Los dientes supernumerarios, también conocidos como hiperdoncia, son una anomalía dental que se caracteriza por la presencia de más dientes de lo habitual en la boca. Esta condición puede afectar tanto a niños como a adultos y puede tener diversas implicaciones para la salud dental. En este artículo, exploraremos las causas, síntomas, consecuencias y tratamientos de los dientes supernumerarios para que puedas entender mejor esta condición y cómo puede ser abordada.

¿Qué son los dientes supernumerarios?
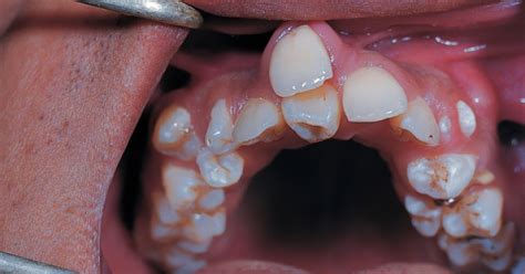
Los dientes supernumerarios son piezas dentales adicionales que aparecen en la boca además de los 20 dientes temporales o 32 dientes permanentes que conforman la dentición normal. Este fenómeno también es conocido como hiperdoncia y puede presentarse tanto en la dentición primaria como en la permanente, aunque es más frecuente en esta última.
Estas piezas dentales extras pueden tener una forma, tamaño y posición normales o presentar alteraciones morfológicas. Su presencia puede pasar desapercibida en algunos casos o provocar complicaciones importantes, dependiendo de su ubicación y relación con los demás dientes.
Mientras la mayoría de las personas tienen 28 dientes en la infancia y 32 en la edad adulta, aquellos con hiperdoncia pueden tener una cantidad superior. Por lo general, las personas adultas contamos con un total de 32 piezas dentales permanentes, incluyendo las muelas del juicio. Estos dientes se reparten por igual en las dos arcadas dentales, por lo que tenemos 16 en el maxilar superior y otros 16 en la mandíbula.
Causas de los Dientes Supernumerarios
Aunque la causa exacta de los dientes supernumerarios no siempre está clara, se cree que factores genéticos pueden jugar un papel importante. Sabemos que cada caso de dientes supernumerarios es único.
Dientes supernumerarios: ¿Qué son y cómo se trata?
El origen exacto de los dientes supernumerarios no está completamente determinado, pero la mayoría de las investigaciones apuntan a una combinación de factores genéticos y ambientales.
Aunque las causas de los dientes supernumerarios no están totalmente investigadas, en general puede ser por un factor genético. Los dientes supernumerarios o hiperdoncia suponen la aparición de dientes en exceso en la boca. No tienen la forma de un diente normal sino que tienen una forma llamada microdóntica.
La etiología de los dientes supernumerarios es multifactorial y todavía hoy no existe consenso en las causas por las cuales aparecen estos dientes adicionales.
Factores Genéticos
La hiperdoncia suele ser hereditaria, lo que significa que si uno de los padres presenta esta condición, hay una mayor probabilidad de que sus hijos también la tengan. La herencia genética parece desempeñar un papel importante en el desarrollo de dientes supernumerarios. En muchas ocasiones, se observa que esta condición es más frecuente en familias donde otros miembros también presentan antecedentes de hiperdoncia. Factores genéticos: los antecedentes familiares juegan un papel muy importante en la aparición de los dientes supernumerarios.
Alteraciones Durante el Desarrollo Dental
Durante el desarrollo dental, una interrupción en el proceso de formación de los dientes puede llevar a la formación de dientes adicionales. Otra teoría propone que los dientes supernumerarios se originan como resultado de una alteración en el proceso de formación dental, conocido como odontogénesis.
Síndromes y Condiciones Médicas
Algunos síndromes y condiciones médicas están asociados con un mayor riesgo de desarrollar dientes supernumerarios. Entre ellos se incluyen el síndrome de Gardner, el síndrome de Ehlers-Danlos y la displasia cleidocraneal.
Hiperactividad de la Lámina Dental
La lámina dental es la estructura que da origen a los dientes. Hiperactividad de la lámina dental: Esta teoría sugiere una proliferación excesiva de la lámina dental durante el desarrollo embrionario.
Teoría de la Escisión Dental
Propone que una división de la lámina dental primaria resulta en la formación de un diente adicional.
Razones Evolutivas
Esta es una de las teorías más antiguas sobre las causas de los dientes supernumerarios.
