Los tratamientos de ortodoncia han evolucionado enormemente, y una de las preguntas más comunes entre los pacientes es cuánto se mueven los dientes por mes. En la Clínica Dra. Isabel Perales en Vigo, comprendemos la importancia de obtener resultados visibles y deseables lo antes posible.
Es importante tener en cuenta que el proceso de movimiento dental es gradual y requiere tiempo. Los brackets o alineadores dentales aplican una presión constante sobre los dientes, lo que estimula la remodelación ósea y permite que se desplacen hacia su posición correcta.

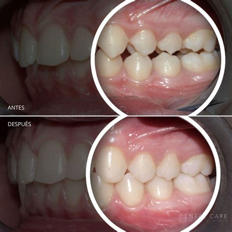
A medida que avanza en su tratamiento de ortodoncia, comenzará a notar cambios más evidentes en la alineación y posición de tus dientes. Puede que observe que ciertos dientes se han desplazado hacia su lugar correcto, lo cual es un signo positivo de progreso.
Factores que influyen en el movimiento dental
La velocidad y la distancia del movimiento dental dependen de varios factores, como la edad del paciente, el tipo de tratamiento y la respuesta del cuerpo al movimiento controlado de los dientes. Cada paciente responde de manera diferente a la ortodoncia. Factores como la genética, la salud ósea y la constancia en el uso de aparatos influyen en la velocidad de movimiento dental.
Edad del paciente
La edad es un factor clave en el movimiento dental. Los adolescentes y adultos jóvenes suelen experimentar un movimiento más rápido, ya que su densidad ósea es menor y el hueso responde de manera más efectiva a la presión.
Tipo de ortodoncia
El tipo de ortodoncia también influye en la velocidad de movimiento. Los brackets tradicionales aplican una presión continua que, en promedio, resulta en un movimiento estable de hasta 1 milímetro por mes.
Respuesta individual al tratamiento
Es importante tener en cuenta que el tiempo necesario para lograr los resultados deseados varía según cada caso. Algunas personas pueden ver cambios más rápidamente, mientras que otras pueden requerir un poco más de tiempo.

Velocidad promedio del movimiento dental
En promedio, los dientes pueden moverse entre 0,8 y 1 milímetro por mes. Sin embargo, este rango puede variar en función del paciente y de los factores individuales.
Duración total del tratamiento
En promedio, un tratamiento de ortodoncia tiene una duración de 12 a 24 meses, aunque puede variar según el caso individual. En casos de complejidad menor, el tratamiento podría completarse en menos tiempo, mientras que en casos complejos puede extenderse hasta 36 meses.
😰¿TE PREOCUPA cuanto TIEMPO se usan los BRACKETS? Así es como se MUEVEN LOS DIENTES con los Brackets
Colocación de los brackets: Proceso y duración
Una de las preguntas más frecuentes de mis pacientes es “¿cuánto se tarda en poner brackets?”, y entiendo que saber esto te dará tranquilidad y te ayudará a prepararte mejor.
Entonces, ¿cuánto tarda realmente poner los brackets en tus dientes? Por experiencia te digo que la cita de colocación suele durar entre 1 y 2 horas aproximadamente.
Tipos de brackets y tiempo de colocación
Brackets tradicionales (metálicos, cerámicos, zafiro): Por lo general, colocar la aparatología completa (es decir, los brackets en la arcada superior e inferior) lleva alrededor de una hora u hora y media.
Algunos ortodoncistas, yo incluido a veces, preferimos dividir el procedimiento en dos citas - primero colocamos los brackets en los dientes de arriba y en otra cita los de abajo (o viceversa). Cada sesión podría rondar los 30-45 minutos. Hacerlo en dos etapas puede ser más cómodo para ti, porque mantienes la boca abierta menos tiempo seguido y te adaptas poco a poco.
Técnicas de cementado y su influencia en el tiempo
El tiempo también depende de la técnica con la que coloquemos los brackets. Con el cementado directo, vamos pegando bracket por bracket directamente en cada diente. Esto requiere precisión en cada colocación y suele tomar al menos 30 minutos por arcada.
