Las carillas dentales son una solución estética popular para corregir pequeñas imperfecciones en los dientes. Permiten solucionar las pequeñas imperfecciones que afectan al color, la forma, el tamaño y la posición de tus dientes, ofreciendo una sonrisa más saludable, juvenil y armónica. En este artículo, exploraremos en detalle los diferentes tipos de carillas, sus precios, ventajas y desventajas, para ayudarte a tomar una decisión informada y lograr la sonrisa que siempre has deseado.

¿Qué son las Carillas Dentales?
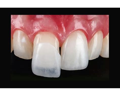
Las carillas dentales son unas finas láminas que se adhieren a la superficie frontal (visible) de los dientes con el objetivo de mejorar su apariencia. Estas láminas pueden estar hechas de diferentes materiales, como la porcelana, el composite o el disilicato de litio, y se diseñan a medida de cada paciente.
¿Para qué Sirven las Carillas Dentales?
Las carillas dentales sirven para corregir pequeños defectos que afectan al color, el tamaño, la forma o la posición de los dientes. Entre las imperfecciones que pueden solucionar podemos destacar las siguientes:
- Dientes amarillos o con manchas
- Desgastes en el esmalte
- Diastemas (espacios entre los dientes)
- Leves malposiciones dentales
- Fisuras o fracturas
En cualquiera de los casos anteriores es necesario que el odontólogo realice una valoración del paciente para determinar si las alteraciones de sus dientes pueden ser corregidas con carillas.
¿Cuándo es Recomendable Ponerse Carillas en los Dientes?
A continuación, te detallamos los casos concretos en los que puede resultar recomendable ponerse carillas para mejorar la apariencia de la sonrisa:
Dientes Amarillos o con Manchas
Las carillas se pueden utilizar en pacientes que presentan dientes amarillos, decolorados o con manchas. Esto puede deberse a distintas circunstancias (alimentación, tabaco, envejecimiento, fluorosis, consumo de tetraciclinas…).
Resistencia al Blanqueamiento Dental
Las carillas son un excelente complemento al blanqueamiento. Cuando las tinciones son muy severas, el blanqueamiento puede no ser capaz de eliminarlas por completo. Por tanto, en muchos casos resulta recomendable ponerse carillas en los dientes después del blanqueamiento.
Dientes Desalineados
Las carillas también pueden ofrecer un buen resultado estético a los pacientes que tienen ligeras malposiciones dentales, ya que en ocasiones permiten disimularlas. Eso sí, hay que tener en cuenta que para corregir la mayoría de las maloclusiones dentales es necesario recurrir a la ortodoncia.
Dientes con Formas o Tamaños Irregulares
Las carillas se utilizan para corregir pequeños defectos que afectan a la forma de los dientes. Por ejemplo: unos caninos (colmillos) demasiado puntiagudos, un diente más pequeño de lo normal, etc.
Diastemas
Las carillas también están recomendadas para disimular los diastemas o espacios entre los dientes.
Dientes Desgastados
Las carillas se pueden colocar en dientes que presentan desgastes en el esmalte. Esto puede tener su origen en una mordida inadecuada o en el bruxismo. Sin embargo, en estos casos suele ser necesario utilizar ortodoncia o colocar una férula de descarga previamente, dependiendo del caso. De no hacerlo, los desgastes volverán a aparecer.
Dientes Fisurados o Fracturados
Las carillas también pueden estar indicadas en determinados casos de fisuras o fracturas leves en los dientes.
¿Qué tipo de carillas dentales es mejor para ti: porcelana o composite? - Clínica Ruiz de Gopegui
Tipos de Carillas Dentales
Existen diferentes tipos de carillas dentales en función del material y la técnica empleados en su confección. Cada una de ellas tiene sus ventajas, y la elección dependerá del caso concreto y las necesidades del paciente. Los dos tipos materiales más comunes son: disilicato de litio y composite.
Carillas de Porcelana
Las carillas de porcelana son una opción eficaz para mejorar la apariencia de tu sonrisa. Estas delgadas láminas de porcelana, hechas a medida en el laboratorio, se cementan en los dientes para darles el tamaño, la forma y el color deseado de forma permanente. Al utilizar este material, cuentan con la ventaja de que resisten muy bien a las manchas. Además, la porcelana tiene un aspecto muy similar al de los dientes naturales cuando estos están sanos y blancos. Además, las carillas de porcelana pueden corregir problemas como el desgaste de los dientes, así como cubrir piezas astilladas o rotas. Su resistencia y similitud con el diente natural las convierten en la opción ideal para quienes desean una sonrisa armónica y de larga duración. Su proceso de fabricación incluye la selección de tonalidades, simulaciones digitales y un tallado preciso, garantizando un resultado estético superior. Aunque su inversión es mayor, su durabilidad y naturalidad respaldan el coste. La vida útil de las carillas de porcelana es de entre 10 a 15 años.