Tipos de Dientes Supernumerarios
Existen diferentes tipos de dientes supernumerarios, clasificados según su ubicación y forma:
- Mesiodens: Ubicado en la línea media entre los incisivos centrales superiores. Un diente supernumerario que se desarrolla en la zona de los incisivos centrales superiores recibe el nombre de “mesiodens”.
- Distomolar: Localizado distal al tercer molar. También se conoce como “cuarto molar”. Distomolar: cuando la muela de más se encuentra detrás de la muela del juicio.
- Conoidales: Tienen una forma cónica y son predominantes en la región anterior del maxilar.
- Tuberculados: Poseen múltiples cúspides o tubérculos y suelen localizarse en la región molar.
- Odontomas: Son malformaciones odontogénicas complejas que pueden ser compuestas (parecidas a dientes pequeños) o complejas (masa amorfa de tejidos dentales).
Detección y Diagnóstico
Detectar la presencia de dientes supernumerarios puede ser complicado sin una evaluación dental adecuada, ya que no siempre causan síntomas evidentes. Muchas veces, estos dientes se descubren de forma accidental durante revisiones dentales rutinarias en niños o al realizar radiografías panorámicas para valorar la erupción dental.
En la consulta odontológica, el diagnóstico se basa en:
- Exploración clínica, para identificar dientes adicionales que han erupcionado.
- Radiografía panorámica (ortopantomografía), para detectar dientes no erupcionados.
- TAC dental o CBCT, en casos más complejos que requieren evaluar la posición tridimensional exacta. Tomografía computarizada de haz cónico (CBCT): Ofrece imágenes tridimensionales precisas, esenciales para planificar la cirugía y evaluar la relación con estructuras anatómicas adyacentes.
Por ello, se recomienda realizar controles periódicos en edades tempranas, sobre todo entre los 6 y 8 años, momento clave para valorar la correcta erupción de los dientes definitivos y la posible existencia de anomalías como los dientes supernumerarios.
Síntomas de los Dientes Supernumerarios
Uno de los síntomas más comunes es la presencia de dientes impactados. En algunos casos, la presión ejercida por los dientes supernumerarios puede causar dolor y molestias en la mandíbula.
Consecuencias de los Dientes Supernumerarios
La presencia de dientes supernumerarios puede llevar a una serie de problemas dentales, dependiendo de su número, ubicación y grado de erupción.
- Desalineación Dental: Los dientes supernumerarios pueden causar desalineación dental significativa, lo que puede llevar a problemas de mordida y dificultades para masticar y hablar correctamente.
- Apiñamiento Dental: El apiñamiento de los dientes debido a los dientes supernumerarios puede dificultar la limpieza adecuada de los dientes y las encías.
- Complicaciones Ortodónticas: Los dientes supernumerarios pueden complicar los tratamientos ortodónticos.
- Maloclusiones: Los dientes supernumerarios pueden interferir en la erupción normal de los dientes permanentes, causando apiñamiento, desalineación y problemas de mordida. Maloclusiones: Los dientes supernumerarios pueden interferir en la erupción normal de los dientes permanentes, causando apiñamiento, desalineación y problemas de mordida.
- Desplazamientos y Malposiciones: Los dientes supernumerarios pueden provocar desplazamientos y malposiciones en las piezas dentales vecinas, que deben rotarse y apiñarse como consecuencia de la falta de espacio en la arcada. Desplazamientos y malposiciones en los dientes: los dientes supernumerarios pueden provocar desplazamientos y malposiciones en las piezas dentales vecinas, que deben rotarse y apiñarse como consecuencia de la falta de espacio en la arcada.
- Diastemas: Un diente supernumerario que se desarrolla en la zona de los incisivos centrales superiores recibe el nombre de “mesiodens”. Diastemas o espacios entre los dientes: un diente supernumerario que se desarrolla en la zona de los incisivos centrales superiores recibe el nombre de “mesiodens”.
- Formación de Quistes y Tumores: En algunos casos, los dientes supernumerarios que no erupcionan y se quedan retenidos en el hueso maxilar pueden dar lugar a la formación de quistes o tumores. Formación de quistes y tumores: en algunos casos, los dientes supernumerarios que no erupcionan y se quedan retenidos en el hueso maxilar pueden dar lugar a la formación de quistes o tumores. Pueden estar asociados con la formación de quistes dentígeros o tumores odontogénicos, como los ameloblastomas.