Por otro lado, con el cementado indirecto, podemos agilizar el proceso: primero preparamos una plantilla o molde con tus dientes en el laboratorio y colocamos los brackets en el molde; luego, en tu cita, transferimos todos los brackets a tus dientes de una vez usando esa férula. Así, pegar cada arcada puede tomar solo 15-20 minutos, reduciendo el tiempo total a aproximadamente 1 hora para todos los dientes.
¿Duele poner los brackets?
Durante la cita, no sentirás dolor: algo que tranquiliza saber es que poner los brackets no duele. Te lo prometo. Te puede cansar un poquito tener la boca abierta un rato y los pasos pueden ser algo incómodos (por ejemplo, mantener los dientes secos, sentir sabores de los adhesivos), pero no es un procedimiento doloroso ni necesitas anestesia.

Proceso paso a paso de la colocación de brackets
A continuación te detallo cómo es todo el proceso, paso por paso, para que vengas preparado/a y sin sorpresas.
- Preparación previa de tu caso: Antes del día de colocar los brackets ya habremos realizado varias cosas importantes. Te habremos hecho un estudio ortodóncico completo: radiografías de tus dientes, fotografías, moldes o escáner 3D de tu boca, y un plan de tratamiento personalizado. También es esencial que tengas la boca sana: si tenías caries, limpiezas pendientes u otros tratamientos, se habrán hecho antes.
- Limpieza e aislamiento: Ya en el día de colocar brackets, empezamos por una limpieza y secado de tus dientes. Aunque vengas con buena higiene, repaso la superficie de cada diente donde irá un bracket, removiendo cualquier residuo o placa. Después, aislamos tus dientes de la saliva: colocaremos un separador de labios o unas pequeñas almohadillas de algodón para mantener todo seco.
- Grabado y adhesivo: Aplico un gel especial en cada diente (se llama grabador ácido suave) por unos segundos y luego lo enjuagamos y secamos. Esto deja la superficie del diente preparada (un poco áspera microscópicamente) para que el adhesivo ortodóntico se fije mejor.
- Colocación de los brackets uno a uno: Con mucho cuidado y ayudándome de unas pinzas especiales, coloco cada bracket sobre tu diente en la posición exacta que necesito. Los brackets son esas “piecitas” cuadradas (pueden ser de metal, porcelana, etc.) que actúan como soportes. Los ubico justo en el centro de cada diente y alineados según el plan. Este paso es minucioso: dedico tiempo a asegurar que cada bracket esté bien posicionado, porque de eso depende que los dientes se muevan correctamente. No te extrañe si me ves moverlo ligeramente antes de fijarlo, ¡milimétricamente importa!
- Colocación del arco y ligaduras: Cuando ya todos los brackets están pegados en tus dientes, coloco el arco metálico que los conecta. El arco es ese alambre largo que va pasando por cada bracket. Lo inserto en cada bracket y lo aseguro con ligaduras. Las ligaduras pueden ser elásticos pequeños (gomitas) de colores o transparentes que hacen de “amarres”, o un clip metálico si tus brackets son autoligables. Aquí es donde puedes elegir el color de las gomitas si tienes brackets convencionales ¡un toque divertido del proceso!.
- Revisión final y recomendaciones: ¡Listo, tienes tus brackets puestos! Antes de que te mires al espejo, reviso que todo esté correctamente pegado y alineado. Te doy un espejo para que veas cómo ha quedado tu nueva “sonrisa metálica”. Luego dedicaremos unos minutos a las instrucciones y consejos importantes: cómo cepillarte con brackets, alimentos que debes evitar al principio (y siempre masticar con cuidado ciertos alimentos), cómo usar la cera ortodóntica si alguna pieza te roza al inicio, etc. También agendaremos tu próxima cita de ajuste (generalmente cada 4 a 6 semanas).
Molestias después de la colocación
Te gustará saber que ponerse los brackets no duele nada en el momento, pero es cierto que unas horas después de la cita puedes empezar a sentir algunas molestias.
