Cuando finaliza la ortodoncia, es esencial utilizar un retenedor para mantener los dientes rectos. Pero, ¿durante cuánto tiempo es necesario utilizar un retenedor? Este artículo te proporcionará una guía completa sobre el uso de retenedores nocturnos, su importancia y cómo mantenerlos en perfecto estado.

¿Por qué es necesaria la ortodoncia?
La ortodoncia es necesaria para corregir varios problemas dentales, incluyendo:
- Mala mordida (maloclusión)
- Dientes torcidos o salidos
- Maxilares que no se alinean correctamente
- Desalineamiento en cualquier parte de la boca
Las maloclusiones pueden deberse a un accidente que ha dañado la boca, chuparse el pulgar durante la niñez o incluso la pérdida prematura de un diente.
La falta de tratamiento de cualquiera de estos problemas puede causar complicaciones que dificultan el crecimiento, como dificultades para hablar o masticar, caries o pérdida de dientes, enfermedad periodontal y mala salud bucal general.
Actualmente, la ortodoncia puede construirse con cerámica, plástico, metal o una combinación de estos materiales.
¿Qué es un retenedor?
Un retenedor es un aparato personalizado diseñado para que los dientes permanezcan en su sitio después de retirar la ortodoncia. Quitarse la ortodoncia es seguramente un motivo para sonreír, pero, para mantener todo en su sitio, el retenedor tiene que convertirse en su mejor amigo.
Tras conseguir la finalidad del tratamiento, será preciso mantener los dientes en la posición que se desea, con el fin de que no vuelvan a moverse.
Lo mismo que ocurre con los tejidos faciales, los dientes siempre están en movimiento.
La única forma de evitar 100% que los dientes se muevan tras la ortodoncia es poniendo una buena retención. Aunque la decisión última siempre es del paciente, los ortodoncistas vemos el uso de retenedores dentales más que como una opción, como una necesidad.
La retención tras una ortodoncia es especialmente indicada en pacientes en crecimiento.
Tipos de retenedores
Hay dos variedades principales de retenedores: extraíbles y fijos.
Retenedores extraíbles
Los retenedores extraíbles se extraen fácilmente de la boca antes de comer o cepillarse.
- Retenedores transparentes: Suelen ser ligeramente más gruesos que los alineadores dentales, para garantizar su durabilidad durante 6 a 12 meses. Se deben usar según las recomendaciones; al inicio de la retención, esto implica hasta 22 horas al día, y siempre deben retirarse para comer y beber.
- Retenedor Hawley: Consiste en una bandeja de plástico con elementos de alambre que enmarcan los dientes. Aunque es más visible, es crucial usarlo según el horario prescrito para mantener tu sonrisa.
Retenedores fijos
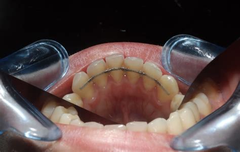
Este tipo de retenedores quedan adheridos al diente de forma permanente y sólo los puede quitar el ortodoncista. Consisten en un fino alambre de acero trenzado que se cementa en la cara interna de los dientes, de canino a canino. También lo denominamos barra lingual. Es el sistema de retención de elección en la arcada inferior.
El arco lingual es el tipo de retenedor fijo más empleado. Consiste en la colocación un alambre metálico muy fino que va cementado sobre las caras internas de los incisivos y caninos tanto superiores como inferiores.
Permanece invisible y previene eficazmente el movimiento no deseado de los dientes sin afectar a tus actividades como beber, comer y hablar. Una vez colocado, permanece en su lugar durante años, y no tienes que preocuparte por su uso.
Su principal inconveniente es que puede dificultar un poco la higiene (debes limpiar cuidadosamente alrededor del alambre).