Tratamientos para los Dientes Supernumerarios
El tratamiento de los dientes supernumerarios depende de varios factores, como la edad del paciente o los problemas específicos que están produciendo.
El tratamiento de los dientes supernumerarios depende de varios factores: la localización, el tipo, la edad del paciente, la presencia de complicaciones y el impacto en la salud oral.
El manejo de los dientes supernumerarios depende de varios factores, incluyendo la edad del paciente, la morfología y ubicación del diente y la presencia de síntomas.
Vigilancia Activa
Si el diente supernumerario no interfiere con la erupción de otros dientes, está bien posicionado y no causa problemas funcionales o estéticos, se puede optar por una observación periódica con controles clínicos y radiográficos.
Extracción Quirúrgica
Este es el tratamiento más habitual ante dientes supernumerarios que provocan problemas y complicaciones en la boca (alteraciones en la erupción del resto de piezas dentales, diastemas interincisales, quistes…). En la mayoría de los casos, sobre todo si el diente supernumerario está asociado a alteraciones en la erupción o a riesgo de patología, se recomienda su extracción quirúrgica. La intervención debe planificarse cuidadosamente, valorando el momento ideal para no dañar los dientes en desarrollo.
Para los adultos hay un tratamiento que se llama exodoncia y que se puede combinar si es necesario con tratamientos de ortodoncia para conseguir restablecer la funcionalidad y la estética de la sonrisa del paciente. Extracción quirúrgica: Es el tratamiento de elección en la mayoría de los casos, especialmente si el diente está impactado, causa problemas funcionales o estéticos o está asociado con la formación de quistes o tumores.
¿Cómo se extrae un diente supernumerario? La extracción de un diente supernumerario generalmente se realiza bajo anestesia local. El odontólogo evaluará la posición y forma del diente antes de proceder. En casos complejos, puede ser necesaria una cirugía dental.
Ortodoncia
Si los dientes supernumerarios han causado maloclusiones dentales puede ser necesario recurrir a un tratamiento de ortodoncia para alinear correctamente los dientes. En algunos casos, la extracción debe coordinarse con un tratamiento ortodóncico posterior, para guiar la correcta erupción y alineación de las piezas dentales afectadas. Ortodoncia: Puede ser necesaria para corregir las maloclusiones derivadas de la presencia de dientes supernumerarios. La colaboración entre ortodoncista y cirujano es crucial para optimizar los resultados.

Consideraciones Adicionales
- Edad del Paciente: En niños, la extracción de dientes supernumerarios puede estar indicada para permitir la erupción normal de los dientes permanentes y evitar problemas ortodónticos futuros. Edad del paciente: En niños, la extracción de dientes supernumerarios puede estar indicada para permitir la erupción normal de los dientes permanentes y evitar problemas ortodónticos futuros.
- Riesgo de Complicaciones: La extracción de dientes supernumerarios impactados puede estar asociada con riesgos como los daños a los dientes adyacentes, infecciones y problemas de cicatrización. Riesgo de complicaciones: La extracción de dientes supernumerarios impactados puede estar asociada con riesgos como los daños a los dientes adyacentes, infecciones y problemas de cicatrización.
¿Qué hacer si tengo dientes supernumerarios?
El tratamiento depende de la edad del paciente y los problemas que causen. En niños, un odontopediatra decidirá el momento adecuado para la extracción si es necesaria. En adultos, la extracción suele ser el procedimiento más común. La ortodoncia puede ser necesaria para corregir problemas de malposición o maloclusión.
¿Cuándo extraer un diente supernumerario? La extracción es recomendable si el diente causa maloclusión, apiñamiento o riesgo de infección. Si no causa molestias, el odontólogo puede optar por monitorear su evolución.
Importancia de la Detección Temprana
La detección temprana y el tratamiento son clave para manejar efectivamente los dientes supernumerarios.
Los dientes supernumerarios son una anomalía relativamente frecuente que puede generar complicaciones si no se diagnostica y trata de forma oportuna. La detección precoz mediante revisiones odontológicas y radiografías es fundamental para evitar problemas en la erupción dental y garantizar un desarrollo oral saludable.
Conclusión
Los dientes supernumerarios son una condición que requiere atención odontológica especializada. Un diagnóstico preciso y un plan de tratamiento individualizado son esenciales para minimizar las complicaciones y mejorar la salud dental y la calidad de vida del paciente. La investigación continua es fundamental para entender mejor la etiología y optimizar las estrategias terapéuticas.
tags: #diente #supernumerario #extraccion