Las carillas dentales son unas finas láminas que se adhieren a la cara visible del diente para mejorar su aspecto estético. Estas láminas están diseñadas para cubrir imperfecciones y crear una sonrisa más brillante y atractiva.

Con las carillas podemos:
- Cambiar el color de la sonrisa
- Alterar la forma dental
- Modificar el tamaño de los dientes
- Cerrar espacios entre piezas dentales (diastemas)
- Reparar pequeñas fracturas
- Corregir desgastes
- Alinear ligeras malposiciones dentarias
Las carillas dentales permiten solucionar las pequeñas imperfecciones que afectan al color, la forma, el tamaño y la posición de tus dientes, contribuyendo a una sonrisa más saludable, juvenil y armónica.
Tipos de Carillas Dentales
Existen distintos tipos de carillas dentales disponibles, para que puedas elegir la opción adecuada según tus necesidades y preferencias. Los dos tipos de tratamientos persiguen el mismo objetivo: mejorar la estética de la sonrisa.
Existen diferentes tipos de carillas dentales en función del material y la técnica empleados en su confección. Cada una de ellas tiene sus ventajas, y la elección dependerá del caso concreto y las necesidades del paciente.
Carillas de Composite
Las carillas dentales de composite están fabricadas en una resina sintética denominada composite, como cita su nombre. Estas carillas sí requieren la preparación del diente, por lo que son permanentes.
Una de las ventajas de las carillas de composite es que se realiza en una única sesión en la consulta odontológica. Además, no suele ser necesario desgastar apenas el esmalte dental, por lo que es un tratamiento muy conservador.
En cambio, las propiedades estéticas y la durabilidad de este material son inferiores a la porcelana. Este tipo de carillas se desgastan más fácilmente y son más propensas a mancharse, por lo que es conveniente pulirlas o reemplazarlas cada cierto tiempo.
Su sustitución es sencilla y tienen la ventaja de que son más económicas que las carillas de porcelana. Las principales ventajas de las carillas de composite son su proceso de colocación sencillo, que no requieren tallar los dientes y su precio.
El composite se aplica directamente sobre el diente, normalmente en una única sesión. Son más económicas que las carillas de porcelana o disilicato de litio, pero también suelen durar menos tiempo.

Carillas de Porcelana o Cerámica
Como característica de las carillas de porcelana es que proporcionan una altísima durabilidad y resistencia. Ofrecen unos resultados muy naturales y apenas son perceptibles, algo que nuestros pacientes aprecian considerablemente.
Con las carillas de porcelana conseguimos más estética. Con este material logramos resultados muy similares al diente natural. Hace años, para realizar carillas de porcelana era necesario realizar un tallado mayor de la pieza dental que para la colocación de carillas de composite.
Sin embargo, en la actualidad, gracias a los nuevos materiales que han ido surgiendo, no es prácticamente necesario desgastar el esmalte dental. Otra ventaja de este tratamiento es que poseer una duración mayor que las de composite, ya que la porcelana presenta una gran resistencia a la masticación.
Además, su superficie lisa, poco porosa y brillante dificulta el cambio de color con el paso de los años. Por lo tanto, a pesar de que las carillas de porcelana son más caras económicamente, perduran más en el tiempo que las de resina o composite.
Si son las tradicionales, tienen un grosor de 0,5 mm aproximado y para su colocación se requiere la preparación del diente. La carilla de cerámica está hecha de cerámica o porcelana (que es lo mismo) y por lo tanto es un material tipo mineral o piedra tipo cuarzo, y se asemeja muchísimo a la estructura cristalina del diente.
De hecho, las carillas de cerámica son como si fueran un cristal o una piedra que adherimos al diente, y muchas de las propiedades ópticas de las carillas de cerámica son las mismas o parecidas a la de los dientes: tienen transparencias, translucideces, son muy duras y muy resistentes a la compresión.
Otra ventaja muy importante es que las carillas de cerámica no requieren ningún tipo de mantenimiento extra que las propias limpiezas periódicas que realiza el paciente en la clínica dental. La estabilidad del color y del brillo de su superficie no cambian ni se deterioran con el paso del tiempo.
