Un diente roto, o una rotura dental, es una de las urgencias más comunes por las que los pacientes acuden a las clínicas. Un diente roto por un golpe es el resultado habitual de accidentes y caídas.

Las fracturas dentales son una de las urgencias más comunes en odontología. Un golpe, una mordida fuerte o el desgaste con el tiempo pueden provocar una fisura o fractura en el diente, causando dolor y comprometiendo la estética de la sonrisa.
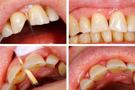
Tipos de Fracturas Dentales
Las fracturas dentales pueden clasificarse en diferentes categorías según su severidad y ubicación:
- Fisuras en el esmalte: Son pequeñas grietas superficiales que no afectan la funcionalidad del diente, pero pueden causar sensibilidad.
- Fractura de cúspide: Ocurre cuando una parte del diente, generalmente en las muelas, se rompe, pero sin afectar la raíz.
- Fractura coronal sin afectación de la pulpa: Afecta la capa externa del diente (esmalte y dentina), pero no llega al nervio.
- Fractura coronal con afectación de la pulpa: Es más grave, ya que el nervio dental queda expuesto, causando dolor intenso.
- Fractura radicular: La fractura llega hasta la raíz del diente y, en muchos casos, requiere la extracción de la pieza.
- Fractura completa del diente: El diente se parte completamente en dos, lo que suele requerir su extracción o un tratamiento avanzado.
Saber identificar el tipo de fractura es clave para aplicar el tratamiento adecuado.
Primeros Auxilios Ante un Diente Roto
Si se rompe un trozo de diente, es importante recuperarlo, limpiarlo con agua y conservarlo en leche, saliva, suero fisiológico o, como último recurso, agua. Pero, mientras acudes al odontólogo, te damos unas recomendaciones de primeros auxilios:
- Si se te ha roto un trozo de diente, trata de rescatarlo. Posteriormente, límpialo cuidadosamente con un poco de agua y guárdalo. Es importante no usar jabón y otros productos químicos, ya que se podría dañar el esmalte o la dentina.
- Una vez que llegues al dentista debes explicarle lo que ha ocurrido, cómo ha ocurrido y cuándo ha ocurrido. Esta información es muy valiosa para que el odontólogo pueda actuar de la manera más adecuada posible.
Síntomas de un Diente Roto
Los síntomas que aparecen tras la rotura de un diente dependen de la gravedad y la extensión de la misma:
- Sensibilidad dental: se percibe al consumir bebidas o alimentos muy fríos, calientes o ácidos.
- Dolor: cuanto mayor sea la rotura producida, mayor será también el dolor. Esto se produce, por ejemplo, cuando la fractura llega hasta la cámara pulpar, donde está el nervio.
- Movilidad: puede que la parte del diente que ha quedado en la boca -que no se ha caído- experimente cierta movilidad. Por ello, no se debe tocar la pieza dental.
- Cambio de color: se produce cuando la pieza dental sufre un golpe tan severo que afecta a los vasos sanguíneos. Aunque no todo está perdido, acudir al dentista con urgencia te permitirá conocer el estado de la pieza dental y evitar una posible necrosis.
- Sangrado de la encía: la propia fuerza del traumatismo puede hacer que la encía sangre. La sangre siempre es “escandalosa” y provoca mucho nerviosismo.
Sean cuales sean los síntomas que se presenten tras un golpe relativamente importante en el diente, debes acudir al dentista cuanto antes.
Tratamientos para un Diente Roto
La reparación de un diente roto depende del tipo y la extensión de la fractura. Como hemos explicado previamente, cuando el paciente llega a la consulta con un diente roto, el dentista evalúa la zona donde se ha producido la fractura.

- Diente astillado: Si el diente se ha astillado, el dentista lo limará y pulirá con la ayuda de fresas.