- Molestias los primeros días: Pasadas unas 2-3 horas tras la colocación, es frecuente sentir los dientes sensibles o adoloridos. Puede ser una sensación de presión o tensión en toda la boca, e incluso un leve dolor de cabeza o de encías. Cada persona lo experimenta distinto: algunos apenas notan una presión leve al morder, otros sienten más sensibilidad. Por suerte, este malestar inicial dura poco, típicamente 2 a 5 días máximo.
- Rozaduras y llagas: Otra molestia común al estrenar brackets es que los interiores de tus labios o mejillas pueden rozar contra los brackets, provocando pequeñas irritaciones o aftas (llagas). La boca se acostumbra normalmente en una o dos semanas, formando “callito” interno. Mientras tanto, te recomiendo usar cera de ortodoncia: es una cera especial que te daremos, para colocar bolitas sobre el bracket o alambre que moleste, creando una superficie lisa que protege la mucosa.
¿Debo tomar algún analgésico?
Si el primer día la presión en dientes te resulta molesta para comer o dormir, puedes tomar un analgésico suave que normalmente uses (por ejemplo ibuprofeno o paracetamol, siempre que no tengas contraindicación médica). Muchos pacientes ni lo necesitan, pero tenlo a mano “por si acaso”. La buena noticia es que estas molestias iniciales son temporales y tolerables.
Consejos para antes y después de la colocación
Quiero que afrontes tu tratamiento con ortodoncia con la mejor preparación posible.
Antes de la colocación:
- Boca sana y limpia: Asegúrate de haber seguido las indicaciones previas: hacerte una limpieza dental profesional si tu ortodoncista lo recomendó, y tratar caries u otros procedimientos necesarios. Colocar brackets sobre dientes limpios y sanos es fundamental para el éxito.
- Come algo antes: La cita puede durar un par de horas, y después es posible que tus dientes estén sensibles para masticar cosas duras. Te sugiero comer una comida ligera pero sustanciosa antes de la consulta, para no salir con hambre.
- Relájate y duerme bien: Parece obvio, pero venir descansado/a y sin estrés ayuda. Ponerse brackets es un procedimiento rutinario para nosotros los ortodoncistas; estás en buenas manos. Si te sientes ansioso, coméntamelo: a veces explicar cada paso y saber qué estamos haciendo ayuda a reducir la ansiedad. Algunos pacientes encuentran útil practicar respiración profunda o escuchar música durante la cita.
- Pregunta lo que quieras: Aprovecha antes de la colocación para aclarar dudas con tu ortodoncista. Por ejemplo, ¿necesitarás algún aparato auxiliar? ¿Cuántas revisiones estimadas habrá?
Después de la colocación:
- Alimentación blanda al principio: Estrenar brackets implica ajustar tu forma de comer. Los primeros 2 o 3 días, mientras tus dientes están más sensibles, opta por alimentos blandos y fáciles de masticar: sopas, purés, yogures, pasta suave, tortillas, pescado, plátano maduro, etc. Evita cosas muy duras (zanahorias crudas, frutos secos) o pegajosas (chicles, caramelos) porque, aparte de la molestia, podrían despegar un bracket recién puesto. No te preocupes, ¡no pasarás hambre! Hay muchas opciones ricas y blanditas.
- Higiene meticulosa: Desde la primera noche con brackets, debes ser muy cuidadoso/a con tu higiene oral. Cepilla tus dientes después de cada comida sin excepción, usando un cepillo especial para ortodoncia (o uno de cerdas suaves, pero alcanzando bien entre brackets). Te enseñaremos la técnica: es un poco más lenta al inicio, pero pronto será rutina. Complementa con hilo dental (con un enhebrador o usando irrigador de agua dental si te es más fácil). Esto previene caries y encías inflamadas durante el tratamiento.
- Cuida tus labios y encías: Si notas tus labios resecos por mantener la boca abierta en la cita, aplícate bálsamo hidratante.