Carillas de Composite
Estas carillas están confeccionadas con composite, un tipo de resina que cuenta con tres cualidades: se adhiere al diente, es moldeable y permite imitar una infinidad de tonos. Las principales ventajas de las carillas de composite son su proceso de colocación sencillo, que no requieren tallar los dientes y su precio. El composite se aplica directamente sobre el diente, normalmente en una única sesión. Son más económicas que las carillas de porcelana o disilicato de litio, pero también suelen durar menos tiempo. Las carillas de composite, un material fabricado con varias resinas compuestas, tienen la ventaja de que son reversibles. El trabajo previo con los dientes es mínimo, por lo que no los altera de forma permanente. Por otra parte, tienen la desventaja de que no imitan tan bien el esmalte de los dientes como las de porcelana. Además, al ser la resina un material poroso, pueden mancharse y son susceptibles de sufrir astillados o fracturas. La vida útil de las carillas dentales de composite es de entre 5 a 7 años.
Carillas de Zirconio
Están fabricadas con óxido de zirconio, un material cerámico resistente y no poroso, que imita perfectamente el esmalte natural del diente y resiste la decoloración y las manchas. Son ideales para quienes buscan resultados óptimos sin comprometer la funcionalidad de la sonrisa. La vida útil de las carillas de zirconio es de entre 10 y 15 años.
Carillas Mínimamente Invasivas (Disilicato de Litio)
Estas carillas están fabricadas con disilicato de litio, un material que se caracteriza por su alta calidad, resistencia y naturalidad. El principal beneficio de las carillas de mínima invasión es que su proceso de planificación, diseño y fabricación es guiado y 100% digital. Este protocolo disminuye el tiempo total de tratamiento, reduce el margen de error humano y permite que el tallado del esmalte sea mínimo (similar al grosor de un cabello). Por tanto, las carillas mínimamente invasivas requieren muy poca o ninguna preparación del diente antes de su colocación. Esto significa que el esmalte dental no se altera significativamente, lo que las convierte en una opción menos agresiva para el diente. Esto contrasta con el protocolo seguido en las tradicionales carillas de porcelana, que requieren un tallado mayor del diente.
Procedimiento para Colocar las Carillas Dentales
Dado que existen distintos tipos de carillas dentales, cada una de ellas sigue un protocolo de colocación específico. Sin embargo, todas comparten los principales pasos del proceso:
- Estudio bucodental completo: consta de una exploración oral y la realización de radiografías (panorámicas y periapicales) y fotografías (intraorales y extraorales).
- Preparación de los dientes: con algunas carillas hay que realizar una mínima reducción del esmalte dental. Este paso suele ser necesario en las carillas de porcelana, pero no en las de composite. En una primera visita se rebaja la superficie externa del diente 0,3 mm a través un ligero limado, que se lleva a cabo mediante anestesia local y dejando siempre el tallado en el esmalte.
- Toma de impresiones: tras preparar los dientes, en el caso de que haya que hacerlo, se toman medidas de los mismos para confeccionar las carillas de manera personalizada. Este escáner realiza una captura detallada y rápida de los dientes del paciente, creando un modelo exacto que se envía a un laboratorio para la fabricación de las carillas. En algunos casos, la toma de impresiones se realiza con un escáner intraoral en tres dimensiones.
- Fabricación de las carillas: la confección puede realizarse directamente en la clínica dental (en el caso de las de composite) o encargarse al laboratorio (en el caso de las de disilicato de litio). En aproximadamente dos semanas, en una segunda visita, se procede a la colocación de las carillas de porcelana definitivas, fabricadas a medida para cada paciente.
- Colocación de las carillas: en función del proceso de confección, la técnica de colocación también varía. Las carillas de composite se crean directamente sobre el diente, en una sesión en la clínica dental. En cambio, las carillas mínimamente invasivas (disilicato de litio) se fabrican en el laboratorio y posteriormente se colocan en la clínica dental. Una vez que las carillas están listas, se adhieren a los dientes utilizando un adhesivo especial y se tratan con luz para solidificar el pegamento. Para poder hacerlo, hay que preparar el diente, en un proceso que consiste en limpiar, pulir y grabar la pieza dental.
