Bienvenidos a un análisis detallado sobre cómo la ortodoncia invisible y otros tratamientos dentales pueden transformar una sonrisa. Exploraremos una comparativa de imágenes de antes y después de casos reales, y analizaremos cómo estos procedimientos corrigen diversos problemas dentales.

Corrección de Problemas Dentales Comunes con Ortodoncia Invisible
La ortodoncia invisible no solo ofrece una solución estética para corregir problemas dentales sin brackets tradicionales, sino que también es eficaz para una variedad de problemas, desde el apiñamiento dental hasta mordidas complejas.
Apiñamiento Dental
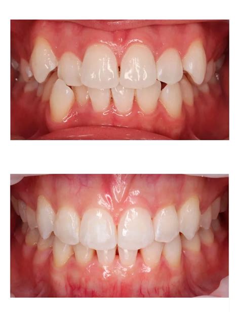
El apiñamiento ocurre cuando no hay suficiente espacio en la mandíbula para que los dientes se alineen correctamente. Esto no solo afecta la estética de la sonrisa, sino que también puede dificultar la higiene dental, aumentando el riesgo de caries y enfermedades de las encías. La ortodoncia invisible es una opción eficaz para corregir el apiñamiento, ya que permite mover los dientes gradualmente a su posición adecuada.
Muchos casos de apiñamiento han sido tratados con excelentes resultados gracias a la tecnología de los alineadores invisibles. Los pacientes pueden ver cómo su sonrisa mejora mes a mes, sin molestias ni restricciones alimentarias.

Casos Específicos de Apiñamiento:
- Apiñamiento y borde a borde tratado con alineadores Spark y composites en bordes incisales.
- Apiñamiento severo y periodonto muy fino tratado con alineadores.
Diastema: Espaciamiento entre Dientes
Los espacios excesivos entre los dientes, también conocidos como diastemas, pueden ser causados por factores genéticos, dientes pequeños o la pérdida de una pieza dental. Este tipo de problema, aunque no siempre afecta la funcionalidad, puede ser una preocupación estética para muchas personas. Con la ortodoncia invisible, es posible cerrar estos espacios de manera gradual, ofreciendo una solución discreta y efectiva.
Los alineadores permiten un ajuste personalizado para cada paciente, moviendo los dientes a la posición deseada mientras mantienes tu estilo de vida sin cambios.

Mordida Cruzada
La mordida cruzada ocurre cuando algunos dientes superiores quedan por detrás de los inferiores al morder. Esto puede generar un desgaste desigual en los dientes, problemas en las encías e incluso dolor en la mandíbula. La ortodoncia invisible puede reposicionar los dientes de manera precisa, corrigiendo la mordida y mejorando tanto la salud bucal como la estética.
Casos severos de mordida cruzada han mostrado una mejora notable tanto en la estética como en la funcionalidad tras el tratamiento con alineadores invisibles.
Caso Específico:
- Compresión maxilar con mordida cruzada tratado con Spark y carilla.
Sobremordida
La sobremordida, donde los dientes superiores cubren excesivamente los inferiores, es uno de los problemas más comunes. Si no se trata, puede causar desgaste dental y problemas mandibulares. La ortodoncia invisible es muy eficaz para reducir este solapamiento, mejorando tanto la apariencia de la sonrisa como la funcionalidad de la mordida.
Se han logrado resultados que no solo mejoran la estética facial, sino también el bienestar general al masticar en pacientes con sobremordida pronunciada.
Mordida Abierta
En una mordida abierta, los dientes superiores e inferiores no se tocan cuando la boca está cerrada, lo que puede dificultar la masticación y el habla. Este tipo de problema es común en personas que han tenido hábitos como el uso prolongado del chupete o el dedo en la infancia. La ortodoncia invisible puede corregir la mordida abierta al alinear gradualmente los dientes para que encajen correctamente.
El tratamiento con alineadores invisibles permite una corrección suave y progresiva de la mordida abierta, evitando intervenciones invasivas.
Casos Específicos de Mordida Abierta:
- Mordida abierta quirúrgica tratado únicamente con alineadores.
- Mordida abierta quirúrgica y canteo del plano oclusal tratado con alineadores.
Contorneado Dental Estético
El contorneado dental es un tratamiento que permite eliminar pequeñas cantidades de esmalte para modificar ligeramente la forma, la longitud y la superficie de los dientes. Su objetivo es mejorar la armonía, simetría y proporción de la sonrisa corrigiendo defectos leves como puntas irregulares, bordes astillados o diferencias mínimas de longitud entre piezas dentales.
El contorneado dental estético es un procedimiento indicado principalmente para los dientes anteriores (incisivos y caninos), ya que son los más visibles al sonreír. Al actuar únicamente sobre el esmalte -la capa más externa del diente-, no afecta al tejido interno ni requiere anestesia.

