Algunas personas se enfrentan a anomalías dentales que afectan la estética y función de la boca. En ocasiones podemos encontrarnos con casos de pacientes que tienen dientes más grandes o pequeños de lo normal. Estas alteraciones se conocen como macrodoncia y microdoncia.

Esta anomalía se considera como tal cuando la proporción entre el maxilar y los dientes no es adecuada. Tanto la microdoncia como la macrodoncia se dan por factores hereditarios, que hacen que una persona pueda heredar un maxilar grande y dientes pequeños, o al contrario, dientes grandes y un maxilar pequeño.
¿Qué es la Microdoncia Dental?
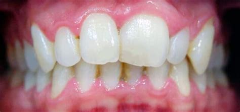
Una poco común pero muy visible a la vista es la microdoncia dental, una condición que puede tener un impacto significativo en la forma y tamaño de los dientes. Se trata de una alteración en la que los dientes son bastante más pequeños que el resto de elementos de la boca. La raíz de de la pieza dental puede ser de tamaño normal, pero las coronas son más pequeñas.
La microdoncia es una alteración dental en la cual los dientes son más pequeños de lo habitual. Esta anomalía puede afectar a un solo diente o a varios, y puede ser visible tanto en dientes primarios como permanentes. La microdoncia es una patología dental poco común, pero no por ello menos importante. Es importante diagnosticarla correctamente para evitar problemas graves en la salud del paciente.

Tipos de Microdoncia
Existen diferentes tipos de microdoncia:
- Microdoncia parcial: La microdoncia parcial se da cuando uno de los dientes es menor que resto. Este tipo de microdoncia suele darse junto una alteración de la forma de los dientes. Normalmente, la microdoncia parcial se presenta en los incisivos laterales superiores, y es menos común, pero también se puede dar en los terceros molares o premolares. A menudo la microdoncia parcial crea una discrepancia notable en la apariencia dental.
- Microdoncia generalizada: La microdoncia generalizada es menos común. Se trata de bocas que cuentan con todos los dientes más pequeños de lo normal. La microdoncia generalizada, menos común que la parcial, se da cuando la mayoría o todos los dientes en la boca son más pequeños de lo normal. La microdoncia generalizada puede tener un impacto significativo en la estética de la sonrisa y a veces está asociada con condiciones genéticas.
- Microdoncia relativa: La microdoncia relativa tiene su origen en el tamaño del hueso maxilar, excesivamente grande y desarrollado, por lo que las piezas dentales parecen muy pequeñas. Es decir, los dientes tienen un tamaño normal, pero se ven más pequeños en comparación con el tamaño del maxilar. También se dan casos de microdoncia relativa en los que los dientes se ven pequeños porque las encías son grandes o están demasiado desarrolladas. En estos casos, aunque los dientes tenga tamaño normal parecen más pequeños.
Microdoncia en Niños y Adultos
- Microdoncia o dientes pequeños en niños: La microdoncia en niños se presenta con dientes mucho más pequeños en relación al tamaño de las raíces y la encía. La microdoncia en niños no hay que confundirla con los dientes de leche cuando se da la dentición mixta, ya que el contraste de tamaños entre los dientes definitivos y los dientes de leche, hacen que por perspectiva los dientes de leche se vean aún más pequeños.
- Microdoncia o dientes pequeños en adultos: Los dientes pequeños en adultos pueden ocurrir en una o varias piezas. Cuando ocurre en un solo diente es importante diagnosticarlo correctamente y no confundirlo con un diente de leche que no se ha caído porque no existe uno definitivo que lo sustituya.
Causas de la Microdoncia
Si te preguntas por qué tienes dientes pequeños, en esta sección te explicaremos las causas de la microdoncia. La microdoncia dental puede tener diversas causas, y a menudo es el resultado de una combinación de factores genéticos y ambientales. Algunas de las posibles causas incluyen:
- Factores genéticos: la predisposición genética juega un papel crucial en el desarrollo de la microdoncia. Si hay antecedentes familiares de esta condición, es más probable que se transmita a las generaciones futuras.
