamental para su longevidad.
Otra ventaja notable es la estética. El composite moderno puede replicar perfectamente la translucidez, brillo y textura del esmalte natural, permitiendo resultados casi indistinguibles del diente original. Esto lo hace especialmente adecuado para sonrisas visibles o dientes frontales, donde la apariencia visual juega un papel crucial.
Además, el composite tiene una buena resistencia a la fractura y al desgaste, aunque no llega al nivel de los materiales cerámicos o metálicos. Para eso, se recomienda evitar hábitos como apretar los dientes o morder objetos duros tras la reconstrucción.
También destaca la rapidez del procedimiento. En la mayoría de los casos, se puede completar en una sola sesión, sin necesidad de moldes o visitas adicionales. Esto reduce el tiempo total de tratamiento y minimiza el número de citas con el odontólogo.
Proceso de la Reconstrucción con Composite
El proceso de reconstrucción con composite generalmente sigue estos pasos:
- Preparación del Diente: Antes de comenzar, el odontólogo evalúa el estado del diente para determinar si es candidato para la reconstrucción con composite. Si hay caries, estas deben ser eliminadas completamente. Luego, se prepara la superficie del diente para recibir el material, lijándola ligeramente y aplicando ácidos para crear microcanalizaciones que mejoren la adhesión del composite.
- Aplicación del Material: Una vez que el diente está listo, se aplica el composite en capas finas. Cada capa se endurece con una luz especial, asegurando que el material quede bien adherido y estable. Se pulen las superficies para lograr un acabado suave y natural. Al final, se verifica la oclusión (contacto entre los dientes) para garantizar comodidad y función óptima.
- Seguimiento Postoperatorio: Es importante programar controles posteriores para asegurar que la reconstrucción se mantiene en buen estado. Con una higiene oral adecuada y revisiones periódicas, la vida útil del composite puede extenderse varios años.
Indicaciones de la Reconstrucción con Composite
La reconstrucción con composite es ideal para tratar una variedad de problemas dentales, incluyendo:
- Caries profundas que no requieren coronas.
- Fracturas menores o grietas.
- Desgastes causados por hábitos como el bruxismo.
- Malformaciones congénitas o traumáticas.
- Cambios de color en ciertas áreas del diente.
No obstante, no es recomendable para casos donde el daño es muy extenso o donde se necesita una mayor resistencia estructural. En esos casos, se optará por soluciones como coronas o puentes fijos.
Diferencias Entre Composite y Otras Técnicas
Aunque el composite es una opción muy popular, es importante entender las diferencias con otras técnicas de reconstrucción dental, como las coronas o los inlays/onlays.
Las coronas son capsulas que cubren totalmente el diente y ofrecen una protección máxima. Son ideales para dientes con daños severos, pero requieren eliminar más estructura dental. Por otro lado, los inlays y onlays son piezas hechas en laboratorio que se colocan dentro del diente o en su superficie, respectivamente. Ofrecen más resistencia que el composite, pero también requieren varias visitas al consultorio.
El composite, en cambio, se coloca directamente en la boca y se adapta a la morfología del diente. Es una solución rápida, económica y estéticamente atractiva. Sin embargo, su durabilidad suele ser menor que la de las coronas o inlays, por lo que no es apto para todos los casos.