Un diente impactado es aquel que no ha podido erupcionar correctamente a través de la encía debido a una obstrucción física en su camino. Este problema afecta a una parte de la población y puede ocurrir tanto en dientes de leche como en permanentes.
Colegiado nº 28013537, odontólogo desde 2016, explica que, en general, un diente se impacta cuando no existe espacio suficiente en la boca para su erupción.
Pero, ¿en qué consiste este problema y en qué casos se produce? ¿Cuáles son sus consecuencias? ¿Cómo se corrige? ¡Descubre todas las respuestas en este post!
¿Qué son los dientes impactados?
Los dientes impactados, incluidos o retenidos, son aquellos que no han erupcionado durante el periodo habitual. Este problema se puede producir tanto en dientes de leche como en permanentes. Los dientes más propensos a ser impactados son los terceros molares, también conocidos como muelas del juicio.
Es habitual que estos dientes, que suelen erupcionar entre los 17 y los 25 años, no cuenten con el espacio suficiente para salir en la posición que necesitan.
Tras las muelas del juicio, los caninos -también llamados colmillos- son los dientes que presentan más problemas de erupción.
Es así dado que los mencionados son las últimas piezas dentales en emerger y tienden a no tener el espacio suficiente para salir. Es un problema que se da con bastante frecuencia, sobre todo en la población mayor de 15 años.
Después de 25 años de actividad profesional continuamos viendo la cara de impacto y sorpresa de los padres cuando ven una primera radiografía de la boca de sus hijos. ¿Pero cuántos dientes hay en la boca? Suele ser lo primero que preguntan. Y es que en la boca de un niño podemos llegar a ver una auténtica multitud, entre los dientes de leche que ya tienen y los definitivos que se están formando y esperan a salir, en el sitio que ocupan los primeros. Pero no siempre ocurre esto, a veces unos se resisten a salir, otros no acaban de caer y algunos se cruzan en el camino que no les corresponde.
El diagnóstico es más habitual de lo que se piensa: dientes impactados y transpuestos, que es de lo que vamos a hablar en este artículo. Los dientes impactados son los que están todavía dentro del hueso y han perdido el camino natural de salida dentro de la boca. Pueden estar cruzados en su posición o incluso hacia el centro del paladar, así pueden salir en otras partes de la boca menos en la que les corresponde.

Causas de la Impactación Dental
Las causas pueden variar, pero generalmente están relacionadas con la falta de espacio en la mandíbula o la posición anormal del diente. Los estudios e investigaciones de ortodoncia no han encontrado aún una explicación única (existen múltiples factores) ni un por qué a que, en determinado momento del crecimiento dental, los gérmenes de los dientes se muevan.
- Falta de espacio en la mandíbula.
- Posición anormal del diente.
- Obstrucción causada por otros dientes.
En el caso de Melisa, que llegó a la consulta con seis años, se observó que tenía un problema transversal de falta de espacio en su boca. No le habían salido los dientes definitivos correspondientes a esa edad, que son los centrales, los laterales inferiores y la muela de los 6 años. A la primera radiografía vimos el problema. En su boca estaban los 16 dientes de leche, ya había perdido los incisivos temporales inferiores, 10 arriba y 6 abajo. Y creciendo en sus encías para sustituirlos estaban ya los definitivos que suelen ser 32 dientes (8 incisivos, 4 caninos, 8 premolares y 12 molares que incluyen las 4 muelas del juicio que no siempre acaban saliendo en la mayoría de casos por falta de espacio).
Efectos de los Dientes Impactados
Cuando esto sucede, las complicaciones orales no se hacen esperar y es necesario que el paciente busque una solución odontológica. Las complicaciones, la inflamación e infección, pueden llegar rápidamente ante la presencia de un diente impactado.
Los efectos pueden incluir dolor, inflamación de las encías, infecciones, daño a los dientes vecinos, maloclusión dental y quistes dentales.
- Dolor e inflamación de las encías
- Infecciones recurrentes
- Daño a los dientes vecinos
- Maloclusión dental
- Quistes dentales
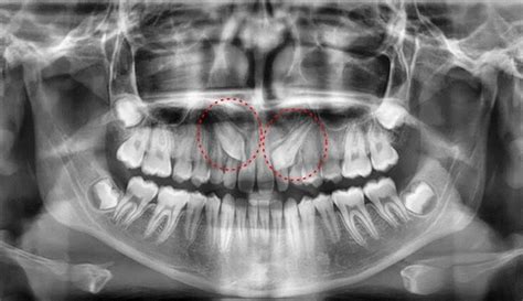
Diagnóstico: Radiografía Dental
Para evitar problemas más graves, es recomendable realizar un diagnóstico temprano del caso a través de una radiografía panorámica de la boca. Ante esta evidencia lo único que podemos hacer es revisiones periódicas en las que con una simple radiografía podemos ver y controlar qué está pasando dentro de la encía.
El primer control en niños se recomienda a los 6 años, a esa edad podemos ver los dientes de leche y también todos los que van a salir o que se están ya formando. Con esta información podemos vislumbrar los problemas que va a presentar ese paciente en un futuro.
Estas radiografías se usan con bajos niveles de radiación para capturar imágenes del interior de los dientes y encías. Se suele utilizar para obtener información anatómica general de la boca, principalmente en la primera cita para tener una visión general de la situación del paciente. El TAC dental es la prueba más común en tratamientos de implantes. Además se coloca un delantal de plomo sobre el pecho, abdomen y región pélvica para evitar cualquier exposición innecesaria a la radiación en los órganos vitales. El embarazo es una excepción a la regla. Las radiografías dentales no requieren preparación especial. Cuando las imágenes están listas, al instante en el caso de las radiografías digitales, el odontólogo las revisará y verificará si hay anormalidades o patologías.