- Problemas durante el desarrollo dental: anomalías durante la formación de los dientes, ya sea en el útero o durante la infancia, pueden llevar a la microdoncia.
- Factores ambientales: exposición a ciertos factores ambientales durante el desarrollo dental, como infecciones o deficiencias nutricionales, pueden contribuir al desarrollo de microdoncia.
Anomalías en el tamaño de los dientes
Consecuencias de la Microdoncia
Las consecuencias de la microdoncia van más allá de la estética dental, ya que pueden afectar a la funcionalidad de la boca y al hablar, tal y como veremos a continuación:
- Problemas de masticación: tener unos dientes más pequeños puede dificultar la masticación eficiente de los alimentos, que puede afectar la digestión.
- Problemas de habla: la microdoncia en ciertos dientes, especialmente en los incisivos, puede afectar a la pronunciación y el habla.
- Problemas psicológicos: la apariencia dental atípica puede afectar la confianza y la autoestima de una persona.
- Problemas dentales: los espacios interdentales pueden incrementar la posibilidad de la aparición de problemas dentales, como caries, por la acumulación de comida o bacterias. La macrodoncia es un problema estético y puede derivar en apiñamiento dental o malposición de los dientes, pero no influye en una mayor predisposición a las enfermedades bucodentales.
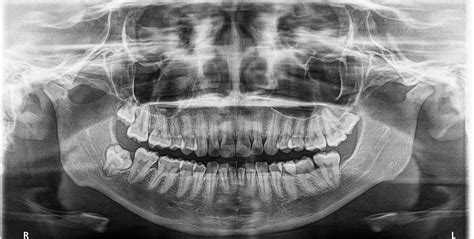
Diagnóstico de la Microdoncia
El diagnóstico preciso de la microdoncia es esencial para planificar un tratamiento adecuado. La utilización de radiografías dentales es una herramienta indispensable en el proceso de diagnóstico de la microdoncia. Las radiografías permiten a los ortodoncistas y dentistas evaluar el tamaño relativo de los dientes, identificar problemas de desarrollo y planificar las intervenciones específicas para corregir el problema y evitar complicaciones futuras.
Tratamientos para Solucionar la Microdoncia
El tratamiento de la microdoncia se personaliza según la gravedad de la condición y las necesidades individuales del paciente. Existen distintas soluciones para corregir los dientes pequeños, y la elección del tratamiento dependerá de factores como la edad del paciente, la salud bucal general y las expectativas estéticas. A continuación mencionaremos algunos de los tratamientos de la microdoncia más comunes.
- Carillas dentales: Las carillas son láminas delgadas de porcelana o composite que se adhieren a la superficie frontal de los dientes para mejorar su apariencia y corregir su tamaño. Las carillas son una solución popular para corregir los dientes pequeños. En los casos de dientes pequeños en adultos, las carillas que se colocan suelen ser las de porcelana. En los casos de microdoncia en niños o adolescentes, se suele recurrir a carillas de composite.
- Coronas dentales: Las coronas dentales o fundas son cubiertas protectoras que se colocan sobre los dientes, es decir, encima de la corona natural del diente que se quiere cubrir. Las fundas son útiles para restaurar tanto la apariencia como la función de los dientes pequeños. Tras tallar los dientes que sean más grandes de lo normal, se realizan coronas, que se diseñan para presentar una boca acorde con el resto.
- Implantes dentales: Los implantes dentales son una solución duradera para reemplazar dientes ausentes o dientes afectados por microdoncia. Consisten en un poste de titanio insertado en el hueso mandibular o maxilar, sobre el cual se coloca una corona artificial. Para colocar un implante dental es necesario extraer anteriormente los dientes afectados.
- Gingivectomía o gingivoplastia: Cuando el problema es que la encía abulta demasiado y existe sonrisa gingival, la solución pasa por realizar un procedimiento llamado gingivectomía estética. Se trata de una cirugía sencilla y consiste en recortar la encía para que el diente se vea más. Para casos de microdoncia relativa en los que los dientes se ven pequeños y la encía es grande, la gingivectomía y la gingivoplastia. Ambos procedimientos son complementarios y tienen como objetivo reducir el tamaño de la encía para que el diente sea más visible (gingivectomía) y perfilarlo para que el resultado sea más estético (gingivoplastia).