- Sigue las instrucciones y revisiones: Te daremos una lista de “do’s and don’ts” (qué hacer y qué no hacer) con brackets. Por ejemplo, no morder directamente alimentos duros con los incisivos (corta la manzana en gajos en vez de darle el mordisco, etc.), no masticar hielo, no abrir objetos con la boca (¡eso nunca!). Es importante seguir estas recomendaciones para evitar accidentes con tus aparatos. Además, asiste puntualmente a tus citas de ajuste; generalmente serán mensuales. En cada revisión activaremos el arco o cambiaremos ligas para que tus dientes sigan moviéndose según el plan.
- Ten paciencia y actitud positiva: Los primeros días pueden ser los más incómodos, pero ¡prometo que vale la pena! Cada hora que pasa estás más cerca de la sonrisa que deseas. Trata de mantener una actitud positiva; decorara tus brackets con colores divertidos, piensa en el resultado final y en que no estarás con brackets para siempre. Millones de personas han pasado por esto y se acostumbran rápidamente.
Duración total del tratamiento con brackets
Hemos hablado del día uno (colocar los brackets), pero seguramente también te preguntas cuánto tiempo tendrás que llevar los brackets puestos en total, es decir, la duración completa del tratamiento de ortodoncia.
En promedio, la mayoría de tratamientos con brackets tradicionales dura entre 1 y 3 años.
- Casos leves: si solo corregimos un apiñamiento ligero o un diente mal posicionado, podríamos terminar en 6 a 12 meses.
- Casos moderados: la mayoría de pacientes encaja aquí. Problemas de alineación y mordida moderados suelen tardar alrededor de 18 a 24 meses (entre 1.5 y 2 años) en resolverse completamente.
- Casos severos: cuando hay grandes discrepancias (dientes muy torcidos, mordidas abiertas, sobremordidas severas, necesidad de extracciones, etc.), el tratamiento puede extenderse a 30 o 36 meses, incluso hasta 3 años en algunos adultos.

Factores que influyen en la duración
La edad (en adolescentes los dientes suelen moverse más rápido que en adultos), la densidad ósea de cada persona, la colaboración del paciente (por ejemplo, si debe usar elásticos intermaxilares y lo hace juiciosamente, el tratamiento avanza según lo planeado; si no, puede retrasarse). También el tipo de brackets: aunque parezca sorprendente, a veces los brackets metálicos tradicionales logran ciertos movimientos más rápido que los sistemas estéticos o alineadores en casos complejos.
Como ortodoncista, en tu primera consulta te daré una estimación personalizada de duración. Después de estudiar tus radiografías y modelos, puedo decirte por ejemplo: “Estimo que necesitarás brackets durante unos ~24 meses”.
¿Cuánto se tarda en quitar los brackets?
Mucho menos que en ponerlos. Utilizamos unas pinzas especiales para despegar los brackets de tus dientes; hacen “¡clic!” y salen en segundos. No duele, de nuevo quizás sientes presión pero nada agudo. Luego pasamos una fresa suave para remover el pegamento residual de los dientes y pulir el esmalte.
Etapa de retención
Cuando te quites los brackets, tus dientes estarán derechos y maravillosos, pero el trabajo no termina del todo: viene la etapa de retención. Siempre les recalco a mis pacientes la importancia de usar el retenedor según las instrucciones, porque los dientes tienen memoria y tienden a moverse un poquito tras liberar la presión.
Un retenedor (ya sea un alambre fijo pegado por detrás de los dientes, o placas transparentes tipo guardas nocturnas) mantendrá tus dientes en su lugar perfecto mientras el hueso y encías se adaptan a la nueva posición. ¡No querrás que esos dientes tan bien alineados se muevan de nuevo!
Movilidad dental tras ortodoncia
La movilidad dental tras ortodoncia es algo completamente normal, y no supone que el tratamiento no haya sido efectivo. Tras un tratamiento de ortodoncia, los dientes se encuentran en una posición nueva que requiere tiempo para estabilizarse.
¿Por qué ocurre?