Exodoncia COMPLEJA tercer molar incluido - Video 3D paso a paso
Tratamiento de Dientes Impactados
En caso de que el odontólogo detecte la presencia de una o varias piezas dentales retenidas, existen tres vías para su tratamiento. En líneas generales, hay tres formas de tratar los dientes incluidos:
- El simple seguimiento de su evolución, solo válida en el caso de que el dentista no detecte riesgo potencial de que el diente impactado promueva otras patologías.
- La extracción del diente, especialmente frecuente en el caso de las muelas del juicio.
- La recolocación de la pieza dental para cubrir su ausencia en el lugar originario. Esto es de especial interés cuando son piezas dentales de gran importancia estética, como los caninos.
La primera consiste en el simple seguimiento de su evolución, solo válida en el caso de que el dentista no detecte riesgo potencial de que el diente impactado promueva otras patologías. La segunda es extraer el diente incluido, una alternativa que suele ser llevada a cabo sobre todo cuando el problema afecta a una muela del juicio, evitando así posibles complicaciones. Cuando el problema afecta a un canino, la extracción no suele ser la mejor opción, pues este tipo de pieza dental es muy importante tanto a nivel estético como funcional.
Si una muela impactada provoca dolor y otros efectos secundarios desagradables, el odontólogo puede recomendar su extracción, especialmente en el caso de las muelas del juicio impactadas. Cuando es el canino el diente impactado, se pueden usar métodos para que se produzca la erupción de manera adecuada.
Consideraciones Adicionales
Únicamente actuaremos de esta manera cuando no haya riesgo de que se produzca ninguna patología. No obstante, si las muelas del juicio crecen correctamente y no comprometen la estructura del resto de dientes, se pueden mantener. Una raíz completamente desarrollada tiene contacto con el nervio, una de las partes en las que se divide el diente, y habrá más riesgo durante la extracción.
Antes de la extracción, el cirujano evaluará la posición del diente mediante radiografías y otros estudios de diagnóstico por imágenes. Después de la extracción, es posible que se requiera un período de recuperación durante el cual el paciente puede experimentar hinchazón, molestias y sangrado leve.
Tratamiento en el caso de Melisa
En el caso de Melisa, se ensanchó su boca con un disyuntor superior y un Lip Bumper inferior. En la segunda radiografía ya sumamos al diagnóstico de trasposición el de dientes impactados. Los caninos, tanto los superiores como los inferiores, estaban cruzados y no se habían enderezado para salir, además la raíz del premolar estaba cruzada por delante del canino. Decidimos actuar de inmediato con unas extracciones seriadas de dientes de leche, que realizó el cirujano Alfonso Borja, para ser nosotros y no el caos en su boca, los que dirigiéramos la erupción de los dientes permanentes. Al quitarle los caninos temporales y primeros molares temporales ayudamos a salir a los definitivos. En este caso salió un canino y los otros 3 tuvimos que fenestrarlos porque se resistían. Fenestrar un diente significa que hacemos una ventana, un pequeño agujero, en la encía, colocamos un botón en el diente, éste lleva una cadenita con la que empezamos a tirar de él poco a poco enseñándole en camino correcto que debe seguir y que le hemos creado con la extracción previa del diente de leche al que tiene que sustituir.

También se impactaron los primeros molares inferiores, los fenestramos y salieron. Pusimos un primer aparato de ortodoncia y fuimos tirando de los caninos inferiores y superiores para que se colocaran bien en la boca. Cuando salieron esperamos para controlar como avanzaba su boca. Como además tenía las transposiciones le hicimos unas extracciones para que el premolar y los primeros molares permanentes inferiores salieran.
Las muelas que suelen salir a los 12 años en el caso de Melisa aún no habían salido cuando ella ya había cumplido los 14. Nos dimos cuenta que los dientes inferiores también tardaban en salir y descubrimos que lo que estaba pasando era que el germen de la muela del juicio se había puesto encima de la muela de los 12 años y no la dejaba salir con normalidad. Le quitamos las muelas del juicio y con un simple arco (un 012 de Sentalloy, el más flojo y superelástico de la ortodoncia), tiempo y paciencia logramos enderezar sus muelas. Mientras enderezábamos los molares, le pusimos una ortodoncia convencional que duró 2 años hasta conseguir una sonrisa perfecta con todos sus dientes bien posicionados.
Melisa ha sido paciente nuestra desde los 8 a los 19 años, en los que no ha llevado más de 3 años de brackets, y en los que gracias a las revisiones hemos podido realizar un diagnóstico precoz que ha evitado que perdiera piezas dentales.
Prevención
Si bien no siempre es posible prevenir la impactación dental, hay algunas medidas que se pueden tomar para reducir el riesgo de que ocurra. En casos de dientes impactados conocidos, el monitoreo regular por parte de un profesional dental puede ayudar a detectar problemas potenciales antes de que se agraven.
tags: #dientes #impactados #radiografia