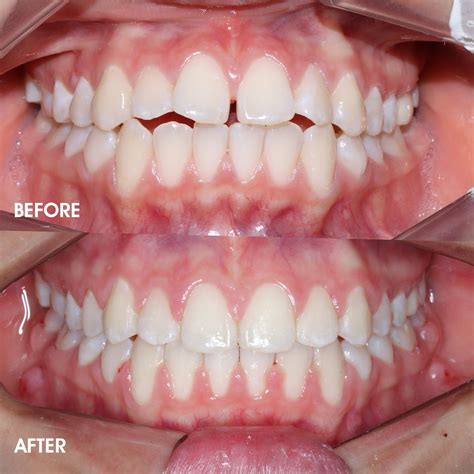
Actualmente, cada vez hay más personas concienciadas sobre su higiene y su salud bucal. Encontramos además, como cada vez hay más personas que buscan conseguir unos dientes perfectamente alineados y se dejan en las manos de nuestros ortodoncistas profesionales. Normalmente las personas se someten al tratamiento de ortodoncia para conseguir una sonrisa más estética, no obstante, tener los dientes bien alineados es algo esencial para la salud.

La Importancia de una Correcta Alineación Dental
La maloclusión dental no aparece por azar. La genética juega un papel determinante. El tamaño de los maxilares y de los dientes es hereditario. Ciertos hábitos durante la infancia, cuando los huesos faciales están en pleno desarrollo, pueden alterar la posición de los dientes. Los dientes de leche actúan como guardianes del espacio para los dientes permanentes.
Cuando los dientes encajan entre sí al cerrar la boca, conseguimos una comodidad mucho mayor. Esta es la primera ventaja de la que nos beneficiaremos. Los dientes mal alineados, por lo tanto, podrían provocar una mala higiene de nuestra boca. Esta mala higiene acarrea infecciones, caries dentales e incluso enfermedades como gingivitis, periodontitis, además de otros problemas que pueden tener un tratamiento más complicado, caro y/o invasivo.
Uno de los argumentos más sólidos a favor de la alineación dental es la facilitación de la higiene. Cuando los dientes están apiñados o superpuestos, se crean recovecos y zonas de difícil acceso para el cepillo de dientes y el hilo dental. La función principal de los dientes es la masticación. Una mala oclusión impide que esta función se realice de manera eficiente. Los dientes no encajan correctamente, lo que dificulta triturar los alimentos de forma adecuada.
Cuando los dientes no están en su posición ideal, las fuerzas de la masticación no se distribuyen de manera equilibrada. Algunas piezas dentales reciben una presión excesiva, lo que provoca un desgaste prematuro y desigual del esmalte. Este desgaste puede llevar a problemas de sensibilidad dental, fisuras, fracturas e incluso afectar al nervio del diente.
La ATM es la articulación que conecta la mandíbula con el cráneo, permitiéndonos hablar, masticar y bostezar. Esta tensión es a menudo la causa de una serie de dolencias que, a primera vista, no parecerían relacionadas con la boca: dolores de cabeza tensionales o migrañas, dolor de cuello y espalda, e incluso chasquidos o dolor en la propia mandíbula, una condición conocida como trastorno de la ATM.
La correcta pronunciación de ciertos fonemas depende de la interacción precisa entre la lengua y los dientes. Malposiciones dentales, como los diastemas (espacios entre dientes) o mordidas abiertas, pueden interferir en esta interacción, provocando dificultades en el habla.
Finalmente, no se puede subestimar el profundo impacto psicológico de una sonrisa alineada. Sentirse a gusto con la propia sonrisa aumenta la confianza y la seguridad en uno mismo. Las personas con dientes rectos tienden a sonreír más abiertamente, lo que mejora sus relaciones personales y profesionales.

