Las carillas dentales son una solución estética ideal para mejorar la apariencia de los dientes y cubrir cualquier imperfección. Te ayudan a lucir una sonrisa de 10 y cubrir cualquier desperfecto que tengas en los dientes.
En el mercado hay diferentes tipos de carillas dentales que un dentista especializado utiliza para cubrir los problemas dentales que tengas.
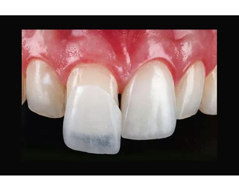
¿Conoces los TIPOS de CARILLAS DENTALES? ✨ El mejor tratamiento ESTÉTICO para tu sonrisa👄
Tipos de Carillas Dentales
Existen dos tipos principales de carillas dentales: carillas de cerámica o disilicato de litio y carillas de composite.
- Carillas de composite: Las carillas de composite, o de resina sintética, son una opción más económica que las de porcelana. En la clínica dental de Eugenia Cervantes, utilizan la técnica de carillas de composite sin tallar el diente para corregir la estética dental del paciente. En otras palabras, la técnica implica aplicar directamente una capa delgada de composite a la superficie del diente sin tallar ni eliminar el esmalte del diente. Una gran ventaja de este enfoque es que puede mejorar la estética de los dientes sin dañar su estructura. Esto significa que puesto que no hay tallado del diente, apenas hay sensibilidad postoperatoria y se minimiza el riesgo de daño al diente.
- Carillas de porcelana: Estas son carillas dentales mucho más profesionales y estéticas. Las carillas Emax están hechas de disilicato de litio, un material altamente estético y duradero. Las carillas de porcelana son conocidas por su durabilidad y apariencia natural. Las carillas de porcelana no se manchan ni se tiñen.
Estas carillas se confeccionan en el diente del paciente, por lo que facilitan su colocación. Y, aunque existan muchos profesionales que ofrecen carillas de composite baratas Madrid, hoy día se utilizan mucho más las de porcelana.

Ventajas de las Carillas Dentales
Las carillas dentales no solo cumplen una función estética, sino que también permiten corregir pequeñas alteraciones estructurales y funcionales de forma mínimamente invasiva. Gracias a su diseño individualizado, cada tratamiento se adapta a la sonrisa del paciente para conseguir un resultado natural, armónico y duradero. Además de mejorar la imagen, estas finas láminas devuelven seguridad y confianza al sonreír.
- Cero molestias: No sentirás incomodidad para comer o hablar, ya que las carillas son muy finas.
- No genera dolor: Por ser un procedimiento sencillo, no requiere de anestesia.
- Blanqueamiento más eficaz: Son la solución ideal para disimular manchas persistentes que no responden al aclarado dental, como las producidas por tetraciclinas, fluorosis o desgaste del esmalte. La cobertura estética consigue un color uniforme y estable con el paso del tiempo.
- Corrección de forma y tono dental: Permiten modificar contorno, proporciones y tonalidad de los dientes para lograr una sonrisa más equilibrada.
Proceso de Colocación de Carillas Dentales
El procedimiento para colocar carillas dentales se lleva a cabo en varias etapas clave que aseguran un ajuste perfecto y resultados estéticos duraderos.
- Primera visita: En la primera visita, el dentista evalúa el estado de tus dientes y escucha tus expectativas para determinar si las carillas son la mejor opción.
- Diseño Digital de la Sonrisa: Utilizando herramientas digitales, el dentista puede planificar y previsualizar el resultado final. En la segunda consulta se toma el molde de la boca para la confección de las carillas por el Instituto Oral Design de las Carillas Veneer Esthetic Plus.
- Ortodoncia (si es necesario): Si los dientes no están colocados en una posición óptima, hay que colocarlos bien para evitar tener que limar el diente demasiado y crear el espacio adecuado entre dientes. Normalmente esto se hará con un proceso de ortodoncia por un corto periodo de pocas semanas.
- Preparación de los dientes: Con los dientes preparados, se toman impresiones detalladas que serán enviadas al laboratorio para fabricar las carillas definitivas.
- Prueba y Adhesión: Una vez que las carillas definitivas están listas, el dentista las prueba para verificar el ajuste, el color y la forma. El último paso es la adhesión de las carillas con un cemento especial, endurecido con una luz especial.