- Rotura parcial: Cuando el diente se ha roto parcialmente, la primera opción será tratar de colocar el trozo de diente que se ha desprendido, en el caso de que el paciente lo haya recogido. Si ambas partes del diente no se pueden unir, el odontólogo realizará una reconstrucción del diente con composite.
- Rotura total: Ante una rotura total, el dentista también tratará, en primer lugar, de colocar el trozo de diente recogido por el paciente.
- Endodoncia: Si la fractura alcanza el nervio del diente, es necesario realizar una endodoncia para eliminar la pulpa dañada y evitar infecciones. Mediante la endodoncia, se extraerá el nervio del diente y se rellenará la cavidad en la que estaba dicho nervio con un material de obturación.
- Sellado dental: Si la fisura es más profunda o está causando sensibilidad o riesgo de infección, el dentista puede recomendar un sellado dental. En este procedimiento, se aplica un material sellador en la fisura para sellar y prevenir la entrada de bacterias y alimentos.
- Obturación dental: Si la fisura es más extensa y afecta el esmalte y la dentina, puede ser necesario realizar una obturación dental.
- Corona dental: Si la fisura es más grave y compromete una gran parte del diente, puede ser necesario colocar una corona dental.
- Extracción e implante dental: es el último recurso, reservado para dientes irrecuperables.
Si necesitas nuestra ayuda, puedes llamar a las clínicas dentales para ser valorado y tratado por un odontólogo experimentado en tu caso. Contamos con clínicas en, prácticamente, toda España y horarios amplios e ininterrumpidos para tratar problemas dentales de manera urgente.
¿Cómo Reparar Dientes Fisurados?
Estas fracturas suceden cuando una gran parte del diente esta roto. Normalmente es por un impacto y produce dolor. Un diente fisurado llega a doler porque la presión ejercida por la masticación provoca que la grieta se abra. Cuando la masticación es detenida se libera la presión y la grieta se cierra al instante, esto provoca otro agudo dolor.
Las líneas de fisura que solo afectan al esmalte no ocasionan dolor y no suponen ningún problema preocupante, así que no necesitan tratamiento. Las fisuras profundas son aquellas que van más allá de la capa exterior del diente y acaban adentrándose en la dentina. Estas sí pueden generar un dolor intenso.
Si el nervio del diente se ve afectado como consecuencia de la grieta, será necesario realizar un tratamiento endodóntico para poder salvar el diente. Además, si ese tipo de grieta no se extiende hasta la línea de las encías, a menudo es posible salvar el diente.
Prevención de Fracturas Dentales
Aunque algunos accidentes son inevitables, existen medidas que puedes tomar para reducir significativamente el riesgo de sufrir una fractura dental.
- Uno de los principales motivos de dientes rotos es el hábito de morder cosas que no son alimentos, como bolígrafos, hielo, tapas de botellas o uñas.
- Si practicas deportes como boxeo, rugby, baloncesto o incluso ciclismo, un protector bucal puede ser tu mejor aliado. Ante la realización de un deporte de contacto o un trabajo donde podría ocurrir una lesión, es importante usar un protector bucal o una máscara protectora.
- Si aprietas o rechinas los dientes (de día o de noche), el desgaste progresivo puede debilitarlos, haciéndolos más susceptibles a romperse.
- Las caries avanzadas o los empastes grandes pueden debilitar la estructura del diente, facilitando que se fracture al morder.
- Abrir paquetes, cortar hilos o destapar botellas con los dientes es un riesgo innecesario.
- Los dientes fuertes son menos propensos a fracturarse.
- Una mala alineación dental puede hacer que ciertos dientes soporten más presión al masticar.
- También es importante usar el sentido común y evitar comer alimentos que pueden provocar fisuras como son las palomitas de maíz o nueces.
- Si es posible, evita los alimentos poco saludables y ácidos, como los dulces, los refrescos y los platos precocinados, que atacan el esmalte dental. Es especialmente perjudicial beber refrescos o comer dulces entre comidas a lo largo del día. Los ácidos atacan tus dientes una y otra vez. En su lugar, bebe un vaso de limonada con la comida o come un trozo de tarta de postre y cepíllate los dientes media hora después.
