Una sonrisa atractiva y armoniosa es un aspecto importante para muchas personas, ya que puede influir en la autoestima y la confianza en uno mismo. Si estás insatisfecho con la apariencia de tus dientes grandes y buscas una solución efectiva, este artículo te proporcionará información valiosa sobre las causas y las opciones de tratamiento disponibles.

¿Qué es la Macrodoncia?
La macrodoncia, o dientes grandes, es una condición dental en la que los dientes son significativamente más grandes que el promedio en proporción al resto de la cara y los dientes vecinos. La macrodoncia puede ser el resultado de varios factores, incluyendo genética, problemas de desarrollo o incluso hábitos adquiridos.
Causas de la Macrodoncia
- Factores genéticos: La genética juega un papel importante en el tamaño y la forma de los dientes. Algunas personas heredan simplemente dientes más grandes que otras.
- Problemas de desarrollo: La macrodoncia también puede ser el resultado de un crecimiento excesivo de los dientes durante el desarrollo. Esto puede deberse al patrón de crecimiento del diente que se desarrolla antes del nacimiento o a un defecto de desarrollo temprano en la vida del individuo.
- Hábitos adquiridos: En algunos casos, los hábitos adquiridos, como la respiración crónica por la boca, la succión prolongada del pulgar o el uso de chupetes más allá de la edad adecuada, pueden contribuir al desarrollo de dientes grandes.
- Otras causas: Por ejemplo, una persona con una disposición genética para dientes más grandes puede tener más facilidad para desarrollarla si bebe mucha leche o toma mucha azúcar. También puede ser causada por desnutrición, una enfermedad del esmalte dental o vómitos prolongados.
Soluciones y Tratamientos para Dientes Grandes
El tratamiento de la macrodoncia depende de varios factores, incluyendo la gravedad del caso, la edad del paciente y el impacto estético y funcional de los dientes afectados. A continuación, se presentan algunas de las opciones de tratamiento más comunes:
1. Ortodoncia
La ortodoncia es a menudo la primera línea de tratamiento recomendada para aquellos con dientes grandes. Los aparatos de ortodoncia, como los brackets tradicionales o las alineadores transparentes, trabajan para mover gradualmente los dientes a sus posiciones correctas. La ortodoncia también puede mejorar la oclusión dental, es decir, la forma en que los dientes superiores e inferiores encajan entre sí.

Si bien la ortodoncia permite la ejecución y modificación de diferentes aspectos de los dientes, el tamaño no es uno de ellos. No obstante, estas técnicas ayudan a que los dientes con un tamaño mayor de lo que se considera usual puedan disimularse, ya que en ocasiones el paciente da la impresión de tener las piezas más grandes, y esto simplemente es un efecto que se produce a raíz de una mala colocación de estas.
ALINEADORES INVISIBLES 🦷| ¿Valen la Pena?👎👍
2. Contorneado Dental
El contorneado dental, también conocido como ajuste oclusal, es un procedimiento conservador que puede ayudar a reducir ligeramente el tamaño de los dientes grandes y mejorar su forma. Es un procedimiento relativamente simple que puede realizarse en una sola cita dental y proporciona resultados inmediatos.
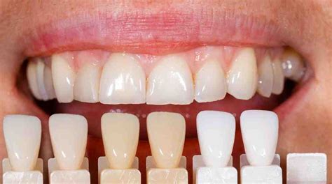
3. Carillas Dentales
Las carillas dentales son una opción popular y efectiva para aquellos que buscan una transformación más dramática en su sonrisa. Para aquellos con dientes grandes, las carillas pueden utilizarse para reducir la apariencia del tamaño dental al recubrir el diente con una cubierta más delgada y de tamaño más adecuado.

