El mundo del fútbol no es ajeno a la estética. Muchos futbolistas, al alcanzar la fama y el éxito económico, optan por mejorar su apariencia física, incluyendo su sonrisa. Nombres como Neymar, Roberto Firmino y Cristiano Ronaldo son ejemplos de transformaciones dentales notables. Pero estos retoques estéticos no son exclusivos de las grandes fortunas del fútbol, cualquiera puede cambiar radicalmente el aspecto de su rostro modificando la fisionomía de su dentadura.
La doctora Eugenia Cervantes, experta en estética dental, destaca la importancia de la armonía facial. Según ella, tratamientos como el bótox, el ácido hialurónico y los liftings faciales son importantes, pero la sonrisa juega un papel clave en el tercio inferior del rostro.
La exposición mediática y en redes sociales también influye en esta tendencia. Los futbolistas, cada vez más presentes en eventos sociales y campañas publicitarias, buscan proyectar una imagen impecable.
Esta influencia de los famosos, junto a los avances en estética dental y facial que ha conseguido tratamientos más eficaces y rápidos, explica que cada vez más hombres se animen a ponerse en manos de profesionales.
Tratamientos Dentales Populares entre Futbolistas
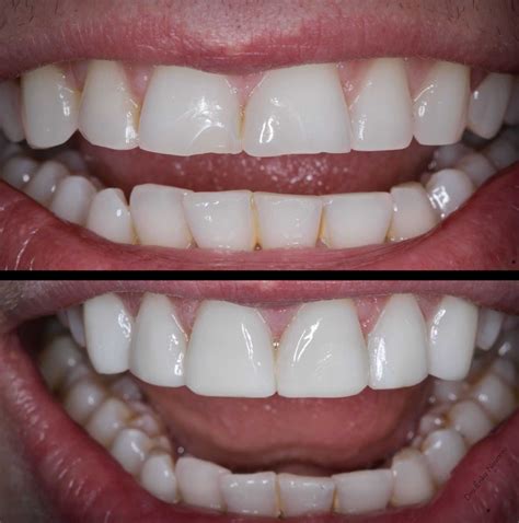
Dentro de los tratamientos más utilizados por los futbolistas de élite se encuentra el diseño de sonrisa. Cada vez hay más jugadores que potencian su sonrisa con carillas después de llevar brackets u ortodoncia invisible.
La ortodoncia es el sistema utilizado para ordenar los dientes y ayuda a ampliar la sonrisa, pero no es un sistema suficiente para lograr la perfección. Los futbolistas, además de una dentadura alineada, suelen buscar un blanco radiante.
También están los que solo quieren mejorar su mordida y optan por la ortodoncia invisible y después por un blanqueamiento dental.

Ortodoncia invisible.
¿Cuánto cuestan este tipo de tratamientos?
Depende mucho de cada caso, pero la ortodoncia invisible tiene una tarifa que suele arrancar en los 3.000 euros.
El sistema más asequible para cambiar la sonrisa son las carillas de composite. El composite no es otra cosa que una resina que se coloca sobre el diente del paciente y se modela capa a capa hasta conseguir la forma deseada.
A diferencia de las de porcelana, que se fabrican en un laboratorio, estas carillas se realizan de forma más artesanal en la misma consulta del dentista. El objetivo es lograr una sonrisa atractiva y armónica y, para ello, hay que conseguir que todos los dientes tengan la forma, el tamaño y el tono adecuado.
A los pacientes les gusta este sistema porque es un tratamiento rápido y no es necesario tallar el diente original. Además, es una alternativa más económica a las carillas de porcelana.

Tratamiento con carillas.
Consideraciones sobre las Carillas Dentales
Uno de los mayores temores es que las carillas tengan un aspecto artificial y que sus dientes se vean más gruesos, muy largos o con un blanco exagerado. Esto se puede producir cuando el paciente busca imitar a un famoso sin tener en cuenta que su rostro no es el mismo.
Aunque el uso de carillas es un tratamiento bastante establecido en las clínicas odontológicas, aún existen muchas dudas sobre cómo deben de utilizarse y cuáles son sus verdaderos resultados.
- ¿A partir de qué edad es recomendable usar carillas? Lo recomendable es a partir de los 18 años.
- ¿Se pueden colocar carillas aunque tenga los dientes apiñados? Hay que ver el grado de apiñamiento.
- ¿El objetivo es solo estético? El objetivo es que el paciente pueda sonreír, pero también morder correctamente con ellas.
- ¿Cuánto duran las carillas de composite? El tiempo de vida de las carillas de composite es de cinco años. La duración depende de los hábitos de cada paciente.
- ¿El blanqueamiento dental funciona sobre las carillas? El blanqueamiento dental solo es efectivo sobre los dientes naturales.
Como la piel o el cabello, nuestros dientes también envejecen. Este envejecimiento de la sonrisa puede acelerarse con el consumo de tabaco o el bruxismo. Los dientes se ven rotos, oscuros, manchados. Con las carillas, ya sean de composite o porcelana, podemos devolverle luz y juventud a la sonrisa.
Para lucir la sonrisa de un futbolista de élite, las microcarillas de composite pueden ser una buena solución.