¿Cuánto tiempo usar los retenedores?
Estos retenedores deben utilizarse todo el tiempo durante al menos un año tras retirar la ortodoncia. El ortodoncista tomará la decisión sobre la duración basándose en el tratamiento del proceso ortodóntico.
Normalmente los dientes se mueven durante toda la vida.
Una vez que transcurre el periodo o tratamiento de ortodoncia, lo normal es utilizarlos durante todo el día, las 24 horas durante tres meses. Una vez pasado ese tiempo, es muy probable que el uso de retenedores sea recomendado sólo para dormir.
Después de ese periodo, si no se detecta ningún desplazamiento, el ortodoncista le recomendará utilizarla solo de noche. Algunas personas tendrán que utilizarlos de noche por un tiempo indefinido.
Para asegurar que los dientes queden en su posición ortodóntica es recomendable utilizar los retenedores un mínimo de 12 horas diarias.
La frecuencia con la que hay que llevar los retenedores de ortodoncia la marcará el profesional. En nuestra clínica, recomendamos su uso durante todo el día (salvo para comer), los tres primeros meses tras la finalización del tratamiento. Posteriormente, será suficiente con utilizarlos para dormir.
Con el tiempo, el retenedor va perdiendo su rigidez y deja de cumplir su función. Cuando esto sucede, debes cambiar de retenedores de ortodoncia.
En el caso de los retenedores removibles, en general se recomienda llevarlos durante todo el día los primeros 6 - 12 meses después del tratamiento. Después, solo será necesario llevarlos por la noche (o lo recomendado para tu caso).
En el caso de los retenedores fijos, te beneficiarás de una retención continua las 24 horas del día. Si se afloja o se cae, por favor visita a tu dentista lo antes posible para que te coloquen uno nuevo.
Si deseas mantener tu sonrisa perfectamente alineada, deberás tener el retenedor como compañero nocturno por muchos años, idealmente de por vida. En palabras simples, “el retenedor es para siempre”.
Recuerda que los dientes se mueven toda la vida.
Si no usas tu retenedor según lo recomendado, es probable que tus dientes vuelvan a sus posiciones originales con el tiempo. Incluso saltarte su uso durante unas pocas semanas o meses puede hacer que el retenedor ya no se ajuste correctamente.
¿Cómo limpiar tus retenedores? 🤔 Actualizado 2020 - Odontología Láser.
Mantenimiento y cuidado de los retenedores
El mantenimiento del retenedor no puede dejarse de lado cuando empieza a utilizar uno.
El mantenimiento es muy sencillo. Será suficiente con limpiar los retenedores diariamente, con agua y la ayuda de un cepillo.
El mantenimiento es extremadamente sencillo, aconsejamos la limpieza de los retenedores con agua fría y jabón neutro.
El lugar más seguro para los retenedores se encuentra en la boca. En el momento en qué se extraen de la boca deberemos guardarlos siempre en la caja destinada a ello.
Estos son algunos consejos para el cuidado de los retenedores removibles:
- Limpieza diaria: Cepilla la superficie del retenedor con un cepillo de dientes suaves y agua tibia. Evita usar pasta dental, ya que algunos ingredientes pueden dañar el material del retenedor. En su lugar, puedes utilizar jabón suave neutro o una solución de limpieza recomendada por tu ortodoncista.
- Remojo regular: Remoja los aparatos de retención en una solución de limpieza adecuada para eliminar las bacterias y mantener los retenedores frescos y libres de olores desagradables.
- Evita el calor: No expongas los retenedores a temperaturas altas, como el agua caliente o la luz solar directa. El calor puede deformar los materiales de los retenedores y comprometer su ajuste y efectividad.
Para un retenedor fijo, las revisiones periódicas con su dentista son especialmente necesarias para buscar caries y mantener las zonas alrededor de los dientes libres de sarro y placa.
Solo porque usted o su hijo tengan ortodoncia no significa que deberá desatender o descuidar el cuidado bucodental. Por otro lado, invirtió una pequeña fortuna en una sonrisa que no se mantendrá a menos que haga todo lo que pueda para protegerla.
Sus dientes seguirán envejeciendo al igual que usted, lo que significa que tendrá que cepillarlos al menos dos veces al día, y utilizar hilo dental a diario (algo que la ortodoncia dificulta en gran medida).
Ventajas de los retenedores dentales
- Comodidad: Están diseñados para ser cómodos de usar y no causar irritación en las encías o las mejillas.
- Durabilidad: Están hechos de materiales de alta calidad y resistentes a la rotura o el desgaste.
- Fácil de limpiar y mantener: Ayudando a prevenir la acumulación de placa y la aparición de caries.
- Discretos: Los retenedores prácticamente no se notan en la boca, lo que los hace ideales para adultos y adolescentes.

Tabla resumen del uso de retenedores
| Fase | Tiempo | Uso |
|---|---|---|
| Inicial | 0-6 meses | Tiempo completo (22 horas al día) |
| Nocturna intensiva | Hasta 1 año | Solo por las noches |
| Mantenimiento a largo plazo | De 1-2 años en adelante | Nocturno, con menor frecuencia según el caso |
En el transcurso de un tratamiento de ortodoncia, el especialista colocará retenedores para evitar que los dientes se muevan hacia su posición anterior. Tras el tratamiento de ortodoncia, los dientes también quedan en una posición inestable.
Estos tejidos necesitarán tiempo para reorganizarse una vez finaliza el tratamiento ortodóntico, y los retenedores dentales ayudan a esta reorganización gingival y periodontal.
Esto es porque los tejidos blandos, que todavía no se encuentran reorganizados, producen una constante tendencia a volver a la posición inicial.