Las carillas de cerámica las realiza el “ceramista” en el laboratorio. Para que la cerámica tenga las propiedades idóneas de dureza y resistencia debe tener un grosor adecuado.
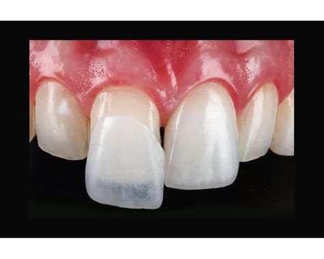
Para adherir la carilla es muy importante preparar bien el diente con un pulido donde se le da una forma uniforme y lo más importante, se hace un pequeño escalón o margen a nivel de la encía para que la línea de transición entre diente y carilla sea imperceptible i no haya un GAP que pueda, a la larga, inflamar las encías.

Carillas tipo “lentes de contacto”
Se llaman así porque son carillas de porcelana muy finas, por lo cual no es necesario realizar ningún tallado dental (odontología mínimamente invasiva), únicamente un ligero contorneado o pulido para posteriormente adherir dichas carillas al esmalte.
Generalmente se utilizan dos clases de porcelana para realizar este tipo de carillas: disilicato de litio o porcelana feldespática. A pesar del poco grosor que presentan, poseen mucha resistencia. La ventaja que tienen estos materiales es que son muy translucidos, reflejan la luz, por lo que conseguimos un resultado muy similar al propio diente.
Carillas de Zirconio
Opción de alta gama para aquellos que buscan la máxima estética y resistencia. El zirconio es un material cerámico extremadamente duradero y translúcido, que imita la apariencia de los dientes naturales de manera excepcional. Estas carillas son altamente resistentes a las manchas y ofrecen resultados duraderos.
Aunque es un material muy resistente, su grosor es mayor y son más opacas que las anteriores. Por estas características, sólo se utilizan cuando necesitamos modificar notablemente el color dental. Este material se utiliza más para realizar coronas que para carillas dentales.
Carillas Dentales de Porcelana Versus Carillas de Composite
Es muy importante informar al paciente desde un primer momento las diferencias que existen entre las carillas dentales de porcelana y las de composite a la hora de elegir el tratamiento más adecuado para su caso.
MATERIAL: las carillas dentales de porcelana se fabrican en dos tipos de cerámica pura, es decir, sin ningún tipo de metal, como el feldespato y el disilicato de litio.
PROCESO DE FABRICACION: las carillas de composite, como ya lo indicamos ante, se confección directamente sobre la cara frontal del diente, aplicando capa por capa del material resinoso, de manera artesanal, hasta conseguir la forma, color y textura adecuadas.
Las carillas dentales de porcelana precisan una preparación previa de la superficie del diente, que consiste en un mínimo pulido del esmalte de la pieza dental que permitirá una mayor adhesión de la carilla al diente.
DURACIÓN Y CUIDADO DE LAS CARILLAS DENTALES: las carillas dentales de composite tienen una duración estimada de 3 a 5 años dependiendo en gran medida de los hábitos saludables del paciente.
El composite al ser un material poroso, con el paso del tiempo sufre alteraciones con respecto al color perdiendo su brillo y luminosidad del primer día. Estas carillas necesitan un cuidado mayor por parte del paciente, en cuanto al consumo de alimentos o sustancias que provoquen una coloración en la restauración dental, como el vino, el café o té y el tabaco.
Las carillas dentales de porcelana, por el contrario, tienen una mayor duración, llegando a durar unos 15 a 20 años. No requieren ningún tipo de mantenimiento más que la revisión anual de rutina, y al ser un material más resistente y sin poros no necesitan ningún tipo de pulido manteniendo durante toda su vida útil el mismo brillo original.
COSTE DE LAS CARILLAS: sin lugar a dudas, el material marca una gran diferencia en el precio de las carillas dentales, ya que las de porcelana, al ser un material más resistentes, con mayor durabilidad y con resultados altamente estéticos, son más costosas que las carillas dentales de composite.