La ortodoncia ejerce fuerzas controladas para desplazar los dientes a su posición ideal. Este movimiento implica una remodelación del hueso alveolar y los tejidos periodontales que sostienen las piezas dentales.
¿Qué hacer?
- Los retenedores dentales son dispositivos diseñados para mantener los dientes en su posición final tras la ortodoncia. El retenedor es esencial para evitar que los dientes vuelvan a su posición original.
- Mantener una buena higiene bucal es clave para prevenir enfermedades periodontales.
- Evitar el bruxismo, morder objetos o utilizar los dientes para abrir envases son conductas que pueden incrementar la movilidad dental.

La movilidad dental tras la ortodoncia es un proceso común. Sin embargo, un seguimiento adecuado, el uso correcto de los retenedores y una buena higiene bucal pueden frenar esta movilidad de manera eficaz y garantizar el éxito del tratamiento.
El proceso de mover un diente
Mover un diente no es tarea sencilla y, sin embargo, gracias a estos procedimientos es posible alinear la dentadura, corregir la mordida y tener una sonrisa perfecta. El éxito de los resultados merece la espera.
¿Cómo se consigue mover un diente?
Empleando el mismo sistema por el que se han desplazado de forma autónoma de su posición: las fuerzas prolongadas. Así como en ocasiones esta presión es ejercida por el resto de los dientes, cuando se recurre a la fuerza controlada el peso del trabajo recae sobre las ortodoncias.
Para que se produzca este desplazamiento, el hueso alrededor del diente atraviesa un proceso de adaptación, reabsorción y remodelado:
- Fase de adaptación: a medida que el diente se mueve las fibras que unen este con el hueso se estiran.
- Fase de reabsorción: desaparece parte del hueso en la dirección de desplazamiento del diente.
- Fase de remodelación: el hueco que deja a su paso el diente desplazado se va rellenado con nuevo hueso.
Al final del proceso el diente desplazado habrá quedado perfectamente encajado en la posición planificada, con la suficiente firmeza para garantizar la masticación cómoda y segura.
5 claves del éxito de una ortodoncia
Factores que influyen en el movimiento y la rotación de los dientes durante un tratamiento con ortodoncia:
- Edad del paciente. La ortodoncia en adultos exige unas consideraciones especiales ya que los dientes no se desplazan con tanta facilidad como en etapas anteriores.
- Condiciones periodontales. El estado óseo y radicular de la boca del paciente podría comprometer los resultados si no se realiza una valoración adecuada.
- Adhesión al tratamiento. Los brackets son ortodoncias fijas, pero en el caso de las removibles como la ortodoncia invisible, hará falta al menos un uso de 22 h al día para que el tratamiento dé buenos resultados. El compromiso del paciente es fundamental en el éxito de cualquier tratamiento con aparatos dentales.
- Aspectos biomecánicos. El movimiento dentario debe programarse conforme a las particularidades de la boca de cada paciente. Esto implica un ajuste de las fuerzas ortodóncicas de acuerdo a la carga que puede resistir el periodonto.
- Etapa postratamiento. Una vez que el especialista decide la retirada de la ortodoncia hay que pensar en el largo plazo. Sin las pautas adecuadas los dientes volverán a desplazarse con el paso del tiempo. La contención en la posición correcta se puede obtener mediante el empleo de retenedores que proporcionen estabilidad y consolidación a la nueva morfología de la dentadura.
La importancia de la precisión, seguridad y comodidad
Mover un diente es un trabajo medido al milímetro. El espacio en la boca es limitado y cada pieza debe encajar a la perfección en el lugar correcto, por lo que hay que avanzar poco a poco.

Duración visible de los resultados
En los casos menos exigentes, los efectos de una ortodoncia con brackets empiezan a ser visibles a partir del tercer mes. Por su parte, la avanzada tecnología que se emplea en la ortodoncia invisible permite hacer simulaciones de la evolución paso a paso hasta el final del tratamiento, de manera que el paciente puede ver los resultados antes incluso de iniciar el proceso.