- Si rechinas los dientes, deberías hacerte una férula para proteger el esmalte dental.
- Como los dientes con caries son más propensos a las grietas, la mejor protección es una higiene dental especialmente minuciosa. ¿Cuál es realmente la técnica de cepillado dental más eficaz, científicamente probada?
Un diente roto no es solo un problema estético; puede derivar en sensibilidad, infecciones o incluso la pérdida dental si no se trata a tiempo.
¿Qué Hacer Ante un Golpe en los Dientes?
Sufrir un golpe en los dientes es motivo frecuente de urgencias dentales y visitas al dentista. Los golpes en los dientes pueden llegar a ser muy aparatosos, especialmente porque suelen ir acompañados de sangre en heridas en los labios o tejido blando. Además, un golpe en los dientes puede causar pánico en los padres ante la posibilidad de perder el diente por completo.
Lo más importante es que sea cual sea el motivo del golpe, se acuda lo antes posible al dentista de urgencia. Es importante recordar que cada caso es único, y el tratamiento específico por un golpe en el diente dependerá de la gravedad del daño y la situación individual del diente.
En roturas totales, donde el diente se cae, recomendamos introducir la pieza dental caída en suero, leche o en la propia saliva. La luxación provoca que un diente se desplace de su posición normal debido a un traumatismo o impacto en la boca.
Recuerda que ignorar el dolor en la boca o en los dientes no es un plan de tratamiento. Ante todo mantén la calma. No tires el diente.
Grietas en los Dientes: Causas y Tratamiento
Todos los niños saben que los dientes pueden desarrollar caries si no se cepillan con regularidad. Sin embargo, también puede producirse una fisura en el diente si la sustancia dental cede y se desgarra. Esto también se conoce como fractura, igual que un hueso roto.
Las grietas en los dientes pueden producirse de varias formas. Los efectos de la violencia suelen ser un factor; sin embargo, el esmalte también puede dañarse por alimentos ácidos o estímulos térmicos. El grado de blandura o dureza del esmalte varía de una persona a otra.
Un traumatismo dental no siempre significa que un diente se rompa o se caiga. Por ejemplo, pueden producirse grietas en el diente tras una caída o debido a un golpe. No dudes en acudir a un dentista para que las examine. Después del tratamiento de conductos , se necesita mucha menos fuerza para provocar una fisura en el diente.
Una grieta en el diente también puede deberse al rechinamiento. Cuando las personas rechinan los dientes por la noche, el esmalte se ve sometido a una gran tensión, ya que los maxilares superior e inferior presionan y rozan entre sí con gran fuerza. La presión resultante es significativamente mayor que al masticar.
Los piercings en la zona de la boca -especialmente los piercings grandes y alargados en la lengua- pueden provocar una fisura en el diente, ya que a menudo empujan contra el esmalte dental y lo dañan permanentemente.
Si comes con frecuencia alimentos ácidos, esto dañará el esmalte de tus dientes a largo plazo. Después de comer o beber alimentos ácidos, debe esperar 30 minutos antes de cepillarse los dientes. Después de un tratamiento de conductos, el riesgo de que se produzca una fisura en el diente no sólo es mayor que con un diente sano. La endodoncia también puede ser la causa de la fisura.
El esmalte dental reacciona con sensibilidad a las temperaturas. Por ejemplo, si bebe algo muy caliente al aire libre en invierno después de que sus dientes hayan estado en contacto con aire frío, el esmalte puede agrietarse. Lo mismo ocurre con las bebidas muy frías en verano.
El hecho de sentir algún síntoma a causa de una grieta en el diente depende de lo pronunciada que sea la grieta. Si sólo está agrietado el esmalte, suele ser una grieta sin dolor . Sin embargo, si la fisura del diente afecta también a la dentina, es decir, a la capa que se encuentra bajo el esmalte, los dientes suelen volverse sensibles al dolor y sensibles al frío . Entonces reaccionan de forma sensible al calor, al frío o a los alimentos agridulces. El dolor de muelas también puede aparecer repetidamente.