Otra diferencia importante, es que las carillas de composite son reversibles, esto significa que por el motivo que sea, se pueden despegar sin que el diente sufra ningún tipo de modificación.
Para entenderlo de una forma sencilla, las carillas de cerámica podrían compararse con las uñas postizas, ya que cubren sólo la parte exterior del diente.
En una visita a nuestra consulta dental , el odontólogo comprobará que no sea necesario realizar ningún otro tratamiento previo y valorará varios parámetros, como por ejemplo el color o la posición de los dientes, para la elección del tipo de carilla.
Es importante señalar que las carillas dentales no sustituyen la realización de otro tipo de tratamientos como la ortodoncia y se deben realizar cuando la boca está saneada, es decir, sin caries ni inflamación de encías.
Si los dientes tienen un color oscuro, seguramente será recomendable hacer un tratamiento de blanqueamiento previo a la colocación de las carillas. Además, el odontólogo elegirá el tipo de carilla según el color de las piezas dentales y la tonalidad final que se quiera conseguir.
También dependiendo de la posición que tengan las piezas dentales en la arcada, puede ser necesario realizar un tratamiento de ortodoncia.
Las carillas dentales se recomiendan en casos que el paciente quiera CAMBIAR una o varias de estas opciones a la vez:
- El color de los dientes (se logra blanquear la sonrisa consiguiendo un color uniforme)
- La forma o tamaño de los dientes (se rectifican imperfecciones)
- Eliminar el desgaste dental (típico en pacientes que aprietan los dientes)
- Corregir pequeñas desalineaciones dentales sin ortodoncia (o después de la ortodoncia)
- Realizar un Diseño de Sonrisa (donde combinamos todos los parámetros)
Carillas dentales de composite vs carillas de porcelana (2/3)
En todos los casos es imprescindible realizar una PRIMERA VISITA para asegurarnos que el paciente es candidato a poder realizarse el tratamiento de carillas: hay que descartar que antes no haya caries, confirmar la salud de las encías, asegurarse que no tenga hipersensibilidad dentinaria, que no haya molestias articulares al mover la mandíbula…y muy importante, ver qué tipo de mordida tiene el paciente.
Los pacientes que tienen mordidas traumáticas o lesivas, y también los pacientes que aprietan los dientes, desgastan más sus dientes de lo habitual.
El tratamiento de carillas es un tratamiento ESTÉTICO, y como tal, hay que asegurarse que el paciente quedará contento. Para eso, antes de empezar, el dentista debe entender qué es lo que el paciente quiere cambiar y comprobar y explicar qué cambios son asequibles y cuáles no.
Es muy importante interpretar bien las exigencias del paciente y modular bien sus expectativas para que el resultado final sea el esperado.
Antes de empezar con las carillas, es muy importante que el dentista haga un ESTUDIO FOTOGRÁFICO adecuado y un análisis de la sonrisa (SMILE DESIGN). ¿Cuál es la diferencia? En los estudios in vitro, se ha demostrado que un diente natural tiene una dureza o resistencia que aumenta en cuanto se le adhiere una carilla de cerámica.
De forma parecida, un diente con una carilla adherida es muchísimo más fuerte que un diente sólo.
Tabla comparativa de carillas de cerámica vs. composite:
| Característica | Carillas de Cerámica | Carillas de Composite |
|---|---|---|
| Tipo de material | Cerámica, porcelana, material tipo mineral | Composite, empaste, resina, material tipo plástico |
| Dureza y Resistencia | Muy duras | Más frágiles |
| Estética | Más parecidas a un diente natural: color, translucidez, textura superficial | Bonitas, pero no tienen las mismas propiedades ópticas que un diente natural |
| Presupuesto | Más caras | Más económicas |
| Trabajo | Las realiza el laboratorio dental | Las realiza el dentista. (En algunos casos, también las puede realizar el laboratorio dental.) |
| Mantenimiento | Igual que un diente natural. No se tiñen ni con el vino, tabaco, ni cambian de color…Con el tiempo no “envejecen” ni se deterioran | Con el tiempo pueden acumular tinciones y hay que pulirlas. Si aparece alguna pequeña fractura el mismo dentista puede repararla fácilmente |
| Grosor Mínimo | Grosor mínimo entre 0’5-1mm. | La resina no necesita un grosor mínimo para trabajarse. |
Muchos pacientes piden “MICROCARILLAS”, cuando lo que realmente quieren decir es que no quieren que se les talle o pula el diente ya que no quieren lastimarlo. Entonces, entendemos que hay un poco de confusión en internet respecto al término “MICROCARILLAS” y “CARILLAS SIN TALLADO”.
