En el mundo del espectáculo, la imagen es clave y los famosos españoles no son una excepción. Muchos han optado por mejorar su estética dental a través de diversos tratamientos, logrando transformaciones asombrosas en sus sonrisas.
Lucir una sonrisa perfecta es el deseo de muchas personas, incluyendo a los famosos. Para lograrlo, existen una variedad de tratamientos dentales disponibles que pueden transformar por completo la apariencia dental.

Una de las bocas más soñadas por los españoles es la de Paula Echevarría. Sin embargo, la belleza de esta actriz no está sólo en sus dientes, sino en toda su sonrisa, incluida la forma y apertura de sus labios, e incluso en la forma de sonreír.
Carillas dentales: todo lo que debes saber antes de ponértelas
Tratamientos Dentales Populares entre Famosos
A través de tratamientos dentales como carillas, blanqueamientos, ortodoncia invisible e implantes dentales, han logrado transformaciones asombrosas en su aspecto dental.
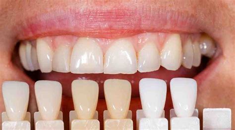
Carillas Dentales
Las carillas dentales son finas láminas de porcelana o composite que se adhieren a la superficie de los dientes para corregir defectos estéticos como el color, la forma o el tamaño.

Las carillas dentales en los famosos son muy comunes para lucir una sonrisa impecable y una perfecta alineación con un tratamiento mínimamente invasivo y muy rápido. Las carillas dentales tienen múltiples beneficios en cuanto a estética y salud y son muy fáciles de poner.
Una sonrisa blanca natural que, con sus proporciones y formas, se ajustan perfectamente al forma y tamaño del rostro, son el resultado de las carillas dentales. Este tratamiento se ha convertido en uno de los preferidos de los famosos y a continuación vamos a explicar por qué cada vez hay más famosos españoles con fundas dentales.
Beneficios de las Carillas Dentales:
- Corrigen alteraciones: Enmascaran dientes fracturados, leves deformaciones o alteraciones en la disposición dental.
- Mejoran el color: Permiten enmascarar manchas y el color amarillento, aportando brillo y translucidez.
- Solucionan problemas leves: Alternativa a la ortodoncia en casos de oclusión leve o separación entre dientes.
Blanqueamiento Dental
El blanqueamiento dental es un procedimiento no invasivo que ayuda a eliminar manchas y decoloraciones en los dientes, devolviéndoles su brillo natural.

Ortodoncia Invisible (Invisalign)
La ortodoncia invisible, como el método revolucionario de Invisalign, es una alternativa discreta a los tradicionales brackets metálicos. A través de alineadores transparentes y removibles, este tratamiento permite corregir problemas de maloclusión dental, sin afectar la estética durante el proceso.

Implantes Dentales
Los implantes dentales son una solución duradera para reemplazar dientes perdidos. Consisten en la colocación de una raíz artificial de titanio en el hueso maxilar, sobre la cual se coloca una corona dental personalizada.

Famosos Españoles y sus Transformaciones Dentales
Penélope Cruz, George Clooney, Paula Echevarría, J Balvin, Miley Cyrus, y otros famosos han optado por mejorar su estética dental, mostrando resultados sorprendentes.

El rey Juan Carlos de España decidió someterse a un tratamiento con Invisalign para corregir pequeños problemas de alineación en su dentadura sin que fuera perceptible.
La reina Máxima de Holanda también ha sido una de las personalidades que ha utilizado Invisalign para mejorar su sonrisa. Este tratamiento de ortodoncia invisible le ha permitido corregir problemas dentales sin que se note en su apariencia.
La Importancia de una Sonrisa Saludable
Una sonrisa perfecta refleja una actitud positiva y abierta, haciendo que nos sintamos más atractivos y seguros de nosotros mismos. Esta autoconfianza hace que sonriamos más, por lo que indirectamente, hacemos a nuestra pareja más feliz, ya que cuando nos reímos liberamos endorfina, que es la hormona de la felicidad.
Una encuesta de Match.com desveló que el 71% de las mujeres y el 58% de los hombres consideran que es más importante que su pareja potencial tenga una sonrisa saludable a que vistan bien o tengan una buena melena.

Consejos para Mantener una Sonrisa Perfecta
Como famoso, es crucial cuidar de tu salud dental para mantener una sonrisa impecable y radiante:
- Realiza una buena higiene bucal en casa: Cepilla tus dientes al menos dos veces al día con una pasta dental de calidad.
- Visita regularmente a tu dentista: Programa citas regulares para limpiezas profesionales y revisiones dentales completas.
- Evita malos hábitos: Evita morder objetos duros que puedan dañar tus dientes.
- Adopta una alimentación saludable: Consume una dieta equilibrada, rica en vitaminas y minerales.
Recuerda que una buena salud dental te ayudará a mantener una sonrisa deslumbrante a lo largo del tiempo.
tags: #dentista #paula #echevarria