¿A quién no le gusta tener una sonrisa sana y visualmente atractiva? Para muchos, por diversas circunstancias, los dientes pueden adquirir un color grisáceo poco deseable. La primera pregunta que responderemos es, ¿por qué se ponen grises los dientes?
Lo cierto es que no hay una única respuesta, pues son varias las causas detrás de este síntoma. Para tener claridad sobre qué está provocando la aparición de manchas grises en los dientes, te recomendamos acudir a un especialista en estética dental.
Todo sobre el blanqueamiento dental y sus riesgos
Principales causas de los dientes grises
A continuación, exploraremos las principales causas que pueden llevar a que los dientes de leche adquieran una tonalidad grisácea:
- Diente gris por golpe o traumatismos: Una de las razones por las que vemos dientes de color gris es debido a un golpe o traumatismo dental. En este sentido, cuando un diente sufre un impacto, puede producirse un corte en el suministro sanguíneo, lo que eventualmente lleva a que el diente se oscurezca. Por otro lado, este cambio de color puede no ser inmediato y desarrollarse a lo largo de meses o incluso años tras el incidente.
- Diente gris por endodoncia: Los tratamientos de endodoncia, aunque son procedimientos que salvan el diente, pueden ser otra causa de los dientes grises. Y es que los medicamentos y materiales utilizados en estos tratamientos pueden alterar el color natural del diente, dejándolo con una tonalidad grisácea o incluso marrón.
- Envejecimiento: El proceso natural de envejecimiento también puede afectar el color de nuestros dientes. Con el paso del tiempo, el esmalte dental se desgasta, exponiendo la dentina, que es naturalmente más amarilla o marrón. Esto, finalmente, puede ocasionar la aparición de manchas grises en el diente.
- Restauraciones dentales: Las restauraciones con ciertos materiales, como amalgamas de plata o coronas de metal, pueden ser otra de las causas de dientes grises. Normalmente, estos procedimientos pueden provocar un cambio de color en los dientes circundantes, o en el mismo diente restaurado, debido a la filtración de estos materiales hacia el interior del diente.
- Caries dental: Si seguimos analizando por qué se ponen los dientes grises, debemos hablar de las caries, que son una de las principales razones por las que el diente cambia de color. Es más, a medida que la caries avanza, puede afectar profundamente el diente y alterar su color, llevando a manchas grises en el diente afectado.
- Dientes grises por tetraciclina: Por último, es importante mencionar la tetraciclina. Se trata de un antibiótico que puede ocasionar la aparición de dientes con manchas grises. Lo que ocurre es que cuando es administrado durante la infancia o el embarazo, puede incorporarse en el desarrollo dental y causar una decoloración permanente de los dientes.

Soluciones y tratamientos para los dientes grises
Afortunadamente, existen varias opciones para tratar y mejorar la apariencia de los dientes grises, dependiendo de la causa subyacente de la coloración. De ahí la importancia de estar bien asesorado y acudir a los mejores especialistas en la materia. Veamos cuál es la mejor solución para los dientes grises.
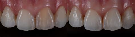
- Carillas dentales: Las carillas dentales son una excelente opción para corregir la decoloración severa. Consisten en finas láminas de porcelana o resina que se adhieren a la parte frontal del diente, ofreciendo un color similar al de tus dientes en estado natural. No obstante, en ciertos casos, como los que mencionaremos a continuación, puede que el color gris del diente no se logre disimular del todo.
- Coronas dentales: En casos donde la estructura del diente está comprometida, ya sea por manchas por tetraciclinas, caries extensas, tratamientos de endodoncia o traumatismos severos, las coronas dentales (coloquialmente llamadas fundas) pueden ser una solución alternativa, protegiendo el diente y mejorando su apariencia.
- Blanqueamiento para los dientes grises: Los diferentes tipos de blanqueamiento dental son uno de los tratamientos más comunes y efectivos para mejorar el color de los dientes. Sin embargo, los resultados pueden variar dependiendo de la causa y tipo de decoloración. En este sentido, el blanqueamiento llevado a cabo por un higienista no puede hacer mucho por sí solo para eliminar el color gris de los dientes. En el caso de un diente gris debido a un golpe o endodoncia, se debe realizar un blanqueamiento dental interno, este se realiza con un producto de alta concentración y debe ser realizado por un odontólogo especializado.

Tabla resumen de causas y tratamientos para dientes grises
| Causa | Tratamiento |
|---|---|
| Golpe o traumatismo | Blanqueamiento interno, carillas o coronas |
| Endodoncia | Blanqueamiento interno, carillas o coronas |
| Envejecimiento | Blanqueamiento dental, carillas |
| Restauraciones | Reemplazo de la restauración, carillas o coronas |
| Caries | Tratamiento de caries, carillas o coronas |
| Tetraciclina | Carillas o coronas |

Por último, te recordamos que mantener una higiene bucal adecuada, evitar el consumo excesivo de alimentos y bebidas que manchen los dientes, así como visitar regularmente al dentista son pasos clave para prevenir la decoloración dental y mantener una sonrisa sana y con un color natural.