Puede producirse dolor intenso al masticar y morder algo duro. Esto también se conoce como dolor a la presión. Típico de una fisura en el diente, sin embargo, es también el dolor al soltar, que no se produce al morder, sino sólo al soltar.
Si tiene una fisura en el diente, debe evitar utilizar el blanqueamiento . Los productos químicos pueden penetrar en el diente a través de la grieta y causar daños. Si una grieta en el diente no es examinada y tratada por un dentista, puede expandirse y dañar partes más grandes del diente. Además, las bacterias de la caries pueden instalarse en la grieta y multiplicarse a partir de ahí. Si la grieta llega a la pulpa, existe riesgo de inflamación del diente. Sin embargo, esto no significa que deba asustarse si descubre una fina grieta en el esmalte. Estas grietas superficiales suelen ser inofensivas y no tienen por qué tratarse.
Se ejerce presión sobre el diente que se va a examinar. Las grietas finas en las primeras fases son muy difíciles de reconocer por el ojo humano. Al igual que un hueso roto, una fisura en un diente puede verse a menudo en una radiografía y en ella puede reconocerse toda la extensión de la fisura.
Tratamiento: ¿Se puede reparar una fisura en un diente? Una vez que el dentista ha diagnosticado la grieta en el diente, se procede al tratamiento. Aunque el esmalte no se cura después de la grieta, existen varias opciones de tratamiento en función de la gravedad de la grieta. Si la grieta del diente sólo afecta al esmalte y es inofensiva, no tiene por qué tratarse. En un diente sano, las grietas superficiales rara vez provocan infecciones. Sin embargo, también es posible sellar la grieta para que no puedan entrar bacterias en el diente a través de ella.
Si la grieta debilita el esmalte y amenaza con extenderse, los dentistas suelen recomendar una corona. Si la fisura ya ha penetrado en la pulpa y se ha producido una inflamación, el tratamiento de conductos suele ser inevitable. Durante la endodoncia, se extrae todo el interior del diente y se sustituye por un empaste.
Como las grietas en los dientes suelen deberse a una fuerza imprevista, no es posible protegerse completamente de ellas.
Golpes en los dientes ¿qué puedes hacer? | Reina Madre
Opiniones sobre Clínicas Dentales
Aquí hay algunas opiniones sobre la Clínica dental medics del Dr. Ferrer en Madrid:
- “Empecé mi tratamiento con ellos hace un mes y el trato está siendo inmejorable y excelente. Ayer me colocaron los Brackets y no puedo estar más contento."
- “Médicos maravillosos recomendable para todo el mundo."
- “Atención inmejorable, personal súper atento y profesional."
- “El Dr. Ferrer lleva viéndome a mi, y a toda mi familia, desde que me alcanza la memoria y siempre ha sido un profesional excelente, atento, cuidadoso y cariñoso. Precios realmente competitivos y una calidad humana del equipo inmejorable. Se preocupan por el paciente, te hacen sentir seguro de estar en buenas manos y te resuelven inmediatamente cualquier duda o problema que surja."
- “El doctor Ferrer es dueño de mi sonrisa. El trato ha sido siempre maravilloso y los precios los mejores de Madrid. Me han puesto varios implantes y el resultado es super natural."
- “Excelente trato tanto profesional como humano."
- “Soy Paciente desde hace tres años, el Dr Jorge Ferrer me ha puesto implantes, y fue todo satisfactorio. Son grandes profesionales los Drs Ferrer padre e hijo."
- “Es mi dentista desde 1988, un profesional excelente en el que confío con los ojos cerrados."
- “Buen profesional, es mi dentista desde El año 1999, no puedo estar mas contento con su trato y su profesionalidad. Su hijo también es un excelente dentista, y la atención del resto del personal es de 10."