Precio de las Carillas Dentales
En la Clínica Dental Dobleese, los precios de las carillas dentales varían según el tipo de material y la complejidad del tratamiento. Como habrás podido comprobar, en el precio de las carillas dentales influyen varios factores. Laboratorio o técnico protésico que realiza las carillas. Los resultados más naturales, las carillas más duraderas y las que consiguen los resultados más bonitos son realizadas en laboratorios donde los técnicos son artistas que consiguen imitar con mucha exactitud el aspecto de los dientes naturales, estos laboratorios siempre tienen costos más elevados.
En la Clínica Dental Dobleese, entendemos que el costo de las carillas dentales puede ser significativo. Por ello, ofrecemos opciones de financiación del tratamiento dental para facilitar su acceso.
Factores que Influyen en el Precio
- Tipo de material (composite o porcelana)
- Complejidad del tratamiento
- Laboratorio protésico
Costos Adicionales en Estética Dental
Pero, ¿cuánto cuestan los tratamientos de estética dental?
- Blanqueamiento dental combinado: Tiene una duración de un mes hasta completar el tratamiento, dividido en dos semanas llevando férulas con gel blanqueador en las horas de sueño, una sesión con lámpara en clínica y otras dos semanas de férulas.
- Microcarillas: Las microcarillas son finas láminas que permiten mejorar el aspecto de la sonrisa en cuanto a forma, tamaño y color. Se adhieren a la cara externa de las piezas que mostramos al sonreír y pueden ser de porcelana o de composite.
- Contorneado dental: Dentro de la Estética Dental, es posible realizar lo que conocemos como contorneado dental de los bordes incisales. Para saber el precio de limar los dientes es imprescindible una valoración previa, pues es posible que el especialista recomiende el pulido de dientes o un ajuste oclusal.
- Reconstrucciones: Las reconstrucciones se realizan para devolver la estética a dientes irregulares o que han sufrido una fractura, especialmente en aquellos que mostramos al sonreír.
- Coronas dentales: Las coronas dentales son prótesis fijas cuyo fin es devolver la estética a un diente previamente tallado, proteger una pieza con excesivo desgaste o colocarse sobre un implante dental.
- Ortodoncia Invisible: Gracias a los avances en tecnología y la técnica, es posible corregir cualquier maloclusión y desalineación dental a través de aparatos de ortodoncia invisibles que no se aprecian ni interfieren con la imagen del paciente. La ortodoncia sin brackets se basa en alineadores transparentes hechos a medida que se van cambiando cada dos semanas. Invisalign no implica ninguna restricción relacionada con la dieta y, al ser removibles, facilita la higiene diaria.
- Brackets transparentes: Los brackets transparentes más estéticos y que ofrecen mayores ventajas son los de cristal de zafiro. Además, gracias a la calidad de sus componentes, los brackets de zafiro no se oscurecen ni se tiñen, por lo que no se pierde estética durante el tiempo que dure la ortodoncia.
- Brackets linguales: Pero si no quieres que nadie sepa que llevas un aparato dental, la mejor opción para ti son los brackets linguales. En nuestro centro solo trabajamos con la marca Incognito por ser los únicos brackets invisibles confeccionados a medida para cada paciente.
- Gingivectomía e injerto de encía: Los tratamientos de estética no solo se centran en mejorar el aspecto de los dientes, sino también de las encías. Hay personas que muestran una excesiva cantidad de encía al sonreír y deciden someterse a una gingivectomía. Así obtenemos una sonrisa más proporcionada y armónica, ya que los dientes parecerán más largos y menos cuadrados. La cirugía plástica gingival o injerto de encía se realiza cuando parte de la encía se ha retraído, normalmente a causa de un cepillado excesivamente fuerte. El injerto consiste en extraer tejido de una zona blanda para cubrir la raíz del diente que ha quedado demasiado expuesta por la recesión de la encía.

Cuidados y Durabilidad de las Carillas
Con los cuidados adecuados, las carillas de porcelana pueden durar más de 15 años, mientras que las de composite tienen una vida útil más corta, de aproximadamente 5 a 7 años. Las carillas de porcelana son resistentes a las manchas, lo que significa que no se oscurecen con el café, el vino o el tabaco.
- Mantener una buena higiene oral: cepillado regular, uso de hilo dental y visitas periódicas al dentista.
- Las carillas no requieren un mantenimiento específico.
Preguntas Frecuentes
- ¿Es doloroso el tratamiento? El tratamiento de colocación de carillas es generalmente indoloro. En algunos casos puede ser necesario tallar ligeramente el esmalte dental, lo cual se realiza con anestesia local para evitar molestias.
- ¿Cómo se elige el tono de las carillas? Sí, el dentista te ayudará a elegir el tono adecuado para tus carillas, que debe armonizar con el color de tus dientes naturales.
- ¿Qué hacer si se despega una carilla? Aunque las carillas están diseñadas para durar muchos años, es posible que en raras ocasiones se despegue una.
Clínicas Dentales Destacadas
- Clínica Dental Dobleese: Clínica dental Sevilla y Dos Hermanas. Especialistas en implantes dentales y estética dental, garantizando en cada tratamiento una salud dental plena.
- Clínica Dental de Eugenia Cervantes: Ofrece el procedimiento con experiencia y precisión para lograr resultados estéticos increíbles.
- Clínica Dental Navarro: Solo tocamos mínimamente el diente donde vamos colocar la carilla para ajustar al máximo y no se note.
- Clínica dental medics del Dr. Ferrer: Localizada en el barrio de Chamberí en la Calle de Ramiro II, 10.
tags: #dentistas #especialistas #en #carillas