Causas de la Mal Alineación Dental
Podemos tener los dientes mal alineados por varias razones, ya sea por cuestiones de genética o por malos hábitos que hayamos adquirido durante la infancia. De forma similar, cuando un adulto pierde una pieza dental y no la reemplaza, se produce un efecto dominó. Los dientes vecinos se inclinan hacia el espacio vacío y los antagonistas (los que mordían contra el diente perdido) se van adaptando a los espacios, buscando contacto. La respiración nasal es fundamental para el correcto desarrollo del paladar y los maxilares.
¿Cuándo se debe realizar el tratamiento de ortodoncia?
Lo cierto es que cuanto antes actuemos, mejor, sin embargo, lo recomendable será realizar el tratamiento cuando nuestros dientes sean los definitivos. Esto suele ocurrir a la edad de unos 12 a 14 años. Según la posición de nuestros dientes necesitaremos un tratamiento de una duración mayor o menor. Sin embargo, lo normal es que el tratamiento requiera una duración de un año y medio, aproximadamente.
Tratamientos para Alinear los Dientes
En cuanto a los tratamientos, hay una gran cantidad de tratamientos por los que puedes optar y estos pueden consistir tanto en una ortodoncia fija como una removible. Afortunadamente, la ortodoncia ha evolucionado de manera espectacular, ofreciendo hoy en día un amplio abanico de tratamientos que se adaptan a las necesidades clínicas, estéticas y de estilo de vida de cada paciente.
1. Ortodoncia con Brackets
Los aparatos fijos pueden ser perfectamente disimulables, sin embargo, no tan transparentes e “invisibles” como el Invisalign. Son los más conocidos. Fabricados en acero inoxidable de alta calidad, son extremadamente resistentes y eficientes. Para aquellos que buscan una opción más discreta, existen brackets fabricados con materiales que se mimetizan con el color del diente. Los “brackets de cerámica” o de “zafiro” son transparentes o de un color muy similar al del esmalte, por lo que pasan mucho más desapercibidos.
Es un tratamiento seguro y muy eficaz, tanto en niños como en adultos. La duración suele oscilar entre los 8 y los 24 meses, siendo 18 meses la media habitual. A ello hay que añadir el uso posterior de retenedores para mantener los resultados.

Ventajas de los Brackets
- Alta eficacia en la mayoría de los casos.
- Resultados duraderos si se usa retenedor.
- No produce desgaste dental.
- Es la opción más económica en ortodoncia.
- Al ser un sistema fijo, depende más del ortodoncista que del paciente.
Inconvenientes de los Brackets
- Aunque económico dentro de la ortodoncia, sigue teniendo un coste elevado.
- Requiere una higiene bucal muy rigurosa.
- Puede producir caries si no se limpian bien los dientes.
- Posibles heridas por el roce de los aparatos.
- Sin retenedores, los resultados no se mantienen.
- Es el sistema menos estético, aunque cada vez más aceptado en adultos.
2. Ortodoncia Lingual
Esta técnica representa lo ideal a efectos de la discreción. Los brackets, hechos a medida en una aleación de oro, se cementan en la cara interna (lingual) de los dientes, haciéndolos completamente invisibles desde el exterior. Es una opción ideal para adultos, profesionales o figuras públicas que desean corregir su sonrisa sin que nadie note que llevan ortodoncia.
3. Ortodoncia con Alineadores Transparentes (Invisalign®)
Esta ha sido la gran revolución de la ortodoncia en las últimas décadas. Sistemas como Invisalign, Angel Aligner o Spark, han popularizado un método que prescinde por completo de los brackets y los arcos metálicos. Cada alineador se lleva durante un período de una a dos semanas y ejerce una presión controlada para mover los dientes una fracción de milímetro.
Este tratamiento utiliza férulas removibles y transparentes que aplican presión progresiva sobre los dientes. Es discreto, cómodo y muy eficaz. La duración del tratamiento suele ser similar a la ortodoncia con brackets (entre 8 y 24 meses) y permite tratar prácticamente los mismos problemas de alineación.