- “Magnífico equipo, con una atención extraordinaria. Estoy muy feliz con mi tratamiento realizado."
- “Una muy buena experiencia con lo q es el dentista."
- “Altamente recomendable. Por trato, calidez, calidad, rapidez y dedicación. Son profesionales que ofrecen un servicio impecable, escuchan tus problemas y preguntas y responden con honestidad."
- “Recomiendo esta Clínica por su excelente trato y profesionalidad. La relación calidad / precio son inmejorables."
- “Me he realizado ortodoncia y blanqueamiento, estoy encantada con el resultado. Los doctores me hacen sentir como en familia, son excelentes tanto en lo personal como en lo profesional."
- “Excelente trato y profesionalidad en todas las especialidades (implantes, ortodoncia, etc). Siempre te explican lo que te están haciendo para que lo entiendas."
- “Me recomendaron la clínica para realizarme unos empastes y dos implantes. Estoy muy satisfecho con el doctor Francisco Ferrer y con todo el equipo, además los precios son muy accesible."
- “Clínica muy bien situada. El trato es muy cercano y familiar, son muy profesionales!!! Me tratan genial, son amables, te aconsejan y te explican tranquilamente por qué tomar una decisión u otra con tu boca."
- “Después de que el doctor Jorge Ferrer le pusiera a mi marido implantes y prótesis fija, decidí dejar mi miedo en casa y me atreví a que me pusiera hueso e implantes para así dejar mi dentadura postiza. Por ello mi agradecimiento a la tranquilidad y seguridad que me dio."
- “Extraordinaria clínica dental por su trato, profesionalidad y precio. Fui por recomendación de un amigo que vive en Madrid y estoy contentísimo. Muchas gracias al Dr."
- “Unos profesionales. Buenas instalaciones y lo mejor el trato y la atencion que te da todo el equipo. Mi caso no era facil, con un diente desplazado y un hueco demasiado grande para una pieza y demasiado pequeño para 2. Sin embargo el dr. Ferrer ha conseguido un resultado optimo, con una corona y un implante. Escuchó mis necesidades y no ha parado hasta conseguir el mejor resultado. Solo puedo decir cosas buenas de cada una de las veces que me han atendido."
- “Me recomendaron esta clínica, y la verdad es que no se equivocaron. Excelente equipo. Lo recomiendo."
- “Profesionales de confianza y dedicación."
- “Muy profesionales en sus actuaciones y el trato súper agradable . Un diez para el personal , os lo recomiendo sin duda alguna ."
- “Mi experiencia en esta clínica ha sido muy buena."
- “Como muchos por lo q leo en otras reseñas, fui a esta clínica dental por recomendación de una amiga, y creo q esa es la mejor prueba de satisfacción de un cliente, que te recomiende a los suyos...ahora son los dentistas de toda mi familia. Trato humano inmejorable desde q entras por la puerta y gran trato profesional, sin NADA de dolor y con los mejores resultados. Ponerte allí un implante q es lo q más nos asusta a todos son 15 minutos, sin q te enteres ni del pinchazo de la anestesia y sin tener después ni la más mínima molestia o inflamación, con tal resultado estético q después de un tiempo se lo quieres enseñar a alguien y....tienes serias dudas de q diente no es tuyo de serie!!"
- “Clinica de confianza, muy buen trato y calidad/precio inmejorable."
- “Me realicé un tratamiento de blanqueamiento, y he quedado totalmente satisfecho. Un equipo muy profesional junto con un trato cercano y amable."
- “Siempre he tenido un poco de miedo a ir al dentista pero después de venir aquí, tras una recomendación de una amiga, solo puedo decir que estoy encantada!"
- “Me recomendaron esta clínica dental y estoy muy contenta. Son un equipo muy profesional y atento."
- "Depuis mon arrivée à Madrid, j'ai cherché pendant longtemps un bon dentiste. Ce cabinet dentaire est excellent."