Las MICROCARILLAS realmente son trozos parciales de carillas que sirven para recubrir partes parciales del diente y no lo recubren en su totalidad. Entonces, sirven sólo para cambiar la forma o tapar o corregir un diastema… Las MICROCARILLAS nunca recubren toda la superficie externa del diente, sinó sólo un trocito, y por eso no sirven para cambiar el color o blanquear la sonrisa.
El paciente cuando habla de microcarillas piensa que pide “carillas sin tallado dental” porque entiende que son más conservadoras y no se daña ni debilita el diente.
Y un tema muy importante, sean las carillas de cerámica o de composite, es el grosor mínimo. El grosor de la cerámica ya hemos dicho que debería ser de al menos 0’5-0’8mm. En cambio, la resina no necesita un grosor mínimo para trabajarse.
Pero tanto en resina como en cerámica, si lo que queremos es un cambio de color (más blanco por ejemplo), necesitamos un grosor mínimo de material para “tapar” en color real del diente. Por eso, cuando se trabajan con grosores mínimos tanto en cerámica como en resina, muchas veces porque el paciente lo pide así, no hay tanto margen para cambiar el color de la sonrisa ya que con un grosor muy delgado se transparenta el color del diente original.
Con grosores muy delgados sólo se puede cambiar la forma o tamaño del diente, pero no tanto su color.
Hablando de grosores, otro tema muy importante es valorar el tipo de sonrisa del paciente. Si un paciente ya tiene unos dientes “muy salidos para afuera”, si adherimos carillas por encima de su diente, ¡se va a ver los dientes más saltones y más grandes todavía!
En cambio, una persona que tiene unos dientes más hundidos, si ponemos carillas por encima de sus dientes se verá una sonrisa más llena y más bonita.
Si un paciente tiene algún diente “muy salido” y quiere harmonizar su sonrisa y “meterlo entro del arco de sonrisa” hay 2 opciones: o tallar el diente o hacer ortodoncia previa a las carillas…
Por eso, a la hora de elegir el grosor de la carilla, o la preparación o pulido del diente, es muy importante que el dentista experto valore estos parámetros.
¿Cuáles elegir? Las carillas de cerámica son lo más parecidas a un diente natural, tanto a nivel de dureza, como a nivel de color y propiedades ópticas, como a nivel de textura superficial.
Si nos fijamos en los dientes naturales, aunque a la luz del flaix se ven blancos, todos tienen formas, coloraciones, translucideces y transparencias, pequeñas irregularidades y ondulaciones en su superficie que los hace únicos.
En caso que el paciente necesite más carillas en el resto de la boca, entonces elegimos la resina. Es una manera de economizar el presupuesto del paciente: si ponemos sólo cerámica el presupuesto se dispara.
Además, en caso de tener que cambiar la mordida del paciente, la resina tiene mejores propiedades en las superficies masticatorias de los dientes.
Las carillas de resina, al ser un material plástico, tienen propiedades de compresión, flexibilidad y amortiguación que hacen que el paciente se sienta mucho más cómodo cuando mastica. La cerámica, sobre todo en pacientes que aprietan los dientes o que tienen problemas en la articulación, puede resultar “demasiado dura” para una funcionalidad óptima.
La resina amortigua las fuerzas de la masticación, la cerámica en cambio es demasiado dura y no amortigua. Por ello, si tenemos que modificar la superficie de masticación de los dientes o cambiar la mordida elegimos la resina o composite.
Y finalmente, a todo paciente que se realiza carillas, es recomendable terminar el tratamiento realizando una FÉRULA DE DESCARGA.