- Ortodoncia: Los tratamientos de ortodoncia, como los brackets y los alineadores transparentes, son tratamientos complementarios que pueden ayudar a solucionar el problema de dientes pequeños. Los tratamientos de ortodoncia pueden utilizarse para corregir la posición de los dientes y mejorar la alineación dental en casos de microdoncia, pero en ningún caso son un tratamiento definitivo, si no que se utiliza como complemento para otros tratamientos.
Macrodoncia: Dientes Más Grandes de lo Normal
También se conoce como megadoncia, y se da cuando los dientes tienen un tamaño mayor al habitual. Las personas poseen dientes de diferentes tamaños y formas, ya que estos, por lo general, son proporcionales al tamaño del maxilar. Pero algunos individuos pueden llegar a desarrollar piezas más grandes o más pequeñas de lo normal. Para que un especialista pueda diagnosticar que existe una verdadera anomalía en el tamaño de los dientes, debe existir una desproporción entre estos y el maxilar.

Tipos de Macrodoncia
Esta anomalía se puede dividir en dos tipos principales:
- Parcial: Cuando existen piezas dentales asiladas que son mas grandes que las demás. Y posee deformidades en la corona. Los dientes que por lo general presentan esta anomalía son los caninos, los incisivos y los terceros molares. La macrodoncia parcial es cada vez más común en los niños y en ocasiones no se conoce bien la causa. Pero suele corregirse con ortodoncia y el tallado del diente.
- Total: La macrodoncia total o macrodontismo es una anomalía que se da cuando todos los dientes son de un tamaño superior al habitual. Esta esta relacionada con trastornos como el gigantismo y la hemihipertrofia.
Posibles Soluciones para la Macrodoncia
Además de afectar la estética de tu boca, la macrodoncia también causa apiñamiento. Esto debido al tamaño desproporcionado de los dientes. Si este no se corrige a tiempo puede generar otras consecuencias como desgaste dental por el roce de las piezas. Por esta razón siempre es necesario recurrir a un tratamiento de ortodoncia en conjunto con algunas de las siguientes opciones para corregir el tamaño:
- Stripping o tallado selectivo: Es una técnica de pulido y tallado que se centra en reducir el ancho de la corona de determinados dientes. De esta forma podrán tener el espacio apropiado entre ellas.
- Corona dental: En ocasiones después del tallado se diseña una corona para mejorar la apariencia del diente con respecto y que así no desentone con los demás.
Tamaño Promedio de los Dientes
Para lograr una sonrisa perfecta todos los componentes de tu boca debe estar en equilibrio y armonía. Esto incluye la forma de los labios, el largo de las encías, el alineamiento y tamaño de los dientes. Las medidas de los dientes varían, por lo tanto, no existe un tamaño normal de los dientes, sino un rango. De hecho existen muchas teorías y resultados encontrados por expertos en el área referente a las dimensiones de los diferentes tipos de dientes.
A continuación te mostramos una tabla del tamaño promedio de los dientes, según Diamond:
| Diente | Ancho Mesiodistal (mm) |
|---|---|
| Incisivo Central Superior | 8.5 |
| Incisivo Lateral Superior | 6.5 |
| Canino Superior | 7.5 |
| Primer Premolar Superior | 7.0 |
| Segundo Premolar Superior | 7.0 |
| Primer Molar Superior | 10.0 |
| Segundo Molar Superior | 9.0 |
| Incisivo Central Inferior | 5.0 |
| Incisivo Lateral Inferior | 5.5 |
| Canino Inferior | 7.0 |
| Primer Premolar Inferior | 7.0 |
| Segundo Premolar Inferior | 7.0 |
| Primer Molar Inferior | 11.0 |
| Segundo Molar Inferior | 10.5 |
Si los dientes se salen de forma excesiva de los parámetros mínimos y máximos del tamaño establecido esto alterara la estética de tu boca y puede que presentes alteraciones como macrodoncia o microdoncia. Si tienes dudas debes asistir al dentista para confirmar el diagnóstico.