Ronaldo Nazario da Lima, conocido como "El Fenómeno", es recordado como uno de los mejores delanteros de la historia del fútbol. Sin embargo, más allá de su talento y logros deportivos, Ronaldo también fue conocido por su característica sonrisa y sus dientes poderosos.

Ronaldo Nazario mostrando su característica sonrisa.
El Diastema de Ronaldo: ¿Fortaleza o Fragilidad?
Una de las características más notables de la dentadura de Ronaldo era el diastema, un espacio entre los incisivos centrales superiores. Curiosamente, en algunas culturas antiguas, tener un diastema era considerado un signo de belleza y buena suerte. Algunas celebridades han hecho del diastema su marca personal. En la moda contemporánea, los diastemas se han convertido en una tendencia de estilo.
Sin embargo, para aquellos que prefieren un cambio, las carillas dentales pueden cerrar estos espacios de forma natural sin requerir un largo tratamiento ortodóntico. Aunque cerrar diastemas es una de las principales razones por las que se colocan carillas, estas finas piezas de porcelana o composite tienen otras aplicaciones fascinantes.
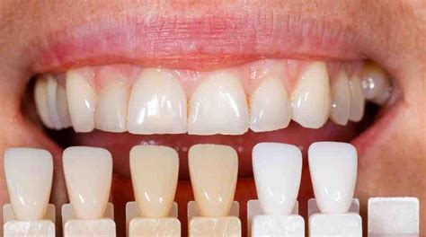
Las Carillas Dentales como Solución Estética
Las carillas dentales son una solución efectiva y estética para corregir el hueco entre los dientes, ofreciendo resultados rápidos y duraderos. Las carillas dentales se presentan como una solución a los diastemas efectiva y popular.

Ejemplo de antes y después del uso de carillas dentales.
El proceso para obtener carillas dentales es relativamente sencillo. Luego, preparamos tus dientes naturales, lo que puede incluir un ligero limado para asegurar un ajuste perfecto. Los dentistas pueden utilizar escáneres 3D para crear una simulación virtual del resultado final antes de que el paciente decida si quiere proceder con el tratamiento. De porcelana.
La efectividad de las carillas para cerrar los espacios depende de varios factores, incluyendo la condición dental general del paciente y la habilidad del dentista. Mordida y alineación: las carillas son ideales para correcciones estéticas menores, no para problemas significativos. Las carillas requieren cuidados similares a tus dientes naturales. Antes de proceder con las carillas dentales, es esencial asegurar la salud y preparación adecuada de tus dientes y encías para garantizar resultados óptimos y duraderos.
¿Por qué Ronaldo 'El Fenómeno' era el mejor? Zidane, Vieri, Paolo Maldini y Romario responden
El Peso de la Fama y la Salud Dental
En su vida post-futbolística, Ronaldo enfrentó desafíos relacionados con su peso y salud. Brasil esperaba con ansiedad la respuesta. ¿Cuánto pesa Ronaldo y su oronda barriga? Anoche, se desveló el misterio en el programa 'Fantástico', que cada noche de domingo reúne a 60 millones de brasileños frente al televisor. Son 118 kilos y 400 gramos de grasa acumulada en las carnes del pentacampeón mundial, además de una circunferencia abdominal de 107 centímetros. Ahora, Ronaldo tiene un reto ante las cámaras: bajar de peso en tres meses y recuperar la forma física. ¿Será posible? Cada semana sus andanzas se verán en la serie 'Medida Certa' (traducido al español como 'Peso Ideal').
"Tengo un problema grave, psicológico: pesarme. Es un trauma. Tengo pavor a la balanza. Tuve peleas con médicos, entrenadores y, por eso, no quería entrenar", reconoció Ronaldo. El reto está en el aire y tendrá como testigos a millones de brasileños de la cadena Globo cada semana. ¿Será capaz el futbolista de dejar de lado los churrascos y los generosos platos de pasta que tanto adora? Ronaldo, de 36 años, encara el desafío: adelgazar para tener una vida más saludable.
“Quiero demostrar a los brasileños que el deporte contribuye a mejorar la salud, que se vive mejor practicándolo. Cuando me marcó un objetivo lo tengo que conquistar, doy la vida. Siempre me moví por los desafíos, para mí esto es un gran desafío”. Diecinueve meses después de jubilarse como futbolista Ronaldo Luíz Nazario de Lima -su último club fue el Corinthians- reconoce que jamás ha vuelto a practicar ejercicio físico. Atrás quedaron los años en donde el espigado Ronaldo iniciaba su carrera en el Sao Cristovao, para convertirse muy jovencito en uno de los mayores ídolos del fútbol mundial.

