En nuestras clínicas dentales cerca de Mota del Cuervo, contamos con un equipo de expertos y las últimas tecnologías para resolver todos los problemas de salud dentales. Trabajamos a diario con un equipo de profesionales altamente cualificados para conseguir los mejores resultados. Durante más de 13 años hemos cuidado la salud bucodental de nuestros pacientes con máxima entrega y dedicación.

Tratamientos Destacados
Implantes Dentales
Los implantes son uno de los tratamientos en los que nos especializamos. Cada implante está formado por una corona de porcelana que va unida a la mandíbula a través de un tornillo de titanio. Se puede realizar de manera individual o de la boca al completo.

-20% EN IMPLANTES DENTALES
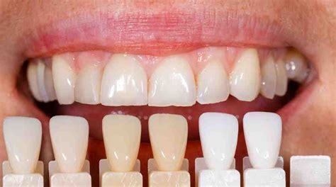
Carillas Dentales
Es de los tratamientos más reclamados a los dentistas. Con la tecnología de última generación de modelación 3D, se produce un boceto tridimensional de la boca y el rostro. Utilizando la modelación 3D, se recrea un perfil digital de la boca y el rostro que permite ver el resultado final antes de iniciar el tratamiento.
Carillas dentales en 1 solo día! - Estética dental.
-20% CARILLAS DENTALES ESTÉTICAS.

Prueba Pre - Colocacion carillas lumineers
Tratamiento de Caries
Es el método más utilizado para solventar los problemas de caries.
En la última publicación que hicimos os contábamos que la caries, ¡es la segunda enfermedad más común en España!

CARIES: CÓMO PREVENIRLAS O CÓMO TRATARLAS SI APARECEN
Tratamiento Periodontal
El tratamiento desinflamatorio periodontal consta de tres fases: curetaje, raspado y alisado radicular para mejorar la salud bucodental. Después de hacerte un estudio previo de las encías (periodontograma o sondaje periodontal), que se realiza para diagnosticar problemas como sangrado de encías, movilidad dental y el acúmulo excesivo de sarro, el periodoncista realizará un raspado y alisado radicular de las encías del cuadrante a tratar. Es, sin duda, el tratamiento más indicado para detener la periodontitis.
El curetaje dental consiste en el raspado y alisado radicular de las superficies de las raíces de los dientes realizado con unos instrumentos llamados curetas.

Prótesis Fija
-20% EN PRÓTESIS FIJA
Opiniones de Nuestros Pacientes
- "Tuve una emergencia porque se me fracturó un diente por un golpe, les llamé y me hicieron un hueco para ese mismo día sin dudarlo. El trato que recibí en la clínica fue un 10 y Espe una artista dejándome un diente perfecto. Muchas gracias por todo!"
- "Me encuentro muy agradecida y feliz, son el único grupo de profesionales que dieron una pronta solución a mi caso, muchas gracias de corazón 🙏"
- "Excelente grupo de profesionales, Don de gente, respecto ."
- "Todo muy bien, es mi clínica dental de hace años. Paula un 10!!! siempre muy amable y con una sonrisa."
- "En mi primer día en la clínica he recibido muy buen trato del todo el equipo. Muchas gracias."
Ubicación
Estamos a 28 minutos de Mota del Cuervo.
Puedes encontrarnos en: C/ Sara Montiel, Nº 6, 13610 Campo de Criptana, (C.
La Vida es Mejor ¡Cuando Sonríes!
Unos buscan sonrisas bonitas, !Otros las crean!

*Ten en cuenta que para un diagnostico completo son necesarias muchas pruebas que son presenciales pero te daremos la información con la mayor precisión posible.