Carillas Dentales: Transformación y Estética
Las carillas dentales han ganado popularidad a medida que la técnica de colocación y los materiales han evolucionado hasta ofrecer una solución estética natural y duradera. Permiten a pacientes con manchas, fracturas o dientes separados disfrutar de una sonrisa armónica y natural a través de un procedimiento sencillo.
Casos de Éxito con Carillas Dentales:
- María Isabel: Tratamiento combinado de ortodoncia invisible y carillas de porcelana tras 23 meses de ortodoncia y blanqueamiento dental.
- Agustín: Corrección de oscurecimiento dental por tetraciclinas con ortodoncia invisible durante 12 meses, blanqueamiento dental y carillas de porcelana.
- Manuel: Tratamiento completo que combinó ortodoncia invisible, blanqueamiento y carillas dentales para corregir una maloclusión moderada.
- Lucía: Planificación integral con ortodoncia, gingivectomía, blanqueamiento y microcarillas de porcelana.
La sonrisa de Almudena: ortodoncia y carillas
Coronas y Fundas Dentales
Las coronas y fundas dentales son lo mismo y se utilizan en tratamientos de implantes dentales y para reemplazar fundas antiguas en metal o porcelanas poco estéticas. Las coronas dentales que se emplean suelen ser de materiales basados en porcelana o zirconio, que son más estéticos y resistentes.
Proceso de Colocación de una Corona Dental:
- Estudio del caso para valorar el estado de los dientes y encías.
- Preparación del diente tallándolo para que la corona encaje correctamente.
- Toma de impresiones y colocación de una corona dental provisional.
- Retiro de la corona temporal y fijación de la corona definitiva.

La Sonrisa de los Famosos
En el mundo de la fama, muchos han buscado tener una sonrisa perfecta a través de tratamientos dentales como carillas, blanqueamientos, ortodoncia invisible e implantes dentales. Algunos ejemplos incluyen a Penélope Cruz, George Clooney, Paula Echevarría y J Balvin.
El método revolucionario de ortodoncia invisible Invisalign ha sido utilizado por figuras como Mariló Montero, David Broncano, Nuria Roca, el rey Juan Carlos y la reina Máxima de Holanda.
Casos Notables de Transformación Dental en Famosos:
| Famoso | Tratamiento Principal |
|---|---|
| Penélope Cruz | Carillas dentales |
| George Clooney | Mejora estética dental |
| Paula Echevarría | Carillas dentales |
| J Balvin | Transformación dental |
| Miley Cyrus | Blanqueamiento dental |
| Mariló Montero | Invisalign |
| David Broncano | Invisalign |
| Nuria Roca | Invisalign |
| Rey Juan Carlos | Invisalign |
| Reina Máxima de Holanda | Invisalign |
Salud Dental en Niños
Los problemas dentales en los niños pueden afectar no solo su salud bucal, sino también su bienestar general. Algunos problemas comunes incluyen caries, maloclusión, gingivitis y malos hábitos orales.
Para prevenir estos problemas, es esencial fomentar una buena higiene bucal desde una edad temprana, enseñarles a cepillarse los dientes adecuadamente, supervisar sus hábitos de cepillado y enseñarles la importancia de una dieta equilibrada y baja en azúcares.