Tabla Comparativa de Tratamientos
| Tratamiento | Descripción | Ventajas | Desventajas |
|---|---|---|---|
| Ortodoncia | Movimiento gradual de los dientes a su posición correcta. | Mejora la alineación y oclusión dental. | No reduce el tamaño dental directamente. |
| Contorneado Dental | Reducción ligera del tamaño y mejora de la forma. | Procedimiento conservador y rápido. | Limitado a pequeñas correcciones. |
| Carillas Dentales | Recubrimiento del diente con una cubierta delgada. | Transformación dramática de la sonrisa. | Más invasivo que otros tratamientos. |
Consideraciones Adicionales
Antes de tomar una decisión sobre el tratamiento, es importante tener en cuenta las siguientes recomendaciones:
- Consulta con un profesional calificado: Busca la opinión de un dentista experimentado y calificado que tenga una comprensión profunda de la macrodoncia y las opciones de tratamiento disponibles.
- Comprende tus opciones: Infórmate bien sobre las diferentes opciones de tratamiento disponibles, incluidos los beneficios, riesgos y resultados que puedes esperar de cada una.
- Considera una combinación de tratamientos: En algunos casos, una combinación de tratamientos puede proporcionar los mejores resultados.
- Mantén expectativas realistas: Recuerda que cada caso es único y los resultados pueden variar.
- Considera el impacto en tu estilo de vida: Algunos tratamientos, como la ortodoncia, pueden requerir ajustes en tu estilo de vida y dieta durante un período de tiempo.
Otros Problemas Relacionados con el Tamaño Dental
Además de la macrodoncia, existen otras condiciones relacionadas con el tamaño de los dientes que también pueden afectar la estética de la sonrisa. Estas incluyen:
Microdoncia
La microdoncia es una alteración donde los dientes son de un tamaño más reducido que el habitual. En algunas ocasiones, incluso aunque la raíz presente dimensiones normales, las coronas son mucho más pequeñas.
- Generalizada: No es muy común, y se presenta en pacientes que tienen todos los dientes pequeños.
- Parcial: Es cuando solamente un diente es más pequeño que los demás, y generalmente se da acompañado de una alteración en la forma de la propia pieza.
Hiperdoncia
Algunos humanos tienen más piezas de las habituales, dientes llamados supernumerarios y patología conocida como hiperdoncia. La presencia de los dientes supernumerarios provoca una importante alteración funcional y estética en la boca, ya que impiden a los dientes numerarios crecer con normalidad e incluso a veces provoca que no erupcionen.
Troneras Dentales
Las troneras dentales son unos pequeños espacios en forma de triángulos que pueden aparecer entre los dientes, en su unión con las encías. En general, estos huecos son mínimos o imperceptibles, ya que las piezas dentales son más estrechas a medida que se acercan a la raíz. La mayoría de las veces, se trata más bien de una cuestión estética.

Eliminar las troneras dentales es posible mediante diferentes técnicas que permiten rellenar o disimular los espacios interproximales. El stripping dental o limado de dientes sirve para suprimir una pequeña parte del esmalte y darle una forma rectangular. Las carillas dentales son unas finas láminas de porcelana o composite que recubren la cara externa del diente con el objetivo de mejorar su aspecto.
Retracción de Encías
La retracción de encías es una alteración relativamente frecuente que se produce en los dientes. Consiste en un desplazamiento de la encía en dirección opuesta a la corona del diente, haciendo que quede expuesta la superficie de la raíz de los dientes. Estéticamente compromete tu sonrisa porque hace que el diente parezca muy largo y unos dientes demasiado largos resultan poco atractivos.
Causas de la Retracción de Encías
- Cepillado agresivo: Mucha gente piensa erróneamente que cepillándose "a lo bestia" van a conseguir tener los diente ultralimpios.
- Inflamación de encías: Las encías se inflaman por la acumulación de sarro. Cuando esta inflamación es prolongada en el tiempo se produce una destrucción del hueso que sustenta los dientes.
- Piercings: El piercing es un trauma similar al del cepillado agresivo. El problema es que es mucho más intenso y localizado.
- Bruxismo: El bruximo es el hábito de rechinar y/o apretar los dientes.
Recuerda, tanto reducir el tamaño de los dientes grandes como agrandar el tamaño de dientes pequeños no solo puede mejorar tu apariencia física, sino que también puede tener un impacto positivo en tu confianza y autoestima.