Antes y después del uso de carillas de composite.
Lo que antes valía como blanco hoy se considera amarillo, lo cual suele generar un resultado demasiado artificial. La mayoría de profesionales usan una guía como esta (habitual en la elección de color de las prótesis) para discutir con los pacientes qué tono prefieren y según el Dr. Perry en su mayoría optan por el más blanco, a pesar de que ellos suelen recomendar colores cremosos más naturales.
Aun así la publicidad (seguro que todas tenéis el nombre de una famosa cantante en mente) nos promete una dentadura blanquísima solo con utilizar la pasta de dientes adecuada, y los medios muestran dientes cada vez más claros.
Hay cosas que sí podemos hacer para que nuestros dientes luzcan lo más blancos posible, como no abusar del café, el vino, el té negro y los refrescos de cola. Por supuesto seguir una correcta higiene bucal (limpieza anual incluída) y si lo consideramos necesario realizarnos un tratamiento blanqueador, pero eso sí, sin esperar milagros. Como en todo, siempre podemos mejorar, pero no vale la pena obsesionarse. Dientes sanos sí, fantasías irrealizables, no gracias.
Reyes del Bisturí: Más Allá de la Sonrisa
En sus multimillonarios contratos pesa tanto su calidad en el campo como su imagen por lo que no han dudado en someterse a costosos retoques estéticos que los hacen irreconocibles. ¿Reyes del toque o del retoque?
El fútbol es uno de los deportes más seguidos en el mundo y los futbolistas son verdaderas estrellas, cuya imagen se ha convertido en una mina de oro. Su apariencia física es, sin duda, una clave de éxito fuera de los terrenos de juego y una excepcional fuente de ingresos por lo que muchos de ellos no han dudado en pasar por el quirófano.

Cristiano Ronaldo: Un ejemplo de transformación física.
A sus 37 años, Cristiano Ronaldo se ha convertido en el fichaje del año tras firmar su nuevo contrato con el Al-Nassr de Arabia. El portugués ganará 200 millones de dólares por temporada, lo cual lo convertiría por mucho, en el atleta mejor pagado en todo el mundo. El delantero pone así un millonario broche a una carrera marcada de éxitos y en la que su cambio físico ha sido espectacular.
Un caso similar es Sergio Ramos que no ha dudado en recurrir al bisturí para potenciar su marca SR4.
Cambios Físicos Más Espectaculares de los Futbolistas
- Héctor Herrera: Se sometió a una rinoplastia funcional y una otoplastia.
- Cristiano Ronaldo: Se ha operado la nariz, se ha sometido a una cirugía maxilofacial y ha mejorado su dentadura.
- Sergio Ramos: Bótox en frente, entrecejo y patas de gallo, relleno en la zona periocular, rinoplastia y ácido hialurónico en pómulos y mandíbula.
- Leo Messi: Dieta especial para tonificar la zona abdominal, rinoplastia y otoplastia.
- Iker Casillas: Se ha sometido a dos injertos capilares.
- David Beckham: Trasplante capilar y bótox.
- Dani Alves: Otoplastia para corregir las orejas de soplillo.
- Gareth Bale: Bronceado falso, arreglo de orejas de soplillo y mejora de su dentadura.
- Neymar: Masaje modelador Método Renata França y cuidados dermatológicos.
Algunos de los cambios físicos más notables en futbolistas.
Estos son los tratamientos “tops” de los futbolistas:
- Botox: Para el rejuvenecimiento facial sin cirugía.
- Masculinización facial: Para resaltar y definir los rasgos faciales en los hombres.
- Vitaminas faciales: Para nutrir la piel.
- Depilación láser: Para eliminar el vello de forma permanente.
- Microinjerto capilar: Para recuperar el pelo perdido.