Siempre se nos ha enseñado a relacionar una sonrisa blanca con una sonrisa saludable, y con razón. La preocupación suele surgir cuando los niños mudan sus dientes temporales y aparecen los dientes permanentes, que a menudo tienen un tono más amarillento.

¿Por Qué los Dientes Permanentes Son Más Amarillos?
Los dientes están formados por tres capas esenciales: el esmalte, la dentina y la pulpa. El motivo por el cual los dientes permanentes se ven más amarillos que los temporales es porque estos últimos poseen una capa más delgada de dentina y esmalte. Además, es normal que al aparecer los dientes permanentes se cree un contraste de colores entre los temporales.
Mientras más delgada es esta capa, mayor será el tono amarillento que se mostrará. Por lo tanto, es altamente recomendable mantener una buena higiene bucal donde el cepillado se realice de manera correcta.
¿Cuándo Debemos Alarmarnos?
Ya sabemos que la erupción de dientes permanentes con un tono amarillento es algo normal. Sin embargo, este tono no siempre es positivo. La principal causa para que esto ocurra es la falta de higiene bucal, aunque no es la única.
Conociendo que una mala higiene bucal puede derivar en dientes anormalmente amarillentos, es necesario que los cuides con un cepillado correcto.
Causas Comunes de las Manchas en los Dientes
Descubrir nuevas manchas en los dientes puede ser desagradable. La estética de la sonrisa influye en el bienestar personal, y cuando se presenta alguna imperfección, es importante saber cómo eliminarla.
Hay una gran variedad de malos hábitos del día a día que pueden producir manchas en los dientes:
- Mala higiene oral: No cepillarse después de cada comida puede provocar que los restos de alimentos tiñan las piezas dentales.
- Tabaquismo: La nicotina y el alquitrán alteran la coloración de las piezas dentales, oscureciéndolas.
- Fracturas dentales: Una caída o un golpe pueden provocar fracturas e incluso la muerte del nervio, oscureciendo la pieza dental.
- Consumo de antibióticos: Algunos antibióticos como las tetraciclinas pueden teñir el esmalte dental en la infancia.

Tipos de Manchas en los Dientes
Las manchas en los dientes pueden clasificarse como superficiales, intermedias o profundas, y también según su color:
1. Manchas Blancas
Pueden deberse a caries en su punto inicial, desmineralización del esmalte, una dieta deficiente o mala higiene dental.
2. Manchas Marrones
Suelen estar causadas por factores externos como el consumo de tabaco o algunos medicamentos. La acumulación de sarro también es una causa común.
3. Manchas Amarillas
Son las más habituales y suelen estar causadas por el consumo de alimentos como café, vino, cerezas, arándanos o alimentos ácidos como el limón. El consumo de tabaco también provoca este tipo de manchas.
Las manchas amarillas son, probablemente, las más comunes. Es decir, el tono amarillento puede aparecer como consecuencia del bruxismo, que es un hábito inconsciente que consiste en rechinar y/o apretar los dientes, especialmente durante las horas de sueño.

Tratamientos para Eliminar las Manchas en los Dientes
Muchos pacientes buscan mejorar la estética de su sonrisa para sentirse más seguros. Los tratamientos más habituales son:
1. Profilaxis Dental
Las limpiezas orales profesionales son imprescindibles para mantener una boca sana y pueden eliminar manchas leves. Se recomienda hacerse al menos una al año.
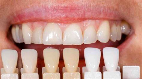
2. Blanqueamiento Dental
Aclara la tonalidad de los dientes poco a poco, eliminando algunas manchas del esmalte sin dañarlo.
👉 Blanqueamiento dental: tipos, duración, seguridad y resultados
3. Carillas Dentales
Son finas láminas de porcelana o composite que recubren la cara externa del esmalte para ocultar imperfecciones, incluyendo las manchas. A diferencia de los tratamientos anteriores, las carillas pueden solucionar cualquier tipo de mancha.

Manchas en los Dientes de Leche y en Niños
Los dientes de leche cumplen una función vital en el desarrollo infantil. Las manchas pueden variar en color, tamaño y origen.
Los dientes amarillos en niños pueden estar causados por una serie de factores muy variados, como una higiene bucal deficiente, un traumatismo o alteraciones en el esmalte. Además, algunas de estas causas pueden originarse en las primeras etapas de la vida, como en el embarazo.
La acumulación de placa bacteriana y sarro es la causa más habitual de los dientes amarillentos durante la infancia. La placa bacteriana se origina por los restos de alimentos que no son eliminados tras las comidas. Tiene un color amarillento y tiende a localizarse en la cara externa e interna de los dientes.
El consumo de ciertos alimentos y bebidas también puede causar dientes amarillos en niños. Este tipo de comidas y bebidas contienen sustancias abrasivas para la dentadura y erosionan el esmalte.
Un golpe en la boca también puede ser la causa de los dientes amarillos en niños. En una fase inicial, las caries en los niños también pueden manifestarse con unas pequeñas manchas amarillas, blancas o marrones.
Normalmente, los dientes amarillos en niños se pueden solucionar y prevenir con una mejora de la higiene bucodental.
Consejos para Prevenir y Solucionar los Dientes Amarillos en Niños
- Mantener una buena limpieza dental: Es fundamental cepillarse los dientes después de cada comida, así como supervisar la rutina de cepillado en niños menores de siete años.
- Aprender la técnica de cepillado correcta: Es muy aconsejable visitar al odontopediatra para que asesore sobre cómo cepillarse correctamente.
- Hacerse higienes bucodentales en la clínica: Este tratamiento retira el sarro acumulado y elimina las manchas amarillas superficiales.
- Recurrir a tratamientos preventivos contra la caries: Las caries se pueden prevenir y tratar en sus fases iniciales.
- Decantarse por la ortodoncia invisible: No provoca la acumulación de restos de alimentos, como ocurre con los brackets.
¿Cómo Eliminar las Manchas en los Dientes?
Para eliminar las antiestéticas manchas en los dientes es fundamental que acudas a tu dentista. Por lo general, es recomendable potenciar el efecto de la limpieza con un blanqueamiento dental.
Para evitar la aparición de manchas, lo primero que hay que hacer es llevar una correcta higiene oral en casa. El no cepillar los dientes después de cada comida provoca que los restos de alimentos se conviertan en placa bacteriana y, posteriormente, en sarro. Los dientes con sarro tienen una apariencia amarillenta que se manifiesta, sobre todo, en sus bordes.
Para evitar que los dientes se vuelvan amarillos por este motivo, es recomendable moderar la frecuencia con la que se consumen alimentos y bebidas con mucha pigmentación. O, en su defecto, cepillarse los dientes 20 minutos después de comer.
Si tienes manchas en los dientes y quieres eliminarlas, ponte en contacto con un equipo de profesionales. En otras ocasiones estas tinciones dentales son consecuencia de una enfermedad bucal e incluso sistémica y es necesario tratar la causa cuanto antes.
Tabla resumen de tipos de manchas, causas y tratamientos:
| Tipo de Mancha | Causas Comunes | Tratamientos |
|---|---|---|
| Manchas Blancas | Caries iniciales, desmineralización, mala higiene | Higiene bucal mejorada, tratamientos con flúor |
| Manchas Marrones | Tabaco, medicamentos, acumulación de sarro | Limpieza dental profesional, blanqueamiento |
| Manchas Amarillas | Alimentos pigmentados, tabaco, sarro | Limpieza dental profesional, blanqueamiento, carillas |
Recuerda: La prevención y el tratamiento temprano son clave para mantener una sonrisa saludable y libre de manchas.