Ronaldo Nazario enfrentando problemas de peso después de su carrera futbolística.
Su paso por el Cruzeiro fue determinante para que el PSV Eindhoven se fijara en él y de Holanda al estrellato pasando por el Barça y el Real Madrid. 352 goles en su carrera lo avalan como uno de los mejores artilleros de la historia del balompié. Su vida ha cambiado de forma radical. Sus empresas de patrocinio de deportistas y el asesoramiento para la Copa del Mundo de Brasil en 2014 le ocupan el tiempo. Sin hacer ejercicio físico y comiendo mucho su barriga fue creciendo hasta los actuales 107 centímetros. El objetivo es llegar a los 94 centímetros en tres meses.
Pero Ronnie quiere cambiar. El objetivo es recuperar las actividades físicas y cambiar sus hábitos de alimentación. “Me encanta la pasta, como gran cantidad y no hago deporte”, reconoce Ronaldo, “cuando eres joven vas a la churrasquería, comes mucho y no te preocupas. Pero cuando llegas a los 29, 30...vas sintiendo que la grasa que comiste no es fácil de eliminarla”. Ronaldo relató que bebe “poco” alcohol, “una vez por semana”, y que dejó de fumar este año, pero que después de cinco meses reincidió y ha vuelto a parar. Según dijo, comenzó a fumar a los 28 años, pero decidió dejar el tabaco.
Además existe otro grave problema que jamás se conoció durante sus años como jugador. “Nunca desayuno, no tengo costumbre. Lo he intentado muchas veces, pero. Sé que es la comida más importante del día ya que los entrenamientos son por la mañana, pero ahora puedo confesar que la mayoría de los días iba con la barriga vacía”. Lo que no perdona el futbolista brasileño es la comida: “Ahí es donde siento mucha satisfacción, es un momento especial. Mis platos siempre son generosos”. Y, lógicamente, comiendo grandes porciones y sin hacer ejercicio físico el peso fue aumentando hasta los 118 kilos y 400 gramos.
“Me canso mucho”, confiesa Ronaldo “veo que mi calidad de vida es mucho peor que hace dos años. Con cualquier esfuerzo físico me canso, tengo dolores. Hasta una cosa tan simple como cargar en el brazo a mis hijos me cuesta. Me siento derrotado”. Su esposa Bia Anthony se muestra dispuesta a ayudarlo: “he intentado ayudarle, pero con escaso éxito”, revela en su mansión en Sao Paulo, rodeada de sus hijas. Es la hora de cambiar para el que fuera elegido mejor futbolista del planeta durante tres años.
De la mansión paulista de Ronaldo al hospital para hacer los análisis médicos para determinar el estado de salud del conocido como ‘Fenómeno’. A su lado, quien será su sombra durante el programa, el profesor de educación física y nutrición, Márcio Atalla. “Haciendo deporte, mejorando tu alimentación y poniendo en práctica estas cuatro reglas: beber bastante agua, comer fibra, disminuir las grasas, menos sal y menos azúcar conseguirás el objetivo”, le anima Atalla.
“Vamos a realizar una revisión del cuerpo, para determinar la composición corporal, cuanto músculo tienes, cuanto de gordura y una estimación para determinar el gasto calórico diario. Para eso necesito que te quites la ropa y te quedes en calzoncillos”, le dice la nutricionista Luciana Lancha. ¿Privacidad en el Fantástico?, afirma sonriendo Ronnie. A pesar de la barriga, Ronaldo sigue manteniendo una estructura corporal de atleta. De masa muscular 25,5. “Esperaba mucho más”, confiesa Atalla. Cuanto mayor es la masa muscular mayor es el gasto de calorías. “Cuando comiences a hacer ejercicio los resultados van a llegar rápido”. Con el cardiólogo el test de resistencia. Además de la presión arterial el objetivo es medir el esfuerzo físico. Esto definirá el tipo de entrenamiento.
| Medida | Valor de Ronaldo | Valor Ideal |
|---|---|---|
| Peso | 118.4 kg | Por debajo de 100 kg (estimado) |
| Circunferencia Abdominal | 107 cm | 94 cm |
| Colesterol | 283 mg/dL | Por debajo de 200 mg/dL |
Tabla con las medidas de Ronaldo y los valores ideales.
Las malas noticias llegan con el colesterol alto. Tiene 283 milímetros por decilitro, una cantidad elevada. El ideal sería estar en 200. “Cuando el nivel de colesterol está alto hay más posibilidades de desarrollar enfermedades cardiovasculares” El nutricionista Antonio Lancha Junior resume los test realizados al jugador: “La grasa que tienes acumulada en la barriga, puede provocar aumento de colesterol, aumento de la presión arterial y puede producir diabetes. Esa gordura es depositada en esa región principalmente por el consumo de grasas en la alimentación (carne, pollo, queso, fritos…) y también por el consumo de bebidas alcohólicas. Vamos a disminuir los dos”. En las manos de Ronaldo está cambiar de vida para vivir de forma más saludable.