La salud dental juega un papel crucial en nuestro bienestar general, y uno de los componentes clave de la salud bucal es el esmalte dental. Sin embargo, hay veces en las que el esmalte dental se ve afectado por un proceso conocido como erosión. Si crees que puedes estar padeciéndolo, te invitamos a que sigas leyendo.

¿Qué es la Erosión del Esmalte Dental?
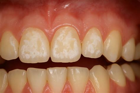
El esmalte dental es la capa más externa y dura de nuestros dientes, que cubre la parte visible y expuesta del diente. La función principal del esmalte dental es proteger los dientes de los factores externos y las fuerzas de la masticación. El esmalte dental también desempeña un papel importante en la sensibilidad dental. Al ser una capa protectora, ayuda a aislar las partes más sensibles del diente, como la dentina y la pulpa, de los estímulos externos, como el frío, el calor o la presión.
Sin embargo, el esmalte dental no es invulnerable y puede sufrir daños debido a la acción de los ácidos, la mala higiene oral, el bruxismo y otros factores. En concreto, la erosión del esmalte dental se refiere a la pérdida gradual y progresiva de la capa externa del diente, debido a la exposición a ácidos y otros factores.
Causas de la Erosión del Esmalte Dental
La erosión del esmalte dental puede ser causada por diferentes factores, siendo uno de los más comunes la exposición frecuente a ácidos procedentes de alimentos y bebidas ácidas, como los cítricos, las bebidas carbonatadas y los alimentos ácidos en general. El aumento de la acidez en la boca termina por abrasionar el esmalte y exponer la dentina, el tejido dentario que se sitúa bajo el esmalte. El área más afectada es la cara interna de los dientes.
La acidez de una sustancia se mide por su Ph. El ácido presente en el jugo gástrico es responsable de ayudar a la digestión de las comidas ingeridas. Pero la mucosa de la boca es muy distinta a la del estómago y no está preparada para el contacto con ese ácido por mucho tiempo. Por ello, las personas con problemas gastrointestinales, como el reflujo, son más susceptibles a la erosión dental.
El reflujo sucede cuando el jugo gástrico sale del estómago y llega al esófago y a la cavidad oral, pudiendo perjudicar a la laringe, a los pulmones y a la boca, provocando mal aliento y erosión dental. Trastornos alimenticios como la bulimia también están relacionados con la erosión dental.
Signos de la Erosión del Esmalte
- Sensibilidad dental: La erosión del esmalte puede hacer que los dientes sean más sensibles a estímulos como alimentos o bebidas calientes, frías o dulces.
- Decoloración dental: Con la erosión del esmalte, los dientes pueden perder su brillo natural y volverse opacos.
- Cambios en la apariencia dental: Con la erosión del esmalte, los dientes pueden tener un aspecto más transparente en los bordes.
Desmineralización Dental
La desmineralización dental es un proceso natural que afecta a la salud bucal con el paso del tiempo.
Causas de la Desmineralización Dental
- Dieta inadecuada: el consumo excesivo de alimentos y bebidas azucaradas, ácidas o pegajosas puede promover el crecimiento de bacterias en la boca que producen ácidos.
- Acidez bucal: un pH bajo en la boca puede acelerar la desmineralización dental.
- Higiene bucal deficiente: la falta de cepillado dental adecuado y el uso irregular del hilo dental pueden permitir la acumulación de placa bacteriana en los dientes.
- Factores genéticos: algunas personas pueden tener una predisposición genética a desarrollar desmineralización dental debido a factores como la estructura y composición del esmalte dental o la cantidad y calidad de la saliva.
- Bruxismo: el hábito de apretar o rechinar los dientes, puede desgastar el esmalte dental y aumentar el riesgo de desmineralización.

¿Sabes lo que es la desmineralización y remineralización dental? 🤓
Soluciones y Tratamientos
El tratamiento para revertir la erosión del esmalte depende de la gravedad de su estado y de las necesidades individuales de cada paciente. Es importante destacar que el esmalte dental no puede regenerarse naturalmente, por lo que el objetivo principal del tratamiento es detener la progresión de la erosión y proteger los dientes restantes.
Cambios en la Dieta y Estilo de Vida
Limitar la ingesta de alimentos y bebidas ácidas puede ayudar a prevenir la erosión adicional del esmalte dental. Es recomendable evitar o reducir el consumo de bebidas carbonatadas, jugos ácidos, cítricos y alimentos ácidos.
Uso de Productos Remineralizantes
Los dentífricos y enjuagues bucales que contienen minerales como el fluoruro y el fosfato de calcio pueden ayudar a fortalecer el esmalte dental y prevenir la progresión de la erosión.
Restauraciones Dentales
En casos más avanzados de erosión del esmalte dental, es posible que se requiera la aplicación de restauraciones para proteger y fortalecer los dientes.
Medidas Preventivas
- Uso de fluoruro: los productos dentales que contienen fluoruro, como pastas dentales y enjuagues bucales, ayudan a fortalecer el esmalte dental y a prevenir la desmineralización.
- Selladores dentales: los selladores son recubrimientos plásticos que se aplican en las superficies de masticación de los dientes posteriores para protegerlos contra la acumulación de placa y ácidos.
- Buena higiene bucal: mantener una adecuada higiene bucal es fundamental para prevenir la desmineralización dental.
- Dieta equilibrada: consumir una dieta rica en nutrientes y baja en azúcares y ácidos puede ayudar a prevenir la desmineralización dental.
- Evitar bebidas azucaradas: la ingesta excesiva de bebidas energéticas y azucaradas puede contribuir a la desmineralización dental.
Contorneado Dental Estético
¿Notas que tus dientes delanteros están irregulares, con bordes ásperos o ligeramente desiguales? Muchas personas sienten que su sonrisa no termina de gustarles por pequeños detalles difíciles de ver a simple vista… pero que marcan la diferencia.
El contorneado dental estético, también conocido como esculpido dental, es un procedimiento mínimamente invasivo que consiste en remodelar los bordes de los dientes, principalmente los incisales, para mejorar su forma y apariencia. Utilizando herramientas específicas, el dentista suaviza y da forma a los dientes eliminando pequeñas cantidades de esmalte.