ALIGNERCO utiliza tecnologías avanzadas para modificar la posición de sus dientes y lograr la mejor alineación posible. Toma de impresiones: el primer paso de nuestro plan es la toma de impresiones. Recibirá nuestro kit de impresiones, que utilizará para tomar impresiones de sus dientes. Para facilitar el proceso, puede reservar una sesión de video gratuita con nuestro equipo, que lo guiará a través del proceso de toma de impresiones. Una vez que haya terminado, envíenos fotografías de sus impresiones. Proyección de sonrisa en 3D: Una vez que recibamos sus impresiones, nuestros expertos crearán su proyección de sonrisa en 3D, mostrando todas las etapas de los alineadores, la duración estimada del tratamiento y cómo lucirá su sonrisa una vez que se complete el tratamiento. Le enviaremos esta proyección de sonrisa en 3D para su aprobación. Alineadores transparentes: después de recibir los alineadores, debe usarlos de acuerdo con su plan de tratamiento. Estos aplican una fuerza controlada sobre los dientes, moviéndolos gradualmente a una posición ideal. Los alineadores transparentes son una opción conveniente y preferida para enderezar los dientes porque se pueden quitar mientras se come y se cepilla los dientes y tienen un aspecto discreto.
Ventajas de Invisalign
- El sistema más estético (casi invisible).
- Muy cómodo y fácil de llevar.
- No provoca llagas ni heridas.
- Fácil de limpiar y compatible con una buena higiene.
- Se pueden retirar para comer y cepillarse.
- Alta efectividad si se usan al menos 22 horas al día.
Inconvenientes de Invisalign
- Deben retirarse para comer, lo que puede resultar incómodo.
- Es el sistema más caro.
- Su eficacia depende mucho de la constancia del paciente.
4. Carillas Dentales
Es importante mencionar las carillas dentales, aunque no son un tratamiento de ortodoncia propiamente dicho. Las carillas son finas láminas de porcelana o composite que se adhieren a la superficie frontal de los dientes. Pueden enmascarar problemas leves de alineación, forma, tamaño o color de manera muy rápida, a menudo en solo dos sesiones. Sin embargo, es crucial entender que las carillas no corrigen la malposición de la raíz del diente ni la mordida.
Este es el único tratamiento que alinea visualmente los dientes sin necesidad de ortodoncia. Las carillas son láminas cerámicas que se colocan sobre los dientes naturales para corregir forma, tamaño, color y alineación leve. Son ideales para personas con dientes ligeramente desalineados, fracturados, oscuros o desiguales.

Ventajas de las Carillas Dentales
- Permiten conseguir la estética deseada (blancos, naturales, simétricos).
- Se integran perfectamente si están bien hechas.
- Materiales cerámicos resistentes a manchas.
- Ofrecen resultados espectaculares en poco tiempo.
Inconvenientes de las Carillas Dentales
- No aptas para casos con desalineación moderada o severa.
- En muchos casos requieren tallado dental, irreversible.
- Precio superior al de la ortodoncia.
- Difícil reparación en caso de rotura.
- Requieren cuidados específicos al comer.
- No se recomiendan en casos de bruxismo.
- Necesitan mantenimiento e higiene meticulosa.
Tabla comparativa de tratamientos
| Tratamiento | Ventajas | Desventajas |
|---|---|---|
| Brackets | Eficaz, duradero, económico | Menos estético, higiene rigurosa |
| Invisalign | Estético, cómodo, removible | Más caro, requiere constancia |
| Carillas Dentales | Rápido, estético | No corrige maloclusión, requiere mantenimiento |
La Fase de Retención: Clave para el Éxito a Largo Plazo
Conseguir unos dientes alineados es solo la mitad del camino. La fase de retención es, posiblemente, la más importante de todo el proceso ortodóncico. Los dientes tienen «memoria» y una tendencia natural a volver a su posición original, un fenómeno conocido como recidiva.
Consisten en un fino alambre de metal que se cementa de forma permanente en la cara interna de los dientes anteriores (de canino a canino, tanto superiores como inferiores). Suelen ser férulas transparentes muy similares a los alineadores invisibles. Se utilizan generalmente por la noche, mientras se duerme. La combinación de ambos tipos de retenedores ofrece la máxima garantía de estabilidad a largo plazo. La fase de retención es para toda la vida.
Brackets vs Invisibles | La verdad
En definitiva, la búsqueda de unos dientes alineados es una de las decisiones más inteligentes que una persona puede tomar por su salud y bienestar. La ortodoncia moderna ha democratizado el acceso a estos tratamientos, ofreciendo soluciones para cada caso, edad y preferencia estética. La clave de un buen tratamiento es un buen diagnóstico. Diagnosticar es la clave para poder corregir el problema.
tags: #dientes #perfectamente #alineados