- Ajuste de la Colocación: Para ello, se eliminará cualquier exceso del cemento especial utilizado.
Ventajas de las Carillas Dentales
Las principales ventajas de las carillas dentales son las siguientes:
- Versatilidad: Las carillas son muy versátiles ya que permiten corregir múltiples problemas que afectan al aspecto estético de los dientes.
- Mejora de la estética: Al corregir los pequeños defectos de los dientes, las carillas dentales aportan a la sonrisa un aspecto más saludable, juvenil, cuidado y armónico.
- Mínimamente invasivas: Este es uno de los grandes beneficios que ofrecen algunas carillas actuales. Por ejemplo, las de composite no necesitan tallado. Su colocación es realmente sencilla y generalmente indolora.
- Mantenimiento sencillo: En términos generales, podemos decir que las carillas dentales no requieren cuidados difíciles o especiales. Es necesario mantener una buena higiene oral, tener precauciones al comer alimentos duros y acudir al dentista entre una y dos veces al año. Además, en la mayoría de los casos será necesario usar una férula de descarga para dormir. Esto ayudará a proteger las carillas de los desgastes y contribuirá a que duren más tiempo.
Desventajas de las Carillas Dentales
Aunque las carillas dentales ofrecen numerosas ventajas, también es importante considerar algunas desventajas:
- Precio relativamente alto: especialmente para las de porcelana y zirconio.
- Proceso irreversible: en algunos casos de carillas de porcelana que requieren tallado previo de los dientes.
- No son una solución para problemas dentales más complejos: como dientes muy desalineados o problemas de maloclusión.
¿En qué Casos no Están Recomendadas las Carillas Dentales?
A pesar de que las carillas están recomendadas en una gran cantidad de situaciones, lo cierto es que también presentan alguna contraindicación. Las más relevantes son las siguientes:
- Mordida borde a borde: en este tipo de mordida, los dientes superiores chocan directamente contra los inferiores cuando la persona cierra la boca. Es decir, los dientes superiores no quedan por delante de los inferiores, como ocurre en una oclusión correcta. La mordida borde a borde, por tanto, provoca que las carillas se rompan y se caigan. En estas situaciones, al igual que en otros casos de maloclusión, será necesario recurrir a la ortodoncia antes de colocar las carillas.
- Bruxismo que no recibe tratamiento: algo parecido sucede con el hábito de apretar y/o rechinar los dientes. Los pacientes con bruxismo tienden a presentar grandes desgastes en sus piezas dentales, lo que las debilita y hace más propensas a fracturas.
- No contar con una adecuada higiene bucodental: no solamente es perjudicial para la salud dental, sino también para usar carillas dentales. La acumulación de sarro conlleva la aparición de inflamaciones en las encías o filtraciones.
Precios de las Carillas Dentales
¿Quieres saber cuánto cuestan las carillas dentales? El precio de las carillas puede variar en función del material, la cantidad de dientes tratados y la complejidad del caso. A continuación, puedes ver los precios de las carillas dentales:
| Tipo de Carilla | Precio por Diente (aproximado) |
|---|---|
| Carillas de Porcelana | 400 - 1.000€ |
| Carillas de Composite | 150 - 400€ |
| Carillas de Zirconio | 500 - 1.000€ |
Es importante tener en cuenta que el seguro dental no suele cubrir el coste de las carillas dentales.
Además, contamos con planes de financiación para facilitar el acceso a los tratamientos.

Alternativas a las Carillas Dentales
Dependiendo del resultado que estemos buscando, o el tratamiento que necesitemos, existen algunas alternativas a las carillas:
- Empaste dental: útil para corregir imperfecciones. Es menos invasivo y más económico que las carillas.
- Coronas dentales: cubren el diente entero y se utilizan en casos de caries severas o daño considerable.
- Blanqueamiento dental: puede ser una solución efectiva para mejorar el color de los dientes sin intervenciones invasivas.
- Tratamientos de ortodoncia: incluye ortodoncia invisible o brackets para corregir casos estéticos más complejos, como apiñamientos dentales.
Recuerda que la mejor manera de determinar si las carillas son adecuadas para ti es consultar a un dentista especializado en estética dental avanzada. ¡Reserva tu valoración gratuita y transforma tu sonrisa!