Beneficios del Contorneado Dental
- Mejora de la estética dental: el principal beneficio del contorneado dental es la mejora estética inmediata.
- Corrección de imperfecciones: el contorneado dental es una solución eficaz para corregir pequeñas imperfecciones como dientes ligeramente desiguales, bordes astillados o desiguales, y pequeñas superposiciones.
- Aumento de la confianza: una sonrisa atractiva puede aumentar significativamente la confianza y la autoestima de una persona.
Procedimiento del Contorneado Dental
- Evaluación inicial: antes de realizar el contorneado dental, se lleva a cabo una evaluación exhaustiva de los dientes del paciente.
- Técnica de contorneado: el contorneado dental se realiza utilizando herramientas especializadas que permiten eliminar pequeñas cantidades de esmalte de manera precisa. El dentista dará forma a los bordes de los dientes, suavizando irregularidades y creando una apariencia más uniforme.
El contorneado dental es un procedimiento rápido que generalmente se completa en una sola visita, con una duración de entre 30 minutos y una hora aproximadamente, dependiendo del número de dientes a tratar. El contorneado dental es ideal para personas que desean mejorar la apariencia de sus dientes sin someterse a procedimientos invasivos. Los mejores candidatos son aquellos con dientes sanos y libres de caries o enfermedades periodontales.
Sarro Duro Detrás de los Dientes
El sarro duro detrás de los dientes afecta a más del 70% de los adultos (según la Encuesta de Salud Oral en España 2020), convirtiéndose en una de las principales causas de enfermedades periodontales. Este problema, aparentemente invisible pero con consecuencias significativas para la salud bucodental, requiere un enfoque profesional y especializado para su correcta eliminación.
El sarro duro, conocido científicamente como cálculo dental, representa la mineralización completa de la placa bacteriana que se adhiere firmemente a la superficie dentaria. La diferencia fundamental entre la placa bacteriana y el sarro duro radica en su composición y resistencia. Mientras que la placa bacteriana es una biopelícula blanda que puede eliminarse mediante el cepillado dental regular, el sarro duro presenta una estructura mineralizada que no puede removerse con métodos de higiene bucal convencionales.

Síntomas del Sarro Duro
- Mal aliento crónico: El mal aliento crónico constituye uno de los primeros indicadores de acumulación de sarro duro detrás de los dientes.
- Inflamación de las encías (gingivitis): La presencia de sarro duro detrás de los dientes provoca una respuesta inflamatoria constante en las encías circundantes.
- Coloración amarillenta o marrón: El sarro duro detrás de los dientes presenta inicialmente una coloración amarillenta que puede evolucionar hacia tonos marrones o incluso negros.
- Sensibilidad dental: Cuando el sarro duro provoca retracción gingival, las raíces dentales quedan expuestas, generando sensibilidad al frío, calor o alimentos ácidos.
- Molestias al masticar: En casos avanzados donde la enfermedad periodontal ha progresado significativamente, pueden aparecer molestias o dolor durante la masticación.
¿Por Qué se Acumula Sarro Duro Específicamente Detrás de los Dientes Inferiores?
La anatomía oral explica por qué el sarro duro detrás de los dientes inferiores es tan común. Las glándulas sublinguales y submandibulares, ubicadas debajo de la lengua, secretan constantemente saliva rica en minerales directamente hacia la superficie lingual de los incisivos inferiores.
La superficie lingual de los dientes inferiores representa una de las zonas más desafiantes para mantener una higiene bucal adecuada. La posición de la lengua, la limitada visibilidad durante el cepillado y la dificultad para maniobrar el cepillo en esta área contribuyen a una limpieza incompleta.
Tratamiento Profesional del Sarro Duro
Es fundamental comprender que el sarro duro no puede eliminarse mediante métodos caseros de higiene bucal. Su estructura mineralizada requiere instrumental especializado y técnicas profesionales específicas para su remoción segura. El proceso incluye también el uso de instrumental manual especializado (curetas) para el refinado de superficies radiculares y la eliminación de sarro en áreas de difícil acceso.
Prevención del Sarro Duro
La prevención efectiva del sarro duro detrás de los dientes requiere una técnica de cepillado meticulosa que incluya movimientos específicos para alcanzar la superficie lingual de los dientes inferiores. El uso diario de hilo dental o cepillos interdentales es fundamental para eliminar la placa bacteriana de espacios que el cepillo no puede alcanzar. Una alimentación consciente puede reducir significativamente la formación de sarro duro.
Tabla Resumen de Causas y Soluciones
| Problema | Causas | Soluciones |
|---|---|---|
| Erosión del Esmalte | Alimentos y bebidas ácidas, reflujo, bulimia | Limitar alimentos ácidos, productos remineralizantes, restauraciones |
| Desmineralización Dental | Dieta inadecuada, acidez bucal, mala higiene | Fluoruro, selladores, buena higiene, dieta equilibrada |
| Sarro Duro | Mineralización de la placa, mala higiene, anatomía oral | Limpieza profesional, cepillado adecuado, hilo dental |
tags: #dientes #asperos #despues #de #ortodoncia